| Chapter 3 Evaluation of the Posterior Chamber, Vitreous, and Retina with Ultrasound D. JACKSON COLEMAN, RONALD H. SILVERMAN, MARK J. RONDEAU, SUZANNE W. DALY and HARRIET O. LLOYD Table Of Contents |
| Ultrasonography has become as essential as indirect ophthalmoscopy or slit
lamp in evaluation of the posterior segment of the eye. It is the
only means of evaluating occult retroiridal and ciliary body lesions as
well as any situation in which the media have become optically compromised. When
the vitreous is opaque or occult due to anterior segment
opacifications, ultrasound is necessary to identify and characterize vitreous
hemorrhage or inflammation, retinal or choroidal detachment, tumors, foreign
bodies, and choroidoscleral wall shape and thickness. Many
of these acoustically detectable changes represent treatable disorders
that can be managed properly only after accurate diagnosis. Advances in instrumentation, higher frequencies, and greater sensitivity and resolution have resulted in a continuous improvement in image quality.1 As with any imaging technique, familiarity with the principles and physics of the methodology is necessary to properly recognize the advantages as well as limitations of the technique in a given clinical setting and to minimize difficulties in interpretation of the image. The primary tool for ultrasound evaluation is the use of gray-scale B-scan to delineate tissue boundaries. Ophthalmic ultrasonography remains one of the few areas of medical ultrasonography in which A-scan continues to be used to further differentiate tissue characteristics, such as membrane, retina, tumor, and cyst. Improved B-scan gray scale has reduced some of the advantages of A-scan, but A-scan is still necessary for quantifying echo amplitudes, particularly when distinguishing vitreous membranes from retina or identifying tumor types.2,3 In general, ophthalmic diagnostic ultrasound systems continue to use single-element 10 MHz mechanical sector scan probes to provide the best quality two-dimensional B-scan image.2 The cost of high-end array technology available with “mainframe” ultrasound units is typically prohibitive in ophthalmic practice. In addition, the array and dynamic focusing characteristics of typical small-parts probes are not currently optimized for ophthalmic geometries. Very high frequency ultrasound uses frequencies in the range of 35 to 100 MHz to show greater detail of the anterior segment.4 Penetration is limited for these higher frequencies to only a few millimeters; thus, only the anterior vitreous behind the ciliary body and lens can be imaged. Frequencies of up to 20 MHz can be used for posterior pole evaluation of the retina and choroid. |
| IRIS, CILIARY BODY, ANTERIOR VITREOUS, AND LENS | ||
| Iris swelling or pigmentation, trauma, foreign body, complications of cataract
surgery, intraocular lens dislocation or suspected ciliary body
tumors are all indicators for high-frequency ultrasound evaluation. The
ultrasound biomicroscope was the first commercially available
high-frequency scanner to demonstrate the potential of frequencies
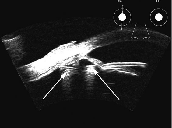
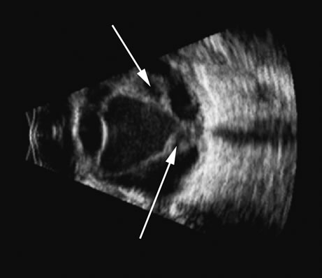
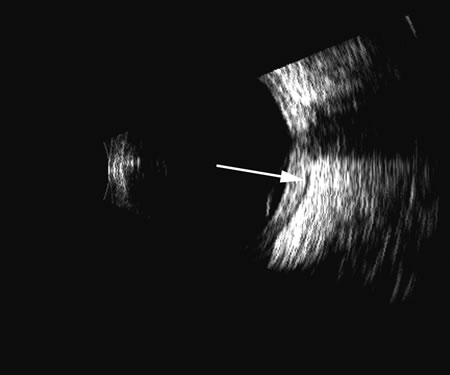
in the 50 MHz range for examining this region.5–7 Lens position, presence, and integrity can be shown most easily with immersion ultrasound, since the proximity of these structures to the transducer in contact techniques makes them difficult to display. Immersion or a water standoff makes it possible to visualize the anterior segment by moving the “noise” of the main bang of the transducer forward, away from the structures of interest and the focal zone onto this area.8 The lens is a “specular” reflector which, like the cornea, is a smooth, highly reflective surface. Whereas specular reflectors, such as the lens, may deflect most acoustic energy away from the transducer when insonified at an oblique angle, “diffuse” reflectors, such as blood-covered membranes, are more easily discerned on B-scan. Blood enhances lens boundaries; that is, it converts the specular reflective surface to a diffuse reflective surface, making the entire outline of the surface more easily seen, even at regions angled so they would otherwise deflect the returning echoes away from the transducer and not be identifiable. The posterior capsule is concave and thus perpendicular to the beam over much of the arc of sector B-scanning, thus making it always easy to identify. The lens outline should be smooth and unbroken (Fig. 1); a damaged lens often is cataractous and has internal echoes as well as interrupted surface echoes.9 Kinetic scanning, that is, real-time scanning while the patient moves his or her eye, can be used to check for mobility of the lens in dislocated or partially dislocated lenses. The four main areas of interest in the posterior chamber to the ocular surgeon are (1) iris and ciliary body tumors, (2) intraocular foreign bodies and trauma that may involve the lens, (3) intraocular lens placement and position that may cause irritation or decreased vision, and (4) hypotony with separation of the ciliary body from the sclera.10 Examples of a retroiridal cyst and a tumor are shown in Figures 2 and 3. Intraocular lens displacement, particularly erosion of haptics that may produce bleeding, is a commonly seen problem. An intraocular lens with a folded haptic is seen in Figure 4 and a retro displaced haptic is shown in Figure 5.
