| Chapter 42 Optic Pathway Gliomas BRIAN D. ELLIS Table Of Contents |
|
CLINICAL MANIFESTATIONS NEUROFIBROMATOSIS RADIOLOGIC MANIFESTATIONS PATHOLOGY PROGNOSIS AND TREATMENT MALIGNANT OPTIC NERVE GLIOMAS REFERENCES |
| Optic pathway gliomas are glial tumors that can affect the optic nerves, chiasm, tracts, and radiations, as well as adjacent neurologic structures. Since Scarpa first described an optic nerve glioma in 1816,1 many case reports and reviews have followed in order to characterize these lesions further. There is considerable controversy in the literature over the biologic behavior and optimum therapy for these tumors. Recent large literature reviews have proved to be valuable resources when considering management of patients with optic glioma. The reader is directed to excellent reviews conducted by Alvord and Lofton2 in 1988, and most recently by Dutton3 in 1994. After discussing the clinical features and diagnostic appearance of optic pathway gliomas, this chapter will provide an overview of various treatment regimens. Attention will then be directed to a different entity, the rare malignant optic glioma of adulthood, which is both aggressive and lethal. |
| CLINICAL MANIFESTATIONS | ||
| Optic nerve gliomas are uncommon tumors with a prevalence of approximately 1 per 100,000 patients
presenting with eye complaints.4 These lesions account for approximately two thirds of all intrinsic optic
nerve tumors,5 but represent only 1.5% to 3.5% of all orbital tumors.6,7 Optic nerve gliomas also account for just 1% of all intracranial neoplasms.8 Although patients with optic gliomas may initially present from birth
to late adulthood,9–12 the typical age of presentation in 70% of patients is within the first
decade of life and in 90% within the first two decades. The mean age
of presentation of patients with anterior visual pathway gliomas is 8.8 years.3 Patients evaluated at younger ages or even at birth may have larger gliomas
with both chiasmatic and diencephalic involvement.3,13 In children, optic gliomas account for approximately 17% of all orbital
tumors14 and 3% to 5% of all primary intracranial neoplasms.15,16 In an analysis of the presenting signs of large exophytic chiasmatic-hypothalamic
gliomas, Wisoff17 noted three patterns characterized by patient age: Children less than 2 years of age manifested visual failure, macrocephaly, and
failure to thrive. The majority of published cases of optic pathway gliomas describe some component of chiasmal involvement; almost half of these chiasmal gliomas extend into the adjacent hypothalamus or the third ventricle.3 Gliomas involving the optic nerve alone make up approximately 25% of all optic pathway gliomas.3 It is uncertain whether gliomas with both chiasmal and hypothalamic involvement originate in the chiasm or the hypothalamus before involving adjacent neural tissue.18,19 In patients with neurofibromatosis type 1 (NF-1), tumors can often be multifocal.20–22 In a major review, the sex distribution for all optic pathway gliomas was equal.3 A predominant number of patients with gliomas confined to the optic nerve were female (67%).3,18,23–25 Although some reports have demonstrated a greater prevalence of chiasmal gliomas among males,24 and others among females,26 an extensive analysis of the literature3 has failed to show any association between patient sex and gliomas occurring at this location. Although these tumors may be more common among whites, a racial association has not been substantiated in the literature.13 The majority of patients with childhood optic gliomas present with some degree of visual loss. The pattern of visual loss can usually be described as painless and insidious, consistent with a chronic optic neuropathy. However, a precipitous loss of vision simulating optic neuritis has been described when hemorrhage occurred within the tumor.27 A relative afferent pupillary defect is usually present, and there may be acquired dyschromatopsia. Chiasmal glioma patients tend to present with bilateral visual loss.18,23,25,28,29 Although almost three quarters of all optic glioma patients in a large retrospective study had visual acuities described at presentation to be worse than 20/40,3 some gliomas seem to exist with clinically normal visual function and may demonstrate only mild abnormalities identified by visual evoked responses.30 Depending on the location of the tumor in the visual pathway, visual field examination may demonstrate a variety of patterns, including generalized constriction, cecocentral and central scotomas, altitudinal defects, and bitemporal hemianopia. Since the potential exists for chiasmal glioma to involve the optic nerves and tracts, almost any type of visual field defect is possible.31–35 Because the function of the nerve fibers coursing through involved tumor areas may be unaffected, an absence of bitemporal hemianopia should not be interpreted as an indication of freedom from chiasmal involvement.4 Fundus examination demonstrates some component of optic atrophy in more than one half of described cases.3 The presence of disc edema may be noted in patients with intraorbital optic nerve gliomas as well as in patients with chiasmal gliomas. Edema from chiasmal tumors may be secondary to either anterior tumor extension involving the optic nerves, or from extension