Chapter 15
Corneal and Systemic Diseases
MARTA L. MORA and RONALD E. SMITH
Main Menu   Table Of Contents

Search


Metric equivalent given in parentheses after Snellen notation.

PROBLEM SOLVING
CORNEAL CHANGES IN INBORN ERRORS OF METABOLISM
CORNEAL CHANGES IN CHROMOSOMAL ABNORMALITIES
CORNEAL FINDINGS IN OTHER SYSTEMIC DISORDERS
REFERENCES

Pathologic changes in the cornea are associated with a wide variety of systemic diseases. In some instances, these changes are characteristic of the underlying disease process. Some corneal findings may be secondary to problems of the eyelids, eyelashes, and other adnexal structures that are involved in a systemic disorder. Traditionally, discussions of corneal involvement in systemic diseases have comprehensively categorized the various corneal findings associated with particular diseases. From a practical clinical standpoint, however, patients who consult an ophthalmologist do not usually have a clear-cut systemic diagnosis of their eye complaints. On the contrary, a patient usually presents because of a particular eye symptom, or for a routine examination. At that time, corneal changes may be recognized. It is therefore important for the clinician to be aware of the significance of certain corneal changes and their possible relationship to systemic disease processes. At the time of the ophthalmologist's examination, certain systemic diseases may be subclinical and patients and their internists may be unaware of them, so the familiarity of the ophthalmologist with suspicious corneal findings is of substantial value. In other cases, patients may be referred with a diagnosed or suspected systemic disease, making the association between corneal change and systemic disease more apparent.

The first part of this chapter is devoted to a problem-oriented approach to the evaluation of corneal changes related to underlying systemic diseases. The remainder of the chapter is a more elaborate discussion of the corneal changes associated with systemic disorders, especially inborn errors of metabolism. Systemic and ophthalmologic findings other than those related to the cornea will not be presented in great detail, and the reader is referred to other sections in these volumes for this information.

Back to Top
PROBLEM SOLVING
Corneal changes related to underlying systemic diseases are summarized in Table 1. These are categorized as (1) changes that are practically diagnostic or pathognomonic of a systemic disease, (2) changes that are highly suggestive of a systemic disease or group of diseases, and (3) changes that are relatively nonspecific but possibly associated with underlying systemic disorders.

 

TABLE 15-1. Corneal and Systemic Disease


 Systemic Disease
Corneal ChangePathognomonic*Suggestive(Differential Diagnosis)Nonspecific Secondary
Alteration in epithelium/Bowman's layerFabry's disease (vortex dystrophy)§Gout (urate crystals)§Sjögren's disease, collagen vascular diseases, systemic lupus erythematosus, polyarteritis (keratitis sicca)
 Tyrosinemia (pseudodendritic ulcer) Endocrine exophthalmos, oculomotor nerve palsy (exposure keratitis)
   Acne rosacea, other skin disorders (blepharitis with microerosive keratopathy
Epithelial adherence defect Systemic amyloid (lattice dystrophy rare)Diabetes (post-eye surgery corneal erosions)
Melting (ulceration) Collagen vascular disease: rheumatoid arthritis, lupus erythematosus, polyarteritis, Sjögren's disease, Wegener's granulomatosis (peripheral melting/ulcer)Sjögren's disease (keratitis sicca, marginal melting)
  Porphyria (marginal infiltrate/ulcer) 
  Bacillary dysentery (ring ulcer) 
Alterations in contour Atopic diseases (keratoconus) 
  Down's syndrome (keratoconus) 
  Marfan's syndrome (rare keratoconus, astigmatism) 
  Apert's syndrome (rare keratoconus) 
Deposits CrystalsCystinosis (subepithelial and stromal clear needles)Dysproteinemia, myeloma (epithelial, stromal crystals) 
  Gout (urate crystals, epithelium, stroma) 
  Hypercholesterolemia--Schnyder's crystalline dystrophy (central corneal needles, anterior stroma) 
Pigmented depositsAlkaptonuria (black deposits, limbus, sclera)  
 Wilson's disease (dark copper pigment in Descemet's membrane)  
Lipoidal deposits Hyperlipoprotenemias (arcus juvenilis) 
  Tangier disease (arcus) 
Calcium deposits (band keratopathy) HyperparathyroidismInflammatory eye diseases
  Vitamin D intoxication 
  Renal failure 
  Hypophosphatemia 
  Idiopathic infantile hypercalcemia 
  Milk-alkali syndrome 
  Sarcoid 
Dots and flecksTangier disease (dots in stroma)LCAT deficiency (stromal dots) 
  Mucolipidosis III (flecks, stroma) 
  Ichthyosis (pre-Descemet's membrane flecks) 
Infiltrates Crohn's ileitis (peripheral infiltrate)Acne rosacea and other skin diseases
  Leukemia (marginal infiltrates and deposits)(secondary catarrhal infiltrate)
Dermoids (limbus) Oculoauriculovertebral dysplasia (Goldenhar's syndrome) (dermoid) Cri du chat syndrome (dermoids) 
Clouding (haze)Mucopolysaccharidoses  
  I-S (Scheie)  
  I-H (Hurler)Generalized gangliosidosesSecondary glaucomas (corneal haze)
  I H-S GM1 (haze) 
  IV (Morquio)MucolipidosesLowe's syndrome
  VI (Maroteaux-Lamy) IPierre Robin syndrome
  VII (all have stromal clouding with deposits) IISturge-Weber syndrome
   IV (all have cloudy corneas)Von Recklinghausen's disease
   Congenital rubella
Prominent nerves Multiple endocrine neoplasia (Sipple's syndrome) 
  Riley-Day syndrome 
  Keratoconus Ichthyosis 
  Refsum disease 
 Leprosy (thick nerves with beading)Neurofibromatosis 
  Pemphigus 
Stromal keratitis Syphilis 
  Sarcoid 
  Tuberculosis 
  Leprosy 
  Herpes zoster 
  Viral skin exanthemata 
  Lymphogranuloma venereum 
  Cogan's syndrome 
  Hodgkin's disease/lymphomas 
  Filariasis 
  Brucellosis 
  Incontinentia pigmenti 
  Mycosis fungoides 
Descemet's membrane folds Diabetes melllitus 
  Ochronosis 

*Pathognomonic corneal changes: corneal appearance sufficiently characteristic to strongly suggest a particular systemic disease.
†Suggestive corneal change: corneal appearance suggests a group of diseases with differential diagnoses.
‡Nonspecific and secondary corneal changes: appearance of cornea is probably nonspecific and not necessarily primarily related to systemic disease.
§Systemic process is listed. Corneal change is in parentheses.

 

The ophthalmologist's first task is to characterize and identify the clinical problem (e.g., Is the problem a corneal deposit? A peripheral corneal melting ulcer? Is it epithelial? Stromal?). After appropriate classification of the corneal change, Table 1 can be used as a guide to underlying systemic disorders that may be related primarily or secondarily to the corneal finding.

Very few systemic diseases have a pathognomonic corneal manifestation. The deep peripheral corneal ring of Wilson's disease, the corneal clouding in the mucopolysaccharidoses, and the whorl epithelial dystrophy in Fabry's disease are almost unique in this regard. However, certain corneal changes are sufficiently characteristic to alert the clinician to the possibility of a type or group of underlying systemic disorders. For example, if the clinical problem is a marginal corneal melting (ulcer or furrow), this might suggest underlying collagen vascular disease, such as rheumatoid arthritis or periarteritis nodosa. Table 1 is designed to suggest to the clinician a particular group of systemic disorders that may be related to corneal findings after a careful determination of the nature of the corneal change (e.g., level of corneal lesion or morphology). Reference to this table may be helpful in delineating both the corneal and systemic diagnoses.

Back to Top
CORNEAL CHANGES IN INBORN ERRORS OF METABOLISM

DISORDERS OF PROTEIN AND AMINO ACID METABOLISM

In the majority of diseases affecting the cornea that are caused by inborn errors of amino acid metabolism, the corneal change is unique and characteristic enough to form the basis for diagnosis. This section describes metabolic diseases related to enzyme blocks in the oxidation of phenylalanine and tyrosine (Fig. 1). Other disorders, such as Wilson's disease and the paraproteinemias, also are discussed.

Fig. 1. Metabolic blocks in the oxidation of phenylalanine and tyrosine. 1, Block of phenylketonuria; 2 and 3, block in tyrosinemia; 4, block in alkaptonuria.

Alkaptonuria (Ochronosis)

Alkaptonuria is a rare, autosomal-recessive metabolic disease in which the enzyme homogentisic acid oxidase, normally present in the liver and kidney, is missing. As a result of this defect, homogentisic acid, which is normally produced during the metabolism of phenylalanine and tyrosine, cannot be further metabolized and therefore accumulates and is excreted in the urine. The gene for this enzyme is present on chromosome 3q2.1 Urine containing homogentisic acid, if left to stand, gradually turns dark as the acid is oxidized to a polymerized melanin-like product. The rate of this reaction is accelerated by alkali.2 Homogentisic acid also reacts with Benedict's reagent and can produce a false positive urine test for glucose, resulting in an erroneous diagnosis of diabetes mellitus.

The cardinal features of alkaptonuria are the presence of homogentisic acid in the urine, pigmentation of cartilage and other connective tissues, sclerosis of cardiac valves and premature arteriosclerosis, and in later years, degenerative arthritis of the larger peripheral joints.

Tissue pigmentation (ochronosis) is not caused by the presence of homogentisic acid, which is bound physically to the connective tissue macromolecules, but rather by the chemical binding in the tissues of alternative pathway by-products resulting from the failure to remove homogentisic acid in a normal manner. These by-products are benzoquinoacetic acid and polymers of this compound. The production of both benzoquinoacetic acid and its polymers depends on the presence of the homogentisic acid polyphenol oxidase, which is present in the skin and cartilage of mammals. Once deposited, these polymers are indistinguishable from melanin (Fig. 2).3

Fig. 2. Scheme for formation of ochronotic pigment in alkaptonuria. (Zannoni VG, Lomtevas N, Goldfinger S: Oxidation of homogentisic acid to ochronotic pigment in connective tissue. Biochem Biophys Acta 177:94, 1969)

Pigmentation of the cartilages of the ear, trachea, nose, tendons, heart valves, and prostate develops with age. Systemic complications are related to the joints, the genitourinary system, and the heart, where there is a higher than normal incidence of arteriosclerosis and valvular calcification.

OCULAR FINDINGS. Ocular involvement is seen in 79% of patients with ochronosis (tissue pigmentation).4 In these patients, the ochronotic pigment is found in the sclera, conjunctiva, and limbic cornea. Vision usually is not impaired. The ocular abnormalities listed below are asymptomatic and related to pigmentary change5,6:

  • Triangular patches of brown scleral pigmentation are seen anterior to the insertions of the rectus muscles, primarily the horizontal recti. The base of the triangle is near the limbus. The limbus often shows an increased translucency, a sign of age-related degeneration in otherwise normal eyes7; thus, the heavy pigmentation in that area supports the hypothesis that pre-existing degeneration of connective tissue is a prerequisite for ochronotic pigment deposition.
  • Subepithelial brown particles may be seen in the superficial stroma near the limbus.
  • Pigmented pinguecula-like masses can be seen in the episclera, usually between the limbus and the insertion of the muscles.
  • Pigmentation of the tarsal plates and eyelids also has been described.
  • Light microscopy reveals the amber globules or fiber-like structures in association with degenerated collagen in the cornea, conjunctiva, episclera, and sclera.8 Ultrastructurally, most of the pigment granules are extracellular, partly altering the collagen fibers and fibrocytes. The ultrastructure of the ochronotic pigment is similar to that of melanin, but histochemically its behavior resembles that of elastin. Four patterns of deposition have been observed with electron microscopy; these may represent biochemical stages in the development of ochronotic deposits.9

DIAGNOSTIC EXAMINATION OF THE URINE. The urinary findings in this disease range from the nonspecific to the specific and are presented in that order here2,6:

  Positive tests

  Alkalization
  Benedict's sugar reagent
  Brigg's test (reduction of molybdate)
  Reduction of silver in photographic film
  Paper chromatography
  Enzymatic spectrophotometric method


  Negative tests

  Glucose; enzymatic
  Yeast fermentation
  Fluorescence under ultraviolet light


DIFFERENTIAL DIAGNOSIS. Malignant melanoma must not be confused with the dark mass in the scleral region in a patient with alkaptonuria. Other etiologic agents of ochronosis are quinacrine and hydroquinone.

MANAGEMENT. The ideal form of therapy might be replacement of the missing enzyme. This is currently impractical, as are other measures such as dietary restriction of tyrosine and phenylalanine. Use of vitamin C has been advocated, but there are only a few reports of symptomatic relief.10 Most frequently ascorbic acid merely slows the rate of the urinary color change. Other treatments are purely symptomatic and do not halt the progression of the disease.

Tyrosinemia Type II (Richner-Hanhart Syndrome)

Tyrosinemia is classified as type I, type II, and neonatal.11 Tyrosinemia I is a rare, autosomal-recessive, metabolic defect characterized by hepatosplenomegaly, cirrhosis, fever, vomiting, renal glycosuria, generalized aminoaciduria, phosphaturia, and renal rickets. No skin or eye lesions are strictly characteristic of tyrosinemia type I.

Neonatal tyrosinemia is a transient disease. It primarily affects premature infants and is associated with lethargy. It also is without skin or eye lesions.

The clinical triad of skin lesions, ocular lesions, and mental retardation characterizes tyrosinemia type II. Painful skin lesions, which are limited to the palms and soles, may range from erosive to hyperkeratotic disturbances and may fade in a few days.12 Dermatologic involvement is usually coexistent with the eye lesions but may occur after the ocular symptoms, resulting in a delayed diagnosis.13 Mental retardation is a variable feature, with intelligence ranging from normal to severely retarded. The defect is caused by a deficiency of the enzyme soluble tyrosine aminotransferase, or a lack of parahydroxy phenylpyruvate hydroxylase, which leads to high serum tyrosine levels and increased urinary excretion of tyrosine and parahydroxy phenylpyruvate.14

OCULAR FINDINGS. Corneal lesions usually appear early in life, but later onset also occurs.12,15,16 Tearing, photophobia, and painful eyes are common. Pseudodendritic corneal erosions may involve the epithelium alone or may include Bowman's layer and anterior stroma. Central corneal ulcers with bases containing debris described as purulent and as thick and cheesy have been mentioned. All cultures are negative. Multiple intraepithelial opacities may be present and may be linear or arranged in a stellate pattern in the central cornea.17

Other ocular findings include whitish conjunctiva, discrete conjunctival plaques, and papillary hypertrophy. Rats fed a diet containing excessive L-tyrosine develop a disease mimicking human corneal disease.18 The corneal lesions in tyrosine-fed rats appear to be caused by the formation and growth of needle-shaped crystals within epithelial cells.19

A current pathogenetic hypothesis involves crystal production in the cornea as a result of a supersaturated state. When crystal formation is initiated in the central cornea, the disruption of cells forms biomicroscopically evident snowflake-like lesions. The crystals exert a force powerful enough to pierce cell membranes and displace nuclei. Lysosomal enzyme release, polymorphonuclear migration, vascularization, and subsequent healing20 follow cell rupture.

