Chapter 17
Aneurysms, Arteriovenous Communications, and Related Vascular Malformations
B. TODD TROOST, JOEL S. GLASER, MARK T. EDGE and P. PEARSE MORRIS
Main Menu   Table Of Contents

Search

ANEURYSMS
ARTERIOVENOUS MALFORMATIONS
CAVERNOUS MALFORMATIONS
CAROTID–CAVERNOUS SINUS FISTULAS
ENDOVASCULAR INTERVENTIONAL PROCEDURES
OCULOCEPHALIC VASCULAR ANOMALIES
ORBITAL VASCULAR ANOMALIES
REFERENCES

Aneurysms and arteriovenous communications of the cranial blood vessels, both congenital and acquired, commonly produce signs and symptoms in the ocular motor and visual sensory systems. They are of particular importance in neuro-ophthalmologic diagnosis and should be considered as etiologic possibilities in clinical profiles characterized by chromic mass effect, as well as in the more dramatic acute hemorrhagic episodes.

Vascular defects present from birth may suddenly become manifest in adult life as an oculomotor palsy caused by an aneurysm at the origin of the posterior communicating artery or as an homoymous visual field defect from occipital lobe arteriovenous malformation. Acquired vascular lesions may become evident immediately following trauma or after some interval, as in the case of carotid–cavernous sinus fistulas.

Back to Top
ANEURYSMS
Intracranial saccular aneurysms are acquired lesions that occur principally at arterial bifurcations of the circle of Willis at the base of the brain, this location accounting for perhaps some 80% to 90% of all aneurysms. The great majority present as sudden, nontraumatic subarachnoid hemorrhage, with high morbidity and mortality rates. Unruptured asymptomatic aneurysms are discovered in 5% of autopsied adults, and approximately 10% present with neurologic deficits related to mass effects, such as visual loss. The age- and gender-adjusted annual incidence rate is 9.0 per 100,000 (more frequent in women), and the incidence of rupture increases with age peaking in the two decades between 55 and 75 years. Risk of hemorrhage in unruptured aneurysms is 1% to 2% annually.1 The annual incidence of subarachnoid hemorrhage from aneurysm is approximately 10 in 100,000, and multiple intracranial aneurysms are found in 20% to 30% of patients.2

In addition to the common saccular (“berry”) aneurysm, the other morphologic type is fusiform, which most frequently but not exclusively involves the posterior vertebrobasilar system. Fusiform aneurysms are characterized by tortuous dilatation and elongation (dolichoectasia) of an artery and are usually associated with atherosclerosis, hence the synonymous term atherosclerotic aneurysm.

The intracranial arteries have thin media and poorly developed or absent internal elastic lamina; they are particularly prone to develop small outpouchings at arterial branch junctions where developmental defects in the media exist. Histologic study of the saccular aneurysm often demonstrates a defect in the elastic and muscular coat, beginning at the point of origin (neck) from the parent artery. This finding has supported the concept of a developmental origin and created the term congenital aneurysm to designate saccular aneurysms, although these lesions are not present at birth. Factors such as hypertension, degenerative changes in the arterial wall, and heritable connective-tissue disorders as in the Ehlers-Danlos syndrome and neurofibromatosis-1, all play roles in the subsequent development of aneurysms. There is firm evidence of aneurysm disease in first- or second-degree relatives, and there is a distinct association with polycystic kidney disease and aortic coarctation.2

As noted, multiple saccular aneurysms of the carotid or vertebrobasilar system occur 20% to 30% of the time, frequently with identical or mirror sites found in the left-sided and right-sided circulations. Most aneurysms arise from the carotid system on the anterior communicating, middle cerebral, and internal carotid arteries, or they arise in the region of the origins of the posterior communicating arteries (Fig. 1A). Only some 5% of saccular aneurysms arise on the vertebrobasilar system (Fig. 1B).

Fig. 1. Common aneurysm sites in lateral (A) and basal (B) views. Numbers indicate percentage of aneurysms in each location. ACoA, anterior communicating artery; MCA, middle cerebral artery; ICA, internal carotid artery; PCoA, posterior communicating artery; PCA, posterior cerebral artery; VA, vertebral artery; BA, basilar artery. (Data from Krayenbuhl O: Kassifikation and Klinische Symptomatologie der zerebralen Aneurysmen. Ophthalmologica 167:122, 1973).

Usually, clinical symptoms are the result of rupture of an aneurysm, resulting in extravasation of blood under arterial pressure into the subarachnoid or intraventricular spaces or into the brain parenchyma, with intracerebral hematoma formation. Subarachnoid and intraventricular blood causes depression of consciousness; intracerebral hematoma and vascular spasm produce focal neurologic signs and even cerebral herniation with compression of the third nerve. The subsequent sudden increase in the intracranial pressure may result in sixth-nerve palsies, in subretinal, intraretinal, or preretinal hemorrhage, and in conjunctival and, rarely, orbital hemorrhage.

Approximately 100 years ago, Terson recorded the occurrence of vitreous hemorrhage after spontaneous subarachnoid bleeding. Such ocular hemorrhage is believed to result from transmission of intracranial pressure through the subarachnoid communication between the optic nerve sheath and the intracranial cavity, with subsequent nerve sheath dilation and rupture of dural and bridging vessels (Fig. 2). Intraocular hemorrhage is possibly the result of retinal venous hypertension brought on by obstruction of both the central retinal vein and the retinochoroidal anastomoses. Kuhn et al3 have reviewed Terson's syndrome, including the role of pars plana vitrectomy; these authors noted the high incidence of preceding coma, and the efficacy of surgical intervention in visual recovery.

Fig. 2. Terson's syndrome. Multiple preretinal hemorrhages accompanying subarachnoid bleeding.

Aneurysms, either saccular or fusiform, also cause neurologic deficits by progressive enlargement rather than by rupture. For example, visual loss caused by compression of the optic nerve from fusiform distortion of the supraclinoid carotid or ophthalmic artery, or saccular enlargement of the intracavernous carotid artery that produces chronic ocular motor palsies. Symptoms in patients with aneurysmal compression of the anterior visual pathway may include visual loss that can be acute, gradual, or fluctuating.

SACCULAR ANEURYSMS

Intracavernous Carotid

Intracavernous carotid aneurysms constitute only 2% to 3% of all intracranial aneurysms and are unique because of their location. These aneurysms arise from the internal carotid artery as it traverses the cavernous sinus4 (Fig. 3) and therefore produce a specific constellation of ocular and neurologic signs and symptoms. Rupture of such aneurysms, which are almost always saccular, may possibly result in carotid–cavernous sinus fistula, but subarachnoid hemorrhage is rare.5 However, slowly progressive enlargement is the rule, usually occurring within the cavernous sinus, with compression of the third, fourth, and sixth cranial nerves and later involving the first and second divisions of the fifth nerve (see Chapter 12).6 Progressive enlargement of the aneurysm forms a mass in the floor of the middle cranial fossa, compromising motor as well as sensory functions of the trigeminal nerve. Anterior expansion of the aneurysm erodes the anterior clinoid, optic foramen, and superior orbital fissure, eventually producing unilateral visual loss and exophthalmos. Posterior expansion, which occurs later, can erode the petrous portion of the temporal bone, causing ipsilateral facial palsy and, rarely, deafness. The sphenoidal sinus and the nasopharynx may infrequently be involved by inferior expansion and medial extension erodes into the sella and may simulate a pituitary tumor7 or cause bilateral ophthalmoplegia.8 Bilateral saccular intracavernous aneurysms occur uncommonly.9

Fig. 3. Magnetic resonance images of intracavernous aneurysm in a 72-year-old woman with left retrobulbar pain and sixth-nerve palsy. A: Coronal section (TR, 800 ms; TE, 30 ms). B: Parasagittal section (TR, 1000 ms; TE, 20 ms). C: Axial section (TR, 800 ms; TE, 30 ms). Note partial occlusion by thrombus (T). D: In a similar patient, carotid arteriogram (subtracted, lateral view) demonstrates a large intracavernous aneurysm.

The onset of signs and symptoms is usually insidious, at times accompanied by pain about the eye and frontal area on the involved side. The pattern of serial involvement of the cranial nerves within the cavernous sinus is usually as follows: sixth, third, fifth, and fourth. Occasionally, palsies evolve simultaneously and the ipsilateral optic nerve may eventually be encroached on by superior expansion of the aneurysm. The pupil is often not dilated maximally, as in the usual acute third-nerve palsy; it may be relatively small (rarely immobile) because of simultaneous involvement of the oculosympathetic fibers.6 Barr and associates4 believed that such aneurysms usually arise as a weakness in the lateral wall of the carotid artery within the cavernous sinus and that the aneurysm tends to expand laterally between the third and fourth nerves superiorly and the sixth nerve inferiorly, finally compressing the nerves on the medial wall of the aneurysmal sac rather than laterally. Late involvement of the fifth nerve is emphasized by the findings that, in the three studied cases, this nerve was not splayed over the lateral aspect of the aneurysm, but that it lay mainly inferior, lateral, and posterior in the region where late expansion of the aneurysm occurs. Although periocular pain has often been emphasized as a prominent symptom, it may not occur until ophthalmoplegia has been present for years.

Intracavernous aneurysms are suspected by the clinical presentation of a chronic cavernous sinus syndrome and are diagnosed by enhanced computed tomography (CT), magnetic resonance imaging (MRI), and arteriography (see Fig. 3). Because of the location and configuration within the cavernous sinus, direct surgical approaches to cavernous carotid aneurysms are hazardous. In recent years intravascular occlusion of the internal carotid by detachable balloon has evolved as a safe and successful procedure, often with relief of pain and improvement in ophthalmoplegia.10 Unfortunately, these balloons are commercially unavailable at the time of this writing.

Carotid–Ophthalmic Artery

The carotid–ophthalmic aneurysm arises from the superior or medial surface of the carotid artery above the cavernous sinus and below the origin of the posterior communicating artery. Such aneurysms have an intimate relation to the anterior clinoid and optic nerve, which tend to cover their point of origin. They are rare in reported series: Pool and Potts11 cited only two examples in 157 cases, and there was a 5.4% incidence in 2,672 patients with single aneurysms in the Cooperative Study of Intracranial Aneurysms and Subarachnoid Hemorrhage.12 Ferguson and Drake13 reported 32 such aneurysms; Guidetti and LaTorre14 reported 16 cases. A high incidence of concurrent cerebral aneurysms has been reported: 67% in one series14 and 37.5% in another.15

There is a striking correlation between aneurysmal projection and visual impairment. With superior-medial projection, optic nerve compression with monocular visual loss is often present. Eight of 16 patients reported by Guidetti and LaTorre14 had prominent visual symptoms with reduced vision and optic atrophy. Larger aneurysms may involve both optic nerve and chiasm. However, Ferguson and Drake13 reported 32 patients with preoperative visual deficits. While involvement of the anterior visual pathway is the most frequent neuro-ophthalmologic presentation, paralysis of the third cranial nerve was reported in a single case. Although deemed a rare event,13 visual loss occurs in approximately one-third of patients with carotid–ophthalmic aneurysms.15 Aneurysms in this location may traverse the adjacent optic nerve or chiasm by actually splitting it, the mechanism of which is still unknown. Presentation with visual disturbance is again variable.16

Carotid–Supraclinoid

One of the more insidious and potentially treatable causes of progressive visual loss is unruptured aneurysm of the supraclinoid portion of the internal carotid artery. Here, the term supraclinoid seems more a function of size than of specific site or origin, and distinction between ophthalmic and supraclinoidal types is unclear. Of 3,123 giant (larger than 25 mm) intracranial aneurysms in one series,17 93 involved the internal carotid above the cavernous sinus, thus qualifying as supraclinoid. Sixty-five were carotid–ophthalmic, 16 were at the bifurcation of the middle cerebral artery, and 12 were carotid-posterior communicating-anterior choroidal in location. Bilateral carotid–ophthalmic aneurysms were found in 19 cases, with a female predominance and average age of 48 years. The visual system was compressed in all but 6 cases, and 14 aneurysms presented as subarachnoid bleeding. Most of these giant aneurysms occur in women in the fifth and sixth decades of life, and their effects are primarily the result of compression of the optic nerves and chiasm.17 For the most part, involvement of the visual system represents the only neurologic complication. Such aneurysms may rarely rupture, but most commonly they present as insidious visual loss, or they are uncovered during angiography for other sister aneurysms.18 The pattern of visual field loss with supraclinoid aneurysm and its temporal profile tend to differ from that occurring with primary intrasellar or parasellar tumors. Vision is usually affected in a single eye, commonly with nasal field depression, and at times progressing to blindness before the second eye is involved.19 These aneurysms arise below the optic nerve, which is stretched and flattened before subsequent involvement of the chiasm and the opposite nerve.

Most such aneurysms expand upward and forward, becoming located primarily anteriorly (Fig. 4). The optic nerves rise upward form the optic canal and may be inclined at a 45-degree angle such that the chiasm is more superiorly, as well as posteriorly, placed. It may be expected that uniocular ipsilateral visual loss would occur and progress before the contralateral field is involved because of chiasmal compression and before opposite nerve damage ensues. Although rapid visual loss has been reported, a longer duration (even years) is the rule. Rarely, the aneurysm may be more posteriorly placed or the chiasm more anteriorly fixed, resulting in initial involvement of the optic tract.20

Fig. 4. Giant suprasellar (supraclinoidal) aneurysms. A: Carotid arteriogram (lateral view) shows a huge aneurysm of the internal carotid artery in a 59-year-old woman with progressing visual loss. Coronal (B) and axial (C) magnetic resonance imaging sections of a similar case. Note partial thrombus formation (TR, 2100 ms; TE, 80 ms).

Large aneurysms also arise from or involve the origins of the middle or anterior cerebral arteries, and they may precisely mimic a slowly growing suprasellar neoplasm. Similarly, large aneurysms of the supraclinoid carotid can simulate a pituitary tumor,7 including prolactinemia.21 Aneurysms may mimic other masses, and thus underscores the need for MRI or arteriography in the evaluation of some sellar or parasellar syndromes.

Ophthalmic Artery

Intracranial ophthalmic artery aneurysms are rare and in many series are not distinguished from the supraclinoid aneurysms17,19 already discussed. The symptoms are quite similar, consisting of monocular progressive visual loss due to vascular compression from beneath the optic nerve. The pattern of visual loss begins as a unilateral scotoma usually involving fixation and then depression of the nasal and upper field, progressing to blindness. Further expansion involves the lateral aspect of the chiasm, causing temporal field loss in the opposite eye. Rarely, such aneurysms extend to involve the more distal aspects of the ophthalmic artery, producing enlargement of the optic foramen and even erosion into the orbit.19,22 Jain23 reported an unusual presentation of a true saccular aneurysm of the ophthalmic artery with projection into the optic foramen in a patient with monocular papilledema. Again, the intimate relationship of ophthalmic artery origin from the internal carotid, and the size of the aneurysm, may blur distinctions among ophthalmic, carotid–ophthalmic, and supraclinoid.

Intraorbital ophthalmic artery aneurysm was the clinical diagnosis given to the first cases of carotid–cavernous fistula described by Travers24 in 1809. All such previous cases before modern angiography must be suspect, with the majority probably being misdiagnosed carotid–cavernous fistulas or arteriovenous communications involving the orbital circulation. However, cases proved arteriographically do exist. Rubinstein and associates25 reported the case of a 36-year-old man who experienced monocular burning and lacrimation with progressive loss of vision fluctuating over weeks; anigography demonstrated a 7-mm aneurysm arising intraorbitally, 12 mm distal to the origin of the ophthalmic artery. Rarely, direct penetrating trauma may produce aneurysmal dilation of the intraorbital ophthalmic artery.26

Posterior Communicating Artery

Aneurysms that primarily arise form the carotid system at the origin of the posterior communicating artery are of special interest to neurologists, neurosurgeons, and ophthalmologists because they tend to involve the oculomotor nerve. The classic presentation is sudden onset of severe unilateral frontal headache, ptosis, limitation adduction, depression and elevation of the eye, and dilated and fixed pupil. The cerebrospinal fluid is grossly bloody, and angiography is diagnostic (Fig. 5). Pain in and around the eye in the trigeminal–ophthalmic distribution is a conspicuous symptom, but sensory defects are absent. Clinical and pathologic evidence indicates that impairment of function by a contiguous aneurysm usually occurs in conjunction with hemorrhage into the oculomotor nerve that, along with sudden distortion, can produce referred pain.27

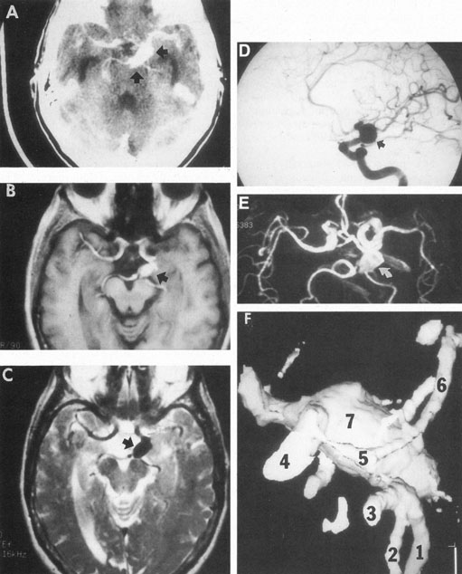
Fig. 5. Aneurysm at the junction of the internal carotid and posterior communicating arteries. A: Contrast-enhanced axial computed tomography (CT) shows a large aneurysm (arrows). Magnetic resonance imaging (MRI) studies effectively demonstrate the aneurysm. B: T1-weighted MRI with gadolinium. C: T2-weighted (arrow indicates black flow void). D: Selective internal carotid angiogram. E: Magnetic resonance angiogram (MRA; curved arrow) shows the same aneurysm. F: Helical image-intensified CT technique provides quasi-three–dimensional mold of arteries: 1. right posterior cerebral; 2. posterior superior cerebellar; 3. basilar; 4. internal carotid; 5. posterior communicating; 6. left posterior cerebral; 7. supraclinoid aneurysm, same as depicted in A through E. (Courtesy of Dr. Raphael Aponte.)