into surrounding neurologic structures with ventricular obstruction and resultant papilledema. Enlargement of the optic disc in optic glioma patients has also been reported.36 Direct tumor pressure on the posterior aspect of the globe may produce a hypermetropic refractive change and retinal striae.4 Although more commonly seen in optic nerve sheath meningiomas, optociliary shunt vessels have also been reported. Other vascular features resulting from glioma compression of the central retinal vein include central retinal vein occlusion, venous stasis retinopathy, and neovascular glaucoma.37,38 With violation of the arterial blood supply to the eye, anterior segment ischemia may be noted.39 Patients with NF-1 may have ocular colobomas, microphthalmos, or macrophthalmos.40 Proptosis is most common in patients with intraorbital tumors, although it can sometimes be observed in patients with concomitant chiasmal and intraorbital involvement3 (Figs. 1 and 2). Proptosis can be the presenting sign in glioma patients, and may even precede visual loss.13 Pain associated with the proptosis is not characteristic of optic gliomas.4 Minimal to severe proptosis, generally nonpulsatile and axial in nature, has been described, but it is typically in the range of 2 to 4 mm. Severe proptosis may jeopardize the health of the globe; it may also be a major cosmetic problem. The tumor itself is usually not palpable. Standardized A-scan examination of optic nerve gliomas demonstrates echograms of regular, homogeneous, low-to-medium reflectivity. On B-scan examination, large optic nerve gliomas appear as fusiform masses replacing the optic nerve void.41 In contrast to optic gliomas, meningiomas are typically irregular in structure and demonstrate higher internal reflectivities.41,42 The 30° test is usually negative when performed on gliomas because of the solid infiltration of the nerve; however, positive tests have been noted, suggesting perioptic subarachnoid fluid surrounding the tumor.42
As a consequence of asymmetric or unilateral visual loss, sensory-induced strabismus may develop.18,28 Gliomas interfere with ocular motility by causing direct mechanical restriction4 and paralytic strabismus. Damage to the ocular motor nerves may occur directly by invasion of the tumor at the orbital apex, or secondarily by raising intracranial pressure. Vertical, horizontal, rotary, and see-saw nystagmus has been reported, and may even precede visual loss as an initial sign of a glioma. Consequently, children with spasmus nutans or monocular or asymmetric nystagmus may need neuroimaging and careful follow-up in order to exclude a chiasmal glioma.43–47 Patients with chiasmatic and hypothalamic involvement may develop endocrinologic manifestations, including diabetes insipidus, panhypopituitarism, girdle-type obesity, and dwarfism.48 If hypothalamopituitary function is impaired, children may exhibit a precocious puberty in association with growth hormone deficiency.49,50 Depending on the extent of the glioma in the hypothalamic region, neurologic manifestations can include epilepsy, hemiparesis, and the diencephalic syndrome. With obstruction of the third ventricle or foramen of Monro, hydrocephalus may occur with manifestations of lethargy, headache, and vomiting. |
| NEUROFIBROMATOSIS |
| Patients with von Recklinghausen's disease (NF-1) have a 17q11.2 locus
abnormality and an increased incidence of cranial tumors and dysplasia
of astrocytic and neuronal origin.51 Approximately one half of patients lack a family history, suggesting possible
new mutations.52 Besides gliomatous tumors, other components of NF-1 can include café-au-lait
macules, neurofibromas, freckling in the axillary or inguinal
region, Lisch nodules of the iris, and osseous lesions such as sphenoid
dysplasia or pseudoarthrosis.53 Although gliomas are most commonly associated with the phakomatoses NF-1, optic
disc gliomas may be present in NF-2 patients.54,55 Although the reported incidence of NF-1 in patients with optic pathway
gliomas varies from 10% to 70%,5,18,25,56–61 a review of 2186 published cases indicates that approximately 29% of optic
pathway gliomas are coexistent with clinical findings consistent
with NF-1.3 Of 217 patients with neurofibromatosis, Lewis and associates62 found that 5.7% of patients had gliomas that involved the optic chiasm. Clinicians
should evaluate any patient with optic glioma for signs of
von Recklinghausen's disease. The National Institutes of Health Consensus Development Conference has recommended that neuroimaging of asymptomatic NF-1 patients should not be performed for the purpose of routine screening.53 It should be noted that investigators63,64 have detected considerable numbers of asymptomatic lesions in the neurofibromatosis population by using neuroimaging as a screening tool. Listernick and colleagues65 described an optic pathway tumor incidence of 15% in NF-1 children who had no visual complaints. Because the greatest risk of developing rapidly progressive tumors is during the first 6 years of life, routine screening neuroimaging may be applicable for very young children with NF-1 only. Instead, Listernick and co-workers65 emphasized the importance of serial ophthalmologic examinations in children with NF-1. Normal neuroimaging in an infant or young child with NF-1 does not guarantee that the optic nerves or chiasm will remain free of glioma later in childhood.66 |