DIAGNOSIS. The diagnosis must be suspected clinically and confirmed by amino acid analysis of the blood and urine. The combination of skin lesions and pseudodendritic corneal ulcers is almost pathognomonic of this disorder. A tyrosine load test with ingestion of a tyrosine load of 150 mg/kg may be helpful in the diagnosis; in patients with Richner-Hanhart syndrome, this results in intense pain in the eyes, hands, and feet and induces a rim of intense erythema around the skin lesions.21

DIFFERENTIAL DIAGNOSIS. The eye lesions may suggest herpes simplex or other types of epithelial infections, developmental anomalies, vitamin deficiencies, or metabolic or storage diseases. The skin lesions are reminiscent of epidermolysis bullosa, dyskeratosis congenita, or keratosis palmaris et plantaris. However, the combination of eye and skin lesions in this pediatric age group is diagnostic. In the past, patients have been treated extensively for herpes simplex keratitis before a proper diagnosis was established. Clinical features helpful in distinguishing tyrosinemia from herpes simplex keratitis include bilaterally stellate, plaquelike lesions that lack club-shaped edges; minimal staining with rose bengal and fluorescein; and a lack of response to topical antiviral therapy.15,16,22

A low-tyrosine, low-phenylalanine diet is essential in the management of these patients. It usually results in a decrease of the serum and urine tyrosine levels and in relief of the discomfort in the eyes and skin within 24 hours.23 The photophobia and keratitis usually subside within 2 to 4 weeks.

The need for a metabolic examination (including assessment of serum tyrosine levels) in a young child with photophobia and bilateral pseudodendritic keratitis, even in the absence of cutaneous or developmental abnormalities, cannot be overemphasized. If the diagnosis is made early, dietary restrictions of phenylalanine and tyrosine lead to the resolution of ocular and cutaneous changes, and mental retardation may be prevented.10 Penetrating keratoplasty can be performed for end-stage corneal scarring and vascularization. Systemic steroids should be avoided after keratoplasty because dendritic lesions may recur on the new graft.24

Cystinosis

Cystinosis is a rare metabolic disorder characterized biochemically by an abnormally high intracellular content of free cystine; this, in turn, results in cystine crystal deposition in the eye, bone marrow, lymph nodes, leukocytes, and internal organs, including the kidneys.25

The primary defect involves impaired efflux of cystine from lysosomes, an active ATP-dependent process.26 The mutant gene for the infantile and juvenile forms has been mapped to chromosome 17p.27

Three cystinotic phenotypes have been reported and described: the infantile form, the benign adult form, and the intermediate adolescent form.28

INFANTILE FORM. Synonyms for this form are infantile nephropathic cystinosis, Fanconi's syndrome, and de Toni-Fanconi-Lignac syndrome.29,30 Symptoms, beginning in infancy, include polyuria, growth retardation, rickets, and progressive renal failure. In the past, renal failure has usually led to death before puberty, but dialysis and kidney transplantation now allow some patients to reach adulthood. The mode of inheritance is autosomal recessive. The ocular manifestations include photophobia, cystine deposition in the cornea and conjunctiva, and a peripheral retinopathy.

ADULT FORM. The benign adult form is asymptomatic, with the possible exception of photophobia, and is usually diagnosed during a routine slit lamp examination.31,32 Ages range from the teens through the mid-50s. Renal function is normal and patients have a normal life expectancy. The mode of inheritance is uncertain, but it may be autosomal recessive.

ADOLESCENT FORM. The adolescent form26,28 is characterized by a less severe nephropathy than is seen in the infantile form. Symptoms, which appear in the second decade, may or may not include rickets, renal failure, or the characteristic corneal and conjunctival deposits. Retinopathy is absent. Life expectancy is decreased because of renal dysfunction. The mode of inheritance is autosomal recessive.

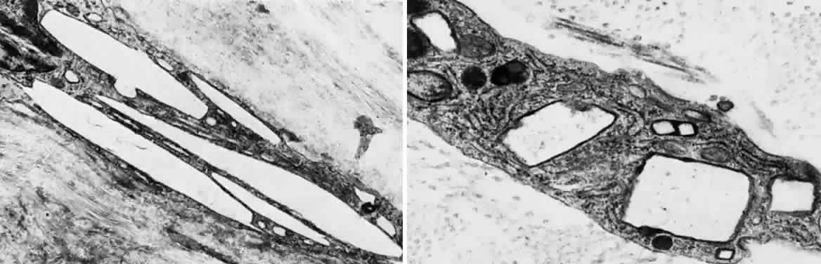
OCULAR FINDINGS. The outstanding clinical feature common to all three phenotypes is the corneal and conjunctival cystine crystal deposition (Figs. 3 and 4). Photophobia is often the only presenting visual symptom; this may be incapacitating and associated with blepharospasm.

Fig. 3. Cystinosis. Refractile crystals noted throughout the corneal stroma.

Fig. 4. Cystinosis. Top, Transmission electron micrograph showing a stromal keratocyte containing a number of needle-shaped crystalline profiles limited by unit membranes. (× 19,000.) Bottom, Electron micrograph of conjunctival fibrocyte revealing crystalline profiles of sparse granular material within membrane-limited lysosomes. (× 30,000.) (Courtesy of Dr. Kenneth Kenyon)

Corneal deposits appear as a layer of homogeneously distributed, fusiform or needle-shaped, iridescent crystals situated in the stroma beneath the epithelium. In the infantile form, anterior crystal deposition begins early in life (between 6 and 15 months of age) and proceeds posteriorly as the patient ages; deposition advances more rapidly in the periphery. The anterior location of the crystals may be associated with recurrent erosions.33 The depth of the stromal deposition and the density of crystals is always greater peripherally than centrally. More and larger crystals occur in the superficial stroma. No visual impairment occurs at this early stage. By the age of 7 years, most patients have crystals, either within or on the endothelial surface34,35; markedly decreased corneal sensitivity is also present.36 The spherical contrast sensitivity function is significantly lower in infantile cystinosis than in age-matched controls.37

The conjunctiva has a ground-glass appearance. Polychromatic, polymorphic, rectangular, or rhomboidal crystals can be seen with the biomicroscope.

The uvea contains an abundance of polymorphous crystals. Clinically, these can be seen as glistening dots on the surface of the iris. Thickened iris stroma and posterior synechiae may occur; pupillary block glaucoma38 also has been reported. The entire uvea has polymorphic crystal deposition, most heavily in the choroid. The sclera also has crystal deposition.

The retinal abnormality consists of a generalized depigmentation that may assume a patchy pattern. At first the pigmentary disturbance tends to be peripheral, but it progresses with age. Macular abnormalities have been observed.39 Intracellular crystals also have been seen in the retinal pigment epithelial cells during electron microscopy.

DIAGNOSIS. The ocular findings of cystinosis are sufficiently unique and characteristic to form the basis for a diagnosis of this disease. A specific diagnosis of cystinosis can be made by assaying for cystine in biopsied conjunctiva.40 Conjunctival biopsy is a simple and benign technique that may provide the diagnosis for this and other inborn errors of metabolism.

DIFFERENTIAL DIAGNOSES. Polychromatic corneal crystals similar to those in cystinosis also may be seen in multiple myeloma,41 Schnyder's crystalline dystrophy, Bietti's crystalline dystrophy, gout, and chrysiasis.

MANAGEMENT. The results of therapy with penicillamine and a cystine-free diet for infantile nephropathy have been disappointing.29 Oral cysteamine is the only available treatment for the nephropathy of infantile cystinosis. The cystine depletion that occurs through the formation of cystine-cysteamine-mixed disulfide42,43 apparently helps stabilize glomerular function and also improves growth and development.44 Cysteamine treatment decreases the deposition of additional cystine in the kidneys; but it does not reverse existing renal tubular and glomerular damage or gradual loss of kidney function.45 There is no evidence that corneal cystine deposition, posterior synechiae, or rod and cone dysfunction are reversible with cysteamine treatment; it may only prevent further ocular damage. Renal transplantation is an alternative therapy for patients with advanced renal disease. As a result of renal transplantation, children are now surviving to the second and third decades with normal renal function. Although cystine is not deposited in a grafted kidney, it appears to accumulate relentlessly in other organs and tissues, especially ocular tissue, and progressive visual impairment has been documented.46 Continued therapy with oral cysteamine after renal transplantation currently must be considered. Reversal of corneal crystal deposition by topically administered cysteamine has been reported.47,48 Although penetrating keratoplasty can be performed for advanced corneal cystinosis with endothelial decompensation, cystinosis can recur in the transplanted graft.33

Wilson's Disease (Hepatolenticular Degeneration) and Hypercupremia

Wilson's disease is an autosomal-recessive inborn error of metabolism in which excess copper deposition occurs, primarily in the liver (leading to cirrhosis), the kidneys (leading to renal tubular damage), the brain (leading to widespread failure of motor function while sparing sensory function), and Descemet's membrane of the cornea.49 The ATP7B gene on chromosome 13 that is mutated in this disease has been cloned and sequenced, and the resulting protein product is a copper-transporting ATPase. Because more than forty mutant forms of this gene have been identified, molecular diagnosis is only practical in family members of patients in whom the genetic defect has already been identified.50

Clinical manifestations rarely occur before 6 years of age and may be delayed until the fifth decade. Approximately 40% of patients present with symptoms of hepatic disease, and 40% develop symptoms referable to the nervous system.51

This copper storage disease is probably caused by an intrahepatic defect in copper metabolism that leads to impaired excretion of the metal in the bowel and, concurrently, to decreased ceruloplasmin (α2-globulin) synthesis. The result of this defect is that, for the first few years of life, increasing amounts of copper are stored in the liver. At some point, necrosis of the liver cells occurs, and the copper is released into the blood and deposited in other tissues.52

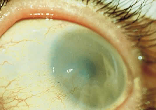
OCULAR FINDINGS. One of the few truly diagnostic and pathognomonic physical signs in clinical medicine is a Kayser-Fleischer corneal pigment ring found in patients with Wilson's disease (Fig. 5).This ring is recognized as a golden-brown, ruby-red, or green band of 1.0 to 3.0 mm, starting at the limbus but at the level of Descemet's membrane.53 The color of the ring is presumably caused by scattering and reflection of incident light and by photointerference effects created by the layers of copper granules. Such variables as size, shape, and unit density of the granules may account for the different appearances of the Kayser-Fleischer ring. The course of the Kayser-Fleischer ring has been well documented.54,55 The site of earliest pigment deposition is an arc in the superior periphery of the cornea from the 10- to 2-o'clock meridian. The arc spreads slowly toward the horizontal plane and gradually broadens. Later in the progression of the ring formation, a band appears inferiorly as a crescent stretching from the 5- to 7-o'clock positions. In time, the two arcs meet. With treatment, the sequence of events is reversed, and after the copper has reabsorbed, a pitted or beaten silver pattern may become apparent at the previous site of the ring. This is an indication that treatment has produced a negative copper balance.49 Decreased visual acuity is not a problem. Rarely, copper is deposited in the crystalline lens, giving an anterior subcapsular “sunflower” cataract.

Fig. 5. Wilson's disease. Kayser-Fleischer peripheral corneal ring. Copper pigment at level of Descemet's membrane.

DIAGNOSIS. This syndrome should be suspected clinically. Serum copper levels, as well as ceruloplasmin levels, are low. More precise studies requiring measurement of the turnover of injected radioactive copper may be performed, or copper levels can be determined in liver biopsy specimens.

DIFFERENTIAL DIAGNOSES. Pigmented corneal rings clinically identical to Kayser-Fleischer rings have been reported in non-Wilsonian liver diseases, including primary biliary cirrhosis, progressive intrahepatic cholestasis of childhood, and chronic active hepatitis. Although these diseases cause an elevated level of copper in the blood, urine, and liver, only in Wilson's disease are subnormal levels of ceruloplasmin present.56 Pigmented corneal rings have also been associated with multiple myeloma57; and a patient with a poorly differentiated adenocarcinoma of the lung, associated with IgG monoclonal gammopathy and hypercupremia, presented with copper deposition on the cornea and lens.58

PATHOLOGY. Electron microscopic, x-ray energy spectroscopic, and atomic absorption spectroscopic studies of the Kayser-Fleischer rings have revealed electron-dense granules rich in copper and sulfur in both the peripheral and the central region of the cornea, but more abundantly at the periphery. The association of copper with sulfur suggests that a sulfur-containing moiety functions in binding copper.59

MANAGEMENT. D-penicillamine (Cuprimine) is an extremely effective chelating agent because of its ability to mobilize copper from the tissues and increase its excretion in urine.52,60 Treatment of Wilson's disease with penicillamine is effective when started before there is active liver disease. After prolonged treatment with penicillamine, Kayser-Fleischer rings may fade, neurologic signs may clear, and liver function abnormalities may disappear. However, Kayser-Fleischer ring regression does not correlate with neuropsychiatric improvement.61 With D-penicillamine or after liver transplantation,62 Kayser-Fleischer rings disappear in reverse order to their formation. In most patients, the neurologic and hepatic lesions remit; hence the importance of recognizing the significant corneal pigment rings.

Lowe's Oculocerebrorenal Syndrome

This is an X-linked recessive metabolic disorder of unknown etiology. First recognized as a clinical entity by Lowe and co-workers,63 it occurs only in males and is characterized by mental and growth retardation, hypotonia, aminoaciduria, reduced ammonia production by the kidneys, rickets, and eye signs. The syndrome is listed here because aminoaciduria is one of the symptoms.

OCULAR FINDINGS. The most prominent ocular findings are congenital cataracts (over 96%) and congenital glaucoma (over 50%). A miotic pupil is common, but the retina is usually normal. A mild corneal haze has been reported, but this is probably the result of glaucomatous ocular hypertension.

DIAGNOSIS. This disorder should be considered in any male infant with both congenital cataracts and congenital glaucoma. In carrier females, the lenticular opacities are punctate, white to gray in hue, and vary in size from microns to several millimeters. Unlike congenital nuclear opacities, lenticular opacities are present in all layers of the cortex, indicating that they are well formed in adult life. Subcapsular, plaque-like cataracts are seen predominantly in older obligate carriers. Because female carriers have an identifiably higher number of lens opacities than do age-matched controls, genetic counseling may be indicated because 50% of their female offspring are expected to be carriers.64 Biochemical findings are typical and include metabolic acidosis and renal tubular acidosis. The basic enzyme deficiency is unknown, but may be related to biochemical abnormalities in glycosaminoglycan metabolism. The urinary findings include proteinuria, generalized aminoaciduria, organic aciduria, and on occasion, glycosuria.65

DIFFERENTIAL DIAGNOSIS. Rubella can cause both congenital cataracts and glaucoma but usually produces only one or the other.

