杨某,男,27岁。主因右眼进行性眼球突出一年。我院门诊就诊。发病来,患者无明显视物模糊,无视物成双。自觉无明显眼痛。五年前曾有食物中毒史。当地医院行CT检查,发现右眼眶鼻上方较高密度占位。
  
门诊检查:视力:双1.5。双眼各方向运动正常。右眼球向正前突出,其中颞侧更明显。右眼穹隆部结膜及近穹隆结膜血管扩张。右鼻上眶缘触及较饱满类结节物,压痛可疑。没有触及博动,听诊未及血管杂音。压迫颈静脉眼球凸度无明显改变。
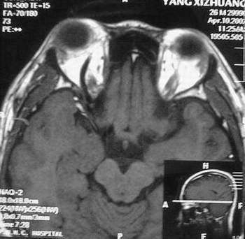
B 超:球内未见明显异常回声,眶内可见血管暗影回声,视神经上下眶内周围软组织可见各一个血管暗影腔,眶内可见回声不均匀中度密度占位样回声。IMP: 眶内炎性病变?建议MRI除外动静脉瘘,血管性病变。
MRI及增强结果如下:
进一步诊治?
gangweic:
|
患者压颈及其它Valsava试验结果阴性。从MRI分析,在T1、T2、T+C检查该支血管均为明显流空现象,说明该血管血流速度很快,而从走行和分布看,眼上静脉可能性很大。也许也不能除外异常的眼动脉或异常血管。眶内主要可能的血管病变包括颈内动脉海绵窦瘘(高流窦)、AVM、眼眶静脉曲张、海绵状血管瘤、静脉性血管瘤、毛细血管瘤和眶内动脉瘤。。 1、颈内动脉海绵窦瘘:该患者临床有一部分支持该诊断。但从影像分析,海绵窦未见明显扩张;眼外肌未见明显充血扩张的长T1、长T2信号;颈内动脉海绵窦瘘常可见继发到血栓,可见到短T1、长T2的血栓信号。 2、眼眶静脉曲张:该疾患一般常见于小儿。该患大多数会出现Valsava试验阳性,间歇性突眼。不符合该患。影像学检查,于曲张静脉内常可见血栓和静脉石。所以不符合该患。 3、AVM:患者目前的影像学资料尚不全面,但可符合该诊断。临床上改病常见于30岁左右年轻人,单侧发病,于本患较符合。问题在于临床没有明确的血管杂音,似乎难以解释。 4、该患影像学与海绵状血管瘤差别很大,所以可基本排除此诊断。 5、静脉性血管瘤和毛细血管瘤:MRI中等T1、长T2信号,较易与本病鉴别。 6、眶内动脉瘤:我觉得患者并不能排除本病,但同样,由于波动性阴性,似乎也难以解释。 纵上所述:本人觉得,患者AVM可能性较大,同时不能除外眶内动脉瘤。 关于进一步检查,我觉得DSA价格过于昂贵。是否可先进行彩色多普勒检查,首先可以明确是静脉系统还是动静脉瘘抑或是动脉瘤。第二步,可进行MRA检查,可以清楚地显示海绵窦地相关关系,并可借此诊断或排除颈内动脉海绵窦瘘。如还需第三部检查,可进行MRV检查,对静脉系统进一步评价。三种检查总共的费用2000多圆,但给予我们的信息量已经很丰富了。 敬请各位医师提出自己的见解。 谢谢!
| |
xjsss:
根据MRI显示眼上静脉扩张可能性很大。眼上静脉扩张有几种原因:1.颈内动脉海绵窦瘘,2.眶尖肿瘤,3.甲亢,4.炎性假瘤.病人球结膜充血示静脉回流障碍,动脉瘤可能性小.根据病史,我认为排除1,2.则考虑3,4.查T3,T4.激素作诊断性治疗.
|