| RADIOLOGIC MANIFESTATIONS |
| Plain-film orbital X-ray may reveal concentric enlargement of the optic
foramen with preservation of a well-corticated margin due to a slow growth
of the tumor.4 A criterion for abnormality in one study that did not include any false-positives
in children is an optic foramen of 7 mm diameter, or 6.5 mm
and at least 1 mm larger than the contralateral foramen.67 Enlargement of the optic canal does not necessarily imply intracranial
extension of the glioma, because dural thickening and arachnoid hyperplasia
may cause such changes.68,69 In the series of Chutorian and colleagues, foramen enlargement was present
in 83% of patients with involvement of one optic nerve and in 67% of
those with chiasmal involvement.29 The pressure of the glioma on the anterior clinoid process and lateral
chiasmatic groove may produce a fossa with continuity of the optic canal, creating
a J-, pear-, or gourd-shaped sella turcica.70 Tumors that less commonly produce a similar flattening include trans-canalicular
extension of intraorbital neurofibromas, perioptic extension
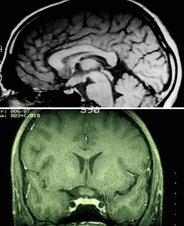
of a craniopharyngioma, or pituitary adenoma.4 With the availability of computerized tomography (CT) and magnetic resonance imaging (MRI), invasive diagnostic techniques such as arteriography and pneumoencephalography should not be performed in the routine workup of presumed optic gliomas.71 CT scanning may demonstrate enlargement of the optic nerve or chiasm by a glioma (Fig. 3). Because optic gliomas typically appear isodense to normal brain,72 and because the degree of contrast enhancement ranges from imperceptible to moderate on CT imaging,73 the margins of the tumor may not be well delineated. Optic gliomas usually have a well-outlined fusiform shape, which may include kinking or buckling of the optic nerve. Chiasmal tumor appearance may range from a tubular thickening of both optic nerves and chiasm to massive, multilobular growths.74 Cystic spaces representing mucinous accumulation have been described. These cysts may enlarge and damage adjacent structures, requiring surgical intervention.74,75 Calcific change has also been documented in gliomas, but it is a rare radiologic finding.13 In following patients clinically, it is important to understand that radiologic progression of optic gliomas on CT scans may not correlate clinically with worsening visual function. Conversely, a decline or improvement in visual status may occur despite a lack of corresponding changes on neuroimaging.73,76 MRI has replaced CT scanning as the optimum test for imaging optic gliomas (Fig. 4 A and B). Optic gliomas have normal to slightly prolonged T1 relaxation times and appear isointense to slightly hypointense to normal brain on T1. Because many of these tumors have prolonged T2 relaxation times, images that are T2 weighted may be used to assess gross tumor margins and posterior extension.72 Optic nerve gliomas often demonstrate minimal enhancement after administration of contrast. To improve MR imaging of optic nerve lesions, a gadopentetate dimeglumine enhancement technique combined with fat suppression can be utilized. Unlike meningiomas, the thickened sheath from arachnoid hyperplasia associated with gliomas will not enhance.77 Although imaging should initially be performed in the axial plane to allow visualization of both the optic nerve and the posterior optic pathways, sagittal views are helpful in demonstrating chiasmal involvement; coronal views can be utilized to delineate intracanalicular tumor.78 MRI has several advantages over CT scanning. In addition to sparing children from exposure to ionizing radiation when multiple scans are required, MRI eliminates bony artifact and is superior in evaluating the intracanalicular, chiasmal, and postchiasmal extension of the tumor.78 Brown and associates79 reported 10 posteriorly located lesions by MRI, none of which were visualized by CT. Anterior pathway lesions were detected with equal sensitivity by both modalities. Unfortunately, microscopic spread of gliomas can go undetected by both CT and MRI. In addition to detecting bilateral optic nerve glioma, other MRI findings can suggest an association between an optic nerve glioma and NF-1. One imaging characteristic to watch for is double-intensity tubular thickening, which is seen as a high T2 signal surrounding the optic nerve. This radiologic finding has been termed a “pseudo-CSF” signal and can be misinterpreted as cerebrospinal fluid in a dilated subarachnoid space.80 The high T2 signal arises from perineural arachnoidal gliomatosis, a histopathologic pattern most commonly seen in NF-1-associated gliomas.60 Elongation of the nerve secondary to axial growth of the perineural tumor as well as downward kinking of the nerve in the midorbit are other features suggestive of NF-1-related gliomas.80 Neuroimaging studies have demonstrated that NF-1 patients may have more extensive glioma involvement of the visual pathway than patients who do not have NF-1.79,81 Despite this difference in visual pathway involvement, the same investigators81 noted a lower incidence of progressive neurologic deficits and visual symptoms in NF-1-related glioma patients compared with patients whose gliomas were unrelated to NF-1. MRI scanning of NF-1 patients may also demonstrate aqueductal stenosis, idiopathic macrocephaly, and unidentified T2-weighted signals in the basal ganglia, internal capsule, midbrain, cerebellum, and subcortical white matter.51,64,82 In the appropriate clinical setting, characteristic neuroimaging appearances consistent with intrinsic optic pathway enlargement can usually permit a diagnosis without a surgical biopsy.13,71 Hoyt and associates73,74 noted the following radiologic features on CT scanning that they considered diagnostic for optic chiasm gliomas:
Globular tumors in the suprasellar area that lack these features usually require craniotomy and biopsy confirmation. Lesions that may be difficult to distinguish from optic pathway gliomas include germinomas of the visual system and optic nerve choristoma because they both may appear intrinsic to the visual pathway.13 Tumors such as craniopharyngiomas and pituitary adenomas usually do not appear intrinsic to the visual pathway and may have features of sellar enlargement. Findings such as enhancement of the leptomeninges or peripheral enhancement of an enlarged chiasm are atypical of optic glioma and may indicate an inflammatory process masquerading as a glioma.83 Aneurysms in the suprasellar area may sometimes appear on neuroimaging to be intrinsic to the visual pathway. Better definition may be noted with magnetic resonance angiography.13 In contrast to orbital optic nerve gliomas, meningiomas enhance strongly with gadolinium and are less common in children. Meningiomas have the following features on axial CT scanning that are not typically shared by optic nerve gliomas:
|
| PATHOLOGY | |||
Gross examination of optic nerve gliomas usually reveals a smooth, fusiform, intradural
enlargement of the optic nerve (Fig. 6). After extending through the optic canal in a dumbbell fashion, there
may be extension to posterior structures.4 Most optic gliomas are classified as juvenile pilocytic astrocytomas and
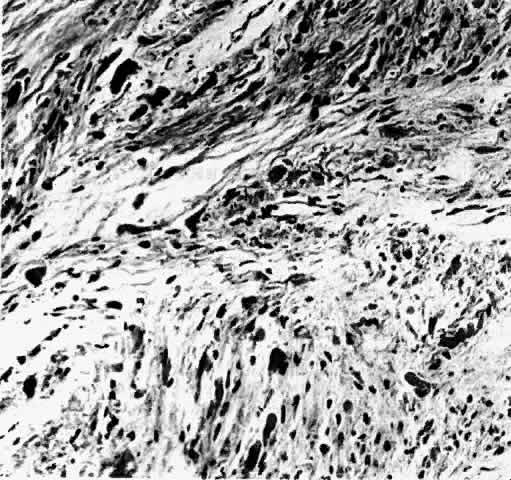
have a benign histologic appearance. Pilocytic refers to the spindle-shaped astrocytes with elongated nuclei that are
often arranged in a parallel fashion (Fig. 7). Oligodendroglial cells may be scattered throughout the glioma. These
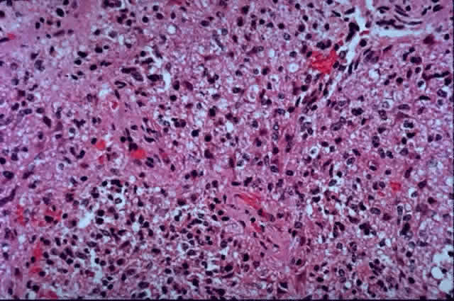
tumors can contain carrot- or cigar-shaped eosinophilic astrocytic cytoplasmic
inclusions known as Rosenthal fibers4 (Fig. 8). Microcystoid extracellular spaces containing acid mucopolysaccharide
generated by mucin-producing astrocytes are often seen.85 Less common features can include capillary hyperplasia, mitotic figures, tissue
necrosis with hemorrhage,86 and glial giant cells.4
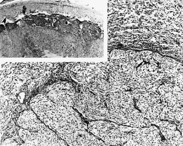
The histopathologic features of a chiasmal glioma are almost identical to those of an optic nerve glioma. Because the normal optic chiasm lacks the connective tissue septae found in the normal optic nerve, these septae are not found in chiasmal glioma specimens.71 A reactive leptomeningeal hyperplasia may surround gliomas, leading to an erroneous biopsy interpretation of meningioma23 (Fig. 9). In contrast to schwannomas and neurofibromas, which are positive for the intermediate filament vimentin, immunohistochemical analysis of cytoplasmic glial intermediate filaments in pilocytic astrocytomas reveals positive staining for glial fibrillary acidic protein.87 Electron microscopy demonstrates that the major cell type of optic gliomas is the astrocyte. Glial filaments measuring 500 to 1000 nanometers in diameter are packed into the cell processes. These may merge together into irregular masses (Rosenthal fibers) containing alpha-B-crystallin.88,89 Astrocytes form basement membrane material only where they abut on connective tissue spaces.4 Optic nerve enlargement by the tumor may be secondary to many factors, including (1) a proliferation of neoplastic astrocytes, (2) an accumulation of extracellular mucosubstance secreted by the astrocytes in cystic spaces, and (3) a reactive proliferation of arachnoidal tissue.69 Two distinct growth patterns in pilocytic astrocytomas have been described. The expansile-intraneural pattern includes thickening of the nerve parenchyma with minimal growth of the tumor into the arachnoid and minimal reactive proliferation. The second type has features of circumferential-perineural growth, involving tumor eruption and proliferation into the subarachnoid space. As mentioned in the section on imaging, the latter pattern may be more suggestive of NF-1-related gliomas.60,69 Although optic gliomas may demonstrate rapid growth despite treatment, other tumors may remain quiescent for years. Although uncommon, spontaneous regression has been reported.90 Controversy exists as to whether optic gliomas are hamartomas or true neoplasms. The tumors were first described as hamartomas by Hudson in91 In 1969, Hoyt and Baghdassarian92 supported Hudson's theory and concluded that optic gliomas represented congenital, non-neoplastic tumors with self-limited growth followed by stability. Histologic features and growth rates, however, suggest that optic gliomas are true neoplasms. Burnstine93 evaluated optic gliomas with colloid silver impregnation of nucleolar organizer region-associated proteins (AgNORs) whose