MANAGEMENT. A lensectomy-vitrectomy is indicated for visual rehabilitation in patients with dense cataracts. Although all Lowe's syndrome patients are retarded, the degree of retardation is not necessarily severe. When these patients are visually rehabilitated by surgery and subsequent refractive correction, they function better than do those patients with visual stimuli deprivation.66

Porphyria

CONGENITAL ERYTHROPOIETIC PORPHYRIA.

This disease, also known as Gunther's disease, is an autosomal-recessive disorder. It is caused by a deficiency of uroporphyrinogen III synthase activity, resulting in an overproduction of porphyrins (type I) for which the body has no use. Different molecular defects have been detected.67 The clinical signs include hydroa aestivate (a vesicular or bullous eruption of the face, backs of the hands, and other exposed areas of the body), erythrodontia (brownish discoloration of the teeth), hypertrichosis, and splenomegaly.68 Neurologic symptoms, hypertension, and abdominal colic are not found.

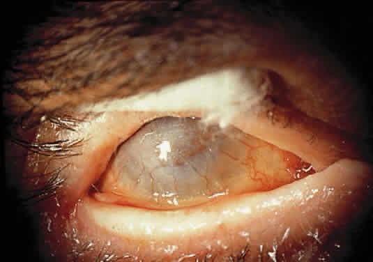
Ocular Findings. Ocular manifestations of this disorder include cicatricial ectropion, loss of eyelashes and eyebrows, bilateral exophthalmos, optic atrophy, retinal hemorrhages, and chorioretinitis.69–71 Conjunctivitis may result in marked scarring and adhesion of the conjunctiva to the sclera. Decreased corneal sensitivity, corneal scarring and vascularization, corneal perforation at the limbus, and scleromalacia may occur. Histopathology of tissue from a patient who underwent a penetrating keratoplasty and conjunctival resection revealed a thickened basement membrane of the vessels within the conjunctival and corneal stroma. Microfibrillar material was seen in the extracellular spaces of the conjunctival stroma. Inflammatory cells were noted in the corneal stroma, and there was a loss of keratocytes. Descemet's membrane lacked the normal fetal and postnatal banding and the endothelium was severely damaged.72 The changes in the vessels and conjunctival stroma were similar to those described in the skin of porphyria patients exposed to ultraviolet light.

Laboratory Investigations. Normochromic anemia and excessive excretion of uroporphyrin I and coproporphyrin I in urine and feces are found. The diagnosis should be confirmed by detection of decreased uroporphyrinogen III synthase activity.

VARIEGATE PORPHYRIA. This hepatic porphyria is characterized by acute attacks involving abdominal and neurologic manifestations, as well as by chronic skin lesions that are caused by photosensitivity.

Ocular Findings. In addition to the previously mentioned ocular signs, optic neuritis, optic atrophy, and exudates similar to those in acute intermittent porphyria are seen in affected homozygotes.70

Laboratory Investigations. Analysis of urine and stools reveals increased levels of protoporphyrin, coproporphyrin, uroporphyrin, aminolevulinic acid, and porphobilinogen, the latter being present only in acute attacks.68,70,71

Management. Intravenous heme leads to a rapid recovery of acute attacks. No specific therapy for ocular lesions is available. Scleral patch grafts have been used successfully to treat the scleromalacia perforans that develops in some of these patients.73

Amyloidosis

Amyloid deposition produces dysfunction in any organ by replacing its functioning mesenchymal or parenchymal cells. All amyloid proteins are insoluble fibrinous proteins that share a unique fibrillar ultrastructure. Depending on the origin of the amyloid protein, the amyloid fibrils deposit either in certain organs or systemically. Amyloid deposition does not incite any inflammatory response; however, a foreign body giant cell reaction may be seen occasionally around deposits in the ocular adnexa.74

Amyloidosis can be classified as primary (localized and systemic), secondary (localized and systemic), and heredofamilial according to the presence or absence of underlying disease (primary or secondary amyloidosis) and genetic associations (heredofamilial).

More recently, amyloidosis has been classified according to the protein precursor. The nomenclature for this classification includes A (for amyloidosis) followed by the initial of the protein precursor (e.g., AL for amyloidosis with light chain immunoglobulins as precursors).75 The most common type of systemic amyloidosis currently seen is the light chain amyloidosis (AL), which is associated with primary amyloidosis and sometimes with multiple myeloma. Fifteen to 20% percent of patients with myeloma have amyloidosis; fewer than 20% of patients with amyloidosis have myeloma.76 In secondary systemic amyloidosis the major amyloid deposit is protein AA, a degradation product of a serum acute phase reactant, serum amyloid A (apoSAA).

Histologic examination of amyloid deposition has shown a pericollagenous distribution associated with the primary and myeloma-related types (pattern type I) and perireticulin deposition in the secondary form of amyloidosis, associated with parenchymatous organ invasion (pattern type II).

PRIMARY AMYLOIDOSIS (SYSTEMIC AND NONSYSTEMIC TYPES). Primary amyloidosis is the form associated with clinically important depositions of amyloid in the eyes or ocular adnexa.74,77

Ocular Findings

CORNEA

Nonsystemic Familial Type. Lattice corneal dystrophy (Biber-Haab-Dimmer) is usually considered to be a localized amyloidosis of the cornea and could be classified as a special type of primary localized autosomal dominant amyloidosis (see corneal dystrophies section) (Fig. 6).78 Rarely, a form of primary familial amyloidosis of the cornea may occur. The lesions appear as centrally located, raised, gelatinous masses with a mulberry-like surface (Fig. 7).79

Fig. 6. Lattice dystrophy. Localized amyloid of the cornea. Corneal changes are shown in retroillumination.

Fig. 7. Rare primary familial amyloidosis.

Nonfamilial Type. Accumulations of amyloid in the cornea without apparent systemic involvement or a hereditary pattern have been described. Most often this occurs as the result of pre-existing ocular disease.80

Systemic Familial Type. Rarely, patients with lattice corneal dystrophy may have a familial primary systemic amyloidosis known as Meretoja syndrome. These patients develop lattice dystrophy in young adulthood and, in later years, skin changes, cranial nerve palsies, peripheral neuropathies, and visceral complaints. The lattice dystrophy that develops with systemic involvement is milder with regard to visual loss but more extensive in that it reaches to the corneal periphery without the peripheral lucid interval seen with localized lattice.81

CONJUNCTIVA. Clinically detectable conjunctival involvement is not a feature of systemic amyloidosis. However, nonfamilial amyloidosis confined to the conjunctiva has been reported as an example of primary amyloidosis. Conjunctival amyloidosis is often asymptomatic and may be present for years before the patient seeks medical attention. Typically, there is a discrete, nonulcerative, yellow, waxy, firm, nontender subconjunctival swelling (Fig. 8). This may be located in the palpebral fornix or bulbar conjunctiva, including the limbal area. The conjunctival area is usually smooth but may be friable and may show recurrent bleeding. However, antecedent local diseases have been incriminated in this amyloid deposition.77

Fig. 8. Conjunctival amyloidosis.

EYELID. The skin of the eyelid is the site of predilection for the characteristic cutaneous eruption of primary systemic amyloidosis.77 Typically, the lesions are symmetric, bilateral, small, smooth, and discrete or confluent papules. These lesions may be yellow and waxy or purple and hemorrhagic. A positive family history is often present. Primary localized amyloidosis does not affect the skin of the eyelids.7

VITREOUS. Vitreous opacities in amyloidosis may be uniocular or they may be asymmetric if both eyes are involved; these opacities may be the presenting feature of systemic amyloidosis. Vitreous involvement is much more common in primary familial systemic amyloidosis (more than 20 cases reported) than in nonfamilial amyloidosis (only 5 cases reported).82

ORBIT. Orbital involvement does occur in primary nonsystemic amyloidosis; proptosis is a prominent feature. Orbital amyloidosis can present as an acquired isolated sixth nerve palsy in a young adult.83 Amyloid also occurs in the orbits of some patients with primary familial systemic amyloidosis.

NEURO-OPHTHALMIC MANIFESTATIONS. Pupillary abnormalities are the most common neuro-ophthalmic sign found in primary familial systemic amyloidosis. Pupils have been described as dilated and unequal with absent or sluggish reactions to light, which at times may be accompanied by poor accommodative responses.74 Amyloid may be deposited in ciliary nerves. External ophthalmoplegia, diplopia, and optic neuropathy have been reported in some cases of familial amyloidosis.

SECONDARY SYSTEMIC AMYLOIDOSIS. Secondary systemic amyloidosis is associated with a number of underlying afflictions that have a significant chronic inflammatory component, such as tuberculosis, osteomyelitis, and leprosy. Small, clinically insignificant deposits of amyloid in the eye have been described rarely, and ophthalmologic signs attributable to the presence of amyloid are virtually unknown.77

SECONDARY LOCALIZED AMYLOIDOSIS. This form of amyloidosis has been reported to occur in association with trichiasis,84 granular corneal dystrophy,85 and keratoconus,86 or after chronic keratitis.

Diagnosis. Amyloidosis must be suspected on clinical grounds. Definitive diagnosis depends on histochemical reactions, including metachromasia with crystal violet, fluorescence with thioflavin T, birefringence and dichroism with Congo red, and positive staining with direct cotton dyes such as Sirius red. The mere recognition of amyloid in an ocular structure can no longer be considered a complete diagnosis. In primary systemic amyloidosis, the diagnosis is readily made by pathologic examination of the vitreous aspirate. The possibility of amyloidosis in extraocular sites, underlying or associated ocular disorders, familial aspects, and myelomatosis and other immunoglobulin abnormalities must be considered.

Management. Medical treatment may be specific for the various amyloidoses. Liver transplantation has been successful in some familial cases. Treatment of the underlying inflammatory condition is of questionable benefit in secondary amyloidosis; however, in primary amyloidosis, where a presumed monoclonal plasma cell secretes excess light chain, alkylating agents have been used with modest impact on survival. Recently, the combination of melphalan and prednisone in this setting was shown to be superior to colchicine, leading to prolonged survival.87 When surgery is indicated, the treatment of choice for vitreous involvement of amyloidosis is vitrectomy. Pars plana vitrectomy can be effective in restoring visual acuity, although recurrences are common. Reopacification of the retrolental vitreous is the most common reason for vitrectomy revision, which is required in 24% of patients.88 Penetrating keratoplasty may be required for advanced corneal disease although the deposition frequently recurs in the graft. Phototherapeutic keratectomy with excimer laser has been used for superficial depositions in the cornea.89,90

Gout and Urate Keratopathy

Gout is a clinical disorder of purine metabolism manifested by hyperuricemia, recurrent attacks of acute arthritis that are usually responsive to colchicine, and on occasion, tophaceous deposition of monosodium urate. Nephropathy is a frequent complication.91 Primary gout is usually attributed to an inborn error of metabolism. A deficiency of hypoxanthine-guanine phosphoribosyl transferase has been found in familial gout and may represent the enzymatic deficiency in at least one variety of the disease.92 The largest subgroup consists of patients in whom the biochemical defect is as yet undefined. Other enzymes may be involved.

Secondary gout or hyperuricemia may occur in toxemia of pregnancy and chronic renal insufficiency, as well as in other conditions that may be associated with breakdown of cell nuclei, such as malignant lymphomas, chronic myelogenous leukemia, hemolytic anemia, and primary polycythemia.

Increased endogenous urate production, as well as impaired renal urate excretion, has been cited as the basis for the hyperuricemia. The characteristic pathologic feature of gout is the deposition of urate crystals in articular and periarticular structures. In the eye, precipitation of urate crystals has been described in the lens, sclera, tarsal plates, tendons of extraocular muscles, and cornea.93 The ocular deposition of urate crystals supports the clinical finding that urate deposits develop in avascular rather than vascular tissue.

Genetic factors may include both cumulative gene action and single-gene effects.

OCULAR FINDINGS. Clinical manifestations of ocular gout include chronic hyperemic conjunctivitis, scleritis, episcleritis (Fig. 9), and tenonitis. In the past, uveitis has been associated with gout; but in a review of 69 patients with severe gout, none had any evidence of uveitis, either past or present.94 Monosodium urate crystals may be deposited in the corneal epithelium.95 The urate crystal deposition may offer one of two possible appearances. Slit lamp examination shows a fine, golden-yellow, scintillating crystal formation, diffusely distributed in the cornea, more heavily in the interpalpebral fissure and extending to the limbus. These crystals appear epithelial and subepithelial; they are best visualized by retroillumination.

Fig. 9. Episcleritis in gout.

Crystals interpreted as urates also have been described in band keratopathy occurring in a patient with gout.96 This keratopathy cannot be differentiated from calcium deposits solely by slit lamp examination. The site of urate crystals in the corneal epithelium is intranuclear.95 Urate-like crystals also have been seen in the corneal stroma in a disease termed keratitis urica. This is probably a localized dystrophic corneal disease and not associated with gout.96

DIAGNOSIS. A high index of suspicion is necessary to establish gout as a contributing factor to corneal crystals, band keratopathy, conjunctivitis, and iritis. Accordingly, the ophthalmologist should consider gout in the differential diagnosis of every patient with bilateral chronic conjunctivitis. High levels of uric acid in the urine and blood are helpful in establishing the diagnosis. Diuretic therapy is currently one of the major causes of secondary hyperuremia.97 Other causes of corneal crystals include cystinosis and monoclonal gammopathy. (See Table 1 for the differential diagnoses of crystals and band keratopathy.)