Oculomotor palsy caused by posterior communicating artery aneurysm typically shows maximal involvement of all third nerve functions. Although an individual extraocular muscle may be partially paretic, it is quite uncommon for any single extraocular muscle to be entirely spared (lateral rectus and superior oblique excluded). Relative pupillary sparing and pupillary involvement is of considerable importance in differential diagnosis. The common situation is total pupillary paralysis with ruptured or unruptured posterior communicating aneurysms that involve the third nerve, but important exceptions exist. Of course, in the clinical setting of sudden onset of a painful third-nerve palsy, with severe headache and nuchal rigidity, angiography is indicated whether or not the pupil is involved.

In approximately one-half of patients with ruptured posterior communicating artery aneurysms, third-nerve palsy develops either immediately or within a day. Aneurysms can cause ipsilateral frontal headache and third-nerve palsy by compression before they actually rupture. Approximately 70% of symptomatic but unruptured, aneurysms show a third-nerve palsy, and by far the most common location is at the origin of the posterior communicating artery.12 The incidence of oculomotor palsy with posterior communicating artery aneurysms varies from 34% to 56%.28

After third-nerve palsy, especially when caused by aneurysm or trauma, if recovery does not begin with a few weeks, the phenomenon of misdirection usually occurs (see Chapter 12). Hepler and Cantu29 assessed the ultimate ocular status in 25 patients with third-nerve palsies secondary to aneurysms and found that all patients had some residual abnormality of third nerve function, but it was usually of trivial importance to the patient. Only 5 of 25 patients in this series complained of significant difficulty with diplopia, and 1 paitent had a persistent, complete third-nerve palsy. In another study of patients treated by a direct surgical approach to the posterior communicating artery aneurysm within 10 days of symptomatic onset, a better prognosis existed for recovery of third nerve function than in those operated on after a longer interval.28,30

Middle Cerebral Artery

Aneurysms in the distribution of the middle cerebral artery are common and have a relatively good prognosis even after rupture. These lesions arise at the bifurcation or trifurcation of the middle cerebral artery within the sylvian fissure and usually do not give rise to neuro-ophthalmologic symptomatology until they hemorrhage. Thereafter, blood may dissect into brain parenchyma, producing intracerebral hematomas with resultant contralateral paralysis, sensory loss, and homonymous visual field defect. Rarely, an isolated visual field defect may be the only focal neurologic sign of a bleeding aneurysm located distally on a posterior branch of the middle cerebral artery, with the hematoma having dissected into the visual radiations. Ipsilateral hemicranial, hemifacial, or periorbital pain may herald minor leakage preceding frank subarachnoid hemorrhage.31

Anterior Communicating Artery

The anterior communicating artery is the most common single location of intracranial aneurysm, but these rarely produce focal neurologic signs prior to rupture despite being situated just above the optic nerves. Chan et al32 reported six cases collected over 37 years that caused monocular blindness by rupture of downward pointing aneurysmal sacs. With rupture, bleeding occurs into the optic nerve with symptoms of severe headache and monocular blindness.

Vertebrobasilar System

Between 5% and 15% of all intracranial aneurysms are located in the posterior fossa, but these are often not clinically suspected until rupture. The majority of such aneurysms are at or about the bifurcation of the basilar artery. This location approaches the brainstem exit of the oculomotor nerves, but it is rare that third-nerve palsy occurs prior to aneurysm rupture. Only those aneurysms found just distal to the basilar bifurcation on the proximal posterior cerebral arteries are likely to compromise the oculomotor nerve. When such aneurysms enlarge, they can exert pressure beneath the third ventricle and chiasm simulating the signs of a parasellar tumor, or the aneurysm may invaginate the third ventricle and thus mimic a colloid cyst.33 Saccular vertebrobasilar aneurysms usually present with subarachnoid hemorrhage, without concurrent or premonitory focal neurologic signs and symptoms. Among the 28 patients reported by Hööke et al34 only 8 patients had prerpture symptoms (headache) and 4 had prerupture signs. However, prodromal signs that falsely suggest either vertebrobasilar insufficiency or a posterior fossa mass lesion have been amply documented. We have seen 2 patients who presented with mild subarachnoid hemorrhage from a basilar artery aneurysm but who developed Parinaud's syndrome as the predominant symptomatology, presumably resulting from dorsal midbrain ischemia secondary to vessel spasm. McKinna35 reviewed eye signs in a series of 611 posterior fossa aneurysms and found diplopia, major field defects, retinal or vitreous hemorrhage, or papilledema present in 50%. The double vision (present in 35%) was caused by cranial nerve palsy, skew deviation, defective upward gaze, and bilateral external ophthalmoplegia.

In a series of 50 patients with basilar artery aneurysm, Nijensohn and associates36 found 27 patients with saccular aneurysms and 23 with fusiform basilar dilations. In the former group, symptoms such as episodic diplopia, transient hemiplegia, and paresthesia mimicked the signs and symptoms of vertebrobasilar vascular disease. Various brainstem signs, such as progressive quadriparesis, nystagmus, and multiple cranial nerve involvement, occur with such aneurysms even before rupture. Isolated oculomotor paralysis has been reported with both saccular and fusiform aneurysms of the basilar system.37 Posterior fossa aneurysms can thus mimic mass lesions, with progressive cranial nerve palsies and hydrocephalus.38

Saccular basilar aneurysms tend to present at a younger age (less than 60 years) and are most common in middle-aged women, whereas fusiform ectasia is associated with arteriosclerosis in hypertensive men in the sixth and seventh decades. In one study36 the majority of patients with saccular aneurysms died of rupture, as opposed to those with fusiform basilar artery aneurysms in whom death tended to occur from myocardial infarction. Treatment of such aneurysms presents a formidable technical problem well described elsewhere.39

Posterior Cerebral Artery

Aneurysms of the posterior cerebral artery are rare lesions. Their incidence in the Cooperative Study of Intracranial Aneurysms and Subarachnoid Hemorrhage was 0.8%.12 Although such aneurysms arise in vessels supplying the major portions of the visual radiations and cortex, Pool and Potts11 remarked that they knew of no instance in which visual symptoms occurred before rupture of the aneurysms. Drake and Amacher40 reported their experience in eight patients, only one of whom had a temporary homonymous field defect after hemorrhage. Rarely, such aneurysms arise from the first portion of the posterior cerebral artery near the junction of the posterior communicating artery; more commonly, they occur at the first major branching of the posterior cerebral artery as it courses around the midbrain. In the former location, ruptured aneurysms are associated with third-nerve palsy and contralateral hemiparesis. These signs might be anticipated because the proximal segment of the posterior cerebral artery is closely related to the cerebral peduncle and third nerve at its emergence between the posterior cerebral artery and superior cerebellar artery.

CHILDHOOD ANEURYSMS

Intracranial aneurysms uncommonly become symptomatic in children, in whom hemorrhage is less frequent and mass effect is more likely. Most intracranial arterial aneurysms seen in children are saccular, and they may be associated with heritable connective tissue disorders, including autosomal dominant polycystic kidney disease, Ehlers-Danlos syndrome type IV, neurofibromatosis-1, and Marfan's syndrome.2 Amacher and Drake41 noted that pediatric aneurysms may reach giant size, may be fusiform in configuration, especially in the vertebrobasilar system, and may be causally related to bacterial endocarditis or other infections. Such mycotic aneurysms are the result of arterial damage from a septic embolus.42 Neurofibromatosis-1 is associated with proliferation of Schwann's cells within arteries, with secondary degenerative changes; in this disorder, there is a predilection for arterial occlusions or aneurysms of the cervical carotid and anterior communicating arteries.43 Fusiform aneurysms of the basilar or carotid arteries, although a common sequel of atheromatous degeneration of the intracranial arteries in adult patients, are rare in children and may be associated with neurofibromatosis-144 or have another pathologic basis.

Patel and Richardson45 found 58 patients younger than 19 years of age (1.9%) among 3,000 cases of ruptured intracranial aneurysms. Of 2,951 patients with cerebral aneurysm in the Cooperative Study of Intracranial Aneurysms and Subarachnoid Hemorrhage summarized by Locksley,12 only 41 patients showed evidence of aneurysmal rupture by the age of 19 years. Because of their rarity in pediatric patients, aneurysms are infrequently suspected in children with signs of intracranial hemorrhage or mass lesions. Yet, early diagnosis and treatment of aneurysms in children, as in adults, can be lifesaving.

Although there is no doubt that intracranial aneurysm is the most frequent source of subarachnoid hemorrhage in adults, it is a long-established maxim that arteriovenous malformation (AVM) more commonly leads to subarachnoid hemorrhage in children than does aneurysm. Yet, when large series of patients up to 20 years of age with subarachnoid hemorrhage are considered, aneurysm is a more common etiology than AVM. In the 124 young patients with subarachnoid hemorrhage reported by Sedzimir and Robinson46 for example, 50 patients had aneurysms and 33 had AVMs. These authors also summarized 321 patients through 20 years of age, including their own patients and those from three other series, and found 36% with aneurysm and 27% with AVM. Thus, if patients up to age 20 are included, intracranial aneurysms cause subarachnoid bleeding more frequently than do vascular malformations. AVMs predominate if only preadolescent patients with subarachnoid hemorrhage are considered because symptomatic aneurysms are rare in younger groups. There appears to be a biphasic presentation of intracranial aneurysms of the first 2 decades, with the lesions most often becoming symptomatic after age 10 or before the age of 2 years.47 Aneurysms in children rarely become symptomatic between 2 and 10 years of age.

Intracranial aneurysms in children are more common than has previously been recognized owing to a greater awareness, widespread use of noninvasive CT and magnetic resonance angiography (MRA),48 and the relative safety of catheter angiography.49 There are clinical tendencies in children with intracranial aneurysms that differ from those in adults: (i) multiple aneurysms are less common in children; (ii) associated congenital anomalies, especially coarctation of the aorta and polycystic kidneys, are more commonly seen in children with symptomatic aneurysms; (iii) the mortality from initial hemorrhage in children admitted to hospital is less than in adults; and (iv) children tend to recover more quickly and completely from neurologic defects. The usual presentation is intracranial hemorrhage, but ophthalmoplegia, diabetes insipidus, and other signs mimicking tumor have rarely reported with aneurysms.42

TRAUMATIC ANEURYSMS

Secondary (false) aneurysms usually occur after blunt head injury, with or without basilar skull fracture, and also after penetrating injuries to the face or cranium. Traumatic aneurysms of the intracavernous segment of the internal carotid artery come to attention because of recurrent, often massive, epistaxis, with variable involvement of the ocular motor nerves.50 Postsurgical aneurysms are documented after sinus surgery, transsphenodial pituitary resection, and yttrium-90 implantation.51 Despite the large number of transsphenoidal procedures, this complication appears unusual. Paullus and co-workers52 have reported an extraordinary case of progressive bilateral ophthalmoplegia caused by false aneurysm complicated by a carotid–cavernous fistula component. It is to be recalled that, according to microdissections of Rhoton and associates,53 the carotid arteries may approach the midline within the sella to as close as 4 mm, and that adherence to a strictly midline approach seems advisable.

Aneurysms of the extracranial carotid system are distinctly uncommon and may follow trauma or are associated with atherosclerosis or fibromuscular dysplasia.54 Neuro-ophthalmologic signs are rare, including headache or ipsilateral oculosympathetic palsy. Penetrating orbital trauma with false aneurysm of the ophthalmic artery has been noted.26

FUSIFORM ANEURYSMS

Fusiform aneurysms are actually tortuous dilatations and elongations (dolichoectasia) of preexisting arteries, usually associated with advanced but not necessarily caused by atheromatous degeneration, which explains the term atherosclerotic ectasia. The neurologic complications of such dilatations, which can involve either the carotid or vertebrobasilar system, are most often secondary to direct pressure effects rather than to rupture and subarachnoid hemorrhage.

Carotid System

Fusiform carotid aneurysms involve the intracavernous or internal carotid artery. A dilated and tortuous carotid may flatten the optic nerve against the falciform dural fold above the opening of the optic canal. Such compression rarely may be responsible for instances of slowly progressive visual loss with eventual optic atrophy, some instances of which may be mistakenly diagnosed as soft or normal-tension glaucoma.

Hilton and Hoyt55 reported a case of bitemporal hemianopia associated with fusiform dilation of the internal carotid and anterior cerebral arteries. The latter actually prolapsed between the optic nerves. The patient's slowly progressive bitemporal hemianopia and optic atrophy, with normal sella, was not believed to be the result of compression by the dilated vessels but was considered more likely the result of impaired circulation caused by traction on, and obstructions of, the small vessels supplying the anterior aspect of the chiasm. Colapinto et al56 have also described optic nerve compression by fusiform ectasia of internal carotid artery demonstrated by MRI and cerebral angiography (see Chapter 5, Part II).

As previously noted, fusiform aneurysms have been described even in young children and have been associated with connective tissue diseases and neurofibromatosis.2,41,43,44,57 Thus, congenital causes must be suspect in youth, as well as in the situation of spontaneous arterial dissections.

Vertebrobasilar System

Tortuous or redundant basilar arteries are not uncommon in the older age group. Occasionally, gross dilation or ectasia develops so that the basilar artery acts as a mass in the posterior fossa. This phenomenon produces signs of low-pressure hydrocephalus, cranial nerve palsies, and long tract and sensory signs and may even simulate a cerebellopontine angle tumor or tumor at the foramen magnum.58 It is possible to diagnose such lesions with CT59 or MRI60 but angiography is definitive (Fig. 6). The association of insidious multiple cranial nerve palsies and long tract signs referable to a brainstem level, in an elderly patient with evidence of atherosclerosis, should make fusiform basilar artery dilation a diagnostic consideration.

Fig. 6. Fusiform basilar dilation. A: Lateral projection vertebral arteriogram showing a widened basilar artery (arrow) projecting beyond level of dorsum sellae. B: Anteroposterior projection showing a widened and tortuous basilar artery.

As opposed to saccular basilar aneurysms, fusiform aneurysms tend to occur in the older age group (older than 60 years) and are found predominately in men.2,36 They are commonly associated with hypertension and atherosclerotic cardiovascular disease, and a notable association with abdominal aortic aneurysms also exists.

Back to Top
ARTERIOVENOUS MALFORMATIONS
AVMs are developmental anomalous communications between the arterial and venous systems without intervening capillary beds, with an incidence of 0.04% to 0.52% in large autopsy series.61 AVMs have been described by such terms as tumor circoidius, aneurysm racemosum, circoid aneurysm, angiomatous malformation, and racemose angioma. The generic term AVM is used here to describe all such developmental vascular anomalies, although it is possible to pathologically differentiate AVMs into capillary telangiectases, cavernous angiomas, pure venous malformations, and AVMs.62 The most common, the true AVM, is a tortuous mass of both arteries and veins, abnormally developed in caliber and length. Blood is shunted directly from the arterial to the venous circulation without an intervening capillary bed.

Although many AVMs remain silent, the signs and symptoms of AVMs may be classified broadly into two groups: those produced primarily by the abnormal blood vessels, depending primarily on the location of the AVM and the effects that occur as complications of subarachnoid and intracerebral hemorrhage. The general clinical features of congenital AVMs have been extensively documented.63–65 The most common manifestations are convulsions, headaches, progressive hemispheric neurologic deficit, and mental change. These clinical phenomena are due to hemorrhage, but some effects of large AVMs may be caused by shunting of blood away from otherwise normal brain. Subarachnoid hemorrhage is the common mode of presentation, with a classic history of sudden headache and depression of consciousness accompanied by stiff neck, but without localizing signs. Untreated AVMs have an annual hemorrhage rate of 2% to 4%, with combined annual morbidity and mortality of approximately 3%.61

Seizures are the next most frequent presenting feature and are nonfocal in approximately 40% of patients, but in almost 90% of AVMs that bleed the patients have no history of a previous seizure. The initial symptoms of AVM usually present between the second and third decades of life but also occur in children66; hemorrhage, when it occurs, is most often evident between the ages of 10 and 40 years. Although debatable, it would appear that pregnancy has a deleterious effect on AVMs, with an increased likelihood of hemorrhage, such that cesarean section and sterilization have been advised by some investigators,67 but stereotactic radiosurgery is currently an evolving alternative.61

According to Ondra et al,65 of 160 patients with AVM, the average age at presentation was 33 years, most with hemorrhage. Forty percent of patients experienced hemorrhagic events during follow-up, with a 4% per year risk, and mean interval to hemorrhage of 7.7 years. Hemorrhage and death rates were equal regardless of initial AVM presentation. Pollock et al61 found a mean age of 35 ± 15.2 years with an annual rebleeding rate of 7.45%. Factors affecting outcome include age and gender, pregnancy, size and location, and mode of presentation; risk of recurrent hemorrhage increase with age.

SUPRATENTORIAL

From 85% to 90% of AVMs are in the supratentorial compartment and are supplied primarily by the carotid circulation (Figs. 7 and 8). The remainder are supplied by the vertebrobasilar system. The approximate frequency of location is as follows: frontal, 22%; temporal, 18%; parietal, 27%; occipital, 5%; and deep intraventricular or paraventricular, 18%. The intracerebral site of the malformation does not necessarily indicate that there will be signs referable to that area simply from the mass effect of the malformation. Clinical features primarily result from subarachnoid hemorrhage or intraparenchymal hemorrhage with hematoma formation.