size, number, and morphology indicate the pattern of cell proliferation or transformation. Optic glioma AgNOR counts were similar to optic nerve meningiomas and had features consistent with true neoplasms (Fig. 10). In a review of 623 reported cases, Alvord and Lofton2 described optic nerve growth kinetics based on time to recurrence of disease. Growth patterns had variable rates, ranging along a continuum from a simple logarithmic rate to a decelerating growth rate; these rates were not characteristic of hamartomas. Aggressive clinical tumor behavior, noted either by local tissue invasion or by remote seeding, has been described in optic glioma patients. Florid invasion of the leptomeninges by some NF-1-associated optic gliomas has been seen.60 Lourie and colleagues35 reported that in five of seven patients, extension of the tumor into the lateral geniculate bodies and optic radiations had occurred. They concluded that this synapse site in the visual pathway was not a barrier to tumor spread. de Keizer and co-workers94 reported on a 3-year-old child with NF-1 who had an optic glioma with intraocular extension and subsequent malignant degeneration within the glial tissue. Both lumbar spinal metastases from optic pathway gliomas95–97 and malignant ascites from spreading of glioma cells through a ventriculoperitoneal shunt98 have been described. |
| PROGNOSIS AND TREATMENT |
| A key factor affecting prognosis is the effect of the tumor on neighboring
brain structures. Consequently, optic gliomas confined to the optic
nerve typically have a good prognosis. However, approximately 21%3 to 70%2 of pure optic nerve gliomas may progress, and a mortality rate of 5.3%3 from intracranial extension with central nervous system involvement has
been described. Based on his clinical experience, Miller71 suggested that patients with a relatively benign prognosis were likely
to present with mild proptosis, optic disc pallor, and neurofibromatosis. Patients
with more severe proptosis, optic disc swelling, and no
evidence of neurofibromatosis were more likely to have symptomatic tumor
growth. Patients who undergo excision of their optic nerve gliomas
have a recurrence rate of 0.5%.3 The recurrence rate after excision of an intraorbital glioma is doubled
by a patient history of neurofibromatosis.2 Incomplete excision of the optic nerve glioma can still be associated
with low mortality.99 Some authors, however, have described intracranial extension occurring
after incomplete excision, with subsequent invasion of the chiasm and
third ventricle ultimately resulting in death.24,25 Tumor extension to the chiasm is associated with an increase in mortality to approximately 28%.3 Interpreting the natural history of optic chiasmal gliomas is complicated by the potential existence of two types of chiasmal gliomas. An anterior type is believed to originate within the anterior visual system and may or may not infiltrate the hypothalamus and adjacent neural tissue. A posterior type is believed to originate in the hypothalamus and secondarily invades the chiasm.18 Multiple reports concerning both visual and radiologic stability with conservative follow-up can be found in the literature.18,32,100–103 However, of 125 reviewed cases of chiasmal glioma that were untreated or partially excised, recurrence or progression of tumor was noted in 64%. Tumor-related mortality during a mean follow-up period of 10 years was 17%.3 Clinically, chiasmal glioma patients who have neurofibromatosis, a generalized enlargement of the optic pathway as opposed to a globular appearance, and no involvement of adjacent neurologic structures may have a better clinical course.25,71,73 Adjacent hypothalamic or third ventricle involvement is noted in 46% of chiasmal gliomas.3 Patients with a glioma involving the chiasm and the hypothalamus or third ventricle have an overall mortality of 51% with no treatment or with partial excision (mean follow-up approximately 15 years).3 Patients who do not develop hydrocephalus may have a somewhat better chance of survival.2 Chiasmal gliomas that have undergone malignant evolution have been reported.104 Controversy exists as to whether patients with NF-1-associated glioma have a better prognosis. In a series of 114 patients with optic gliomas, pure optic nerve lesions were noted in 80% of NF-1 patients compared with 16% of patients with gliomas without NF-1.21 Because of the anterior location of these tumors, investigators suggested a better prognosis for neurofibromatosis-associated gliomas.21,84 Other series have not demonstrated a significant difference in tumor location or ultimate prognosis for neurofibromatosis glioma patients.2,3,105 Imes and Hoyt106 noted similar mortalities between patients with NF-1 chiasmal gliomas and those without NF-1. In the Imes and Hoyt series, however, six of the nine NF-1 glioma patient deaths were related to secondary tumors such as sarcomatous degeneration of peripheral neurofibromas and malignant gliomas of the brain.106 Currently, conclusive evidence does not exist for establishing a different prognosis for NF-1-associated gliomas.3 The first surgical removal of an optic nerve glioma was performed by Wishart in107 In a 1989 national clinical trial of 106 patients with unilateral gliomas initially confined to the orbital portion of the optic