MANAGEMENT. Allopurinol is the most common antihyperuricemic agent used to treat gout. Long-term use of allopurinol has been associated with lens changes, primarily in the anterior and posterior subcapsular area. Recent evidence, however, suggests that long-term allopurinol therapy has a cataractogenic action only in patients in whom the drug has become photobound within the lens, possibly as a result of exposure to ultraviolet radiation.98

Paraproteinemias: Multiple Myeloma

Multiple myeloma is characterized by multiple plasma cell tumors, commonly manifesting themselves as osteolytic bone lesions. The neoplastic cells secrete monoclonal immunoglobulins, which may deposit as amyloid protein in different tissues, and may be excreted in the urine as immunoglobulin light chains (Bence Jones proteinuria). The disease results in bone pain, depletion of blood elements, hypercalcemia, renal insufficiency, amyloidosis, and immune disturbances. The incidence of multiple myeloma increases with age and is around 3 per 100,000. This incidence is equal in men and women, but blacks are affected more commonly than whites.99 Recently, a Herpes virus (HHV-8) has been implicated in the development of the disease.100

OCULAR FINDINGS. The ocular manifestations of multiple myeloma may be divided into two groups: those attributable to plasmacytoma growth in and about the eye, and those attributable to hematologic and serum protein abnormalities.101 The ocular manifestations include intraorbital or intraocular plasmacytomas,102,103 ciliary body cysts,104,105 retinal vascular tortuosity, hemorrhages and exudates,106 and the ophthalmic manifestations of intracranial plasmacytomas (papilledema).106 Crystals may be seen in the lens, and the cornea may show a band keratopathy resulting from the hypercalcemia. Clusters of myeloma cells may occur on the corneal endothelium. Conjunctival involvement in patients with multiple myeloma includes sludging of red cells in conjunctival vessels; occasionally malignant plasmacytomas of the conjunctiva arise anew or in association with advanced multiple myeloma.107

The presence of numerous delicate, scintillating crystals in the cornea has been recognized as a rare manifestation of hypergammaglobulinemia.41,108–110 In some cases, the corneal crystals are interspersed throughout the corneal stroma; in others they are most evident in the anterior cornea,103 including the epithelium.110 Posterior stromal corneal deposits are uncommon. The deposits usually are not vascularized, and corneal sensation is normal. Crystals may be detectable clinically in the bulbar conjunctiva.41,108,109 Aronson and Shaw described corneal crystals as probably consisting of cholesterol41; however, these crystals probably consist of partial or complete immunoglobulins110 (Fig. 10). Cysts of the ciliary body have been reported in 33% to 50% of myeloma patients, and retinal vascular lesions have been reported in up to 66% of these patients.111 Although corneal and orbital involvement are less common, orbital involvement is the first manifestation of systemic disease in about 75% of cases. Primary plasmacytomas may arise in the soft tissues or in the surrounding bones with secondary orbital invasion. The orbital roof and frontal bones often are affected, with resultant proptosis and downward displacement of the globe. The most common clinical signs are eye pain, diplopia, and visual impairment associated with a history of slowly progressive proptosis for weeks to months. Choroidal folds, venous engorgement of the disc, ptosis, and pupillary involvement may occur.

Fig. 10. Multiple myeloma. Top, Crystals in cornea. Bottom, Crystalline deposits (arrow) in epithelium. (Masson trichrome, × 680.) (Klintworth GK, Bredehoeft SJ, Reed JW: Analysis of corneal crystalline deposits in multiple myeloma. Am J Ophthalmol 86:303, 1978)

Polychromatic, dustlike deposition of copper in Descemet's membrane of the central cornea (with peripheral sparing) and in the anterior and posterior lens capsule occurs when the myeloma protein has strong copper-bonding properties.57

Corneal crystalline deposits also may occur in benign monoclonal gammopathy.110 Corneal opacities also have been reported in a patient with cryoglobulinemia and reticulohistiocytosis.112

DIAGNOSIS. Serum protein electrophoresis, examination of the urine for the presence of Bence Jones protein, and bone marrow aspiration are required. The differential diagnoses must include other causes of corneal crystals (see Table 1).

MANAGEMENT. Lamellar keratoplasty has been performed for visual rehabilitation.110 However, the treatment is basically directed toward the systemic disease. Chemotherapy and radiotherapy are effective in reducing the tumor mass in the orbit. Clinical improvement occurs in more than half of patients treated with alkylating agents such as melphalan. Radiotherapy is effective in treating orbital plasmacytomas and localized lytic bone lesions. Hypercalcemia is treated with hydration and intravenous furosemide (to promote urinary calcium excretion), as well as with steroids. The new bisphosphonate agents, such as pamidronate, are effective in correcting the hypercalcemia of multiple myeloma, and have recently been approved by the FDA for prevention of bone fractures in this disease.113

Ciliary body epithelial cysts are usually not diagnosed in life and do not require treatment. Retinopathy may improve with systemic treatment. Both penetrating and lamellar keratoplasties have been performed for advanced corneal disease, but recurrence after lamellar keratoplasty has been reported.110 Marked clearing of the corneal crystals with corresponding improvement of visual acuity has been reported to occur after chemotherapy.114

DISORDERS OF LIPOPROTEIN AND LIPID METABOLISM

The plasma lipoproteins are complex water-soluble macromolecules involved in the transport of lipid to and from tissues. These macromolecules contain triglyceride, cholesterol ester, and phospholipid in combination with specific apoproteins. The lipoproteins can be separated by electrophoresis into four main groups; in order of increasing mobility on paper electrophoresis, these are the chylomicrons, β-lipoproteins, prebetalipoproteins, and α-lipoproteins (Table 2). A further characterization based on lipoprotein size and density is achieved by ultracentrifugal analysis. The normal range of plasma lipid concentrations is noted in Table 3.

 

TABLE 15-2. Designation of the Plasma Lipoproteins


NameSynonymPredominant Lipid
ChylomicronsChylomicronTriglyceride
β-LipoproteinsLow-density lipoproteinCholesterol
PrebetalipoproteinsVery-low-density lipoproteinTriglyceride
α-LipoproteinsHigh-density lipoproteinPhospholipid
(Bron AJ: Dyslipoproteinemias and their ocular manifestations. Birth Defects 12:257, 1976)

 

 

TABLE 15-3. Normal Range of Plasma Lipid Concentrations


LipidConcentration
Total cholesterol120–250 mg/100 ml
% as ester66–72
Triglyceride40–125 mg/100 ml
Total phospholipid160–310 mg/100 ml
(Bron AJ: Dyslipoproteinemias and their ocular manifestations. Birth Defects 12:257, 1976)

 

A number of genetically determined disturbances of plasma lipoproteins have been identified. Although the role of the lipoproteins in the metabolism of the eye has not yet been precisely determined, changes in the eye may reflect more widespread disease.115

Hyperlipoproteinemia

Five basic phenotypes (Table 4) of hyperlipoproteinemia have been defined116,117; these five phenotypes are distinguished by the class of lipoprotein that is elevated in each.

 

TABLE 15-4. Hyperlipoproteinemias


  Elevation in Plasma  
TypeNameLipoproteinLipidXanthelasmaCorneal ArcusLipemia Retinalis
IFamilial lipoprotein lipase deficiencyChylomicronsTriglycerides+-+
 Familial apoprotein CII deficiency     
IIaFamilial hypercholesterolemiaLDLCholesterol++-
 Multiple lipoprotein-type hyperlipidemia     
 Polygenic/exogenous hypercholesterolemia     
IIbMultiple lipoprotein-type hyperlipidemiaLDL and VLDLCholesterol and triglycerides-+-
 Familial hypercholesterolemia     
IIIFamilial dysbetalipoprotenemiaVLDL remnantsTriglycerides and cholesterol+++
IVFamilial hypertriglyceridemia (mild form)VLDLTriglycerides+-+
 Multiple lipoprotein-type hyperlipidemia     
 Sporadic hypertriglyceridemia     
 Tangier disease     
VFamilial hypertriglyceridemia (severe form)VLDL and chylomicronsTriglycerides and cholesterol--+
 Familial apoprotein CII deficiency     
 Multiple lipoprotein-type hyperlipidemia     

LDL, low-density lipoprotein; VLDL, very low-density lipoprotein.

 

Type I (Hyperchylomicronemia). A deficiency of lipoprotein-lipase and Apo CII result in an elevation of chylomicrons, which are normally absent from fasting serum.118 Most patients are asymptomatic; however, attacks of abdominal pain, and sometimes pancreatitis, do occur. There may be eruptive xanthomas of the skin or mucous membrane. No cardiovascular complication, tendinous tuberous xanthoma, or corneal arcus is seen. Occasionally, lipemia retinalis is present. This disorder is transmitted as an autosomal-recessive trait.115–116

Type II (Hyperbetalipoproteinemia and Prebetalipoproteinemia). In these disorders there are elevated levels of low-density lipoproteins (LDLs; type IIa) or elevated levels of both LDLs and very-low-density lipoproteins (VLDLs; type IIb).118 The most serious systemic manifestation is cardiovascular disease, including peripheral vascular disease and myocardial infarction. The serum is clear, and there is an elevated cholesterol level. Corneal arcus, xanthelasma, or conjunctival xanthoma typically are present. This disorder is transmitted as an autosomal-dominant trait. Type II is expressed most severely in the homozygous state. Death before the fourth decade is common. 115–116

Type III (Dysbetalipoproteinemia). VLDL triglyceride and VLDL cholesterol are both elevated in this rare disorder.118 The serum is creamy. A variety of xanthomas are seen, including palmar, tuberous, and subperiosteal varieties and the more characteristic tuberoeruptive variety. Corneal arcus and lipemia retinalis are present early in the disease. Cardiovascular diseases, including peripheral vascular disease and myocardial infarction, are the most serious systemic manifestations. Type III disease is inherited as an autosomal-recessive trait.115–116

Type IV (Hyperprebetalipoproteinemia). Serum cholesterol in this disease may be normal or slightly elevated; however, the triglycerides are elevated and overproduction of VLDLs has been reported.118 There is no apparent increased risk of coronary heart disease in this type.118 Corneal arcus and xanthelasma are not seen; but lipemia retinalis may be evident. Type IV is transmitted as an autosomal-dominant trait.115–116

Type V (Hyperprebetalipoproteinemia and/or Hyperchylomicronemia). This disease involves familial lipoprotein lipase deficiency with resulting hyperchylomicronemia, and familial apoprotein CII deficiency, in which either chylomicrons or VLDL (VLDLa prebetalipoprotein) or both are high.118 Triglyceride is elevated in these diseases. Attacks of abdominal pain and, less commonly, of pancreatitis may be seen. Eruptive xanthomas do occur. Lipemia retinalis may be seen, but there is no xanthelasma or corneal arcus. The genetic factors involved are uncertain.115,116

OCULAR FINDINGS. As a generalization, the ocular features of hyperlipoproteinemia may be correlated with the presence of elevated levels of cholesterol or triglycerides (Table 5). Higher than normal levels of plasma cholesterol may be associated with xanthelasma and with presenile arcus of the cornea. However, both of these conditions also may be present when plasma cholesterol levels are normal. The incidence of xanthelasma and corneal arcus increases with age; it is highest in persons with type II hyperlipoproteinemia and usually low in those with type IV disease. Xanthelasma and corneal arcus are highly associated with each other and with increased levels of plasma cholesterol and LDL cholesterol (LDL-C), especially in young people.119

 

TABLE 15-5. Genetically Determined Hyperlipoproteinemia and Typical Ocular Signs


Primary TypeLipoprotein AbnormalityIncreased Lipid FractionLipemia RetinalisCorneal ArcusXanthelasma
IChylomicronsTriglyceride+--
IIβ-LipoproteinCholesterol-++
IIIBroad-beta bandCholesterol+++
 (β-mobility, pre-beta density)Triglyceride   
IVPrebetalipoproteinTriglyceride+--
VChylomicrons    
 PrebetalipoproteinTriglyceride+--
(Bron AJ: Dyslipoproteinemias and their ocular manifestations. Birth Defects 12:257, 1976)

 

Xanthelasma is a planar xanthoma that can affect both lids. The patches are yellow-orange and slightly elevated (Fig. 11A). In children, xanthelasmas are likely to be associated with increased levels of plasma cholesterol. There is a less clear-cut relationship in adults.120 These lesions are caused by subcuticular lipid-filled macrophages that contain esterified cholesterol as the predominant lipid (see Fig. 11B).121

Fig. 11. A. Xanthelasma. B. Lipid-containing macrophages (foam cells) in the dermis.

Arcus lipoides is a circular lipid infiltration of the peripheral stroma of the cornea, separated from the limbus anteriorly by a distinct, clear zone. It is formed by the junction of two arcs commencing first above and then inferiorly. The lesion is granular and is made up of two wedge-shaped opacities based on Descemet's and Bowman's membranes and extending into the stroma. The outer edge is better defined than the inner edge.115

Arcus senilis is an opacity of the peripheral cornea occurring in middle-aged or older persons (Fig. 12). Pathologically, it is characterized by a hyaline sudanophilia of Descemet's and Bowman's membranes and a granular sudanophilia of the corneal stroma.122 The chemical composition of senile arcus appears to be chiefly cholesterol ester with some cholesterol and a neutral glyceride, with the density of the opacity related to the concentration of sterol ester deposited.123 Arcus in elderly persons is generally not related to disturbed metabolism.

Fig. 12. Arcus senilis.

Arcus juveniles corneae may be associated with extensive lipochemical alteration in the serum of young persons.124 The presence of arcus in a young patient requires investigation into the possibility of a lipoprotein or lipid metabolism disorder. A higher prevalence of arcus has been reported in the black population, especially in young blacks, in the absence of elevated cholesterol.125

Other ocular lesions associated with hypercholesterolemia include tuberous xanthomas of the lids and conjunctival, retinal, and choroidal deposits.126 Turgidity of the plasma is associated with hypertriglyceridemia, which may be noted in the plasma or serum. This lactescence is identified in the retinal vessels as lipemia retinalis.115 Lipemia of the limbal vessels also has been seen. With longstanding hypertriglyceridemia, all arteries and veins, including those at the disc, are cream-colored and show a broadened light reflex in the fundus.126 Twenty-six patients with hyperlipidemia (serum cholesterol or triglyceride > 95th percentile for age) were compared with normal individuals for the presence of arteriovenous nicking, “sclerosis,” narrowing, and tortuosity. No differences were found in the retinal arterioles of patients with hyperlipidemia compared with the control group.127 Thus, examining the retinal arterioles is not helpful in detecting hyperlipidemia. Eruptive xanthomas may be seen on the lids and, less commonly, on the iris and in the retina.126

MANAGEMENT. Treatment includes prevention and management of complications through lifestyle alterations, such as dieting and exercising, and through drug therapy. There are three types of cholesterol-lowering drugs: bile acid-binding resins, niacin, and HMG-CoA reductase inhibitors. For hypertrygliceridemia, niacin and gemfibrozil are available. When a combination of these therapies is inadequate, apheresis can be performed every 7 to 14 days.128 Whether a decrease in serum lipid levels causes a regression of xanthomas is controversial.

Familial Lecithin:Cholesterol Acyltransferase (LCAT) Deficiency

In this rare metabolic disorder, absence of the enzyme that transforms fatty acid from lecithin to cholesterol results in abnormally high serum levels of free cholesterol and lecithin.115,129–130 The plasma may be turbid or milky. Erythrocyte lipid composition is abnormal, with target cell formation, anemia, and reduced erythrocyte life span. Phagocytosis of excess lipid results in sea-blue histiocytes in the bone marrow and spleen.131 Premature atherosclerosis may develop atherosclerosis, as well as renal failure secondary to lipid deposition in glomeruli.