Fig. 7. Supratentorial arteriovenous malformation in a 28-year-old woman with a history of focal motor seizures for many years and a recent subarachnoid hemorrhage. A: Lateral projection carotid arteriogram demonstrating a huge deep hemispheral arteriovenous malformation. B: Frontal projection. C: Fundus photograph showing anomalous tortuous vasculature in each eye. No retinal arteriovenous shunt was detectable.

Fig. 8. Multiple supratentorial arteriovenous malformations (AVMs). A: Lateral projection of left carotid arteriogram shows dilated afferent artery (solid arrow) feeding the right hemispheric parietal AVM (open arrow). B: Right carotid injection fills a second, more posteriorly located, parietooccipital AVM (open arrow), which drains immediately to markedly dilated cortical veins (curved arrow).

In general, when hemorrhage occurs involving a portion of the visual radiations, a homonymous visual field defect is to be expected. Selective involvement of the anterior visual pathways may occur either with extensive venous angiomas at the base of the brain or as part of the Wyburn-Mason syndrome (see later), with direct involvement of the optic nerve, chiasm, or tract. Other variants such as congenital cavernous hemangiomas may involve the anterior visual pathways,68 as may intraparenchymal cryptic AVMs69 and present as symptomatic visual loss also resulting from hemorrhage and hematoma. Amaurosis fugax may even be the presenting symptom of supratentorial AVMs when blood is shunted to the meningeal circulation from the ophthalmic artery.70 When supratentorial AVMs drain into dural venous sinuses or the vein of Galen, distant ocular effects evolve, such as proptosis71 or ophthalmoplegia72 because of arterialization of cavernous sinus complex.

Of particular interest are those AVMs that involve the occipital lobe (Fig. 9). The clinical differentiation of migraine from a cerebral AVM was previously regarded as difficult because the clinical features of occipital lobe AVMs include visual phenomena or headaches. However, in most cases the clinical distinction is possible. In 26 cases with occipital AVM, two distinct syndromes were defined in 18 patients: occipital epilepsy and occipital apoplexy.73 Focal seizures with occipital malformations consist of elementary visual sensations similar to the phenomena evoked by direct cortical stimulations. When seizure activity occurs in the striate cortex (area 17), the patient usually reports sensations of moving lights in the right or left homonymous fields. The sensations are poorly formed, episodic, usually brief, sometimes colored, and unassociated with the angular, scintillating figures so characteristic of migrainous cortical phenomena. Epileptic discharges from areas 18 and 19 cause photopsias that are unlikely to remain stationary and to flicker rapidly. The epileptic photopsias usually last only seconds; occasionally they last for a few minutes before the onset of a generalized seizure. In other instances only the brief visual episodes occur without spreading to produce a generalized seizure. Momentary dimming or blindness in one or both homonymous fields may be experienced with seizure activity in the occipital areas.

Fig. 9. Carotid arteriogram of an occipital lobe arteriovenous malformation (AVM). Lateral (A) and frontal (B) projections demonstrating a small occipital AVM (arrow). The patient was a 23-year-old woman who presented with severe apoplectic unilateral headache, total left homonymous hemianopia, and mild nuchal rigidity. Despite xanthochromic cerebrospinal fluid, she was initially diagnosed elsewhere as having migraine. An AVM was successfully resected, and a small occipital lobe hematoma was removed.

Occipital apoplexy results from hemorrhage and hematoma formation within the occipital lobe and is characterized by sudden severe headache and homonymous visual field loss. Homonymous hemianopia is the most important sign produced by vascular malformations of the occipital lobe. Compression and necrosis of visual pathways by an intracerebral hematoma are the principal mechanisms. Usually the hematoma is large and tends to split or dissect longitudinally through the white matter of the occipital lobe. The effects of compression may be reversed by prompt, surgical evacuation of the hematoma.73 With hemorrhage into one occipital lobe, hemianopia in the visual field of the contralateral normal occipital lobe may develop, producing total blindness that can last for several days. The rapidly expanding hematoma may shift the damaged hemisphere anteriorly, or across the midline, with downward herniation of the uncus through the tentorial incisura. This shift compresses the posterior cerebral arteries and accounts for bilateral occipital lobe dysfunction. Arrest of function in the undamaged occipital lobe may be due to an interhemispheral inhibitory phenomenon termed diaschisis. Visual field defects with occipital AVMs are regularly due to hemorrhage and hematoma formation. Congenital arteriovenous malformations can occupy the entire occipital pole (the macular projection area) for decades without producing visual field defects.

Although migraine is often cited as a symptom of AVM, it is extremely rare that classic migraine is mimicked by occipital AVM. None of the patients in the series by Troost et al73 described the 15- to 20-minute episodes that characterize the visual aura of classic migraine. The headaches of AVM differ from migraine in that they are constantly localized to the same side of the head, and intermittent visual phenomena, if present, can persist throughout the headache or even after, whereas in migraine the visual phenomena usually precede the headache. Bruyn74 has reviewed the clinical features of 57 reported and 7 personal cases of AVM, concluding that the migraine of AVM is late onset, nonfamilial, and brief. Rarely, the complete clinical symptomatology of classic migraine can be mimicked by an occipital lobe AVM (see Chapter 16).75 In addition to hemianopia, other visual disturbances can occur after hemorrhage into the occipital lobe, including alexia without agraphia (see Chapter 7).

INFRATENTORIAL

AVMs malformations within the posterior fossa may be classified by location or by type of blood supply, but the cerebellar hemispheres are more common sites than the brainstem. Verbiest76 classified these lesions anatomically as follows: (i) intraparenchymous, including cerebellar, pontine, and mixed forms; (ii) subarachnoid, including the cerebellopontine angle and those in the region of the vein of Galen; and (iii) those within the walls of the posterior fossa, which are principally intradural.

The clinical features of the intraparenchymous malformations are extremely varied and, occasionally, these AVMs are discovered only at postmortem examinations, with the patient being entirely asymptomatic during life. Otherwise such malformations may determine an acute or chronic neurologic syndrome or a course of chronic evolution interrupted by a sudden apoplectic event. Acute manifestations result from subarachnoid, cerebellar or brainstem hemorrhage. In the nine patients reviewed by Logue and Monckton,77 two patients with cerebellar AVM experienced apoplectic onset subarachnoid hemorrhage, combined with bilateral sixth-nerve paresis and ataxia. However, other patients in the series had a fluctuating course extending as long as 15 years, with involvement of cranial nerves II through XII, pyramidal tract signs, Parinaud's syndrome, and ataxia. Ocular signs and symptoms otherwise have included palsies of cranial nerves III, IV, and VI, horizontal gaze palsy, and nystagmus,78 as well as ocular skew deviation.79

Lessell and associates80 have suggested that brainstem AVMs may be suspected in the following clinical settings: (i) subarachnoid hemorrhage with focal brain-stem signs; (ii) subarachnoid hemorrhage without focal signs; (iii) tic douloureux or hemifacial spasm in a young adult; (iv) hydrocephalus with or without signs of increased intracranial pressure; (v) recurrent occipital or hemicranial headache; (vi) progressive posterior fossa signs; and (vii) remitting multifocal brain stem signs. Pedersen and Troost81 presented a single patient who had all such features over a lifetime, including nystagmus, skew deviation, and optic atrophy.

Arteriovenous anomalies involving the dural venous sinuses constitute a special situation. Central nervous system signs and symptoms are related to passive venous hypertension or congestion as a result of increased pressure in the superior sagittal sinus or to venous sinus thromboses. Seizures, transient ischemic attacks, motor weakness, and brain stem or cerebellar symptoms accrue with cortical vein thrombosis, and subarachnoid hemorrhage may occur. Dural AVMs are reported to comprise 6% to 15% of intracranial AVMs and may be congenital or acquired.82 Houser and colleagues83 have angiographically demonstrated sigmoid and transverse sinus occlusions that preceded the development of spontaneous AVMs, and Chaudhary and co-workers84 documented AVMs after head trauma. Therefore, the origin of an AVM may include the combined influence of congenital anomalies, trauma, and coagulopathic states. Most cases become symptomatic in the fifth and sixth decades, with no gender preference.

Clinical findings are determined by the volume, direction, and route of venous drainage. Of neuro-ophthalmologic interest are the presence of papilledema,85 cranial nerve palsies, pulse-synchronous bruit, and (rarely) tinnitus;86 proptosis may be bilateral.87

The detection of intracranial AVMs is facilitated by CT scanning and MRI (Fig. 10),88 but optimal management requires selective angiography89 that assesses the size and configuration of the mass, the number and location of feeding arteries, the flow characteristics and degree of steal from brain parenchyma, and the pattern of venous drainage.

Fig. 10. Neuroimaging of arteriovenous malformation. A: Coronal magnetic resonance imaging (MRI) (TR, 600 ms; TE, 20 ms) shows wedge-shaped vascular mass extending from the surface of the parietal cortex (white arrows) to the lateral ventricle (black arrows; asterisk, arterial feeder). B: Posteroanterior left arteriogram of the same lesion. C: Axial computed tomography scan with contrast enhancement. D: Axial MRI of a large arteriovenous malformation, first echo (TR, 2000 ms; TE, 20 ms). E: Second echo (TR, 2000 ms; TE, 90 ms). (From Smith HJ, Strother CM, Kikuchi Y, et al: MR imaging in the management of supratentorial intracranial AVMS. AJNR Am J Neuroradiol 9:225, 1988.)

The natural history of unruptured intracranial AVMs is somewhat controversial,65,67 the issue being conservative management of interventional therapy using refined microsurgical or embolization techniques. Brown and associates90 reviewed the experience of the Mayo Clinic, Rochester, Minnesota, from 1974 through 1985, with a minimal follow-up of at least 4 years after diagnosis (mean follow-up time, 8.2 years). Of 168 patients, 18.5% had an intracranial hemorrhage, with an overall risk of hemorrhage of 2.25% per year (vs. 4%, as reported by Ondra et al65), and observed annual rates of hemorrhage increased over time. The mortality rate from hemorrhage was 29%. Of 22 patients with nonfatal intracranial hemorrhages, 14 did not undergo treatment and none of these had recurrent hemorrhage during the mean follow-up of 58 months. No radiologic or clinical features seem consistently helpful in predicting rupture. According to Pollock et al,61 analysis of clinical and radiologic features revealed 6 signficant risk factors for hemorrhage: (i) history of prior bleeding; (ii) deep location; (iii) deep venous drainage; (iv) increasing patient age; (v) diffuse morphology (versus compact nidus); and (vi) single draining vein. Based on these findings, these authors concluded that annual bleeding for the low-risk group was 1.0%, and it was 9.0% for the highest risk group.

The therapy for AVMs has been reviewed elsewhere.91–93 The preferred treatment remains complete surgical excision of the malformation. However, significant advances in endovascular and radiosurgical techniques have resulted in a marked increase in the use of multimodal, staged approaches to AVM treatment. A variety of intravascular techniques use embolization91 with materials such as particles of polyvinyl alcohol (PVA), platinum coils, and injection of liquid N-butyl-cyanoacrylate (NBCA) adhesive (Fig. 11). Complications of intravascular embolotherapy include vessel perforation by the catheter, migration of embolic materials, and infarction and hemorrhage of normal brain.

Fig. 11. Embolization of middle cerebral vessels that supply occipital lobe arteriovenous malformation (AVM). The patient had a subarachnoid and intraparenchymal hemorrhage that produced a left homonymous field defect. A: Right carotid arteriogram demonstrates contribution via posterior communicating artery to a right occipital lobe AVM. B: Vertebral injection. The arrow points to the enlarged right posterior cerebral artery that is a major feeder of the AVM. C: Right carotid arteriogram during glue embolization procedure. The arrow points to a catheter as it traverses the segment seen in (B). The catheter was advanced via the internal carotid artery but is positioned far posteriorly. D: Upper branches to the AVM now are occluded, with residual low-flow vascularization via the middle cerebral artery. E: Skull film showing radiopaque glue within the AVM and blood vessels previously supplying it. The patient had a persistent visual field defect but greatly reduced headache and no persistence of subjective bruit. (Courtesy of Dr. Joseph Horton.)

Mechanisms of delivery of radiation therapy to AVMs include those of the linear accelerator (LINAC), gamma knife, and heavy charged particle beam (proton and helium ion Bragg-peak radiosurgery). Stereotactic radiosurgery is most commonly administered by gamma knife for a variety of intracranial disorders to include tumors and vascular malformations.94 Pollock et al61 believe that stereotactic radiosurgery is 80% effective for AVMs less than 3 cm in average diameter, within a latency period of 2 to 3 years, but the patient is at risk during the interval until obliteration of the lesion.

Back to Top
CAVERNOUS MALFORMATIONS
Cavernous malformations (cavernous angiomas, hemangiomas) are congenital vascular anomalies of brain parenchyma, many times found incidentally on neuroimaging for unrelated symptoms. Histopathologically, these are characterized by dilated thin-walled vascular channels lined by simple endothelium and fibrous adventitia, but without major arterial feeders or draining venous channels; typically, no brain parenchyma is found within the lesion.95 Annual bleed rates are lower than for AVM, being approximately 1%, but such incidents are rarely life threatening. These lesions may be familial. In a series of 122 patients,96 mean age was 37 years (range, 4 to 82 years), 35% of the angiomas were located in the brainstem, 17% in basal ganglia or thalamus, and hemispheric in 48%; 50% of patients had not had a symptomatic hemorrhage. Stereotactic radiosurgery is beneficial especially for lesions that have bled.96

Cerebral developmental venous anomalies (DVAs) are relatively rare lesions associated with head, cervicofacial, or orbital venous malformations, but they are improperly called cerebral venous angiomas or cavernoma.97 Blue cutaneous staining, increased by dependent position or Valsalva maneuver, is caused by ectatic dermal venous channels, without thrill or bruit. Intraoral mucosal malformations are common. Located in paraventricular or subcortical sites, cerebral DVAs are usually incidental findings without preceding hemorrhage or neurologic deficits and are discovered at the time of angiography for facial venous malformations. MRI and MRA are considered reliable noninvasive techniques to elucidate the superficial venous malformations as well as occult cerebral DVAs.97

Back to Top
CAROTID–CAVERNOUS SINUS FISTULAS
Arteriovenous communications in the region of the cavernous sinus include the classic, and often dramatic, internal carotid–cavernous fistula, and the more elusive syndrome of spontaneous shunts in the dural–meningeal circulation. These dynamic shunts are dilemmas not only in clinical diagnosis but also in the management of ocular complications and in the application of diagnostic and therapeutic techniques.

The S-shaped intracavernous segments of the internal carotid arteries lie within a bilateral plexus of freely communicating venous channels that comprise the paired, extradural parasellar cavernous sinuses. An extensive arterial anastomosis interconnects the two intracavernous carotid arteries, which are also in communication with the meningeal arterial system arising from the external carotid arteries (ascending pharyngeal and internal maxillary arteries), internal carotid arteries and vertebral arteries. The three major intracavernous branches of the internal carotid artery are the meningohypophyseal trunk, the inferior cavernous sinus artery, and the superior hypophyseal arteries (Fig. 12).

Fig. 12. Vascular anatomy of the intracavernous internal carotid artery supplying pituitary, sellar, and parasellar structures.

Venous flow from the face (frontal and angular veins) enters the superior ophthalmic vein at the superior-medial orbital rim, thence to the cavernous sinus via the superior orbital fissure. The cavernous complex drains posteriorly via superior and inferior petrosal dural sinuses, and the basal clival plexus, to the internal jugular system.

Arteriovenous shunts involving the cavernous sinuses are rarely congenital. Approximately 25% of arteriovenous fistulas occur spontaneously, especially in middle age to elderly women, and atherosclerosis may be considered the substrate for such dural arterial leaks. Cerebral trauma accounts for some 75% of carotid–cavernous fistulas, usually in the younger age group, producing the classic clinical picture of pulsating exophthalmos. Other traumatic causes include penetrating orbitocranial wounds, including knife injuries. Iatrogenic fistulas are reported following transsphenoidal pituitary surgery,52 after injury to the internal carotid artery during endarterectomy,98 after ethmoidal sinus surgery,99 or after percutaneous gasserian and retro-gasserian procedures.100 Connective tissue disorders such as Ehlers-Danlos syndromes have been associated with spontaneous carotid–cavernous fistula,101 and fistulas are documented during otherwise uncomplicated pregnancy.102

The classification of carotid–cavernous fistulas is problematic but these lesions may be sorted according to several criteria: pathogenetically into spontaneous or traumatic; angiographically into direct (cavernous carotid) or dural (external carotid); and hemodynamically into high-flow and low-flow, although no objective criteria exist for this distinction except severity of clinical findings. Barrow and co-workers103 suggest that all carotid–cavernous fistulas may be categorized into one of four angiographic types: type A, direct shunts between the internal carotid artery and the cavernous sinus, including most traumatic carotid–cavernous fistulas that are characterized by high venous pressure and flow; type B, dural shunts between meningeal branches of the internal carotid artery and cavernous sinus; type C, dural shunts between meningeal branches of the external carotid artery and cavernous sinus; and type D, dural shunts between meningeal branches of both internal and external carotid arteries and cavernous sinus.

Carotid–cavernous fistulas are initiated by traumatic or spontaneous rents in the walls of the intracavernous internal carotid artery or its branches, with short-circuiting of arterial blood into the venous complex of the cavernous sinuses. The two cavernous sinuses are connected across the sphenoid, including the sellar floor and clivus, so that any signs and symptoms may be bilateral. The major anterior outflow structures of the cavernous sinus are the orbital veins, which become engorged, with secondary congestion of orbital soft tissues (Figs. 13 and 14). With raised venous pressure and lowered arterial perfusion, stagnant hypoxic changes also contribute to soft tissue swelling, some degree of ophthalmoplegia, and anterior segment ischemia.