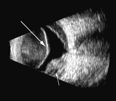
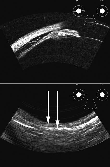
Hypotony is easily diagnosed by direct measurement of intraocular pressure, but the underlying cause is difficult to evaluate.11 High-frequency ultrasound scans can easily reveal separation of the ciliary body and the sclera. This allows different forms of hypotony to be determined—for example: tractional with membrane attached; primary as idiopathic, often inflammatory or hemorrhagic; and dehiscence secondary to iridodialysis or scleral perforation (Fig. 6). |
| VITREOUS HEMORRHAGE AND PRIMARY VITREOUS DETACHMENT |
| Fresh blood in the vitreous may be acoustically clear since the red cells
may not have congealed sufficiently to form a good echo-producing
surface.8 A retracted “hyaloid” or posterior limiting membrane (PLM) of
the vitreous can be shown with most B-scan instruments, but
paradoxically a retracted vitreous may not be seen as well
with higher-resolution, more highly focused transducers because
they display less area of the reflective surface. Blood collected on
the surface of the PLM enhances this surface and may, in some cases, make
the PLM resemble a detached retina, since its anatomic dimensions
can be similar to the retina. Three differences may help distinguish the
two structures. First, kinetic scanning reveals a lack of attachment
at the optic nerve for a PLM. Second, the PLM is irregular in reflection
and thickness (usually thicker than the retina) between
the ora and the disc, and usually the surface cannot be traced forward
to the ora on the B-scan display. Third, the amplitude of the
echoes from the PLM is lower than from the retina, except when directly
perpendicular to the beam, where they may be similar in amplitude. Many
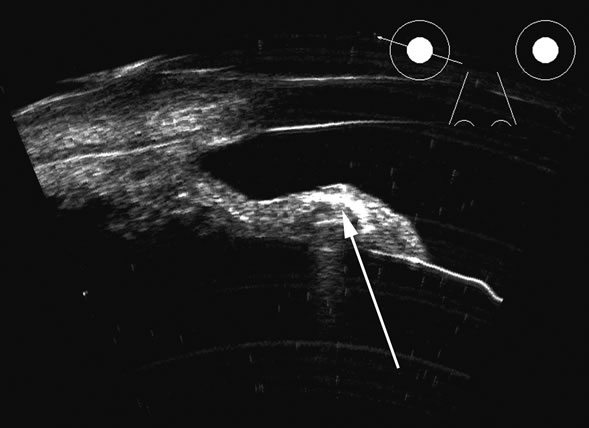
of these features of a PLM are demonstrated in Figure 7, whereas Figure 8 shows a typical detached retina. Hemorrhage shows good echogenic properties and presents a typical highly reflective vitreous body (Figs. 9 and 10). Asteroid hyalosis may resemble a vitreous hemorrhage except that the individual calcium deposits are even more reflective than hemorrhage and usually there is a clear anechoic zone between the retina and the retracted primary vitreous (Fig. 11). Synchysis scintillans is another condition with highly reflective regions in the vitreous due to cholesterol crystals. It is identifiable by the kinetic scan pattern of floating “snowflakes” that settle when the eye stops moving, just like the snowflakes in a child's snow globe. Since the “normal” vitreous is usually dissolved in this condition, the echoes come to rest on the retinal surface when the eye stops moving. An area or region of attachment of presumed vitreous to the ocular wall can be seen with kinetic scans and may indicate an area of stress or possible retinal tear. In diabetic retinopathy with proliferative membranes, the vitreous is often attached to a membrane, producing a typical cross-shaped elevation on a scan through the long axis of the proliferans. Right-angle or three-dimensional scans show the folded nature of the retinitis proliferans membrane (see Fig. 13). |
| ENDOPHTHALMITIS AND SCLERITIS |
| Inflammation of the vitreous can produce cellular and fibrotic conglomerates that produce echoes similar to those of hemorrhage. Differentiation is usually made on clinical grounds but may be suggested by the presence of inflammation-induced swelling of the choroid and sclera, and by the presence of a fluid layer between Tenon's capsule and the orbital fat, which is commonly seen in scleritis (Fig. 12).12 Other conditions, such as hypotony, produce identifiable thickening of the choroid and sclera. Hypotony in its later stages also produces the characteristics of the “pre-phthisic” eye, namely, shortened axial length and cyclitic membrane formation.13 |
| RETINAL DETACHMENT |
| The retina is a highly reflective surface (specular reflector) and