The disorder is inherited as an autosomal-recessive trait.130 The LCAT gene is situated on chromosome 16 in close proximity to the α-haptoglobulin locus.132 The gene defect is not geographically restricted to Scandinavia, as has been previously reported.133–134 Corneal opacification, the single obligatory clinical sign of LCAT deficiency, has been noted in all homozygous cases reported in the literature.135 In contrast, anemia was present at the time of diagnosis in 92% of the reviewed cases, and proteinuria was present in 76% of cases.

OCULAR FINDINGS. Corneal opacities, which are present in all patients from early childhood, are diagnostic. Numerous small, fine gray dots are distributed throughout the stroma, causing diffuse haze without affecting the visual acuity. The epithelium, endothelium, and Descemet's membrane are spared. Near the limbus, the dots become more numerous, forming a gray, circular band resembling arcus senilis. The lipoid arcus is nearly always present. A relatively clear zone separates the circular band from the limbus in most patients. The outer border of the arcus is irregular because of differences in the number of stromal dots. In addition to the pathognomonic diffuse cloudiness in the corneal stroma, and the peripheral arcus lipoides, anterior and posterior crocodile shagreen have been described.136 Whether the two conditions are related is not known; however, the deposition of material in LCAT deficiency may alter the arrangement of collagen lamellae.

DIAGNOSIS. LCAT activity can be measured in plasma. Total cholesterol is variable: there is increased unesterified cholesterol and markedly decreased esterified cholesterol. VLDL is elevated. Because the general signs and symptoms of LCAT deficiency are nonspecific (anemia, proteinuria) and the biochemical changes cannot be detected by routine laboratory tests, the ophthalmologist is in a key position to recognize the disease based on findings from a routine slit lamp examination.

DIFFERENTIAL DIAGNOSIS. The ringlike condensation in the periphery differs from typical arcus lipoides in its indistinct, irregular, blurred margin and a limbal zone of mild opacities containing vacuoles. Both share a clear zone between the peripheral opacity and the limbus.

An arcus lipoides in young people is called anterior gerontoxon, or arcus juvenilis. It may accompany hypercholesterolemia or congenital anomalies such as blue sclera, megalocornea, or aniridia. However, in these disorders, the central part of the cornea is free from deposits. The fine, dustlike opacities seen in the posterior corneal stroma in cornea farinata, the vaguely defined “snowflake” opacities in the central cloudy dystrophy of François, and the diffuse opacity of Tangier disease may resemble the opacities found in the central part of the cornea in familial LCAT deficiency. In Fabry's disease, corneal opacities are quite different.130

MANAGEMENT. Fat-restricted diet and kidney transplantation in cases of renal failure remain the principal forms of therapy.118 Ocular therapy is usually not needed because visual acuity and visual fields are normal early in the disease.

Hypolipoproteinemia

TANGIER DISEASE. Tangier disease is a rare disorder involving a genetically determined inability to synthesize the polypeptide necessary for elaboration of HDL.137 HDLs are almost completely absent. Plasma, cholesterol, and phospholipids are reduced, and triglycerides are normal or elevated. The clinical picture is characterized by hepatosplenomegaly, lymph node enlargement, peripheral neuropathy, and corneal clouding. The two pathognomonic features are the presence of hypocholesterolemia and enlarged orange tonsils.137 The enlarged orange tonsils reflect the generalized storage of cholesterol ester in the reticuloendothelial system, which affects the lymph nodes, liver, and spleen. The neuropathy includes sensory loss, loss of tendon reflexes, and weakness and wasting of muscles.115 The early symptoms of note are mildly fatty stools and fatigue. This disorder is autosomal recessive and is expressed in the homozygous state.

Ocular Findings. Corneal manifestations are not invariably present in this disease. The corneal stroma is diffusely affected with a generalized haze, made up of numerous equidistant dots.115 Corneal arcus is not seen; however, a peripheral density in the 3- and 9-o'clock positions has been reported.117 Vision is unaffected.

Diagnosis. The diagnosis should be suggested by the clinical findings. Exact diagnosis requires determination of lipoprotein fractions, most specifically by immunoelectrophoresis. The corneal findings do not include the sparkling multicolored iridescence of the crystals found in cystinosis or multiple myeloma.

Management. No ocular therapy is required.

Schnyder's Hereditary Crystalline Dystrophy

This is a rare autosomal-dominant disorder characterized by the accumulation of cholesterol crystals beneath the central corneal epithelium. When the progression of this disease was described in affected and unaffected family members in one study during a nine-year period, no correlation was observed between Schnyder's corneal dystrophy and serum lipid levels.138

OCULAR FINDINGS. The corneal dystrophy is bilateral, with onset usually occurring early in life. Although the corneal changes do not typically progress after childhood, there are reports of progression later in life.139 The chief feature is a round or oval, discoid or ring-shaped central opacity, predominantly made up of fine, needle-shaped polychromatic crystals140 (Fig. 13). The opacity occupies the anterior portion of the stroma, including Bowman's layer, but ultrastructural changes in the posterior stroma and in the endothelium also have been described.141 The epithelium is normal, and the stroma outside the crystalline lesion is clear. In most cases, vision is only mildly disturbed. Corneal sensation may be abnormal. Both Vogt's limbus girdle and arcus lipoides are frequently seen in this disorder. Patients more than 40 years of age have a diffuse progressive stromal haze.142 Neovascularization of the cornea does not occur.

Fig. 13. Schnyder's crystalline dystrophy. (Courtesy of Dr. Perry Binder)

A raised cholesterol level has been found in a number of these patients. Because of the systemic implications of undiagnosed hyperlipidemia, fasting levels of cholesterol and triglycerides and lipoprotein electrophoresis should be checked in patients with Schnyder's dystrophy. Histologic analysis of the corneal crystals that occur with this dystrophy has shown that they contain neutral lipids and both esterified and unesterified cholesterol.143

It is possible that the basic mechanism in Schnyder's dystrophy is a local defect in the handling of lipid by stromal keratocytes.

DIFFERENTIAL DIAGNOSES. Gout, cystinosis, Bietti's corneal dystrophy, and dysproteinemias such as multiple myeloma, Waldenström's macroglobulinemia, cryoglobulinemia, Hodgkin's lymphoma, and benign monoclonal gammopathy are included.

MANAGEMENT. Reduction of cholesterol intake is usually not beneficial in preventing progression of the dystrophy. Lamellar or penetrating keratoplasty may be indicated when the dystrophy is advanced and visually disabling; but recurrence of crystalline deposits in grafted corneas appears to be quite common. Recurrence of crystalline deposits may happen early and the amount of the deposit may be greater in lamellar than in full-thickness grafts.144

Lipoid Proteinosis (Urbach-Wiethe Disease; Hyalinasis cutis et mucosae)

This is a rare autosomal-recessive disorder associated with deposition of hyalinized material in the skin, mucous membranes, and brain. The lesions appear as clusters of yellow to white papules on the elbows, axillae, knees, perineum, scrotum, tongue, larynx, and eyelids.52 The clinical presentation is characterized by hoarseness beginning in infancy and by multiple lesions of both the mucous membrane and skin; some patients also have presented with psychomotor seizures. Skin papules may become atrophic or hyperkeratotic; these lesions can ulcerate, leaving a pitted scar.145–146 Lipid is not part of the storage material, and thus lipoid proteinosis is a misnomer.

OCULAR FINDINGS. Ocular manifestations include retinal drusen and waxy papules along the lid margins. Hyaline material sometimes infiltrates the lid margins. Nodular, beadlike yellow-white excrescences appear on the lid margin and may cause madarosis. A chronic blepharitis may arise concurrently.146–147 Bilateral corectopia with upwardly and nasally displaced oval pupils was reported in one 32-year-old patient.148

DIAGNOSIS. Serum lipids may be elevated but are usually normal.145,147 The enzyme defect is unknown. Skin lesion biopsies show lower than normal lipid content149 and characteristic, diffuse dermal deposits of amorphous hyalinized material, in part composed of neutral mucopolysaccharides, occurring around blood vessels.150 Lid involvement is highly diagnostic.

MANAGEMENT AND PROGNOSIS. Lid nodules can be excised. The life span is normal.

Secondary Lipid Keratopathy

There are many factors that may predispose to lipid deposition in the cornea, but the most common causes are herpes simplex and herpes zoster disciform keratitis. Lipids also may be deposited in the corneal tissues. In the presence of inflammation, vascularization, injury, and corneal edema, the limbal vessels are regarded as the chief source of entry of lipid into the cornea (Fig. 14).115 The deposits appear as dense, yellow-white infiltrates. Cholesterol has been found to be the lipid of note in the case of lipid keratopathy without high blood lipids.151

Fig. 14. Secondary lipid keratopathy after herpes zoster keratitis.

MANAGEMENT. Initial treatment involves controlling the primary inflammatory disease. Argon laser treatment to occlude feeder vessels that have been identified by fluorescein angiography has reportedly been successful in reducing the extent of lipid keratopathy in 62% of cases and its density in 49%.152 Visual acuity was improved in 48% of cases. The use of an Abraham laser lens is important to prevent extensive iris atrophy.153 Complications of corneal argon laser photocoagulation in the treatment of corneal stromal vascularization and secondary lipid keratopathy include iris atrophy, intracorneal hemorrhage, and crystalline deposits.154 Currently, argon laser is seldom used to treat keratopathies.

Fabry's Disease

Fabry's disease is a lysosomal storage disorder caused by the defective activity of the lysosomal hydrolase α-galactosidase A,155 an enzyme that is encoded on Xq22 (in the long arm of chromosome X).156 This defect leads to the progressive and systematic accumulation of glycosphingolipids, particularly globotriaosylceramide, in vascular endothelial cells and smooth-muscle cells.155–157

Most of these patients have angiokeratomas (telangiectatic lesions of the skin) that appear as purplish-red maculopapular cutaneous nodules in the inguinal, scrotal, and umbilical regions.158 Patients with Fabry's disease may experience severe tingling and burning pains in the hands and feet around the time of puberty. Pain is worse in hot weather and with exercise and may last a number of years. With aging, the onset of atherosclerosis occurs, with a propensity for early myocardial infarction and cerebrovascular problems. However, most patients live until their late 40s, at which time they succumb to renal failure because of lipid in the glomeruli of the kidneys. Female heterozygotes may have some of the manifestations of this disease, but the disease is usually milder in females than in affected males.

Fabry's disease is transmitted as an X-linked recessive trait. Of the carrier's sons, 50% are affected, and half of her daughters are carriers.

OCULAR FINDINGS. The ocular deposition of this glycosphingolipid results in unique and diagnostic eye findings in both the severely affected homozygous male and the more minimally affected heterozygous carrier female. The ocular findings, which are recognized as one of the distinctive hallmarks of this disease, are among its earliest clinical manifestations.159,160

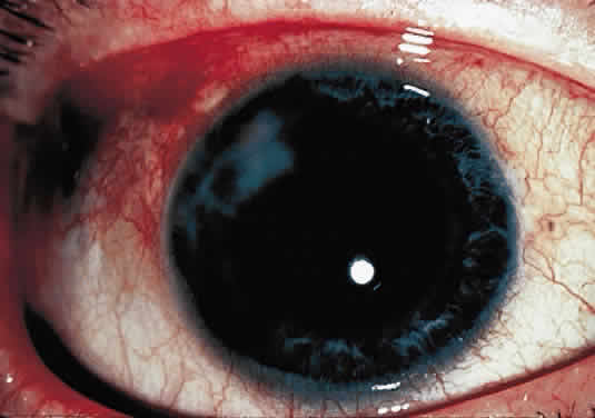
Cornea. Whorl-like corneal opacities (Fig. 15) are seen in almost all homozygotes and heterozygotes, with more severe involvement in heterozygotes.159 In female carriers, these corneal changes are usually the only manifestations of the disorder. They occur primarily in the subepithelial layers of the cornea, at or near the level of Bowman's layer. These linelike opacities are made up of a multitude of small dots, usually in the cornea. They are mostly cream-colored but range from white to golden brown. The corneal dystrophy (cornea verticillata) appears in a number of patterns. The more fully developed vortex patterns also involve the upper cornea. Lesions appear as a diffuse haze in younger patients and may be seen as early as 6 months of age.161 Corneal dystrophy does not impair visual acuity.159,160 Conjunctival inclusion tortuosities, isolated dilation or saccular aneurysms, as well as sheathing, may be present (Fig. 16).

Fig. 15. Fabry's disease. Whorl-like superficial corneal opacities. (Courtesy of Dr. Walter Stark)

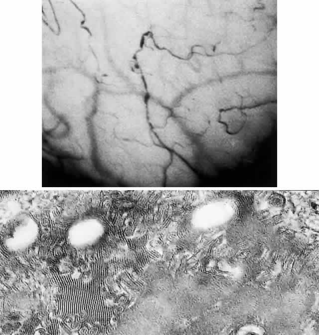
Fig. 16. Fabry's disease. Top, Tortuosity and aneurysmal conjunctival dilatations. Bottom, Conjunctival biopsy shows inclusions within capillary endothelial cells as parallel leaflets. (× 80,000.) (Courtesy of Drs. Kenneth Kenyon and Jacques Libert)

Lens. Two specific types of lenticular changes may be seen: a granular, anterior capsular cataract with a radial pattern and an unusual posterior subcapsular cataract with whitish, translucent spokelike deposits of granular material radiating from the central part of the posterior cortex.

Retina. Fundus lesions may be either primary or secondary to systemic hypertension or renal disease. The first alterations occur in the veins, which assume a tortuous appearance; later, in the second decade of life, they may show segmentation and dilatation. The arteries also become tortuous and show sheathing and generalized or localized dilatations.

Other findings include papilledema, optic atrophy, lid edema, and angiokeratoma of the lids. The neurologic sequelae are protean and are the result of cerebrovascular involvement.

DIAGNOSIS. The enzyme deficiency can be diagnosed in tears,162 serum, urinary sediment, leukocytes, or cultured fibroblasts.163 Conjunctival biopsy may be of value and should be strongly considered in these patients.161 It is important to diagnose Fabry's disease in carriers for the purpose of genetic counseling; such diagnoses must be based on family history and examination of family members. Where a high index of suspicion is present, conjunctival biopsy and examination of the urine for excess glycolipids are indicated.

DIFFERENTIAL DIAGNOSES. A number of drugs can produce vortex patterns in the superficial cornea: quinacrine, chloroquine, hydroxychloroquine sulfate, amiodarone, indomethacin, and chlorpromazine. In chloroquine keratopathy, the radiating lines are more pronounced in the lower half of the cornea. Striate melanokeratosis may have a vortex pattern but is usually found in more heavily or darkly pigmented eyes,164 and is associated with uveitis and keratitis.