Fig. 13. A: Right-sided carotid–cavernous fistula following head trauma. The right eye demonstrated pulsating exophthalmos with subjective and objective bruits. B: Close-up of the right eye with the lid elevated shows chemosis and arterialized conjunctival vessels. C: Left-sided carotid–cavernous fistula in a young man after a gunshot wound to the base of the skull. In addition to chemosis shown, there was a loud bruit over the forehead and involvement of left cranial nerves II through XII.

Fig. 14. Conjunctival vessels in two patients with carotid–cavernous fistulas. A: Large dilated veins in a patient with a major posttraumatic fistula. B: “Corkscrew” vessel tortuosity in a 55-year-old woman with a dural carotid–cavernous fistula.

In the fully evolved state, this syndrome includes lid swelling and orbital pain, varying degrees of pulsating exophthalmos, subjective or objective ocular or cephalic bruit, diplopia, engorged and chemotic conjunctiva, and raised intraocular tension. The fundus may show dilated veins without spontaneous pulsations, disc edema, retinal hemorrhages, venous stasis retinopathy or vein occlusions and, rarely, choroidal effusions.104–106 The ophthalmoplegia with carotid–cavernous fistulas is believed to be caused by enlarged muscles or to damage of cranial nerves within the cavernous or petrosal sinus.107 Enlarged extraocular muscles are demonstrable by ultrasongraphy in this form of venous stasis orbitopathy, also utrasonography uncovers reversal of flow in the superion ophthalmic vein.107 Sudden pain with increased swelling, followed by improvement, suggests thrombosis of the superior ophthalmic vein, an event that may be documented by orbital MRI108 or by standardized orbital echography. In addition, proptosis that improves on one side, only to increase on the opposite side, produces a picture of signs and symptoms more marked contralateral to the fistula.109

Anterior segment hypoxia may include protein flare and cells in aqueous, corneal edema, glaucoma, iris rubeosis, rapidly progressive cataract, and venous statis retinopathy, that is, an hypoxic eyeball syndrome. Lesser degrees of congestion with mild conjunctival arterialization (Fig. 15), ocular hypertension, and small abduction defect all hint at the slower flow, lower pressure situation that accrues usually spontaneously with dural circulation fistulas.104,106 Bruit is less likely.

Fig. 15. Dilated tortuous conjunctival vessels in a 63-year-old woman with a presumed dural carotid–cavernous fistula. She presented with a 2-week history of “red eye,” mild retroorbital headache, and double vision. On examination, a left sixth nerve paresis, 3 mm of proptosis, a faint orbital bruit, and slightly elevated intraocular pressure were found. All signs and symptoms resolved spontaneously in 6 weeks, while angiography was being contemplated.

Although the clinical constellation previously described implies the great likelihood of carotid–cavernous fistula, definitive diagnosis depends on complete angiographic evaluation with selective opacification of bilateral internal and external carotid arteries, and vertebral circulation. Prominence of the superior ophthalmic vein is frequently detected on CT scan and MRI, and less frequently extraocular muscle enlargement and lateral bulging of the cavernous sinus are seen by MRI.110 Standardized orbital echography regularly confirms enlargement of the superior ophthalmic vein and increased flow (Fig. 16),107,111 in both direct and indirect fistulas.

Fig. 16. Orbital ultrasonography. Transocular A-scans (left) and B-scans (right) in a carotid–cavernous fistula with dilated arterialized superior ophthalmic vein. Top left: Blurred spikes (arrow) within the dilated vessel indicate fast blood flow. Bottom left: Distinct spikes (arrows) from vessel walls, at low system sensitivity. Top right. Dilated superior ophthalmic vein (arrow), at low sensitivity setting. Bottom right: Cross-section of enlarged superior ophthalmic vein. (From Byrne SF, Glaser JS: Orbital tissue differentiation with standardized echography. Ophthalmology 90:1071, 1983.)

Therapy for carotid–cavernous fistula is directed toward relieving ocular symptoms, especially where visual loss is threatened, with the goal being thrombosis of the fistula with normalization of orbital hemodynamics. Various arterial ligatures, trapping procedures, controlled embolizations, and even direct intracranial attacks have been advocated, but the current trend indicates the great advance represented by intravascular closure using detachable balloon microcatheterization techniques (Fig. 17).106 Complications of these techniques include transient or fixed hemispheral dysfunction, cranial nerve palsies, field loss, and pseudoaneurysm formation.106,112 At least one case of acute angle-closure glaucoma was reported after transvenous embolization of a traumatic carotid–cavernous fistula necessitating emergency laser iridotomy.113 The complication was thought to arise from oculomotor palsy related to the coil pack within the ipsilateral cavernous sinus. However, complication rates are apparently low. In a series of 100 consecutive patients treated for direct carotid–cavernous fistula with detachable balloons, Lewis et al 114 reported an approximately 4% overall complication rate. Endovascular treatment of dural (indirect) carotid–cavernous fistulae is usually directed transvenously also using fibered platinum coils or, less often, liquid adhesive. A recent retrospective evaluation of 135 consecutive patients treated for dural carotidcavernous fistulae over a 15 year period by Meyers et al115 revealed low permanent morbidity of 2.3% and high 90% rate of clinical cure.

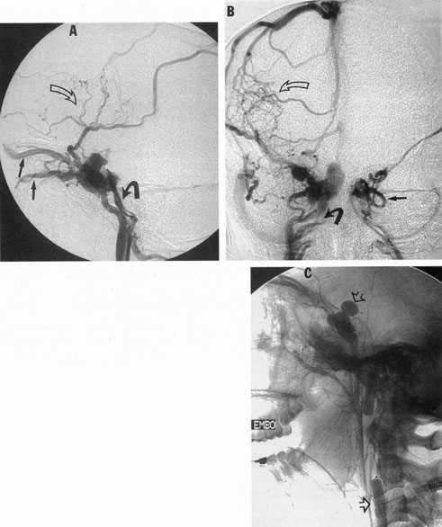
Fig. 17. A 32-year-old woman was accidentally shot in the right eye with a low-velocity missile. The initial recovery was excellent, except for loss of the right eye. Five days after the injury, left proptosis and bruit developed. Two weeks after the injury, she developed paralysis of the left sixth and fourth nerves, and visual acuity decreased to 20/400 (6/120) in her remaining (left) eye. An interventional neuroradiologic procedure was performed with complete return of function in the left eye. A: Left carotid arteriogram with immediate opacification of entire cavernous sinus (arrows). B: One-half second after (A) there was extensive filling of dural venous channels and orbital veins. C: Detachable flow-guided balloon (arrows) placed in the fistula under fluoroscopic control and opacified with contrast medium. D: Follow-up left carotid arteriogram after balloon (arrows) placement. The fistula was completely closed with preservation of carotid flow. (Courtesy of Dr. Charles Kerber.)

Spontaneous thrombosis of some fistulas does occur, especially with the slow-flow dural variety. In a series of 20 patients, 12 closed spontaneously within 3 months and 3 closed at between 6 to 18 months,116 whereas in other reviews closure rates range from 10% to 60%.106 Therefore, a period of observation may afford the least harmful management. Precise indications for intervention are unclear but surely include visual deterioration due to glaucoma, iris rubeosis or ischemic retinopathy, transient ischemic attacks, intolerable subjective bruit, or head or eye pain not otherwise amenable to conservative therapy. Halbach and co-workers117 suggested that increased intracranial pressure, rapidly progressive proptosis, visual loss, and varix-like distortion of the cavernous sinus itself all constitute indications for urgent intervention. We have seen a case of a young man with traumatic fistula and cavernous sinus enlargement to the point of intracranial compression of the ipsilateral optic nerve, with reversal of blindness after balloon occlusion, and Mirabel et al118 have reported a “giant suprasellar varix” of the superior petrosal sinus associated with a dural arteriovenous fistula. It bears repetition that few carotid–cavernous fistulas are life threatening and individual case assessment seems reasonable.

Back to Top
ENDOVASCULAR INTERVENTIONAL PROCEDURES
The risks of direct surgical vascular repairs within the cavernous sinus are formidable because of the complexity of the basal skull anatomy, the multitude of cranial nerves traversing that area, and the complexity of the anterior arterial system. Furthermore, in the setting of a dural arteriovenous malformation (dAVM) or carotid cavernous fistula (CCF) the venous structures in the region of the cavernous sinus become distended and tense, making surgical exploration in these conditions difficult and hazardous. Similar, and other, mechanical difficulties can be encountered in surgical exposure or resection of tumors of the cavernous sinus or of aneurysms of the carotid siphon. Fortunately, there has been rapid growth in the development of catheter-related technology that permits endovascular approaches for blood flow abnormalities of the cavernous sinus and related structures.

DURAL ARTERIOVENOUS MALFORMATIONS AND CAROTID–CAVERNOUS FISTULAS

The pathogenic effects of a dAVM are mediated primarily through the elevation in venous pressure seen with this condition.106,117,119 This venous pressure may be transmitted anteriorly into the orbit causing signs and symptoms associated with chronic orbital congestion and hypoxia. Because of the rich intercavernous basisphenoidal venous anastomoses, venous hypertension usually develops bilaterally, and both orbits may be affected.

The decision to treat is problematic. Retinal hypoxia (venous stasis retinopathy) with declining vision, field loss, elevation of intraocular pressure, significant proptosis, and worsening chemosis, raises concern for the long-term preservation of vision and the need for treatment. Frequently, milder symptoms and signs may be managed conservatively, while the patient practices carotid compression with the contralateral hand for 5 minutes per hour every day.120 Reports in the literature cite a response rate to this regimen, or of spontaneous dAVM thrombosis, as high as 20% to 69%.121 However, our experience with this technique has been less favorable, and there is some question that damage may be done to preexisting atherosclerotic neck vessels.

In some persons, the cavernous sinuses have existing or potential connections to the deep venous system of the brain. Indeed, this may be the preferential route of venous drainage from all or part of the cavernous basal sinus complex. Therefore, the clinical appearance of orbital venous hypertension associated with a cavernous dAVM may be relatively minimal, but arterialized flow is transmitted instead chiefly via venous dural channels draining the medial aspects of the temporal lobes and the basal vein of Rosenthal. The latter drains an extensive deep parenchymal territory, including part of the posterior fossa. This effluent pattern explains how some cavernous dAVMs or CCFs present with relatively minor outward physical signs but with serious complications from cortical venous hypertension (Fig. 18), elevated intracranial pressure (a form of secondary pseudotumor cerebri syndrome; see Chapter 5, Part II), temporal lobe seizures, brain parenchymal hemorrhage caused by venous infarction or venous rupture (Fig. 19), or edema of the posterior fossa structures.119

Fig. 18. A 25-year-old man developed severe right-sided proptosis and a loud bruit at the time of a vehicular accident. Lateral projection of the right internal carotid artery in the early arterial phase (A) and late arterial phase (B) in anteroposterior projection demonstrate immediate opacification of the superior and inferior ophthalmic veins (straight arrows), the inferior petrosal sinuses (curved arrows) and of the deep parenchymal veins of the right hemisphere (open curved arrows). The fistula was related to a large carotid laceration involving the cavernous and supraclinoid segments of the right internal carotid artery. The artery could not be preserved at the time of treatment. C: Latex balloons (open-ended arrowheads) were placed in the fistula and within the carotid artery at the time of treatment. (Courtesy of Frank Huang-Hellinger)

Fig. 19. A 30-year-old woman presented with headaches. Lateral views of left (A) and right (B) internal carotid arteriograms demonstrate developmental venous malformation of the cribriform plate supplied by both ophthalmic arteries. Note subarachnoid veins of the anterior cranial fossa (curved arrows). In addition, the right ophthalmic artery (B) has a cavernous origin (arrow), a vestige of the dorsal ophthalmic artery that usually atrophies in fetal development.

The anatomic substrate for the vascular chain of complications can be defined best by timely conventional selective angiography alone, even in patients presenting with seemingly mild signs. The decision to intervene and the mode of treatment can only be based on the precise angiographic details.

Endovascular treatment of fistulous lesions in the cavernous sinus can be pursued via transarterial or transvenous routes.114,115,122–124 In the case of direct CCFs, the laceration of the carotid artery is usually most easily sealed with a transarterial detachable balloon (see Fig. 17).125 If possible, this technique is performed by detaching the balloon on the venous side of the fistula to close it, while preserving flow in the carotid artery. Occasionally, such precise balloon positioning may not be possible or the laceration of the carotid artery might be complex. Therefore, assuming that adequate collateral intracranial circulation has been demonstrated, a trapping procedure using detachable balloons may be necessary, that is, closing the carotid artery above, below, and at the site of the fistula. Detachable balloons are manufactured from silicone or latex and their placement can be difficult, sometimes requiring a shift in midprocedure to alternative techniques. Spontaneous deflation over a period of weeks occurs in both types of balloon when the inflating material is conventional radiographic contrast. By this time, however, it is hoped that the fistula site will have thrombosed and become endothelialized. Therefore, delayed recanalization of the fistula site after balloon closure is not a common problem, although these sites have a 20% to 30% rate of pouch or pseudoaneurysm formation on delayed follow-up.114 However, clinical sequelae of these pouches or pseudoaneurysm sites seem to be uncommon.

The major alternative to balloon closure of a CCF is coil placement126,127 which is currently mandated by the inexplicable commercial unavailability of detachable balloons. This can be accomplished transarterially, similar to the technique for balloon placement across a fistula. Alternatively, transvenous catheterization with closure of the fistula using coils, similar to transvenous embolization of a dAVM, is also well established as a viable technique. This has particular application in patients in whom the fistula hole is too small to allow passage of a balloon, or in whom the hole has a configuration that prevents stable positioning of a balloon.

The more effective therapy consists in transvenous packing of the cavernous sinus using fibered thrombogenic 0.018-inch coils placed via a coaxial microcatheter system. By tightly packing the venous side of a dAVM with a thrombogenic mesh of platinum coils, flow through the dAVM ceases and the arterial feeders regress. Access to the cavernous sinus can be gained in more than 80% of such patients via the inferior petrosal sinus. A 5- to 7-French introducer catheter is advanced from a femoral vein to the jugular bulb. Within the introducer catheter, a coaxial microcatheter is then directed into the inferior petrosal sinus and cavernous sinus (Fig. 20). Various coil types and sizes, most made of platinum, are available and may be deployed in this location. These are advanced in the introducer microcatheter with an 0.018-inch pusher wire until they extrude from the tip of the microcatheter. Most fibered coils are also available in the Guglielmi detachable coil (GDC) range. These coils are soldered to a stainless steel wire pusher. When the coil is in a satisfactory location, it is detached by passing an electrolytic 9-V current that dissolves the solder. This coil type carries the advantage of allowing more precise placement and greater control, distinctly advantageous in a high-flow fistula.

Fig. 20. A 54-year-old man presented with worsening proptosis and chemosis of his left eye following endoscopic sinus surgery. A: Contrast-enhanced T1-weighted axial magnetic resonance imaging demonstrates an asymmetric dilation of veins (large arrow) in the left cavernous sinus; note enlarged lateral rectus muscle (small arrow). Lateral view of selective left internal carotid arteriogram (B) and frontal view of selective left external carotid arteriogram (C) demonstrate opacification of the cavernous sinus through numerous small vessel shunts; note opacification of the inferior petrosal sinus (small arrows in B), indicating a potential route for transvenous approach. The cavernous sinus was packed with fibered coils using transvenous access via the inferior petrosal sinus. D: Lateral view of post-embolization angiogram of the left internal carotid artery shows complete closure of the malformation. The mesh of packed coils is seen on the subtracted image (arrow).

Occasionally, transvenous access to the cavernous sinus is thwarted by variations in otherwise normal native anatomy. For example, some compartments of the cavernous sinus involved with the shunt may be completely separated from the inferior petrosal sinus, with exclusive drainage to the superior ophthalmic vein. In such patients, transvenous access can be gained by retrograde catheterization of the superior ophthalmic vein (Fig. 21), either directly128 or by puncture of the facial vein.129 Events may conspire at times to preclude ipsilateral transarterial therapy and thereby necessitate transvenous placement of GDC coils in the cavernous sinus while simultaneously protecting the parent carotid vessel by non-detachable balloon reconstructive technique.130 Use of a coronary stent across the fistulous segment of a direct CCF and subsequent introduction of GDC coils into the sinus via the interstices of the stent has been reported when the anatomy precluded detachable balloon placement.131 When the venous drainage from the cavernous sinus is directed exclusively to the veins of the temporal lobes or to the basal vein of Rosenthal, surgical exposure of the cavernous sinus and intraoperative venous packing with coils may be necessary.

Fig. 21. A 35-year-old man with a right carotid cavernous fistula (CCF) following head trauma. Therapeutic alternatives in this case were limited by the presence of an occlusive dissection of the ipsilateral right internal carotid artery and absence of venous access to the fistula via the inferior petrosal sinus. The lesion was embolized initially via the ipsilateral posterior communicating artery (arrow in A indicates coils from the first procedure). However, the fistula recanalized, and the patient presented with recurrent symptoms. A: Lateral projection of the left vertebral artery at the start of the second procedure demonstrates opacification of the supraclinoid right internal carotid artery (open arrow), with fistulous flow to the superior ophthalmic vein (curved arrow), draining inferiorly via the facial veins (small arrows). The second procedure was performed with surgical exposure of the superior ophthalmic vein under general anesthesia in the angiography suite. B: The tense distended vein (white arrow) has been dissected and secured with two vascular ties. C: A small venotomy was performed between the vascular ties through which a Tracker 18 microcatheter (small arrow) was inserted. This was then guided over a wire into the cavernous sinus in the region of the fistula, where a further packing of coils resulted in complete occlusion of the CCF. (Courtesy of Dr. Peter Rubin.)