nerve at study entry, local progression was noted in 20% without treatment, in 29% after incomplete surgical excisions, and in only 2.3% after apparent complete excision.108 Since children with optic gliomas can maintain useful vision for years,2,3 surgical therapy is usually reserved for potentially resectable tumors confined to the orbital or intracranial portions of the optic nerves after the development of blindness or severe proptosis, or when tumor extension along the intracranial portion of the nerve threatens the chiasm.109,110 Because of the risk of visual loss as well as damage to surrounding neurologic structures, surgical intervention for gliomas involving the optic chiasm is usually considered only for obtaining a biopsy specimen of the chiasm in specific cases or for relieving hydrocephalus.71,110,111 Additionally, some benefit from debulking large exophytic chiasmal gliomas and decompressing the anterior visual pathways has been described.112 Wisoff17 noted clinical remission and relief of neurologic symptoms after radical surgical excision of chiasmatic-hypothalamic tumors. Enhanced survival and clinical stability or improvement of chiasmal glioma patients has been described after radiation therapy.113–116 Flickinger and associates115 found stabilization or improvement of vision in 86% of 32 optic chiasm or nerve glioma patients evaluated with a mean follow-up of approximately 10 years. They also observed that conservative management with observation and no radiation therapy was unsuccessful in many chiasmal glioma patients. They recommended a radiation dose of 45 to 50 Gy to the 95% isodose line using 1.8 Gy fractions, or a biologically equivalent dose using smaller fraction size, for optic chiasm glioma. Horwich and Bloom116 described a beneficial effect of radiotherapy for patients with optic glioma and progressive disease. Of their 29 patients, 26 (90%) remained free of progression with a median follow-up of 10 years. Visual acuity improved after treatment in 43%, was stable in 48%, and deteriorated in 9%. After radiation therapy with 5140 cGy over 6 weeks, Furuya and colleagues117 reported a marked reduction in the size of a posterior optic glioma in a 6-year-old child. Many authors have advocated radiation therapy only for patients with chiasmal glioma who have progressive visual loss, documented tumor growth, hypothalamic dysfunction, or hydrocephalus.18,33,61,102 Hoyt and Baghdassarian92 found that radiotherapy produced no visual benefit, attributing any favorable responses to possible spontaneous improvement. Imes and Hoyt106 found an optic glioma mortality rate of 29% for patients treated with radiotherapy but only 7% for those followed conservatively. Packer and co-workers118 reported on their experience with radiation therapy in 21 cases of surgically verified chiasmal gliomas. They noted a high incidence of mortality and morbidity from progressive disease, and possible morbidity due to treatment. Visual improvement after radiation treatment was uncommon in their series. Although some reports suggest a short-term benefit from radiotherapy for patients with progressive chiasmal gliomas, evidence that radiotherapy contributes to long-term survival or visual function is debatable. Alvord and Lofton's2 review of 542 cases of chiasmal gliomas mentioned in the literature did not demonstrate any benefit from radiation in terms of ultimate recurrence or survival; however, radiation therapy did appear to delay disease progression for several years. Actuarial analysis showed a higher rate of death or tumor progression in patients with chiasmatic glioma and hydrocephalus who received less than 45 Gy of radiation therapy compared with those who received more than 45 Gy. Dutton3 assessed 511 reports of optic chiasm gliomas treated with radiation therapy and followed for up to 10 years. Of these treated patients, 69% showed stable or improved vision, 42% demonstrated clinical evidence of tumor progression, and 28% died of their disease. Of 203 similar patients who were followed without treatment or who underwent a biopsy only, 77% had visual stability or improvement, 42% showed clinical evidence of tumor progression, and 29% died of their disease. Complications of radiation therapy can include dementias, endocrinopathies, vasculopathies, radionecrosis of the medial temporal lobes, leukoencephalopathy, and secondary malignancies.113,119 Bataini and associates114 reported that 37% of irradiated patients experienced some degree of growth retardation, hypothyroidism, or precocious puberty. Vascular complications such as middle cerebral artery thrombosis114 and vascular malformations120 have also been described. Kestle and colleagues121 observed moyamoya (“puff of smoke”) in 5 of 28 irradiated patients. Moyamoya disease is characterized by stenosis or occlusion of the internal carotid artery and/or the proximal portion of the anterior cerebral or middle cerebral vessels, resulting in cerebral infarction. A higher incidence of moyamoya in patients with neurofibromatosis (occurring in 3 of 5 of the neurofibromatosis patients in this series) pointed to a possible synergistic relationship which should at least be considered when planning therapy for NF-1- related gliomas. The use of chemotherapy for optic gliomas was prompted by the reported