Corneal verticillata, a familial whorl-like corneal opacity, is actually the expression of Fabry's disease in otherwise asymptomatic heterozygotes.159 The ocular pathology of a hemizygous male with Fabry's disease, who died after renal transplantation, revealed reduplication of the corneal basement membrane as well as osmophilic inclusion bodies in both epithelial and endothelial cells.165 It is thus plausible that the diffuse haziness of the cornea seen on slit lamp examination is caused by epithelial deposits of lipid, and that reduplication of the basement membrane is responsible for whorl-like dystrophy.

MANAGEMENT. Neither the corneal lesion nor the cataract affects visual acuity. The frequency and intensity of the pain crisis can be decreased with chronic use of phenytoin and carbamazepine. Hemodialysis and renal transplant have been successful in saving lives.166 The enzyme is biochemically available, but replacement and specific therapeutic methods for the treatment of the disease are still in experimental stages.156,167

Gaucher's Disease

This autosomal-recessive sphingolipidosis is caused by a defect in the enzyme acid α-glucosidase,168 a lysosomal hydrolase encoded by a gene on chromosome 1 (q21 to q31),156,168 which results in the accumulation of glucosylceramide in reticuloendothelial cells. Gaucher's disease is characterized by organomegaly, hematologic problems, and skeletal complications. There are three recognized clinical phenotypes.52

Type I is a chronic, nonneuropathic, adult-onset disorder which accounts for 90% of cases of Gaucher's disease. Splenomegaly, anemia, thrombocytopenia, pathologic bone fractures, episodes of bleeding, and a yellow skin pigmentation are all features of this disease. There is no cerebral involvement.

In type II (infantile, acute neuropathic form), afflicted infants fail to thrive and have progressive hepatomegaly, splenomegaly, and dysphagia early in life. Later, persistent retroflexion of the head and signs of pseudobulbar palsy develop.

Type III is a subacute, neuropathic form with onset in the teenage years. The neurologic features follow a milder course.

OCULAR FINDINGS. A pingueculum-like lesion containing typical Gaucher's cells is the only significant ocular feature169 (Fig. 17). The pingueculum-like mass or thickening of the bulbar conjunctiva in the horizontal meridian, with its base at the limbus, eventually enlarges and assumes a yellow color.170 The nasal and temporal bulbar conjunctiva are involved with equal frequency but only in one fourth of all patients with the chronic form of the disease.

Fig. 17. Gaucher's disease. Pingueculumlike deposit of bulbar conjunctiva.

Biopsy of the conjunctival lesions reveals typical Gaucher's cells. In the infantile form, pseudobulbar palsy may cause oculomotor disturbances.171

DIAGNOSIS. Tentative diagnosis is based on the finding of Gaucher's cells in bone marrow. The cytoplasm of these cells has a “wrinkled paper” appearance caused by the deposition of sphingolipid material. Tissue demonstration of decreased levels of glucocerebroside activity confirms the diagnosis. Because 1 of 18 Ashkenazi Jews carries the trait, screening should be carried out in this population.

MANAGEMENT. Bone marrow transplantation has been successful in curing some patients with Gaucher's, but the associated mortality and morbidity are too high.172 Enzyme replacement therapy using placental α-glucosidase has been successful. The efficacy of the recombinant enzyme is currently being studied.156

DISORDERS OF CARBOHYDRATE METABOLISM

This group of disorders includes primarily the various forms of mucopolysaccharidosis (MPS) and diabetes mellitus, which are discussed in a later section of this chapter.

Currently there are at least seven well-defined syndromes among the systemic disorders of acid mucopolysaccharide metabolism (Table 6). The MPSs are inherited as autosomal-recessive traits, with the exception of Hunter's syndrome, an X-linked disease. A deficiency of one of the enzymes involved in the metabolism of glycosaminoglycans (GAGs) is the hallmark. Glycosaminoglycans, which are long-chain, complex carbohydrates linked to proteins, are a major component of connective tissue. Examples of GAGs are keratan sulfate, chondroitin sulfate, hyaluronic acid, and heparan sulfate.

 

TABLE 15-6. Differential Features of Systemic Mucopolysaccharidoses and Mucolipidoses


   Excess Mucopolysacchariduria 
ClassificationGeneticsEnzyme DefectHeparan SulfateDermatan SulfateKeratan Sulfate 
MPS I-H (Hurler)Allelic ARα-L-Iduronidase++- 
MPS 1-S (Scheie) (formerly MPS V)Allelic ARα-L-Iduronidase++- 
MSP I-H/S (Hurler-Scheie compound)Allelic ARα-L-Iduronidase++- 
MPS II (Hunter)      
 A (severe)Allelic XRIduronosylsulfate sulfatase++- 
 B (mild)  ++- 
MPS III (Sanfilippo)      
 AARHeparan-N-Sulfate sulfatase+-- 
 B N-acetyl-x-D-glucosaminidase+-- 
 C Acetyl-transferase--+ 
 D N-acetylglucosamine-6-sulfate sulfatase    
MPS IV (Morquio)      
 AARGalactosamine-6-sulfatase    
 B β-Galactosidase    
MPS V (Vacant)      
MPS VI (Maroteaux-Lamy) N-Acetylgalacto-samine-4-sulfatase    
 A (severe)Allelic AR(Arylsulfatase B)-+- 
 B (mild)  -+- 
MPS VII (Sly) β-Glucuronidase    
(β-Glucuronidase deficiency)AR  chondroitin sulfate  
GM1 gangliosidosisAR     
 Type I β-Galactosidase A, B, C--+ 
 Type IIARβ-Galactosidase B, C--- 
ML I (lipomucopoly-saccharidosis)ARα-N-Acetyl neuraminidase--- 
ML II (I-cell disease)ARMultiple--- 
ML III (pseudo-Hurler polydystrophy)ARMultiple--- 
ML IVAR?--- 
   Systemic Features 
ClassificationGeneticsEnzyme DefectPsycho-motor RetardationSkeletal DysplasiaFacial DysplasiaHepato-spleno-megaly
MPS I-H (Hurler)Allelic ARα-L-Iduronidase++++
MPS 1-S (Scheie) (formerly MPS V)Allelic ARα-L-Iduronidase±++±
MSP I-H/S (Hurler-Scheie compound)Allelic ARα-L-Iduronidase±+++
MPS II (Hunter)      
 A (severe)Allelic XRIduronosylsulfate sulfatase++++
 B (mild)  ±+++
MPS III (Sanfilippo)      
 AARHeparan-N-Sulfate sulfatase+±++
 B N-acetyl-x-D-glucosaminidase+±++
 C Acetyl-transferase±+++
 D N- acetyl-glucosamine -6-sulfate sulfatase    
MPS IV (Morquio)      
 AARGalactosamine-6-sulfatase    
 B β-Galactosidase    
MPS V (Vacant)      
MPS VI (Maroteaux-Lamy) N-Acetylgalacto-samine-4-sulfatase    
 A (severe)Allelic AR(Arylsulfatase B)-+++
 B (mild)  -+++
MPS VII (Sly) β-Glucuronidase++±+
(β-Glucuronidase deficiency)AR     
GM1 gangliosidosisAR     
 Type I β-Galactosidase A, B, C++++
 Type IIARβ-Galactosidase B, C+---
ML I (lipomucopoly-saccharidosis)ARα-N-Acetyl neuraminidase+++±
ML II (I-cell disease)ARMultiple++++
ML III (pseudo-Hurler polydystrophy)ARMultiple±++-
ML IVAR?+---
   Ocular Features 
ClassificationGeneticsEnzyme DefectCorneal CloudingOptic AtrophyRetinal Pigmentary Degeneration 
MPS I-H (Hurler)Allelic ARα-L-Iduronidase+++ 
MPS 1-S (Scheie) (formerly MPS V)Allelic ARα-L-Iduronidase+++ 
MSP I-H/S (Hurler-Scheie compound)Allelic ARα-L-Iduronidase+NR+ 
MPS II (Hunter)      
 A (severe)Allelic XRIduronosylsulfate sulfatase-++ 
 B (mild)  +++ 
MPS III (Sanfilippo)      
 AARHeparan-N-Sulfate sulfatase-++ 
 B N-acetyl-x-D-glucosaminidase-++ 
 C Acetyl-transferase++- 
 D N-acetylglucosamine-6-sulfate sulfatase    
MPS IV (Morquio)      
 AARGalactosamine-6-sulfatase    
 B β-Galactosidase    
MPS V (Vacant)      
MPS VI (Maroteaux-Lamy) N-Acetylgalacto-samine-4-sulfatase    
 A (severe)Allelic AR(Arylsulfatase B)++- 
 B (mild)  +-- 
MPS VII (Sly) β-Glucuronidase±NRNR 
(β-Glucuronidase deficiency)AR     
GM1 gangliosidosisAR     
 Type I β-Galactosidase A, B, C±+NR 
 Type IIARβ-Galactosidase B, C-+± 
ML I (lipomucopoly-saccharidosis)ARα-N-Acetyl neuraminidase±-NR 
ML II (I-cell disease)ARMultiple±-NR 
ML III (pseudo-Hurler polydystrophy)ARMultiple+-NR 
ML IVAR?++NR 

MPS, mucopolysaccharidosis; ML, mucolipidosis; AR, autosomal recessive; XR, X-linked recessive; NR, not recorded; +, present; ±, variable; --, absent.

 

The characteristic clinical features of these disorders, including skeletal abnormalities, gargoyle facies, hepatosplenomegaly, cardiac disease, mental deficiency, deafness, and ocular involvement, occur with varying degrees of severity and overlap. The tissue-specific differences in the structure of mucopolysaccharides and the predominant types accumulated in various organs account for the variability in clinical manifestations. Ocular manifestations include progressive corneal clouding, optic atrophy, and retinal pigmentary degeneration. In these disorders, excess dermatan, chondroitin, and keratan sulfates accumulate in the cornea and in other body tissues, causing visceral manifestations, and heparan sulfate accumulates in the retina and in the central nervous system, causing mental deficiency. The accumulation of these abnormal substances results from the faulty catabolism of mucopolysaccharides in the lysosomes caused by deficiencies of lysosomal acid hydrolases (Figs. 18 and 19). In the cornea, this causes characteristic pathologic changes consisting of intracytoplasmic vacuolization of epithelium, subepithelial histiocytes, stromal keratocytes, and endothelium. In the conjunctiva, membrane-bound vacuoles found in the cytoplasm represent fine granular material in lysosomes. Large storage vacuoles form in histiocytes, which are called gargoyle cells.

Fig. 18. Pathway showing metabolic blocks in dermatan sulfate catabolism and associated genetic disorders. (Dawson G, Tsay GC: Chemical diagnosis of inborn lysosomal storage disorders involving the eye. Birth defects 12:1, 1976)

Fig. 19. Pathway showing metabolic blocks in heparan sulfate catabolism and associated genetic disorders. (Dawson G, Tsay GC: Chemical diagnosis of inborn lysosomal storage disorders involving the eye. Birth Defects 12:1, 1976)

Night blindness associated with retinal pigmentary degeneration and bone-spicule appearance is seen only in MPS types that involve storage of heparan sulfate. Papilledema, a frequent finding, has been attributed to the hydrocephalus that occurs secondary to meningeal thickening with the storage material; narrowing of the scleral canal of the nerve head, as a result of posterior scleral thickening with mucopolysaccharide accumulation, may play a role in the optic nerve head swelling. Acute and chronic glaucoma may be seen in MPS I-H, I-S, and I H-S.

Conjunctival biopsy is an important diagnostic step in these disorders, owing primarily to its popularization by Kenyon and colleagues173 and by others.174 This simple procedure has become increasingly applicable as a reliable screening test for patients with suspected lysosomal diseases. A small fragment from the upper bulbar conjunctiva is easily removed, using topical anesthetic without sedation, and sent for ultrastructural evaluation (Fig. 20). The diagnosis of mucopolysaccharidosis is based primarily on the characteristic clinical findings; specific enzymatic assays can be performed for definitive diagnosis and further categorization of the different types and subtypes.

Fig. 20. Technique of conjunctival biopsy (see text).

MPS 1-H (Hurler's Syndrome)

This autosomal-recessive syndrome, which becomes manifest in infancy, is one of the most severe mucopolysaccharidoses. The basic genetic defect is the absence of the lysosomal enzyme α-L-iduronidase, which renders the cells incapable of cleaving iduronic acid residue in polysaccharide chains. As a result of the enzyme defect, both heparan sulfate and dermatan sulfate are excreted in the urine.175

The infant may develop normally for a few months before mental and physical deterioration begins.176 The clinical features include dwarfism, grotesque facies, hepatomegaly, progressive mental retardation, skeletal abnormalities, hirsutism, and cardiovascular disease. Progressive corneal clouding occurs in all patients and may conceal the retinal degeneration that develops concurrently. The usual cause of death, which occurs before 10 years of age, is respiratory infection and cardiac failure. The change in body tissue is caused by an accumulation of mucopolysaccharides (Fig. 21).

Fig. 21. MPS 1-H. Typical coarse facial features of Hurler's syndrome.

OCULAR FINDINGS. The cornea is diffusely clouded by the progressive accumulation of intracellular and extracellular acid mucopolysaccharides. Initially, fine, punctate stromal opacities are present in the anterior stroma; these opacities progress to involve the entire stroma, resulting in visual loss (Fig. 22).177 The epithelium and endothelium are spared. Abnormal mucopolysaccharides accumulate in all cellular components of the cornea, with profound alteration of Bowman's layer and of the corneal lamellae.

Fig. 22. Corneal clouding in MPS IV.

Other ocular findings, such as buphthalmos, megalocornea, and glaucoma177have been reported. A picture similar to retinitis pigmentosa, indistinguishable from other forms of heredofamilial retinal pigmentary dystrophies, is a frequent ophthalmoscopic finding. Narrowing of the retinal vessels, optic atrophy, or optic nerve head swelling are commonly seen; the electroretinogram is diminished or extinguished in many cases.

DIAGNOSIS. Conjunctival biopsy demonstrates connective tissue cells containing abnormal vacuolization by single membrane-limited cytoplasmic bodies. These bodies contain predominantly fibrillogranular and occasional membranous lamellar inclusions. They are thought to represent lysosomes swollen with acid mucopolysaccharides and glycolipid.173 Excessive levels of dermatan sulfate and heparan sulfate are found in the urine. The definitive diagnosis is made by direct assay of α-L-iduronidase activity in white blood cells or cultured skin fibroblasts. A similar assay is performed on amniocytes for prenatal diagnosis.