Transarterial embolization therapy of dAVMs of the cavernous sinus is less satisfactory in efficacy and safety profile than is transvenous embolization. Dural AVMs in this region typically draw arterial supply from a myriad of distal branches of the external carotid artery, ophthalmic artery, and internal carotid artery. Quite apart from the difficulty of closing all of these small vessels with particulate PVA or coils, the hazards of inadvertent embolization of the ophthalmic artery or internal carotid artery are considerable. Aggressive embolization in this territory with more noxious agents such as alcohol132 or cyanoacrylate also carries a high risk of ischemic injury to the cranial nerves of the cavernous sinus. More recently, radiosurgery (gamma knife) was proposed by Guo et al133 as an alternative treatment of dAVFs of the cavernous sinus, with obliteration of fistulas in 12 of 15 patients reported in this series.

ANEURYSMS OF THE CAROTID SIPHON

Aneurysms in the region of the carotid siphon fall into two major categories. Intradural aneurysms, including those related to the carotid–ophthalmic junction, occur above the carotid dural ring. Extradural aneurysms occur below the dural ring and are synonymous with cavernous aneurysms. From a neurosurgical point of view, intradural aneurysms are more dangerous in that their rupture is associated with sudden onset of subarachnoid hemorrhage and its attendant morbidity and mortality. Rupture of cavernous aneurysms rarely causes subarachnoid or subdural hemorrhage and is even more unlikely to result in sudden presentation of a spontaneous CCF. Most small cavernous aneurysms rupture incidentally during angiography performed for other reasons, and they do not require therapy.

Large cavernous aneurysms often present to the ophthalmologist, when expansion of the aneurysm causes severe dural headache, or when mass effect causes compression of the intracavernous cranial nerves with diplopia (see Chapter 12). Typically, patients present with retroorbital pain and an ipsilateral cranial nerve VI palsy, later progressing to involve cranial nerve III. In these patients, treatment may be warranted, especially for pain. Intervention may also be recommended in certain asymptomatic patients when the location of the aneurysm is on the medial aspect of the carotid genu. In this site, the carotid cave, the precise location of the dural ring can be difficult to discern and some uncertainty may exist about whether an aneurysm of this site is intradural or extradural. Some transitional aneurysms in this position straddle both compartments, and, therefore, present a risk of subarachnoid hemorrhage.

Because of the difficulties in surgical exploration of the cavernous sinus, as with dAVFs, endovascular therapy for aneurysm in the region of the cavernous sinus has evolved rapidly.134,135 Furthermore, intradural aneurysms related to the carotid–ophthalmic junction or along the proximal supraclinoid carotid artery may present a difficult surgical exposure. The anatomy of the anterior clinoid process, the falciform dural fold extending medially from the anterior clinoid process to the tuberculum sellae, and the middle and posterior clinoid ligaments can be variable. These variations further confound surgical exposure and closure of aneurysms in this location. Consequently, a growing number of such patients are being referred for endovascular therapy.

Endovascular therapy of aneurysms of the carotid siphon depends on two questions: Can the aneurysm be obliterated while preserving antegrade flow in the carotid artery? If the aneurysm cannot be obliterated safely, then does the clinical profile of the patient warrant a consideration of carotid artery closure, and is there adequate intracranial collateral flow to tolerate such a maneuver? Reconstructive endovascular therapy of aneurysms in the carotid siphon consists in transarterial packing of the aneurysm with platinum GDC (Fig. 22). These coils are manufactured in a range of helix-diameters and lengths, in 0.010- and 0.018-inch diameters. When satisfactorily placed they are detached from the stainless steel pusher with a 9-volt battery current. The procedure is performed under general anesthesia and with full heparinization.

Fig. 22. A 63-year-old woman presented with a 3-month history of severe left-sided retroorbital headaches. A: Frontal view of the left carotid angiogram shows a 7-mm rounded aneurysm of the left cavernous segment projecting medially (arrow). B: After virtually complete obliteration of the aneurysm with Guglielmi detachable coils (arrow), the symptoms improved significantly.

The object of the procedure is to achieve a tight packing of the aneurysm-lumen to stop inflow of blood, while preserving flow in the parent (carotid) artery. The configuration of the neck of the aneurysm is, therefore, of some concern in that a small-shouldered neck is more likely to retain the coil loops within the aneurysm. Aneurysms with wide, gaping necks are less favorably disposed to this technique. However, a newer technique has now been described whereby two catheters are placed in the carotid artery at once.135 One microcatheter is placed in the aneurysm while a balloon catheter is placed along the mouth of the aneurysm. The balloon is gently inflated for a short period at the time of each coil placement, resulting in satisfactory preservation of the carotid lumen during aneurysm packing.

For giant aneurysms (larger than 2.5 cm) of the carotid siphon, and for those with other complicating anatomic features, coil obliteration of the aneurysm with preservation of the carotid artery may not be possible.136 A temporary balloon test occlusion of the carotid artery can be conducted to test the feasibility of arterial sacrifice as definitive therapy. Ideally, it is preferable to place balloons or occluding coils above and below the aneurysm site, so-called aneurysm trapping. However, this may not always be possible and proximal occlusion of the artery may be necessary. This maneuver probably has a slightly higher risk of embolization into the intracranial circulation from the long-remaining artery stump and is therefore a secondary choice in this type of procedure. Intraarterial detachable balloons are the easiest and least expensive means of executing an arterial sacrifice. It can also be accomplished by packing the lumen of the artery with thrombogenic coils. However, this is a lengthy procedure and the number of coils necessary contributes significantly to the comparative expense.

EMBOLIZATION OF TUMORS OF THE CAVERNOUS SINUS

Preoperative embolization of meningiomas and other tumors in the region of the cavernous sinus is a commonly performed procedure, depending on the preferences of the operating neurosurgeon. Extremely vascular meningiomas, or vascular metastases to the skull base from renal cell or thyroid carcinoma, can be problematic because of blood loss at the time of surgery. Preoperative devascularization of such lesions with particulate embolization can contribute significantly to the ease and efficacy of surgery. Such embolization therapy is somewhat hazardous and requires considerable training and experience to be performed safely. The numerous anastomoses between the ophthalmic artery, internal carotid artery, and external carotid artery add to risks, which may include stroke, blindness, and cranial nerve palsy.

ENDOVASCULAR TREATMENT OF ANEURYSMS

The rapid development of new tools in the surgical and endovascular armamentaria has somewhat complicated the management of the patient with intracranial aneurysms, both ruptured and unruptured. The clinician is faced with a variety of paths to therapy based on the aneurysm's size, location, presence or absence of rupture and the patient's age, symptoms, tobacco use,137,138 and other comorbidities.139,140

Unruptured incidental intracranial aneurysms present the special dilemma of treating an entity, the natural history and true incidence of which are still debatable.137,140–142 The retrospective arm of the International Study of Unruptured Intracranial Aneurysms (ISUIA) released in 1998 was quite controversial in its conclusion that aneurysms less than 10 mm in diameter exhibited the extraordinarily low rupture rate of less than 0.05% per year, as well as revealing unexpectedly high rates of surgical morbidity and mortality that begged the advisability of treating small asymptomatic aneurysms.143 Thus the prospective arm of the study was extended. The trial144 was large, enrolling 4,060 patients over a 7-year period. The patients were divided into two groups; those without (group 1) and those with (group 2) aneurysmal subarachnoid hemorrhage. From these two cohorts, 1,692 patients received no treatment, 1,917 underwent surgical clipping, and 451 had endovascular coiling. Data collected also included aneurysm size, location, and pertinent patient characteristics. Only approximately 10% of all unruptured aneurysms were in the posterior circulation for the combined groups (i.e., posterior communicating and basilar arteries).

The 5-year cumulative rupture rate in the anterior circulation for aneurysms 3 to 7 mm, 7 mm to 12 mm, 13 to 24 mm, and larger than 25 mm were 0%, 2.6%, 14.5%, and 40%, respectively, while those in the posterior circulation were 2.5%, 14.5%, 18.4%, and 50%, respectively, for the same size ranges. There was no statistical difference in rupture rates between group 1 and group 2 with the exception of a higher rate of rupture in group 2 for aneurysms smaller than 7 mm in diameter. The study identified positive predictors of hemorrhage to include increasing size, and two locations: the basilar tip and the posterior communicating artery. The cavernous carotid artery proved to be a strongly negative predictor of hemorrhage. Age was not significant in predicting rupture rate, but being over 50 years of age was strongly and negatively associated with postsurgical morbidity and mortality. Poor outcomes were associated with aneurysms larger than 2 mm in the endovascular cohort and all aneurysms in the posterior circulation for both surgical and endovascular cohorts as found in earlier surgical studies.145 Surgical and endovascular morbidity and mortality rates for group 1 at 1 year after treatment were 12.6% and 9.8%, respectively, representing an overall 22% relative risk reduction for the endovascular cohort. Similarly for group 2, the combined rates were 10.1% and 7.1% representing a 30% relative risk reduction for endovascular intervention. While treatment groups were not matched and selection criteria for treatment were not made apparent in the ISUIA, similar results were reported in the large prospective randomized International Subarachnoid Aneurysm Trial (ISAT) for ruptured intracranial aneurysms.146 Of the 2,143 patients enrolled, 1,070 were assigned to neurosurgical clipping and compared with the outcomes of 1,073 comparable patients who were treated by endovascular coiling. Within the endovascular group, 23.7% were dead or dependent at 1 year versus 30.6% of those within the surgical clipping group, to give a relative risk reduction for the endovascular group of 23% and a 6.9% absolute risk reduction.

The method of aneurysm exclusion by either surgical or endovascular methods remains polemical.147 Surgical clipping has been well studied and its risks largely revealed, and is still considered by many the standard of treatment.145,148,149 Endovascular management is a relatively new technique. As with surgical clipping, its application in high volume referral centers is associated with better outcomes.150,151 Durability of coiling and risk of rebleeding have yet to be examined with long-term studies, although technical success in greater than 85% of patients is generally reported with complication rates at least comparable to or lower than those for surgery146,152–155 yielding the possibility of replacing open surgery in a certain proportion of patients. Further refinements in coil composition such as those coated in bioactive materials156,157 or coils delivering small-volume targeted radiation158 may further reduce the probability of aneurysm recanalization and bleeding. Endovascular delivery of liquid embolic material has also been used and in early trials has proved beneficial in treating selected patients with aneurysms not amenable to coiling.159 With the advent of this myriad of therapies, it is most likely that the close cooperation of neurosurgeons, neurointerventionalists, and neurologists will become ever more important to determine for each individual the appropriate therapeutic modality.160

Back to Top
OCULOCEPHALIC VASCULAR ANOMALIES
Associated congenital vascular anomalies of the eye and brain, although infrequently encountered, are an area of special interest to ophthalmologists, neurologists, and neurosurgeons. The incidence of coexistence of such malformations cannot be stated with accuracy: many patients with retinal lesions are neurologically asymptomatic and not subjected to MRI, angiography, or other neuroimaging procedures, and in patients with an intracranial AVM, careful scrutiny of the fundus is often bypassed. A long list of eponymic oculocephalic congenital vascular syndromes has developed, perhaps sharing more features in common than characteristics that truly separate the various forms into any useful system of classification. The widespread availability of CT scanning, MRI, and proton spectroscopy has allowed more thorough and accurate diagnosis.162,163

RETINOCEREBELLAR ANGIOMATOSIS (VON HIPPEL-LINDAU DISEASE)

After von Hippel's description of angiomatosis retinae, Lindau synthesized the clinical entity, which includes angiomas of the retina, brain, spinal cord, and viscera. While the retinal lesion may be the clue that identifies the disease (and causes loss of vision), it is the cerebellar hemangioblastoma (cystic or solid) that potentially dooms the patient.163 The disorder is inherited, in the majority of instances, in an autosomal dominant pattern with variable and incomplete penetrance, the gene mapped on the short arm of Cr3. DNA extracted from blood may be analyzed for a 3-base pair deletion of the VHL gene, thereby identifying Von Hippel-Lindau (VHL) disease gene carriers.164

The penetrance of this disease is age- and tumor-dependent, with most patients presenting in the second and third decades. When angiomatous lesions become symptomatic, a careful family history is mandatory, and examination of first- and second-degree relatives is ideal. Symptoms are usually related to the retinal or cerebellar lesions, but spinal cord hemangioblastomas occur, and other visceral hamartomas should be sought; these include the following: pancreatic, lung, epididymal, and renal cysts; renal cell carcinoma; pheochromocytoma; and multiple visceral angiomas.163 Indeed, the lifetime risk for renal clear cell carcinoma amounts to 70% and is the most frequent cause of death. Pheochromocytomas affect 7% to 20% of reported patients and can be bilateral and malignant.

The retinal lesions (von Hippel tumor) may take the form of a fully developed elevated angioma in the midperiphery (Fig. 23), an incipient small nodule, or of minuscule anomalies on the disk.165 Hemangioblatoma of the optic nerve is reported, associated with cerebellar and visceral cysts.166 Most central nervous system lesions are found in the cerebellum, spinal cord, and brainstem; there is special predilection for the craniocervical junction and conus medullaris. Supratentorial lesions are rare, but chiasmal hemagioblastomas are documented.167 The larger retinal lesions are characterized by single enlarged and tortuous retinal arterial afferents and similarly dilated venous efferents. Yellowish retinal and subretinal exudate is seen, somewhat mimicking the exudative retinopathy of Coats retinal telangiectasia. Macular exudate or retinal detachment accounts for visual symptoms and may progress to proliferative retinopathy and secondary glaucoma. Multiple angiomas may occur in the same or contralateral eye. Indirect ophthalmoscopy and fluorescein angiography are exceedingly helpful in discovering small or incipient lesions. It is impossible to predict which patients with retinal angiomas harbor coexisting cerebellar lesions or other systemic harmartomas. In extensive and excellent reviews,163,170 the average age at onset of symptoms, whether ocular or neurologic, occurs in the 20- to 30-year age group, but definitely younger than 50 years of age. The cerebellar lesions present as chronic posterior fossa masses, with signs and symptoms of chronic headaches, vertigo, vomiting, and ataxia. In addition, 10% to 20% of cerebellar hemangioblastomas are associated with polycythemia. If polycythemia does not diminish following resection of the cerebellar lesion, it is likely that the mural nodule (Lindau tumor) was overlooked or that the patient harbors a renal cell carcinoma or pheochromocytoma.168

Fig. 23. Angiomatosis retinae (von Hippel's tumor). A: A 23-year-old man presented with diminished vision from exudative retinopathy involving the left macula. B: Typical retinal angioma was noted in inferotemporal midperiphery. Open arrows indicate feeding retinal arteriole; closed arrows indicate draining vein. C: Fluorescein angiogram demonstrates arteriovenous shunt through angioma. D: Small berry-like angioma in far retinal periphery. (A through C, Courtesy of Dr. J.D.M. Gass.)

Neurodiagnostic studies in the presence of a cerebellar mass may be expected to show dilation of the ventricular system and signs of posterior fossa mass. These lesions, especially when small, are amenable to surgery, and therefore the prognosis is good. Rapid and durable recovery of visual function may follow systemic therapy with vascular endothelial growth factor receptor inhibitor su5416.169

Once the retinal angioma is diagnosed, all efforts should be directed to uncover the possibility of a cerebellar lesion and occult renal cell carcinoma. The Cambridge screening protocol,163,170outlined by Maher, recommends the following: annual physical examination and urinalysis; annual indirect ophthalmoscopy, with fluorescein angiography; MRI of the brain every 3 years to age 50 years, and every 5 years thereafter; annual renal ultrasound, with CT every 3 years; annual 24-hour urine collection for vanillylmandelic acids.

ENCEPHALOTRIGEMINAL ANGIOMATOSIS (STURGE-WEBER SYNDROME)

Among the most striking of the neurocutaneous vascular syndromes is that which includes facial hemangiomas, for which reason perhaps a more useful name would be meningooculofacial angiomatosis. In its complete form, the disorder is characterized by the following: (i) port wine angioma (nevus flammeus) of the face, commonly involving the distribution of the ophthalmic division of cranial nerve V (Fig. 24), but not limited to it; (ii) seizure disorder beginning in early life; (iii) gyriform cortical calcifications associated with leptomeningeal angiomatosis; (iv) homolateral buphthalmos or glaucoma, especially when the nevus extends to the lid; and (v) intellectual retardation in about 30%. In addition, hemiplegia or hemianopia may be seen contralateral to the cerebral lesion. Familial occurrence is unsubstantiated. Angiomatosis may occasionally involve the choroid plexus, thyroid, pituitary, lungs, gastrointestinal tract, pancreas, ovaries, and thymus. The Sturge-Weber syndrome is relatively rare, with a frequency of 1 per 50,000, and likely occurs as a result of embryologic malformation of vasculature affecting skin, eye, and brain.

Fig. 24. Sturge-Weber disease. A 34-year-old woman with life-long seizures and with right homonymous hemianopia. A: Verrucous facial nevus flammeus; note that cutaneous angioma in this case precisely outlines right ophthalmic and maxillary divisions of the trigeminal nerve. B: Relative somatic hypoplasia on the right (small right hand) owing to a left cerebral vascular lesion. C: T2-weighted magnetic resonance imaging (MRI) shows hemicerebral atrophy, thickening of meninges caused by venous angioma, and calcification (black areas, arrows) that occurs in outer layers of cortex and in meningeal arteries. D: T1-weighted magnetic resonance imaging (MRI). Note calcified gyri (black areas) and compensatory thickening of overlying cranium (arrows). E: MRI, coronal section.