can be seen to always maintain its connection to the optic nerve, even
when drawn into an organized detachment. It may not be attached
at the ora serrata in giant tears, but otherwise it generally maintains
the two “landmark” attachments of optic nerve and ora serrata (Fig. 13), which can aid in differentiating the retina from the PLM of the
retracted vitreous and from the choroid, in which the detachment may
extend anterior to the ora and rarely extend back behind the vortex veins
to the nerve (Fig. 14).14 Two-dimensional scans through complex three-dimensional structures, such as preretinal membranes and proliferative membranes, can be confusing unless mapped with three-dimensional conceptualization techniques. Bronson and colleagues15 have emphasized three-dimensional thinking. Although new digital three-dimensional ultrasound systems allow direct volume visualization, it remains useful to understand the technique of conceptualizing three-dimensional structures from individual sections.16 Preretinal membranes (Fig. 15), which may resemble traction detachments in thickness and reflectivity, can often be identified by turning the scan plane of the B-scanner at right angles: the disciform retinal elevation is still seen while the linear nature of a traction sheet is revealed.17 A three-dimensional rendering of a retinal detachment can directly show the conformation of three-dimensional structures (Fig. 16), and images of individual planes can be perceived. Schisis can be difficult to differentiate from a peripheral detachment based on echo amplitude, but may be suspected based on location and other clinical factors, such as age and symptomatology. Schisis is usually convex and may have lower amplitude than a retinal echo. |
| CHOROIDAL DETACHMENT |
| The choroid, like the retina, is highly reflective and may resemble the retina when detached. Its thickness, which includes the retina, Bruch's membrane, and the choriocapillaris (tunica ruyschiana) is not usually differentiable when measured with routine ultrasound;12 however, it may be measured with digital techniques.18 Anatomically, the choroidal elevation is usually a smoothly round, convex surface, limited posteriorly by the vortex veins and anteriorly at any point up to the base of the iris (Fig. 17). The choroidal space should be examined for echoes (blood) or a clear zone, as seen with effusion or the serous part of a hemorrhage. In evaluating membranes from retina or choroid, it is always helpful to repeat the examinations at a later time. |
| FOREIGN BODIES | |||||||||||||||||||||||
Vitreous foreign bodies are typically metal or glass objects, or intraocular
lens implants. The ultrasound examination, with its better spatial
resolution, is best performed following radiographic or computed tomography
examinations in order to identify the location and number of
foreign bodies. Ultrasonography is used to relate the position of a foreign
body to the retina and lens and identify coexisting structural changes, such
as retinal detachment. Metal and glass “absorb” or, more
correctly, deflect sound, so that an anechoic area appears
posterior to the foreign body. This area can act as an acoustic “pointer” to
the foreign body (Fig. 18). A-scan or gray scale on B-scan shows a highly reflective
surface of the foreign body. BBs and shotgun pellets often create
a “ringing” artifact that can also act as a pointer leading
to the foreign body.19 The foreign body can be easily demonstrated by lowering the gain; the
foreign body remains, whereas other, less reflective tissue planes fade
away due to a lower difference in acoustic impedance between tissues
than metallic or glass foreign bodies. Most foreign materials have a
higher density than the vitreous, and sound that passes through the foreign
body may appear to move the succeeding surface forward because of
the faster sound transit.