toxicity of radiation to the developing nervous system. Children irradiated before age 5 may have a tendency to incur behavioral and cognitive impairment.122 Results of chemotherapy for optic gliomas are difficult to interpret because of the sometimes indolent nature of these lesions, variably reported study follow-up periods, and small sample sizes. It does appear, however, that chemotherapy can effectively postpone radiation122 (Fig. 11 A and B). Unfortunately, there is little evidence that chemotherapy can provide long-term control of these tumors.20,122 In one series, approximately 60% of children treated for gliomas of the hypothalamus and optic pathways eventually had a relapse.122 Various chemotherapeutic agents have been used to treat low-grade gliomas.123 In 1966, Lassman and co-workers124 described clinical improvement in a 4-month-old infant with chiasmal glioma after treatment with vincristine sulfate. Subsequent investigators have used both vincristine and actinomycin D without concomitant radiation therapy for children with chiasmal gliomas that recurred after initially receiving radiation therapy. Packer and associates125 treated 24 patients, most of whom were less than 3 years of age and had progressive chiasmatic/hypothalamic gliomas, using vincristine and actinomycin D. Fifteen patients remained free of progressive disease with a median follow-up of 4.3 years. Although tumor shrinkage was found in 9 of the 24 patients, it did not clearly correlate with long-term outcome. Petronio and colleagues126 advocated the use of nitrosurea-based cytotoxic agents for the initial treatment of infants or children with chiasmatic/hypothalamic gliomas to allow deferral of radiation therapy until disease progression. Of 18 evaluable patients initially treated with chemotherapy, 15 showed either response to therapy or disease stability. The median time to tumor progression had not been reached at a median follow-up period of 79 weeks. Kretschmar and co-workers127 used intensive chemotherapy with MADDOC (nitrogen mustard, doxorubicin, cisplatin, dacarbazine, vincristine, and cyclophosphamide) to treat two infants less than 14 months of age who had extensive optic pathway tumors and hypothalamic involvement. Stability at 43 and 55 months after diagnosis was observed. Other investigators have reported that patients with recurrent chiasmatic-hypothalamic glioma, who had previously failed to respond to prior radiation or chemotherapy modalities, were successfully treated with an oral etoposide (VP-16).128 Carboplatin has been administered with limited toxicity to patients who had previous surgery or chemotherapy for progressive optic pathway gliomas.123,129 Moghrabi and associates129 treated six patients who had radiographically documented progressive disease despite being managed with prior surgery or chemotherapy. All patients had stable disease 7 to 32 months after initiation of carboplatin. They concluded that the agent may arrest growth of progressive optic pathway gliomas and allow the delay of radiation therapy. This report has helped to prompt a national clinical trial using carboplatin to treat optic pathway gliomas as a single agent (Pediatric Oncology Group) or combined with vincristine (Children's Cancer Study Group). As evident from these reports, controversy still exists concerning the optimum management of anterior visual pathway gliomas. Because patients with optic gliomas isolated to the optic nerve may enjoy useful vision for years, conservative management is often warranted. These patients should be evaluated clinically at least every 6 months with neuroimaging procedures to be performed every 6 to 12 months. For patients older than 5 years who have optic nerve gliomas confined to the orbit, Feldon130 considers radiation therapy to be an option in the setting of rapidly progressive tumors that threaten to extend intracranially. Surgical intervention can be attempted if blindness or severe proptosis intervene, or if posterior extension threatens the chiasm. Complete surgical excision of pure optic nerve tumors is usually curative. Although orbital approaches have been used, in most cases the preferred technique for permitting complete removal of the tumor is a transcranial superior orbitotomy with preservation of the globe.131,132 The involved globe can often be spared, as there may be sufficient collateral blood supply to nourish the globe after the central retinal artery circulation is sacrificed.133 In patients with bilateral optic nerve gliomas, radiation therapy may be beneficial in cases of progressive visual loss involving one or both eyes. Chiasmal glioma patients should be approached after careful review of neuroimaging studies to be sure that the lesion is consistent with optic glioma. If a suprasellar lesion is of questionable etiology, craniotomy and biopsy of the mass is required. Treatment for optic chiasm gliomas should be tailored to the individual patient: one should have the option to use conservative therapy, radiation therapy, or chemotherapy. Some authors advocate the use of radiation therapy for all chiasmal glioma patients,24,111,116 but as mentioned above, others believe such intervention should be considered only in patients with progressive visual loss, documented enlargement of the tumor by neuroimaging, hypothalamic