In a series of 51 patients seen at the Hospital for Sick Children, Toronto,171 71% had glaucoma, 69% had conjunctival or episcleral hemangiomas, and 55% had choroidal hemangiomas, almost half of which were bilateral. Choroidal hemangiomas may diffusely involve the entire uvea, or the hemangioma may be more localized (Fig. 25). For example, a minimally elevated, nonpigmented, poorly circumscribed subretinal lesion is seen. These tumors are easily overlooked, even with indirect ophthalmoscopy. The appearance resembles metastatic choroidal carcinoma. Visual symptoms are caused by cystoid degeneration of the fovea and exudative retinal detachment. Bilateral optic neuropathy associated with diffuse leptomeningeal angiomatosis is reported.172 MRI can disclose diffuse choroidal hemangiomas.

Fig. 25. Sturge-Weber disease in a 5-year-old girl with congenital angioma above the right brow and loss of vision in the right eye. An orange-red choroidal hemangioma (arrows) could be partially visualized beneath the detached retina. Note that the cutaneous angioma in this instance does not involve the lids.

The facial nevus, generally located in the trigeminal area, is congenital and does not change with age, except for a tendency to become verrucous (see Fig. 24). The supraorbital area is monotonously involved, but the angioma does not lie strictly within the boundaries of the trigeminal distribution, which is perhaps only fortuitous. Leptomeningeal venous angioma of the homolateral cerebral hemisphere constitutes the lesion that accounts for convulsions, contralateral hemiparesis, and somatic hemiatrophy. Calcification of ischemic cerebral cortex associated with vascular stasis accounts for radiologic findings of gyriform or tortuous double-lines (railroad tracks). At present, gadolinium-enhanced MRI provides sensitive documentation of leptomeningeal enhancement (see Fig. 24), the principal radiologic sign of Sturge-Weber syndrome, and enhancing choroidal angiomas also are demonstrable (Fig 26). Bilateral choroidal lesions infer bilateral cerebral hemisphere abnormalities,173 and Amirikia et al174 have reported a young child with facial nevus, bilateral choroidal hemangiomas, and cerebellar angioma. The most frequent site of cerebral angiomatosis is the occipital or occipitoparietal region of one hemisphere. There is recognized an infrequent overlap of Sturge-Weber syndrome and Klippel-Trenaunay-Weber syndrome (hemihypertrophy of soft and boney tissues with limb deformaties, hemangiomata and varicose veins, orbital varices).175

Fig. 26. Sturge-Weber disease. Axial magnetic resonance imaging sections. A: T1-weighted axial image shows thickening of posterior aspect of both globes (arrows). B: T1-weighted image with contrast shows bilateral diffuse choroidal hemangiomas (arrows). (From ref. 138)

For a more extensive description of Sturge-Weber syndrome and related vascular anomalies, the reader is referred to the chapter by Alexander in Handbook of Clinical Neurology.176

RACEMOSE HEMANGIOMAS OF RETINA, THALAMUS, AND MIDBRAIN (WYBURN-MASON SYNDROME)

In the continuum of oculocephalic vascular anomalies, racemose hemangiomas of the retina, thalamus, and midbrain, also know as Bonnet-deChaume-Blanc syndrome or Wyburn-Mason syndrome, are quite rare. This syndrome is included in the group of neurophakomatoses with fundus vascular anomalies and associated intracranial AVM. The disorder is the result of dysgenesis of embryologic anterior plexus vasculature when primitive mesoderm is shared by the involved structures. Theron and associates177 recorded only 25 cases from the literature that met the criteria of angiographic or pathologic verification. Other additional cases have been described,178–180 including involvement of the optic nerve and chiasm. In 1937, Bonnet and associates181 recognized the coexistence of retinal and cerebral AVMs and, in 1943, Wyburn-Mason182 recorded arteriovenous aneurysms of the midbrain and retina, facial nevi, and mental changes.

The classic ocular lesion is a unilateral arteriovenous retinal shunt, usually with greatly dilated tortuous vessels (Fig. 27). Arteriovenous shunting results in similar coloration of arteries and veins, but fluorescein angiography is helpful in elucidating complicated flow patterns. The lesions are congenital and nonprogressive, with symptoms of reduced vision appearing in the second and third decades of life. Rarely is vision completely spared, and the eye may be totally blind. The retrobulbar structures, including the optic nerve and chiasm, are involved by vascular malformation in a large percentage of cases, and the nerve may be almost entirely replaced by dilated vascular channels.177 Instances are described with neovascular glaucoma that followed retinal ischemia or hemorrhage from the retinal vascular malformation.180 Some retinal AVMs have been treated successfully with xenon laser photocoagulation (Fig. 28).

Fig. 27. Racemose angioma of the retina. A: Knot of retinal tissues at the inferior aspect of the photograph represents the area of the optic disc. Visual acuity is finger-counting. B: Fluorescein angiogram demonstrates complex flow patterns, including rapid arteriovenous shunting. The patient had an arteriovenous malformation of the right maxilla. (Case reported as von Hippel's disease by LaDow CS, McFall TA. Central hemangioma of the maxilla, with von Hippel's disease: Report of case. J Oral Surg 22:252, 1964. Copyright by American Dental Association. Reprinted by permission. Photographs courtesy of Mr. John Justice)

Fig. 28. Wyburn-Mason syndrome. A 4-year-old child with left amblyopia, acuity 20/200 (6/60). A: Dilated venous anomaly, left disc. B: Subtracted left internal carotid angiogram shows both an arteriovenous malformation along course of ophthalmic artery (arrows) and a suprasellar vascular anomaly (arrowheads). C: Progressive enlargement of venous complex. D: Within 20 months, vision reduced to finger-counting, the fundus appearance was that of hemorrhagic ischemic retinopathy, and neovascular angle-closure glaucoma developed with applantation tension of 54 mm Hg. Panretinal xenon laser photocoagulation was performed. E: Repeat fluorescein angiography shows clearing of retinopathy and diminished perfusion of anomalous vessels. Applanation tension was reduced to 10 mm Hg. (Effron L, Zakov ZN, Tomsak RL. Neovascular glaucoma as a complication of the Wyburn-Mason syndrome. J Clin Neuro Ophthalmol 5:95, 1985)

The clinical characteristics of the syndrome are elaborated in Table 1. Involvement of the nervous system takes the form of deep AVMs, which have special predilection for the visual pathways, including the optic nerve, chiasm, hypothalamus, basal ganglia, and mesencephalon. Midbrain and other posterior fossa signs may be encountered, including cranial nerve palsies, dorsal rostral midbrain syndrome (Parinaud), internuclear ophthalmoplegia, and nystagmus. Obstructive hydrocephalus may result from periaqueductal lesions. The symptomatology of posterior fossa AVM has been previously discussed. Deep hemispheral and basicranial lesions are not usually amenable to direct surgical intervention, and ligation of extracranial afferent vessels is not effective.

TABLE 1. Clinical Characteristics of Bonnet-De Chaume-Blanc (Wyburn-Mason) Syndrome*

Ocular
    Unilateral retinal arteriovenous malformations: 25
    Acuity: normal, 5; blind, 8
    Fields: homonymous hemianopia, 8
    Dilated conjunctival vessels: 3
Orbital (including optic nerve or perioptic tissue)
    Arteriovenous malformations.
    Proptosis: 13 (1 with pulsation)
    Enlarged optic canal: 9
Neurologic
    Mental disturbances: 7
    Hemiparesis, hemiplegia: 13
    Cerebral/subarachnoid hemorrhage: 4
    Subjective bruit: 4
    Cerebellar dysfunction: 2
    Seizures: 1
Miscellaneous
    Cutaneous vascular nevus: 6 (3 “port-wine”)
    Facial asymmetry: 3
    Head angiomas: cheek/nose, 6; mandible, 3; palate, 2; maxilla, 1; buccal mucosa, 1
    Recurrent epistaxis: 5
    Gingival/tonsillar bleeding: 3

*Specific clinical information not recorded in all 25 cases.
(Adapted from Theron J, Newton TH, Hoyt WF: Unilateral retinocephalic vascular malformations. Neuroradiology 7:185, 1974.)

 

CAVERNOUS ANGIOMAS OF RETINA AND BRAIN

Certain disorders link congenital vascular anomalies of the eye and brain, including familial cavernous angiomas of the retina and central nervous system, more commonly in the supratentorial space than posterior fossa. As a rule this syndrome is transmitted as an autosomal dominant trait and is characterized by seizures, headache, and intracranial hemorrhages.183,184 Gass185 believes that the retinal lesion is a vascular hamartoma (i.e., a cavernous hemangioma), but not an angiomatosis retinae, retinal telangiectasia, or racemose angioma. The lesion appears as a “cluster of saccular aneurysms filled with venous blood” at the nerve head or midretina (Fig. 29). Such cases are variably associated with small cutaneous angiomas, and bilateral retinal involvement has been documented as well as familial occurrence.186 Neither retinal nor cerebral lesion need be symptomatic. Rigamonti and associates184 have demonstrated the superiority of MRI over CT in discovering the cerebral angiomas, characterized by small-caliber feeding vessels with slow circulation and thrombosis.

Fig. 29. Cavernous hemangioma of the retina. Fundus appearance (A) and fluorescein angiogram (B) of segmental angiomatous malformation of retina. Note saccular dilation of capillary shunts with pooling of dye. C: Cutaneous angioma in same patient. (Courtesy of Dr. J.D.M. Gass.)

In general, it should be recognized that there is a wide and confounding spectrum of both hereditary and nonfamilial neurocutaneous angiomatoses, including various AVMs or hemangiomas of the skin and ocular fundus, associated with AVMs and venous anomalies of the brain. Leblanc et al187 suggested a useful classification of vascular neurocutaneous syndromes (Table 2). Fortunately, MRI and magnetic resonance venous angiography have evolved as practical and precise techniques in elucidating occult cerebral lesions and at least serve as preliminary studies that direct decisions for more elaborate selective arteriography.

TABLE 2. Vascular Neurocutaneous Syndromes


Phakomatoses
    Hereditary hemorrhagic telangioectasia (Rendu-Osler-Weber)
    Encephalotrigeminal angiomatosis (Sturge-Weber)
    Von Hippel-Lindau disease
    Neurofibromatosis
    Ataxia-telangiectasia (Louis-Bar)
    Hereditary neurocutaneous angiomatosis
Neurocutaneous vascular hamartomas
    Cerebroretinal arteriovenous malformations (Wyburn-Mason)
    Multiple systemic hemangiomatosis
    Blue rubber bleb nevus syndrome
    Cutaneomeningospinal angiomatosis (Cobb syndrome)

(From Leblanc R, Melanson D, Wilkinson RD: Hereditary neurocutaneous angiomatosis: Report of four cases. J Neurosurg 85:1135, 1996.)

 

Back to Top
ORBITAL VASCULAR ANOMALIES
A detailed discussion of hemangiomas and other vascular tumors occurring in the orbit is beyond the intent of this chapter (see Chapter 14). Specific lesions of neuro-ophthalmic interest, especially those clinically confused with acquired arteriovenous fistulas, are considered here and include venous varices and lymphangiomas, complicated venous varices, and vascular lesions of the orbit related to trauma. Cutaneous hemangiomas of head and neck with associated vascular brain anomalies werediscussed previously.

VENOUS VARICES, LYMPHANGIOMAS, AND RELATED LESIONS

Conflicts arise when classification of vascular anomalies is based on histologic features, although lymphatic, venous, or arterial characteristics may predominate in a lesion. More recently there is agreement that hemodynamic flow patterns are more useful criteria. Vascular malformations of the orbit can best be understood within the context of their hemodynamics, of which there are three types. Type 1 (no flow) lesions have essentially little connection to the vascular system and include lymphangiomas or combined venous lymphatic malformations. Type 2 (venous flow) lesions appear as either distensible lesions with a direct and rich communication with the venous system or nondistensible anomalies that have minimal communication with the venous system. Types 1 and 2 can be combined with both features of distensible and nondistensible hemodynamics. Type 3 (arterial flow) lesions include arteriovenous malformations characterized by direct antigrade high flow through the lesion to the venous side. Cavernous hemangiomas are also malformations that demonstrate direct low flow through the lesion. These vascular lesions are all likely congenital, but attract attention when hemorrhage, proptosis, pain, or diplopia evolve.

These newer concepts notwithstanding, according to Wright,188 “venous” anomalous malformations are by far the most common variety of vascular anomalies of the orbit, and the clinical behavior and prevalence in infancy and childhood imply a hamartomatous condition. In the Moorfields Hospital series,188 presentation occurred in patients younger than 16 years in 60% of cases, and two-thirds of the lesions enlarged slowly, painfully, and with hemorrhage, often showing bruising in the lids. There may be clinical clues such as bluish swelling especially at the superomedial aspect of the orbit, some proptosis and, as noted, distinct tendency to spontaneous hemorrhage; most enlarge with the Valsalva maneuver (see Fig. 13) and calcified phleboliths may be present, demonstrable by CT or plain skull films.

Other radiologic findings include enlargement of orbit and venous lakes or vascular marking of the frontal bone. Diagnosis may be affirmed by orbital venography, which typically delineates single or multiple complex varices (Fig. 30), and ultrasonography shows a linear echolucency that is compressible and enlarges with the Valsalva maneuver. In addition, enlargement with the Valsalva maneuver may be documented with CT, especially with short scan time spiral technique.189

Fig. 30. Orbital venous varix. A 27-year-old man was evaluated for two episodes of severe left orbital pain; the last episode was accompanied by spontaneous hemorrhage in the lower lid. Motility and vision were normal, but 3 mm of proptosis was present. Orbital venography was performed. The unsubtracted frontal projection (A) shows two lobulated venous varices (arrows), which are also demonstrated by the lateral subtracted view (B). C: Right fundus is normal. D: Left fundus shows anomalous dilated and tortuous veins.

Conjunctival vessels may be dilated, and anomalies of the retinal vascular tree are occasionally observed (see Fig. 30). Pulsation is not invariable, but its presence may mimic acquired arteriovenous shunts, such as seen with carotid–cavernous fistulas. Objective bruit or thrill is uncommon, unlike in fistula, and the proptotic globe may be retropulsed into the orbit by applying steady pressure on the eye through closed lids. Most patients enjoy normal vision, but venous varices may be associated with recurrent episodes of orbital pain, motility disturbances, and optic neuropathy (Fig. 31).

Fig. 31. Orbital venous varix. A: A 2-year-old child with left intermittent exophthalmos associated with extensive venous varix. The attempt to excise orbital varices was accompanied by massive blood loss. B: Ten years later, the eye is blind and exotropic. Venous anomalies of the kidneys were also discovered.

Conservative therapy frequently suffices, and surgery is complicated by arborization of vessels in orbital soft issues, tendency to bleeding, and extension into the posterior aspect of the orbit. Surgery is usually indicated for cosmesis or complications of multiple hemorrhages. Meddlesome operative intervention or injection of sclerosing agents may produce greater deficits and discomfort than those signs and symptoms that occur spontaneously. Radiation therapy is of no known value.

There is considerable controversy concerning origin and nomenclature. Wright188 suggested that such anomalies with venous connections are varices, and those without are lymphangiomas. On the basis of hemodynamic distinctions, Rootman190 argued that varices and lymphangiomas are distinct, the latter characterized by avascular pooling without arterial or venous connections, and nondistensibility. The histologic distinction between lymphatic channels and small veins is often difficult, and endothelial-lined spaces with lymphocytic aggregates may be seen in tissue specimens from patients with orbital varices. Consensus opinion191 holds that orbital vascular malformations must be classified according to hemodynamic characteristics; these distinctions are germane to management.

Rootman and Graeb192 provided an excellent discussion on the clinical spectrum of orbitoadnexal lymphangiomas, categorized principally by location in the orbit: superificial (lids and conjunctiva); deep (associated with orbital hemorrhage); and combined. In this series, connections with systemic venous circulation were found, suggesting relative hemodynamic isolation, and clinical and histologic distinction from venous varix was reported.

No clear line of demarcation exists where the simple orbital venous varix ends and more complicated venous vascular malformations begin. For example, involvement of the hard palate occasionally accompanies an otherwise uncomplicated orbital varix or lymphangioma.192 However, other soft tissue structures of the face and neck may be involved as well (Fig. 32). Orbitofrontal varices have been reported in association with limb osteohypertrophy, cutaneous hemangiectases, and extremity varicosities, a complex known as the Klippel-Trenaunay-Weber syndrome.193 Combined venous lymphatic malformations of the orbit (so-called lymphangiomas) may rarely be associated with noncontiguous intracranial venous developmental anomalies.194

Fig. 32. Orbital venous varix with subcutaneous venous anomalies of temple, ear, neck, and superior chest wall. (Courtesy of Dr. Dan Boghen.)

Cutaneovisceral hemangiomatosis (blue rubber bleb nevus syndrome; Bean's syndrome) is a rare congenital disorder with hallmark skin lesions (blue blebs) and gastrointestinal bleeding. The discrete venous malformations of varying size and appearance present as characteristic cutaneous lesions consisting of deep blue, soft, rubbery blebs, which are easily compressible. These malformations were described historically as cavernous hemangiomas, and inappropriately called hemangiomas. Ocular involvement includes lid blebs, iris and retinal angiomas,195 and orbital hemangiomas that may present with lid ecchymosis or intermittent proptosis,196 or intermitternt visual loss.197

VASCULAR DEFECTS RELATED TO TRAUMA

The involvement of orbital veins with arteriovenous fistulas at the level of the cavernous sinus has been discussed previously. On rare occasions, shunts of the ophthalmic artery follow blunt or penetrating injury to the orbit itself. Orbital and ocular signs following such lesions are similar to those of carotid–cavernous fistulas. Internal carotid angiography shows enlargement of the ophthalmic artery and immediate opacification of either the superior or the inferior ophthalmic vein (Fig. 33).