Wood may be seen with ultrasound but is far less well differentiated than metal. Air bubbles are highly reflective and may resemble a metallic foreign body. An air tamponade of the vitreous compartment prevents acoustic viewing of the structures behind the bubble. A silicone-filled vitreous produces marked distortion of the globe behind the silicone, as well as marked attenuation (Fig. 19), since sound travels slower in silicone than saline; thus, the sound is deflected away, much as with a minus lens.20 Typical sound velocities in ocular tissues are shown in Table 1, in which velocities from several sources are compiled.21–24 Some disagreement on experimental data and methodology exists,25–27 but these values are generally accepted.
Table 1. Ultrasound Velocities in Ocular Tissues
|
| OCULAR TUMORS AND SIMULATING LESIONS | |||
There are several tumors that invade the vitreous or the vitreous space. In
children, retinoblastoma can seed the vitreous; in adults, reticulum
cell sarcoma can cause vitreous clouding but is nondiscernible from
other forms of debris. A very high percentage of retinoblastomas contain
calcium, which is very reflective (Fig. 20). Malignant melanoma, hemangioma, metastatic carcinoma, and subretinal
hemorrhage can all present with elevated convex lesions that protrude
or extend into the vitreous space and are the four most commonly
seen posterior segment tumors. Anteriorly, medulloepithelioma (diktyoma) and
melanocytoma or ciliary body cysts can also protrude
into the vitreous. The differentiation of these tumors has been well
described with conventional combined B- and A-scan ultrasound
techniques2 and standardized A-scan echography,28 as well as more modern spectral analysis techniques. These all provide
excellent means of differentiating solid from cystic lesions, but differentiation
between diktyoma (medulloepithelioma), melanocytoma, and
melanoma is not possible with A-scan or B-scan.
Malignant melanoma varies in its ultrasound presentation from a relatively homogeneous to heterogenous lesion on B-scan. The typical uveal melanoma absorbs sound so that the posterior section is relatively less echoic than the anterior aspect, producing a gradually decreasing amplitude, often to baseline on the A-scan (Fig. 21).
Melanomas also have varying amounts of melanin, a highly acoustically reflective pigment. As noted, melanomas characteristically show high reflectivity anteriorly, with decreasing reflectance as the sound traverses the tissue. This produces the decreasing amplitude posteriorly in the tumor seen on A-scan and gray-scale B-scan. This effect often enhances the anterior scleral boundary. The posterior tumor border is thus measured as the first “rising” echo from the tumor decline, and it is most easily seen and accurately identified on B-scan.27 Metastatic carcinoma is more heterogeneous, producing a more uniform A-scan amplitude of roughly 50% to 80% of the “scleral” echo amplitude (see below) behind the tumor (Fig. 22). Hemangioma is a very highly reflective tumor with high amplitude all the way through the tumor of 80% to 100% of scleral echo amplitude (Fig. 23). The differentiation of tumor tissues is made possible by differences in cellular organization and concentration.29 Acoustically, these are termed as differences in backscattering properties.30–32 A homogeneous solid tissue, such as the lens or the optic nerve, may present few or no echogenic discontinuities and thus appear anechoic and cyst-like. (An echogenic discontinuity is technically an acoustic impedance mismatch in which the acoustic impedance is the product of the density and the speed of sound in each tissue.) A fluid–smooth tissue boundary has a high mismatch or discontinuity and thus produces a high-amplitude echo. A hemangioma with alternating blood- and tissue-lined sacs thus produces a solid-appearing tissue with high-amplitude echoes seen at all depths of the tissue. A metastatic tumor is nearly always a very heterogeneous tissue with randomly organized clumps of similar cells bounded by strands of vessels, necrotic areas, and connective tissue, thus producing a pattern of moderately high-amplitude sustained echoes. To provide a meaningful, reproducible standard of comparison, we use the scleral echo—that is, an echo behind the tumor—for comparison. We believe that the scleral echo generally is highest at the posterior sclera–Tenon's boundary; whereas Ossoinig has stated that the high amplitude echo is at the anterior scleral boundary.28,33 This school (standardized echography) also recommends a tissue velocity for melanoma of 1550 m/sec34,35 compared with the value of 1660 m/sec that we recommend. These differences can produce significant variations in measurement of tumor height, depending on the interpretive methodology used. The velocity of 1550 m/sec gives a smaller tumor height than that of 1660 m/sec, wheras the inclusion of scleral thickness may add 1 to 2 mm to the tumor height when standard echography is used. While this does not affect comparisons of tumor growth, it has a significant bearing on comparisons of data from various investigators.27 On B-scan, the invasion or replacement of the choroid by tumor is of diagnostic importance. Subretinal hemorrhage rests on a smooth curve of the posterior poles; whereas melanoma may replace the choroid, producing an “excavated” pattern.36 A completely dislocated lens can also emulate a tumor but can be differentiated by clinical findings and by having the patient move his or her eye during the examination, which causes lens displacement (Fig. 24).