dysfunction, or hydrocephalus.18,33,61,102 Despite reports that radiation therapy may not alter the ultimate prognosis in terms of recurrence or survival, a short-term effect is suggested in the literature, and little therapeutic alternative exists for patients with progressive chiasmal tumors. In children with developing central nervous systems, the potential complications of radiation therapy should be considered. Chemotherapy may be useful in delaying radiation therapy in these cases. Although surgery may be appropriate for patients with intracranial chiasmatic exophytic lesions causing anterior visual pathway compression,32 surgery on these intrinsic chiasmal tumors carries a risk of significant visual morbidity and hypothalamic damage.71 Because growth of optic gliomas may not correlate with a change in visual function, patients should continue to have neuro-imaging follow-up despite stability in clinical visual status. |
| MALIGNANT OPTIC NERVE GLIOMAS |
Malignant gliomas of the visual pathway are extremely rare, aggressive
tumors that are distinctly different from the more common optic gliomas
of childhood. Hoyt and colleagues134 described the “syndrome of malignant optic glioma of adulthood” in 1973. These
patients had the following characteristics:
There have been exceptions to this patient profile, with rare reports of malignant optic gliomas pre-senting in both children135,136 and the elderly.137 In two thirds of reported cases of malignant optic gliomas, the patients have been male.3 Monocular blurring of vision and periorbital pain are common early symptoms of malignant optic nerve glioma. The disc may be edematous, mildly atrophic, or initially normal in appearance. The etiology of the visual loss is frequently misdiagnosed and often initially considered to be optic neuritis, anterior ischemic optic neuropathy, or posterior ischemic optic neuropathy. With subpial tumor growth and subsequent venous obstruction,134,138 an appearance consistent with venous stasis retinopathy or central vein occlusion may result.134,139,140 Neovascular glaucoma can occur.71 Although an initial presentation consisting of subjective monocular loss of vision has been considered characteristic,134,141–143 bilateral symptoms have been described in more than one half of cases in which clinical details were given.3 More than one half of patients will have an initial visual acuity worse or equal to counting fingers in the more affected eye.3 In patients presenting with unilateral visual loss, the fellow eye typically becomes involved several weeks later, with visual impairment rapidly progressing to blindness.134 Another clinical feature of malignant optic nerve glioma is mild proptosis secondary to spread of the tumor into the orbital tissues.134 Ophthalmoplegia may be attributed to mechanical factors from tumor extension or from isolated cranial nerve involvement. Tumor invasion of surrounding neurologic structures may result in hydrocephalus, hypothalamic dysfunction, hemiplegia, or seizures.144 Because of the invasive nature of this tumor, it is difficult to establish the tissue site of origin. As symptoms tend to originate in the optic nerve, it is likely that the malignant optic glioma is a primary optic neoplasm.145 Gross pathology reveals a necrotic tumor causing thickening of the optic nerves, optic chiasm, and optic tracts.137 Posterior extension into the hypothalamus, third ventricle, basal ganglia, midbrain, and temporal lobe may be observed.137,145 The tumor has been characterized as malignant astrocytoma or glioblastoma multiforme. Microscopic features include pleomorphic and mitotically active fibrillary astrocytes.141 Giant hyperchromatic nuclei can be present and occasionally appear to be multilobulated. Additional histopathologic features include radial aggregation around blood vessels with endothelial cell proliferation134 and Rosenthal fibers.141 The tumor cells can invade both the arachnoid and dural sheaths as well as adjacent tissue structures. Tumor necrosis and hemorrhages may result from perivascular tumor growth.144 In the past, the diagnosis of malignant glioma often was made only after surgical exploration.140 CT scanning has since facilitated visualization of an abnormality of the chiasm and nerves, but the radiographic appearance of a malignant glioma can range from a thickened appearance of the optic pathways71 to a mass resembling a craniopharyngioma or cystic pituitary adenoma.146 Further characterization of malignant gliomas by MRI may eventually allow an earlier diagnosis. Despite the use of both radiotherapy and chemotherapy modalities, the prognosis of a malignant glioma of the visual pathway remains dismal: the mean survival after diagnosis is only 8.7 months.3 Radiotherapy and combined radiation and chemotherapy have been used with little success.134,139,141 Although dramatic tumor shrinkage and minimal improvement of visual function have occurred with aggressive treatment protocols,139,141 the typical clinical course of visual loss and death is ultimately unchanged in the majority of cases. It should be noted, however, that Albers and co-workers139 did report on a patient with biopsy-proven malignant glioma treated with 60 Gy and aggressive chemotherapy who continued to function well 1½ years after diagnosis. |