Fig. 33. Orbital arteriovenous fistula. A 58-yearold man noted redness of the left eye, blurred vision, and diplopia 3 years following head trauma, which had resulted in brief unconsciousness and amnesia for 2 hours. The left eye was initially red but recovered fully, and the patient was asymptomatic in the interval. Examination showed proptosis, slight limitation of motion of globe, and bruit over orbit. A: Left carotid arteriogram demonstrates vascular mass in the roof of the left orbit (arrow) with marked arteriovenous shunting from the ophthalmic artery. B: Venous phase shows choroidal crescent of the globe (arrow), slightly flattened and displaced anteriorly. Surgical excision at the University of California, San Francisco, was successful, with disappearance of all signs and symptoms. (Courtesy of Dr. Gene Coin.)

Posttraumatic arteriovenous shunts involving the intraorbital portion of the ophthalmic artery26 or its branches have traditionally been confused with primary arterial aneurysms of the orbit. The latter lesion is exceedingly rare. However, the case presented by Rubinstein and colleagues25 fulfills the angiographic criteria for acceptance.

Back to Top
REFERENCES

1. Menghini VV, Brown ND, Sicks MS, et al: Incidence and prevalence of intracranial aneurysms and hemorrhage in Ollmstead County, Minneapolis 1965–1995. Neurology 51:405, 1997

2. Schievink WI: Intracranial aneurysms. N Engl J Med 336:28, 1997

3. Kuhn F, Morris R, Witherspoon CD, et al: Terson syndrome: results of vitrectomy and significance of vitreous hemmorhage in patients with subarachnoid hemorrhage. Ophthalmology 105:472, 1998

4. Barr HWK, Blackwood W, Meadows SP: Intracavernous carotid aneurysms: A clinical pathological report. Brain 94:607, 1971

5. Lee AG, Mawad ME, Baskin DS: Fatal subarachnoid hemorrhage from the rupture of a totally intracavernous carotid artery aneurysm: Case report. Neurosurgery 38:596, 1996

6. Trobe JD, Glaser JS, Post MJD: Meningioma and aneurysms of the cavernous sinus: Neuro-ophthalmologic features. Arch Ophthalmol 96:457, 1978

7. Arseni C, Ghitescu N, Cristescu A, et al: Intrasellar aneurysms simulating hypophyseal tumors. Eur Neurol 3:321, 1970

8. Hancock DO: A case of complete bilateral ophthalmoplegia due to an intrasellar aneurysm. J Neurol Neurosurg Psychiatry 26:81, 1963

9. Wilson CB, Meyers FK: Bilateral saccular aneurysms of the internal carotid artery in the cavernous sinus. J Neurol Neurosurg Psychiatry 26:174, 1963

10. Kupersmith MJ, Berenstein A, Choi IS, et al: Percutaneous transvascular treatment of giant carotid aneurysms: Neuroophthalmologic findings. Neurology 34:328, 1984

11. Pool JL, Potts DG: Aneurysms and Arteriovenous Anomalies of the Brain: Diagnosis and Treatment. New York: Harper and Row, 1965

12. Locksley HB: Report on the Cooperative Study of Intracranial Aneurysms and Subarachnoid Hemorrhage. Section V. Part I. Natural history of subarachnoid hemorrhage, intracranial aneurysms and arteriovenous malformations. J Neurosurg 25:219, 1966

13. Ferguson GG, Drake CG: Carotid-ophthalmic aneurysms: Visual abnormalities in 32 patients and the results of treatment. Surg Neurol. 16:1, 1981

14. Guidetti B, LaTorre E: Carotid-ophthalmic aneurysms: a series of 16 cases treated by direct approach. Acta Neurochir 22:289, 1970

15. Ferguson GG, Drake CG: Carotid-Ophthalmic aneurysms: The surgical management of those cases presenting with compression of the optic nerves and chiasm alone. Clin Neurosurg 27:263, 1980

16. Jea A, Baskaya MK, Morcoss JJ: Penetration of the optic nerve by an internal carotid artery-ophthalmic artery aneurysm: Case report and literature review. Neurosurgery 53:966, 2003

17. Vinuela F, Fox A, Chang JK: Clinico-radiological spectrum of giant superclinoid internal carotid artery aneurysms: Observations in 93 cases. Neuroradiology 26:93, 1984

18. Kumon Y, Sakaki S, Kohno K, et al: Asymptomatic, unruptured carotid-ophthalmic aneurysms: Angiographical differentiation of each type, operative results and indications. Surg Neurol 48:465, 1997

19. Day AL: Aneurysms of the ophthalmic segment: A clinical and anatomic analysis. J Neurosurg 72:677, 1990

20. Savino PJ, Paris M, Schatz NJ, et al: Optic tract syndrome: A review of 21 patients. Arch Ophthalmol 96:656, 1978

21. Mindel JS, Sachdev VP, Kline LB, et al: Bilateral intracavernous aneurysms mimicking a prolactin-secreting pituitary tumor. Surg Neurol 19:163, 1983

22. Goldin RR, Silver ML: Ophtalmic artery aneurysm. Radiology 68:727, 1957

23. Jain KK: Saccular aneurysm of the ophthalmic artery. Am J Ophthalmol 69:997, 1970

24. Travers B: A case of aneurysm by anastomosis cured by ligation of the common carotid artery. Med Chir Travail 2:1, 1809

25. Rubinstein MK, Eilson G, Levin DC: Intraorbital aneurysms of the ophthalmic artery: Report of a unique case and review of the literature. Arch Ophthalmol 80:42, 1968

26. Rahmat H, Abbassioun K, Amirjamshidi A: Pulsating unilateral exophthalmos due to traumatic aneurysm of the intraorbital ophthalmic artery. J Neurosurg 60:630, 1984

27. Hyland HH, Barnett HIM: The pathogenesis of cranial nerve palsies associated with intracranial aneurysms. Proc R Soc Med 47:475, 1954

28. Soni SR: Aneurysms of the posterior communicating artery and oculomotor paresis. J Neurol Neurosurg Psychiatry 37:475, 1974

29. Hepler RS, Cantu RC: Aneurysms and third nerve palsies. Arch Ophthalmol 77:604, 1967

30. Grayson MC, Soni SR, Spooner VA: Analysis of the recovery of third nerve function after direct surgical intervention for posterior communicating aneurysms. J Ophthalmol 58:118, 1974

31. Leblanc R: The minor leak preceding subarachnoid hemorrhage. J Neurosurg 66:35, 1987

32. Chan JW, Hoyt WF, Ellis WG, et al: Pathogenesis of acute monocular blindness from leaking anterior communicating artery aneurysms: Report of six cases. Neurology 48:680, 1997

33. Bull J: Massive aneurysms at the base of the brain. Brain 92:535, 1969

34. Hooke O, Norlen G, Guzman J: Saccular aneurysms of the vertebral-basilar arterial system: A report of 28 cases. Acta Neurol Scand 39:271, 1963

35. McKinna AJ: Eye signs in 611 caes of posterior fossa aneurysms: Their diagnosis and prognostic value. Can J Ophthalmol 18:3, 1983

36. Nijensohn DE, Saiz RJ, Regan TJ: Clinical significance of basilar artery aneurysms. Neurology 24:301, 1974

37. Trobe JD, Glaser JS, Quencer RC: Isolated oculomotor paralysis: The product of saccular and fusiform aneurysms of the basilar artery. Arch Ophthalmol 96:1236, 1978

38. Arseni C, Ghitescu N, Cristescu A, et al: The pseudotumoral form of aneurysms ofthe psoterior cranial fossa. Neurochirurgia 12:123, 1969

39. Drake CG, Peerless SJ, Hernesniemi JA: Surgery of Veterobasilar Aneurysms. Vienna: Springer-Verlag, 1996

40. Drake CG, Amacher AL: Aneurysms of the posterior cerebral artery. J Neurosurg 30:468, 1969

41. Amacher AL, Drake CG: Cerebral artery aneurysms in infancy, childhood an adolescence. Childs Brain 1:72, 1975

42. Bell WE, Butler C: Cerebral mycotic aneurysms in childhood. Neurology 18:81, 1968

43. Sobata E, Ohkuma H, Suzuki S: Cerebrovascular disorders associated with von Recklinghausen's neurofibromatosis. Neurosurgery 22:544, 1988

44. Benatar MG: Intracranial fusiform aneurysms in von Recklinghasen's neurofibromatosis. J Neurol Neurosurg Psychiatry 57:1279, 1994

45. Patel AN, Richardson AE: Ruptured intracranial aneurysms in the first two decades of life: A study of 58 patients. J Neurosurg 35:571, 1971

46. Sedzimir CB, Robinson J: Intracranial hemorrhage in children and adolescents. J Neurosurg 38:269, 1973

47. Orozco M, Trigueros F, Quintana F, et al: Intrancranial aneurysms in early childhood. Surg Neurol 9:247, 1978

48. Allison JW, Davis PC, Salo Y, et al: Intracranial aneurysms in infants and children. Pediatr Radiol 28:223, 1998

49. Leffers A-M, Wagner A: Neurologic complications of cerebral angiography. Acta Radiol 41:204, 2000

50. Mahmoud NA: Traumatic aneurysms of the internal carotid artery and epistaxis: Review of literature and report of a case. J Laryngol Otol 93:629, 1979

51. Awad I, Sawhny B, Little JR: Traumatic postsurgical aneurysm of the intracavernous carotid artery: A delayed presentation. Surg Neurol 18:54, 1982

52. Paullus WS, Norwood CW, Morgan HW: False aneurysms of the cavernous carotid artery and progressive external ophthalmoplegia after transsphenoidal hypophysectomy. J Neurosurg 51:707, 1979

53. Rhoton AL, Hardy DG, Chambers SM: Microsurgical anatomy and dissection of the sphenoid bone, cavernous sinus and sellar region. Surg Neurol 12:63, 1979

54. Mokri B, Piepgras DG, Sundt TM, et al: Extracranial internal carotid artery aneurysms. Mayo Clin Proc 57:310, 1982

55. Hilton GF, Hoyt WF: An arteriosclerotic chiasmal syndrome: Bitemporal hemianopia associated with fusiform dilatation of the anterior cerebral arteries. JAMA 196:1018, 1966

56. Colapinto EV, Cabeen MA, Johnson LN: Optic nerve compression by a dolichoectatic internal carotid artery: case report. Neurosurgery 39:604, 1996

57. Johnston SC, Halbach VV, Smith WS, et al: Rapid development of giant fusiform cerebral aneurysms in angiographically normal vessels. Neurology 50:1163, 1998

58. Sacks JG, Lindenberg R: Dolicho-ectatic intracranial arteries. Johns Hopkins Med J 125:95, 1969

59. Corkill G, Sarwar M, Varapongse C: Evolution of dolichoectasia of the vertebrobasilar system as evidenced by serial compound tomography. Surg Neurol 18:262, 1982

60. Naseem N, Leehey P, Russell E, et al: MR of basilar artery dolichoectasia. Am J Neuroradiol 9:391, 1988

61. Pollock BE, Gorman DA, Schomberg PJ, et al: The Mayo Clinic gamma knife experience: indications and initial results. Mayo Clin Proc 9;74:5, 1999

62. McCormick WF, Hardman JM, Boulter TR: Vascular malformations (“angiomas”) of the brain with special reference to those occurring in the posterior fossa. J Neurosurg 28:241, 1968

63. Wilson CB, Stein BM: Intracranial Arteriovenous Malformations. Baltimore: Williams & Wilkins, 1984

64. Perret G, Nishioka H: Report on the cooperative study of intracranial aneurysm and subarachnoid hemorrhage. VI. Arteriovenous malformations: An analysis of 545 cases of craniocerebral arteriovenous malformations and fistulae reported to the cooperative study. J Neurosurgery 25:467, 1966

65. Ondra SL, Truupp H, George ED, et al: The natural history of symptomatic arteriovenous malformations of the brain: A 24 year follow-up assessment. J Neurosurg 73:387, 1990

66. Celli P, Ferrante L, Palma L, et al: Cerebral arteriovenous malformations in children. Surg Neurol 22:43, 1984

67. Horton JC, Chambers WA, Lyons SL, et al: Pregnancy and the risk of hemorrhage from cerebral malformations. Neurosurgery 27:867, 1990

68. Manz HJ, Klein LH, Fermaglich J, et al: Cavernous hemangioma of the optic chiasm, optic nerves and right optic tract. Virchows Arch A 383:225, 1979

69. Roski RA, Gardner JH, Spetzler RF: Intrachiasmatic arteriovenous malformation: Case report. J Neurosurg 54:540, 1981

70. Bogousslavsky J, Vinuela F, Barnett HIM, et al: Amaurosis fugax as the presenting manifestations of dural arteriovenous malformation. Stroke 16:891, 1985

71. Eckman P, Fountain E: Unilateral proptosis: associated with arteriovenous malformation involving the galenic system. Arch Neurol 31:350, 1974

72. Brunquell PJ, Rosenberger PB: Recurrent cavernous sinus syndrome complicating supratentorial arteriovenous malformation: Report of a case. Stroke 13:865, 1982

73. Troost BT, Newton TH: Occipital lobe arteriovenous malformations: clinical and radiologic features in 26 cases with comments on the differentiation from migraine. Arch Ophthalmol 93:250, 1975

74. Bruyn GW: Intracranial arteriovenous malformation and migraine. Cephalalgia 4:191, 1984

75. Troost BT, Mark LE, Maroon JC: Resolution of classic migraine following removal of an occipital lobe arteriovenous malformation. Ann Neurol 5:199, 1979

76. Verbiest H: Arteriovenous aneurysms of the posterior fossa. Prog Brain Res 30:383, 1968

77. Logue V, Monckton G: Posterior fossa angiomas: A clinical presentation of nine cases. Brain 77:252, 1954

78. Newton TH, Weidner W, Greitz T: Dural arteriovenous malformation in the posterior fossa. Radiology 90:27, 1968

79. Delman M: Posterior fossa arteriovenous malformation: With reference to ocular symptoms. Am J Ophthalmol 56:409, 1963

80. Lessel S, Ferris EJ, Feldman RG, et al: Brainstem arteriovenous malformations. Arch Ophthalmol 86:255, 1971

81. Pedersen RA, Troost BT: Neuro-ophthalmic manifestations of posterior fossa AVM. Neuroophthalmology 1:185, 1981

82. Graeb DA, Dolman CL: Radiological and pathological aspects of dural arteriovenous fistulas. J Neurosurg 64:962, 1986

83. Houser OW, Campbell JK, Campbell RJ, et al: Arteriovenous malformation affecting the transverse dural venous sinus: An acquired lesion. Mayo Clin Proc 54:651, 1979

84. Chaudhary MY, Sachdev VP, Cho SH, et al: Dural arteriovenous malformation of the major venous sinuses: An acquired lesion. Am J Neuroradiol 3:13, 1982

85. Gans M, Kline L, Glaser JS, et al: Papilledema and cranial bruits: signs of dural arteriovenous malformation. In: Smith J, Katz R, eds. Neuro-ophthalmology Enters the Nineties. Hialeah, FL: Dutton Press, 1988:55

86. Sila CA, Furlan AJ, Little JR: Pusatile tinnitus. Stroke 18:252, 1986

87. Buchanan TAS, Harper DG, Hoyt WF: Bilateral proptosis, dilatation of conjunctival veins, and papilledema: A neuro-ophthalmological syndrome caused by arteriovenous malformation of the torcular Herophili. Br J Ophthalmol 66:186, 1982

88. Smith HJ, Strother CM, Kikuchi Y, et al: MR imaging in the management of supratentorial intracranial AVMs. Am J Neuroradiol 9:225, 1988

89. Valavanis A: The role of angiography in the evaluation of cerebral vascular malformations. Neuroimag Clin North Am 6:679, 1996

90. Brown RD, Wiebers DO, Forbes G, et al: The natural history of unruptured intracranial arteriovenous malformations. J Neurosurg 68:352, 1988

91. Morris PP: Interventional and Endovascular Therapy of the Nervous System. New York: Springer-Verlag, 2002

92. Fleetwood IG, Steinberg GK: Arteriovenous malformations. Lancet 359:863, 2002

93. Soderman M, Anderson T, Karlsson B, et al: Management of patients with brain arteriovenous malformations. Eur J Radiol 46:195, 2003

94. Carvounis P, Katz B: Gamma knife radiosurgery in neuro-ophthalmology. Curr Opin Ophthalmol 14:317, 2003

95. Kondziolka D, Lunsford LD, Kestle JRW: The natural history of cerebral cavernous malformations. J Neurosurg 83:820, 1995

96. Kondziolka D, Lunsford LD, Flickinger JC, et al: Reduction of hemorrhagic risk after sterotactic radiosurgery for cavernous malformations. J Neurosurg 83:828, 1995

97. Boukobza M, Enjolras O, Guichard J-P, et al: Cerebral development venous anomalies associated with head and neck venous malformations. Am J Neuroradiol 17:987, 1996

98. Kushner FH: Carotid-cavernous fistula as a complication of carotid endarterectomy. Ann Ophthalmol 13:979, 1981

99. Pedersen RA, Troost BT, Schramm VL: Carotid-cavernous fistula after ethmoid-sphenoid surgery: clinical course and management. Arch Otolaryngol 107:307, 1981