|
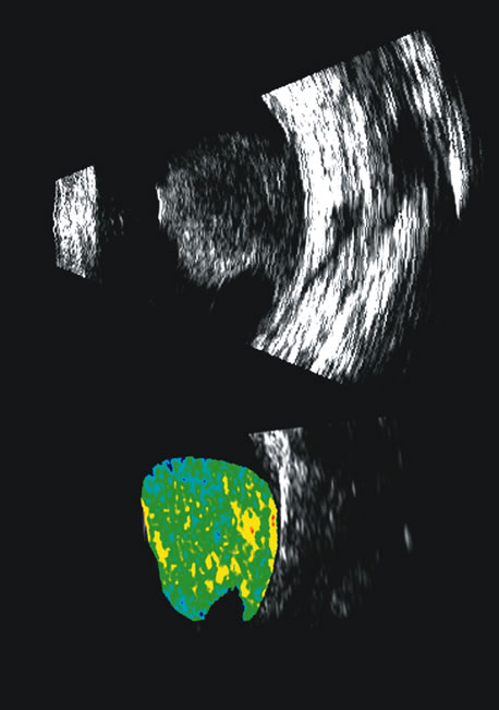
| SPECIALIZED TECHNIQUES FOR IMAGING AND DIAGNOSIS IN OPHTHALMIC ULTRASONOGRAPHY |
| The use of three-dimensional data acquisition along with surface
and volume rendering of three-dimensional ultrasound data is becoming
more commonplace in medical ultrasonography,37 particularly in obstetrics and gynecologic applications.38–40 In ophthalmology, instrumentation that digitizes radial B-scans
is commercially available.41,42 In addition, tissue volume measurements made from delineation of tissue
boundaries in serial scans have been shown to have an accuracy of ±2% in vitro.43 Such measurements must be corrected for the anamorphism inherent in B-scan
images, where anterior-to-posterior scale is
related to the speed of sound and lateral scaling is related to transducer
angle or displacement. Comparison of in vivo volume determinations of ocular tumors made with this method and volumes
computed from ultrasonically determined tumor linear dimensions using
an ellipsoidal solid formula44 showed the latter to be of variable accuracy, sometimes producing errors
of up to 50%. The representation of volume and three-dimensional perspectives of the diseased vitreous, retinal detachment, choroidal detachment, and tumors can add to presurgical conceptualization and is critical to characterization of tumors in relation to prediction of lethality.45 In addition, volume measurement of the choroid permits studies of both surgical and physiologic rates of clearance of hemorrhage, whereas vitreous volume studies can make the estimation of gas or other vitreous substitutes for replacement more accurate (Fig. 25). Spectral parameter imaging, a digital signal processing technique that examines the frequency content of backscattered ultrasound signals, has been shown to be predictive of increased lethality in certain patients and also to be useful in the in-vivo identification of high-risk melanomas for treatment staging.46–48 The shape, density, orientation, and number of scattering elements in a region influence not only the relative amplitude or brightness of a pixel on B-scan but the frequency content of the signal returned to the transducer.19 The concept of differentiating tissue backscatter in a quantitative manner rather than in simple qualitative descriptions of hypo-, iso-, and hyperechoic variations in gray scale allows for maximum use of information available in the digital ultrasonograms. These techniques can be extended to examining the functional anatomy of the eye as well as disease states other than solid tumors (Fig. 26). Improved transducer fabrication technology can now produce clinically useful broadband 20 MHz transducers. This allows for biometry of the posterior coats with an accuracy and precision previously unachievable. In addition to resolving retinal layers and choroid typically seen with optical coherence tomograpy, ultrasound at 20 MHz still provides depth of penetration through pigmented lesions and beyond the posterior scleral boundary. Differentiation of underlying retinal disease can thus be improved, even in the presence of media degradation that causes light scattering or even in the case of frank opacities. |