MANAGEMENT. Bone marrow transplant is the most effective treatment available for Hurler's disease. However, this form of therapy is not widely available because of its high cost, its high mortality, and the lack of matched related donors. Corneal transplantation may be required for severe corneal disease; but in such cases vision remains poor because of optic atrophy or retinal degeneration. Use of gene therapy to treat Hurler's disease is under investigation.178

MPS I-S (Formerly MPS V, Scheie's Syndrome)

This autosomal-recessive syndrome, characterized by claw hands, stiff joints, aortic insufficiency, deafness, and hernia, is a variant of Hurler's syndrome.176,179 The facial features are coarse but not grotesque. The predominant ocular feature is a peripheral corneal clouding that progresses centrally with age. Pigmentary retinal degeneration occurs in the first decade, with night blindness and visual field constriction in the second and third decades. Acute glaucoma may be seen. The same enzyme, α-L-iduronidase, is deficient; as in Hurler's syndrome,175 and as with the SS and SC hemoglobinopathies, they are presumably allelic. Patients with MPS I-S usually have a normal stature and a relatively normal life span.

DIAGNOSIS. The MPS spot test is positive. Urine mucopolysaccharide values show both dermatan sulfate and heparan sulfate excreted in a 70:30 ratio, as in MPS 1-H. Conjunctival biopsy is of value. The Scheie fibroblasts show identity to the Hurler fibroblasts in the Neufeld mixed fibroblast culture.180 It has been demonstrated that residual α-L-iduronidase activity in Hurler fibroblasts is heat stable, whereas that in Scheie fibroblasts is heat labile; the enzyme activity in MPS I H-S is intermediate between the two. The differential diagnoses include MPS VI-B (mild phenotype).

MANAGEMENT AND PROGNOSIS. Penetrating keratoplasty may be considered if vision is markedly reduced, even though poor results have been reported.179 Life expectancy is well into middle age.52

MPS I H-S (Hurler-Scheie Compound)

A clinical disorder with severity midway between the Hurler and Scheie syndromes has prompted the suggestion of a genetic compound of the two alleles, H and S. This disorder is inherited as an autosomal-recessive trait. Most of these patients have severe bone involvement but only minor intellectual impairment. These patients have a longer life expectancy than do those with the Hurler syndrome.52 Micrognatia (receding chin) is a distinctive clinical feature. Arachnoid cysts with spinal rhinorrhea are characteristic. These cysts are also seen in Hurler's syndrome, where they may lead to sella turcica enlargement.

OCULAR FINDINGS. Ocular findings include corneal clouding, a chronically elevated optic disc, a diminished or extinguished electroretinogram, and pigmentary retinopathy. Progressive corneal clouding requiring corneal transplantation by the end of the first decade is generally the rule.

DIAGNOSIS. An MPS urine spot test is positive, with excessive excretion of dermatan sulfate and heparan sulfate. A conjunctival biopsy is helpful. Biochemical and enzymatic assays are identical to those seen in both MPS 1-H and MPS I-S.

MANAGEMENT. Penetrating keratoplasty is suggested for vision of less than 20/100 (6/30).* Even with an extinguished electroretinogram, vision may be improved.52


The authors acknowledge the contributions of George T. Frangieh, MD, and John S. Lee, MD, to the preparation of previous versions of this chapter.

MPS II (HUNTER'S SYNDROME)

There are two phenotypes of this X-linked recessive syndrome: mild (type A) and severe (type B). Both types are caused by mutations at the X-linked locus for the enzyme iduronate sulfatase, and are allelic.52,176 The deficiency of iduronate sulfatase results in accumulation of dermatan and heparan sulfates.

The severe form demonstrates many of the same features as Hurler's syndrome, including similar skeletal and mental changes, but with less severity than in Hurler's syndrome. Only males are affected. Death occurs before age 15.

In the mild phenotype, survival may extend past age 50. Intelligence is normal and skeletal involvement moderate. Characteristic pebbling of the skin may be found over the neck, scapula, or thigh.52

OCULAR FINDINGS. Corneal clouding is absent, although histologic examination reveals deposits of acid mucopolysaccharides in clinically clear corneas. Pigmentary retinopathy with an abnormal extinguished electroretinogram may lead to visual impairment of varying degrees. Elevated and blurred disc margins account for the diagnosis of chronic papilledema and may culminate in optic atrophy.175

DIAGNOSIS. An MPS spot test is necessary. Dermatan sulfate and heparan sulfate are present in the urine. A conjunctival biopsy is helpful.181 Definitive diagnosis is made by assaying for sulfoiduronate sulfatase in fibrocytes and, for prenatal diagnosis, in amniocytes. MPS II is clinically distinguished from MPS I-H by the lack of corneal clouding. Patients with Sanfilippo's syndrome, types A and B, are generally less dwarfed.

MANAGEMENT. Bone marrow transplant has caused stabilization of symptoms in this syndrome. More long-term follow-up studies are needed to confirm its potential benefit.178

MPS III (Sanfilippo's Syndrome, Types A, B, C, and D)

The four types of Sanfilippo's syndrome are caused by different nonallelic mutations. Type A is most severe, with an earlier onset and earlier death than types B, C, or D. Excessive heparan sulfate, but not dermatan sulfate, is present. In type A there is a deficiency of the enzyme heparan-N-sulfatase; in type B, of N-acetyl-α-D-glucosaminidase (NAG); in type C, of N-acetyltransferase; and in type D, of N-acetylglucosamine-6-sulfate sulfatase. This autosomal-recessive syndrome is characterized by severe mental retardation, minimal skeletal dysostosis, moderate hepatosplenomegaly, and moderate dwarfing.176,182 Cardiac abnormalities have not been associated with the syndrome. Radiographic findings include oval vertebral bodies, sclerotic mastoids, and thickened posterior calvaria.

OCULAR FINDINGS. The corneas are clinically clear, but less severe intracytoplasmic vacuolation of corneal cells and the accumulation of granular material around keratocytes is present. Pigmentary retinopathy, which may be indistinguishable from retinitis pigmentosa, is frequently present. Optic atrophy may be seen.52 Sanfilippo found 1 patient with corneal opacity.183

DIAGNOSIS. Urine contains high levels of heparan sulfate. Electron microscopic evaluation of conjunctival biopsy confirms the diagnosis. Definitive diagnosis is based on specific enzyme assays.

DIFFERENTIAL DIAGNOSIS. This syndrome is differentiated from the other MPS syndromes, in which the corneas are clear, by an increased severity of behavioral problems and mental retardation, and by less skeletal involvement. The genetic pattern of inheritance also helps in making the diagnosis.

TREATMENT. Psychotropic agents may be needed for the behavioral disorders.

MPS IV (Morquio's Syndrome, Types A and B)

Morquio's syndrome is an autosomal-recessive disorder. Type A is caused by the absence of galactosamine-6-sulfatase, and type B is caused by 8-galactosidase deficiency. Keratan and chondroitin sulfate are deposited. In type A, the activity of the enzyme neuraminidase was also found to be markedly decreased.

These patients are notably dwarfed and have distinctive skeletal changes by the first 10 years of life. The joints are loose and hyperextensible, the wrists are enlarged, and the hands are misshapen.176 The facies are characteristic, with broad mouth, prominent maxilla, short nose, and widely spaced teeth. No abnormalities are apparent at birth; however, during the second year of life, awkward gait, retarded growth, knock knees, sternal bulging, and flaring of the rib cage become evident. Hypoplasia of the odontoid process may lead to atlantoaxial dislocation and spinal cord compression later in the course of the disease. Death occurs late in childhood as a result of respiratory paralysis secondary to spinal cord compression and recurrent pneumonia. Intelligence is normal or only mildly impaired.176

OCULAR FINDINGS. Corneal clouding is usually not present before the age of 10, but is the most common ocular feature. Corneal epithelium and Bowman's membrane appear normal under the slit lamp, but a homogeneous cloudiness of the corneal stroma develops.184 No retinal dystrophy is seen.

DIAGNOSIS. Diagnosis is made on the basis of typical clinical features and excessive excretion of keratan sulfate and chondroitin sulfate in the urine. Assay for the specific enzyme is definitive for the diagnosis. Differential diagnoses include other causes of spondyloepiphyseal dysplasia.

MANAGEMENT AND PROGNOSIS. Orthopedic surgery is the main approach. Patients may survive to the sixth decade.52 Corneal transplantation may be necessary in adolescents with normal intelligence.

MPS VI (Maroteaux-Lamy Syndrome, Polydystrophic Dwarfism, Types A and B)

The deficient enzyme in Maroteaux-Lamy type A syndrome is arylsulfatase-B.185 Urinary excretion of heparan sulfate (85% of patients) and dermatan sulfate (15%) is present.176 Both severe and mild phenotypes have been described. Type A, the classic form, is more severe than type B, the allelic form. The extent of corneal clouding is the same in both, but skeletal dysplasia is less pronounced in the latter.

MPS VI is an autosomal-recessive syndrome characterized by clinical features similar to those of MPS I-H, including dwarfism. It is distinguished from the other mucopolysaccharidoses, except MPS IV, by retention of normal intelligence, at least until the later stages of the disorder. Growth retardation is first noted at age 2 or 3. Restriction of articular movement soon follows. Serious cardiac abnormality may develop, and hepatosplenomegaly is a feature. Hypoplasia of the odontoid process may cause spinal cord compression and spastic paraplegia. Patients with type A generally die in their teens as a result of hydrocephalus secondary to meningeal involvement.

OCULAR FINDINGS. Diffuse corneal opacification throughout the entire stroma is a feature.186 The opacities develop fairly early, and the cornea increases in thickness—especially peripherally, where the clouding is most dense.176 Papilledema 176 and optic atrophy have been reported.187 Abnormalities have been noted on the electroretinogram.

DIAGNOSIS. Assays for the specific enzymes are available. A conjunctival biopsy confirms the diagnosis.

PROGNOSIS. Hydrocephalus and cardiac failure lead to death.

MPS VII (Sly Syndrome, β-Glucouronidase Deficiency)

This latest addition to the MPS group is caused by β-glucuronidase deficiency, an enzyme encoded on chromosome 7.188 In this autosomal-recessive disorder there may be two allelic forms leading to two clinical phenotypes, one being more severe.176,189

The severe form shows rapid progression to extensive mental, motor, and growth retardation; hepatosplenomegaly; massive ascites; inguinal hernias; thoracolumbar gibbus; corneal clouding; and skeletal radiographic changes similar to those of the mucopolysaccharidoses.

The milder phenotype is characterized by hepatosplenomegaly, skeletal abnormalities, and unusual facies. Mental retardation is not present at birth, but mental and physical development slows with age.190

OCULAR FINDINGS. Corneal clouding is variable and usually mild. A mild pigmentary retinopathy develops later in life.

DIAGNOSIS. Excess chondroitin sulfate is excreted in the urine. Alder-Reilly phenomenon is present, with metachromatic granules in leukocytes; there is an absence of β-glucuronidase demonstrated in cultured fibroblasts.

Glycogen Storage Disease Type I (von Gierke's Disease)

Von Gierke's disease is an autosomal-recessive disorder that is caused by absence of the enzyme glucose-6-phosphatase in the liver, kidney, and intestinal mucosa. It is the only glycogenosis with corneal involvement. Delayed growth, feeding difficulties, massive hepatomegaly, hypoglycemia, and upper respiratory infections are noted in infancy. As development continues, the child has short stature and poor muscle tone. Chemical evaluation demonstrates a low fasting blood sugar, high blood lipids, high uric acid, and an increased platelet level.191 Xanthoma is evident in 10% of these patients.

OCULAR FINDINGS. Faint, brown, cloudy infiltration of the corneal periphery has been described.140 Yellowish discrete perimacular lesions also have been noted.192 Increased bilateral subcutaneous fat in the lower eyelids and inverted eyelashes have been described in three adult Japanese patients with Von Gierke's disease.193

DIAGNOSIS. The most reliable method of diagnosis is direct measurement of liver glucose-6-phosphatase activity in biopsy samples.

COMBINED DISORDERS OF MUCOPOLYSACCHARIDE AND GLYCOLIPID METABOLISM

Mucolipidoses

This group of disorders has phenotypic and biochemical features overlapping those of the mucopolysaccharidoses and of the sphingolipidoses.

Ultrastructurally, the affected cells show cytoplasmic vacuoles filled with fine fibrillogranular material (similar to systemic MPS), and many also contain membranous lamellar inclusions (similar to systemic lipidoses).

MUCOLIPIDOSIS I. Also known as dysmorphic sialidosis, this rare storage disease is characterized by a mild Hurler-like manifestation with moderate progressive mental retardation, skeletal changes of dysostosis multiplex, no excess mucopolysacchariduria, and peculiar inclusions in cultured fibroblasts.176,194–195 Peripheral neuropathy, tremor, and cerebellar signs may develop. There is increased sialic acid and a deficiency of the enzyme α-N-acetyl neuraminidase in cultured mucolipidosis I fibroblasts.196 Most cases have been sporadic; however, autosomal-recessive inheritance is the most likely mode.

Ocular Findings. Corneal clouding secondary to fine epithelial and anterior stromal opacities, cataracts, cherry-red spot in the macula,52 and optic atrophy with constriction of the visual fields are noted.

Diagnosis. The basis for diagnosis is microscopy. Fibroblasts and conjunctival biopsy show small, membrane-bound vacuoles containing fibrogranular and membranous lamellar bodies. Differential diagnoses must include the syndromes causing a cherry-red spot in the macula.

Management and Prognosis. No treatment is known and the prognosis is uncertain.

MUCOLIPIDOSIS II (I-CELL DISEASE). This severe, autosomal-recessive mucolipidosis is a Hurler-like disorder with severe radiologic features and striking fibroblast inclusions (thus “I-cell” for inclusion cell). Mucolipidosis II results from the absence of N-acetylglucosamine phosphotransferase, the enzyme that attaches a recognition phosphate group onto a mannose residue in hydrolases. This deficency results in abnormal enzymes not recognized and taken up by fibroblasts.197

Early in development, hernia, thoracic deformities, congenital dislocation of the hips, and hyperplastic gums become evident. Radiographic studies show bony changes of dysostosis multiplex that are more severe than those seen in MPS 1. Retarded psychomotor development and restricted joint mobility are features of this disease.176,198 Patients develop coarse facial features over time.

Ocular Findings. Early in the course of the disease, the corneas are clear. Late corneal clouding that correlates positively with survival occurs in 40% of cases, and glaucoma occurs in 6% of cases.198 There is no cherry-red spot. The disease may be apparent during ultrastructural observation of the conjunctiva.198–199

Diagnosis. Conjunctival biopsy confirms the presence of a storage disorder after the clinical diagnosis has been made at birth. Neuraminidase activity has been shown to be deficient in this disorder. In no other storage disorder that resembles the Hurler syndrome do the symptoms occur as early as in I-cell disease.52

Prognosis. Death occurs in the first few years of life.