100. Sekhar LN, Heros RC, Kerber CW: Carotid-cavernous fistula following percutaneous retrogasserian procedures: Report of two cases. J Neurosurgery 51:700, 1979

101. Farley MK, Clark RD, Fallor MK: Spontaneous carotid-cavernous fistula and the Ehler-Danlos syndromes. Ophthalmology 90:1337, 1983

102. Toya S, Shiobara R, Izumi J: Spontaneous carotid-cavernous fistula during pregnancy or in the postpartum stage: Report of two cases. J Neurosurg 54:252, 1981

103. Barrow DL, Spector RH, Braun I, et al: Classification and treatment of spontaneous carotid-cavernous sinus fistulas. J Neurosurg 62:248, 1985

104. Phelps CD, Thompson HS, Ossoinig KC: The diagnosis and prognosis of atypical carotid-cavernous fistula (red-eyed shunt syndrome). Am J Ophthalmol 93:423, 1982

105. Kupersmith MJ, Berenstein A, Flamm E, et al: Neuro-ophthalmic abnormalities and intravascular therapy of traumatic carotid cavernous fistulas. Ophthalmology 93:906, 1986

106. Keltner JL, Satterfield D, Dubin B, et al: Dural and carotid cavernous sinus fistulas: Diagnosis, management and complications. Ophthalmology 94:1585, 1987

107. Atta HR, Dick AD, Flamed LM, et al: Venous stasis orbitopathy: A clinical and echographic study. Br J Ophthalmol 80:129, 1996

108. Sergott RC, Grossman RI, Savino PJ, et al: The syndrome of paradoxical worsening of dural-cavernous sinus arteriovenous malformations. Ophthalmology 94:205, 1987

109. Bynke HG, Efsina HO: Carotid-cavernous fistula with contralateral exophthalmos. Acta Ophthalmol 48:971, 1970

110. Elster AD, Chen MYM, Richardson DN, et al: Dilated intercavernous sinuses: An MR sign of carotid-caverneous and carotid-dural fistulas. Am J Neuroradiol 12:641, 1991

111. Spector RK: Echographic diagnosis of dural carotid-cavernous sinus fistulas. Am J Ophthalmol 111:77, 1991

112. Kupersmith MJ, Berenstein A, Choi IS: Management of nontraumatic vascular shunts involving the cavernous sinus. Ophthalmology 95:121, 1988

113. Komiyama M, Morikawa T, Matsusaka Y, et al: Acute angle-closure glaucoma after successful embolization of traumatic carotid-cavernous sinus fistula. Neurol Mid Hir (Tokyo) 43:142, 2003

114. Lewis AI, Tomsick TA, Tew JM: Management of 100 consecutive direct carotid cavernous fistulas: Results of treatment with detachable balloons. Neurosurgery 36:239, 1995

115. Meyers PM, Halbach VV, Dowd CF, et al: Dural carotid cavernous fistula: Definitive endovascular management and long-term follow-up. Am J Ophthalmol 134:85, 2002

116. Guthoff R, Jorgensen J: Long-term follow-up in patients with spontaneous A-V fistulas affecting the orbit. Orbit 6:229, 1987

117. Halbach VV, Hieshima GB, Higashida RT, et al: Carotid cavernous fistulae: indications for urgent treatment. Am J Neuroradiol 8:627, 1987

118. Mirabel S, Lindblom B, Halbach VV, et al: Giant suprasellar varix: An unusual cause of chiasmal compression. J Clin Neuroophthalmology. 11:268, 1991

119. Lasjaunias P, Chin M, Ter Brugge K: Neurological manifestations of intracranial dural arteriovenous malformations. J Neurosurg 64:724, 1986

120. Magidson MA, Weinberg PE: Spontaneous closure of dural arteriovenous malformation. Surg Neurol 6:107, 1976

121. De Keizer RJW: Carotid-cavernous and orbital arteriovenous fistulas: ocular features, diagnostic and hemodynamic considerations in relation to visual impairement and morbidity. Orbit 22:221, 2003

122. Halbach VV, Higashida RT, Hieshima GB: Transvenous embolization of direct carotid cavernous fistulas. Am J Neuroradiol 9:741, 1988

123. Guglielmi G, Vinuela F, Duckwiler G, et al: High-flow, small-hole arteriovenous fistulas: treatment with electrodetachable coils. Am J Neuroradiol 16:325, 1995

124. Desal H, Leaute F, Auffray-Calvier E, et al: Direct carotid cavernous fistula. Clinical, radiologic and therapeutic studies: a propos of 49 cases. J Neuroradiol 24:141, 1997

125. Phadke RV, Jumar S, Sawlani V, et al: Traumatic carotid cavernous fistula: Anatomical variations and their treatment by detachable balloons. Australas Radiol 42:1, 1998

126. Irie K, Fujiwara T, Kuyama H, et al: Transvenous embolization of traumatic carotid cavernous fistula with mechanical detachable coils: minimally invasive. Neurosurgery 39:28, 1996

127. Siniluoto T, Seppanen S, Kuurne T, et al: Transarterial embolization of a direct carotid cavernous fistula with Guglielmi detachable coils. Am J Neuroradiol 18:519, 1997

128. Klink T, Hofmann E, Lieb W: Transvernous embolization of carotid cavernous fistulas via the superior ophthalmic vein. Graefes Arch Clin Exp Ophthalmol 239:583, 2001

129. Goldberg RA, Goldey SH, Duckwiler G, et al: Management of cavernous sinus-dural fistulas: Indications and techniques for primary embolization via the superior ophthalmic vein. Arch Ophthalmol 114:707, 1996

130. Morris PP: Balloon reconstructive technique for the treatment of carotid cavernous fistula. Am J Neuroradiol 20:1107, 1999

131. Ahn JY, Lee B-H, Joo JY: Stent-assisted Guglielmi detachable coil embolization for the treatment of a traumatic carotid cavernous fistula. J Clin Neurosci 10:96, 2002

132. Koebbe CJ, Horowitz M, Jungreis C, et al: Alcohol embolization of carotid-cavernous indirect fistulae. Neurosurgery 52:1111, 2003

133. Guo WY, Pan DHC, Wu HM, et al: Radiosurgery as a treatment alternative for dural arteriovenous fistulas of the cavernous sinus. Am J Neuroradiol 19:1081, 1998

134. Cognard C, Pierot L, Boulin A, et al: Intracranial aneurysms: endovascular treatment with mechanical detachable spirals in 60 aneurysms. Radiology 202:783, 1997

135. Moret J, Cognard C, Weill A, et al: Reconstruction technic in the treatment of wide-neck intracranial aneurysms. Longterm angiographic and clinical results: A propose of 56 cases. J Neuroradiol 24:30, 1997

136. Graves VB, Perl J, Strother CM, et al: Endovascular occlusion of the carotid or vertebral artery with temporary proximal flow arrest and microcoils: clinical results. Am J Neuroradiol 18:1201, 1997

137. Juvela S: Natural history of unruptured intracranial aneurysms: risks for aneurysm formation, growth, and rupture. Acta Neurochir 82:27, 2002

138. Juvela S, Porras M, Poussa K: Natural history of unruptured intracranial aneurysms: Probability of and risk factors for aneurysm rupture. J Neurosurg 93:379, 2000

139. Cestari DM, Rizzo JF: The neuroophthalmic manifestations and treatment options of unruptured intracranial aneurysms. Int Ophthal Clin 44:169, 2004

140. Mitchell P, Gholkar A, Vindlacheruvu RR, et al: Unruptured intracranial aneurysms: Benign curiosity or ticking bomb? Lancet Neurol 3:85, 2004

141. Rasmussen PA, Mayberg MR: Defining the natural history of unruptured aneurysms. Stroke 35:232, 2004

142. Tsutsumi K, Ueki K, Morita A, et al: Risk of rupture from incidental cerebral aneurysms. J Neurosurg 93:550, 2000

143. International Study of Unruptured Intracranial Aneurysms (ISUIA) Investigators: Unruptured intracranial aneurysms: Risk of rupture and risks of surgical intervention. N Engl J Med 339:1725, 1998

144. International Study of Unruptured Intracranial Aneurysms (ISUIA) Investigators: Unruptured intracranial aneurysms: natural history, clinical outcome, and risks of surgical and endovascular treatment. Lancet 362:103, 2003

145. Raaymakers TWM, Rinkel GJE, Limburg M, et al: Mortality and morbidity of surgery for unruptured intracranial aneurysms: A meta-analysis. Stroke 29:1531, 1998

146. International Subarachnoid Aneurysm Trial (ISAT) Collaborative Group: International subarachnoid aneurysm trial (ISAT) of neurosurgical clipping versus endovascular coiling in 2143 patients with ruptured intracranial aneurysms: A randomized trial. Lancet 360:1267, 2002

147. Van den Berg R, Rinkel GJE, Vandertop WP: Treatment of ruptured intracranial aneurysms: Implications of the ISAT on clipping versus coiling. Eur J Radiol 46:172, 2003

148. Brilstra EH, Algra A, Rinkel GJE, et al: Effectiveness of neurosurgical clip application in patients with anuerysmal subarachnoid hemorrhage. J Neurosurg 97:1036, 2002

149. Raftopoulos C, Goffette P, Vaz G, et al: Surgical clipping may lead to better results than coil embolization: Results from a series of 101 consecutive unruptured intracranial aneurysms. Neurosurgery 52:1280, 2003

150. Berman MF, Solomon RA, Mayer SA, et al: Impact of hospital-related factors on outcome after treatment of cerebral aneurysms. Stroke 34:2200, 2003

151. Cross DT, Tirschwell DL, Clark MA, et al: Mortality rates after subarachnoid hemorrhage: Variations according to hospital case volume in 18 states. J Neurosurg 99:810, 2003

152. Henkes H, Fischer S, Weber W, et al: Endovascular coil occlusion of 1811 intracranial aneurysms: Early angiographic and clinical results. Neurosurgery 54:268, 2004

153. Darwish B, Rajak S, Wickremesekera A, et al: Clinical and angiographic outcome after Guglielmi detachable coil embolization of intracranial aneurysms. ANZ J Surg 73:717, 2003

154. Goddard AJP, Annesley-Williams D, Gholkar A: Endovascular management of unruptured intracranial aneurysms: Does outcome justify treatment? J Neurol Neurosurg Psychiatry 72:485, 2002

155. Wanke I, Doerfler A, Dietrich U, et al: Endovascular treatment of unruptured intracranial aneurysms. AJNR 23:756, 2002

156. Kallmes DF, Fujiwara NH, Yuen D, et al: A collagen-based coil for embolization of saccular aneurysms in a New Zealand white rabbit model. AJNR 24:591, 2003

157. Murayama Y, Tateshima S, Gonzalez NR, et al: Matrix and bioabsorbable polymeric coils accelerate healing of intracranial aneurysms. Stroke 34:2031, 2003

158. Raymond J, Roy D, Leblanc P, et al: Endovascular teratment of intracranial aneurysms with radioactive coils. Initial clinical experience. Stroke 34:2801, 2003

159. Molyneux AJ, Cekirge S, Saatci I, et al: Cerebral aneurysm ulticenter European Onyx (CAMEO) trial: Results of a prospective observational study in 20 European centers. AJNR 25:39, 2004

160. Adams HP: Endovascular treatment of ruptured intracranial aneurysms. Curr Neurol Neurosci Rep 4:9, 2004

161. Smirniotopoulos JG: Neuroimaging of phakomatoses: Sturge-Weber syndrome, tuberous sclerosis, von Hippel-Lindau syndrome. Neuroimaging Clin North Am 14:171, 2004

162. Lin DD, Barker PB, Kraut MA, et al: Early characteristics of Sturge-Weber sundrome shown by perfusion MR imaging and proton MR spectroscopic imaging. AJNR 24:1912, 2003

163. Maher ER, Kaelin WG: von Hippel-Lindau disease. Medicine 76:381, 1997

164. Patel RJ, Appukuttan B, Ott S, et al: DNA-based diagnosis of the von Hippel-Lindau syndrome. Am J Ophthalmol 129:258, 2000

165. Imes RK, Monteiro MLR, Hoyt WF: Incipient hemangioblastoma of the optic disk. Am J Ophthalmol 98:116, 1984

166. Rubio A, Meyers SP, Powers JM, et al: Hemangioblastoma of the optic nerve. Hum Pathol 25:1249, 1994

167. Balcer LJ, Galetta SL, Curtis M, et al: Von Hippel-Lindau disease manifesting as a chiasmal syndrome. Surv Opthalmol 39:302, 1995

168. Melmon KL, Rosen SW: Lindau's disease: Review of the literature and study of a large kindred. Am J Med 36:595, 1964

169. Aiello LP, George DJ, Wong JS, et al: Rapid and durable recovery of visual function in a patient with von Hippel-Landau syndrome after systemic therapy with vascular endothelial growth factor receptor inhibitor su5416. Ophthalmology 109:1745, 2002

170. Maher ER, Yates JR, Harries R, et al: Clinical features and natural history of von Hippel-Lindau disease. Q J Med 77:1151, 1990

171. Sullivan TJ, Clarke MP, Morin JD: The ocular manifestations of the Sturge-Weber syndrome. J Pediatr Ophthalmol Strabismus 29:349, 1992

172. Sadda SR, Miller NR, Tamargo R, et al: Bilateral optic neuropathy associated with diffuse cerebral angiomatosis in Sturge-Weber syndrome. J Neuroophthalmol 20:28, 2000

173. Griffiths PD, Boodram MB, Blaser S, et al: Abnormal ocular enhancement in Sturge-Weber syndrome: Correlation of ocular MR and CT findings with clinical and intracranial findings. Am J Neuroradiol 7:749, 1996

174. Amirikia A, Scott IU, Murray T: Bilateral diffuse choroidal hemangiomas with unilateral facial nevus flammeus in Sturge-Weber syndrome. Am J Ophthalmol 130:362, 2000

175. Kiley MA, Oxbury JM, Coley SC: Intracranial hypertension in Sturge-Weber/Klippel-Trenaunay-Weber overlap syndrome due to impairment of cerebral venous outflow. J Clin Neurosci 9:330, 2002

176. Alexander GL: Sturge-Weber syndrome. In: Vinken PJ, Bruyn GW, eds. Handbook of Clinical Neurology. New York: Elsevier, 1972:223

177. Theron J, Newton TH, Hoyt WF: Unilateral retinocephalic vacular malformations. Neuroradiology 7:185, 1974

178. Hopen G, Smith JL, Hoff JT, et al: The Wyburn-Mason syndrome. J Clin Neuroophthalmol 3:53, 1983

179. Danis R, Appen RE: Optic atrophy and Wyburn-Mason syndrome. J Clin Neuroophthalmol 4:91, 1984

180. Bloom PA, Laidlaw A, Easty DL: Spontaneous development of retinal ischemia and rubeosis in eyes wih retinal racemose angioma. Br J Ophthalmol 77:124, 1993

181. Bonnet P, de Chaume J, Blanc E: l'aneurysme cirsoide de la retine (aneurysme racemeux), ses relations avecl'aneurysme cirsoide de la face et aver l'aneurysme cirsoide du cerveau. J Med Lyon 18:165, 1937

182. Wyburn-Mason R: Arterovenous aneurysm of midbrine and retina, facial naevi and mental changes. Brain 66:163, 1943

183. Dobyns WB, Michels VV, Groover RV, et al: Familial cavernous malformations of the central nervous system and retina. Ann Neurol 21:578, 1987

184. Rigamonti D, Hadley MN, Drayer BP, et al: Cerebral cavernous malformations: Incidence and familial occurrence. N Engl J Med 319:343, 1988

185. Gass JDM: Cavernous hemangioma of the retina: A neuro-oculocutaneous syndrome. Am J Ophthalmol 71:799, 1971

186. Goldberg RE, Pheasant TR, Shields JA: Cavernous hemangioma of the retina: A four-generation pedigree with neurocutaneous manifestations and an example of bilateral retinal involvement. Arch Ophthalmol 97:2321, 1979

187. Leblanc R, Melanson D, Wilkinson RD: Hereditary neurocutaneous angiomatosis: Report of four cases. J Neurosurg 85:1135, 1996

188. Wright JE, Sullivan TJ, Garner A, et al: Orbital venous anomalies. Ophthalmology 104:905, 1997

189. Rubin PAD, Remulla H: Orbital venous anomalies demonstrated by spiral computed tomography. Ophthalmology 104:1463, 1997

190. Rootman J: Orbital venous anomalies. Orbit 22:103, 2003

191. Harris GJ: Orbital vascular malformations: A consensus statetment on terminology and its clinical implications. Am J Ophthalmol 127:453, 1999

192. Rootman J, Graeb DA: Vascular lesions. In: Rootman J, ed. Diseases of the Orbit. Philadelphia: JB Lippincott, 1988:525

193. Rathbun JE, Hoyt WF, Beard C: Surgical management of orbito-frontal varix in Klippel-Trenaunay-Weber syndrome. Am J Ophthalmol 70:109, 1970

194. Katz SE, Rootman J, Vangveeravong S, et al: Combined venous lymphatic malformations of the orbit (so-called lynphangiomas): association with non-contiguous intracranial vascular anomalies. Ophthalmology 105:176, 1998

195. Crompton JL, Taylor D: Ocular lesions in the blue rubber naevus syndrome. Br J Ophthalmol 65:133, 1981

196. McCannel CA, Hoenig J, Umlas J, et al: Orbital lesions in the blue rubber bleb nevus syndrome. Ophthalmology 103:933, 1996

197. Ventura AC, Remonda L, Mojon DS: Intermittent visual loss and exophthalmos due to Blue rubber bleb nevus syndrome. Am J Ophthalmol 132:132, 2001

Back to Top