MUCOLIPIDOSIS III (PSEUDO-HURLER POLYDYSTROPHY). This is a relatively mild, autosomal-recessive disorder caused by the same enzyme deficiency as in mucolipidoses I and II.200 These cases have many features of the Hurler syndrome but a much slower clinical evolution and no mucopolysacchariduria. The children usually present at approximately 3 years of age with joint stiffness, coarse facial features, and short stature. Skeletal and joint diseases progress slowly. The arms and hands are most markedly involved and carpal tunnel syndrome is common, with wasting of the thenar eminence. Aortic valve disease takes place in a majority of cases. The cornea shows a fine, ground-glass clouding (Fig. 23).176

Fig. 23. Mucolipidosis III. Fine flecklike stromal opacities. (Courtesy of Dr. Linn Murphree)

Ocular Findings. Corneal clouding and hyperopic astigmatism appear to be the constant ocular features. Visual acuity, however, remains unchanged. Epiretinal membranes, optic nerve edema, and retinal vascular tortuosity have been reported.201

Diagnosis. Excess intracellular storage of acid mucopolysaccharides and an excess of glycolipids are seen ultrastructurally in the conjunctival biopsy; these appear as fibrillogranular inclusion bodies and membranous lamellar vacuoles, respectively. Maroteaux-Lamy syndrome must be considered among the differential diagnoses.

Management and Prognosis. Correction of high hypermetropic refractive error is necessary. Progressive joint stiffness occurs.

MUCOLIPIDOSIS IV. This is a storage disease in which corneal clouding is an early sign,202 with no other evidence of systemic involvement until 1 year of age. At that time mild psychomotor retardation becomes evident and progresses, increasing in severity as the child develops.163,203 No other signs of storage disease are found.

The disorder is autosomal recessive and is probably caused by a deficiency of ganglioside neuraminidase.204 The cases described have been found in Ashkenazi Jews.

Ocular Findings. Diffuse, generalized corneal clouding, involving the epithelium more severely than the stroma, may be present at birth or within the first few months of life. In time, the corneal opacities may increase in density, causing poor fundus visualization.205 Epithelial edema has been noted.

The electroretinogram may be subnormal or extinguished.205–206 Retinal atrophy with a pale nerve may be seen.206 A progressive rod-cone impairment similar to tapetoretinal dystrophy has been suggested.207

Diagnosis. This disorder must be considered in a child who presents with corneal clouding during the first year of life. Conjunctival biopsy shows the intracellular inclusions characteristic of the mucolipidoses.208 Prenatal diagnosis is possible.203,209 Congenital glaucoma, congenital hereditary endothelial corneal dystrophy, Hurler's syndrome, and Scheie's syndrome should all be considered among the differential diagnoses.

Management. Removal of the corneal epithelium results in corneal clearing; however, the clouding recurs with re-epithelialization.205 Conjunctival transplantation with donor conjunctiva from an unaffected sibling may improve long-term corneal clarity.210

Gangliosidoses

GENERALIZED GANGLIOSIDOSIS (GM1, GANGLIOSIDOSIS I).

This autosomal-recessive syndrome is characterized by nystagmus, a cherry-red spot in the macula, hepatomegaly, and psychomotor retardation in an infant who fails to thrive. The clinical features resemble Hurler's syndrome and are present at birth. A prominent midface is caused by a protuberant maxilla. Other possible findings include telangiectatic skin lesions and heart disease.52 This syndrome is caused by the universal absence of all fractions of the enzyme α- galactosidase.211

There is an abnormal storage of two substances: a ganglioside that is stored in the brain and visceral organs, and a keratan sulfate-like mucopolysaccharide that accumulates in the abdominal organs.212–213

Ocular Findings. Nystagmus, decreased visual acuity, retinal hemorrhages, and optic atrophy may be noted. A cherry-red spot is present in at least 50% of patients.214 Mild, diffuse corneal clouding has been reported.215 Conjunctival vascular tortuosity may be a feature.216 GM1 gangliosides accumulate in the cytoplasm of corneal epithelium and keratocytes.215

Diagnosis. α-Galactosidase deficiency can be demonstrated in leukocytes.211 The urine has increased keratan sulfate levels. High levels of GM1 ganglioside are found in red blood cells, and foamy storage cells are present in the bone marrow.217

Differential Diagnoses. Hurler's syndrome has a later onset. Tay-Sachs and Niemann-Pick diseases do not include facial dysmorphism. The facial dysmorphism of I-cell disease is more severe.

Management and Prognosis. There is no therapy for ocular problems. This syndrome is fatal by the second year of life.

Back to Top
CORNEAL CHANGES IN CHROMOSOMAL ABNORMALITIES

TRISOMY 21 (DOWN SYNDROME)

Down syndrome is by far the most common of the autosomal trisomy diseases, with an incidence of 9.8% of 12,000 retarded children in one series—which is equivalent to approximately 1 affected child per 600 births.218 The incidence sharply increases to 1 affected child in 40 births when the maternal age is 45 years or older. More than 90% of children with Down syndrome show a characteristic 21 (G) trisomy induced by nondisjunction of this group; however, a small percentage has a translocation of the long arm of chromosome 21 (G).

The systemic findings include mental deficiency and varying skeletal anomalies, such as short limbs, broad hands, small nose, depressed nasal bridge, and flattened facial features. A transverse palmar crease and hypotonia are common features. Cardiac abnormalities are seen.

Ocular Findings

Major ocular abnormalities associated with trisomy 21 include narrowed, upward-slanted palpebral fissures of normal height (89%); light-colored irides (87%); Brushfield spots in lightly-colored irides (81%); blepharitis (46%); strabismus (43%); myopia of more than 5 diopters (27%); astigmatism of more than 3 diopters (25%); keratoconus (15%); and visually disabling cataracts (13%), although lenticular opacities have been reported in 60% to 80% of all patients.219 Rarely reported ocular findings include retinoblastoma, tapetoretinal degeneration, nasolacrimal duct obstruction, ectropion, and optic atrophy. Bilateral infantile glaucoma also may occur.220

Corneal edema in patients with Down syndrome may be caused by acute hydrops from keratoconus, infantile glaucoma, or both.218 The presence of corneal edema in a patient with Down syndrome, even in the presence of keratoconus, should alert the ophthalmologist to the possibility of undiagnosed glaucoma, and intraocular pressure should be measured.

TRISOMY 13 (PATAU'S SYNDROME, D1 TRISOMY)

Trisomy 13 is the chromosomal aberration most closely associated with severe intraocular abnormalities. The life span of affected individuals is seldom more than a few months, and more than 50% of these patients die within 1 month. Estimates as to the frequency of D1 trisomy vary from 1 in 4000 to 1 in 14,500 live births. Nondisjunction is thought to be the cause of the trisomy 13 syndrome. Systemic features include severe retardation, microcephaly, polydactyly, cleft lip, cleft palate, and changes in skin and genitalia.218

Ocular Findings

Bilateral ocular involvement is present in almost all cases of the full-blown D1 trisomy syndrome. Varying degrees of microphthalmia may be present. Eye findings are pathognomonic of this syndrome and include colobomas, persistent hyperplastic primary vitreous, intraocular cartilage, retinal dysplasia, cataracts, rudimentary differentiation of angle structures, optic nerve hypoplasia, and cyclopia. The corneal changes may range from nonspecific spotty opacities to scleralization of the cornea.

TURNER'S SYNDROME

Turner's syndrome is a chromosomal disorder in which phenotypic females have a missing or abnormal X chromosome. In a prospective study221 of 30 consecutive patients with Turner's syndrome, 23 had 45 XO and 7 had 45 XO/46XX kariotypes (mosaicism). The cardinal systemic features include short stature; a short, webbed neck; cubitus valgus; peripheral lymphedema; ovarian dysgenesis with primary amenorrhea; and infantile sexual development and sterility. Cardiovascular anomalies, hypertension, and urinary tract anomalies are also common. Severe mental retardation does not appear to be part of this syndrome.

Ocular Findings

Nonfamilial strabismus is the most prominent ocular abnormality and is present in 33% of patients. Other eye findings include ptosis (15%), hypertelorism (10%), epicanthus (10%), and antimongoloid slants (10%). Red-green color deficiency is found in 10% of patients. Corneal nebulae, corneal ulcers, microcornea, and keratitis also may be evident.222–223 Chronic lymphangiectasis of the conjunctiva may occur in association with Turner's syndrome.224

TRISOMY 18 (EDWARDS'S SYNDROME)

The probable cause of trisomy 18, the least frequent of the three autosomal trisomies, is thought to be nondisjunction during meiosis. Approximately three fourths of affected individuals are female, and the life span rarely exceeds a few months in severe cases; death usually occurs within the first year of life. Systemic features include mental deficiency, decreased growth rate, cardiac abnormalities, cryptorchidism, and inguinal or umbilical hernia. Musculoskeletal abnormalities are also seen.218

Ocular Findings

Corneal opacities and hyperplastic corneal endothelium have been noted. Atypical mitotic figures are present in the corneal endothelium.225 Bowman's membrane may be thickened. Conjunctival overgrowth of the limbus may occur with lamellar disorganization, fibrosis, and vascularization of the cornea. Other ocular findings include cataract, optic nerve hypoplasia, juxtapapillary coloboma, and retinal dysplasia.226

Back to Top
CORNEAL FINDINGS IN OTHER SYSTEMIC DISORDERS
Other generalized systemic diseases may have primary or secondary corneal changes. These are noted in Table 1 and discussed here.

COLLAGEN VASCULAR DISORDERS/AUTOIMMUNE DISEASES/CONNECTIVE TISSUE DISORDERS

Rheumatoid Arthritis

Ocular involvement in rheumatoid arthritis (RA) includes keratoconjunctivitis sicca, evident in 15% to 25% of patients,227 peripheral ulcerative keratitis, sclerosing keratitis, and scleritis, which occurs in as many as 6.3% of patients (Fig. 24). The marginal corneal ulceration may involve the entire circumference in the limbal area or may be in a localized zone, and is frequently accompanied by significant pain. It may be quiet and asymptomatic in other patients. It occurs with or without associated scleral or episcleral inflammation. In contrast, sclerosing keratitis is associated with severe scleral disease (Fig. 25) and may lead to perforation as a result of noninfected localized corneal ulceration. Keratoconjunctivitis sicca should always be ruled out and treated appropriately when corneal disease is associated with rheumatoid arthritis, because sterile corneal ulceration and melting may be associated with dry eyes.228–229

Fig. 24. Peripheral corneal melting in patient with rheumatoid arthritis.

Fig. 25. Rheumatoid arthritis. Severe necrotizing scleritis associated with superior corneal stromal keratitis.

The presence of scleritis should always be seen as a warning sign that the systemic disease is worsening, and that reevaluation of the treatment is mandatory. Fifty to 60% of patients with necrotizing scleritis die within five years if the proper immunosuppressive therapy is not initiated.230

Other arthritic syndromes associated with mild stromal opacities and melting of the cornea include Reiter's syndrome, relapsing polychondritis, and juvenile rheumatoid arthritis with associated intra-ocular inflammation and secondary band keratopathy. Central sterile corneal ulceration and melting has been reported days to weeks after otherwise unremarkable cataract surgery in rheumatoid arthritis patients with keratoconjunctivitis sicca. Prevention of epithelial damage at the time of surgery and prompt institution of therapy for dry eyes are important to prevent such a devastating complication. For therapy of dry eyes and peripheral corneal melting, see the following sections on keratitis sicca and marginal ulceration.

Lupus Erythematosus

Systemic lupus erythematosus (SLE) occurs in young patients and is characterized by skin eruptions, joint pains, and serologic abnormalities. Corneal involvement is rare in systemic and cutaneous lupus. Superficial punctate keratitis is the most common corneal manifestation of SLE; about 20% of patients present with it. Sicca syndrome is also common, especially with inadequately controlled systemic disease.231 Scleritis also may occur in SLE patients, and although it is present in only 1% of patients, its presence is an indication of the severity of the systemic vasculitis.232 Retinal infarcts resulting in cotton-wool spots and retinal hemorrhages may occur along with uveitis, episcleritis, and scleritis.233

Discoid lupus erythematosus involves skin changes, especially of the face and lid margins. Secondary irritation of the cornea may result in marginal infiltrates and pannus formation (Figs. 26 and 27).234 Superficial punctate keratitis also may occur in patients with discoid lupus erythematosus. Therapy for dry eyes is important when indicated. Systemic hydroxychloroquine therapy is the treatment of choice for significant systemic involvement and has been reported to improve the keratopathy.235

Fig. 26. Skin changes on face of a patient with systemic lupus erythematosus.

Fig. 27. Systemic lupus erythematosus. Marginal infiltrate is present.

Scleroderma

At least 70% of patients with progressive scleroderma have tear insufficiency, and many become symptomatic with clinical sicca syndrome.236 Progressive conjunctival fornix foreshortening is also common. Rarely, keratitis unrelated to keratoconjunctivitis sicca, telangiectasia, sludging of the conjunctival vessels, and extraocular muscle myositis are present. The skin exhibits a remarkable atrophy of the subcutaneous tissue, resulting in tendon contraction, perivasculitis, and Raynaud's syndrome.237

Polyarteritis Nodosa

Peripheral melting and ulceration of the cornea are not uncommon in this disease, which is a vasculitis of unconfirmed etiology but which is probably autoimmune in origin. Peripheral ulcerative keratitis is associated with ocular pain and inflammation. Friable conjunctival lesions with a waxy appearance may occur. The scleritis may be diffuse or nodular and is always painful. Both peripheral ulcerative keratitis and scleritis eventually progress with perforation of the eye and loss of visual function unless correct diagnosis is made and adequate systemic therapy is instituted promptly.

Choroidal vasculitis is the most common eye manifestation in periarteritis nodosa. Retinal vasculitis, optic atrophy, papilledema, exudative retinal detachment, and central retinal artery occlusion are also present. Similar changes have been noted in other forms of granulomatous vasculitis, including Wegener's granuloma, which also affects renal function as well as the respiratory tract.238 If local therapy for marginal ulceration fails (see next section), systemic prednisone and cyclophosphamide retards and may prevent progressive corneal destruction, besides markedly improving the 5-year survival rate of the disease.

Sjögren's Syndrome

The complex of Sjögren's syndrome includes keratoconjunctivitis sicca with associated classic rheumatoid arthritis or a variant thereof. Buccal mucosa and other mucous membranes may be involved, and patients have multiple complaints related to dry eyes. Antibodies to lacrimal glands have been found in some patients, and biopsy of the lacrimal gland reveals an inflammatory component.239 Peripheral corneal infiltration, in the form of whitish gray subepithelial infiltrate with a lucid interval, occurs in approximately 10% of patients.240 Peripheral corneal thinning and perforation also may occur.

Keratitis Sicca

Keratitis sicca may be associated with a number of conditions in this group of diseases. Aside from the loss of luster of the corneal and conjunctival surfaces on gross examination, patients with dry eyes have a reduced Schirmer test, with or without the use of anesthetic drops. The corneal tear film has a rapid breakup, and patients often develop a micropunctate keratopathy, with or without filamentary keratitis (Fig. 28). Symptoms are usually worse in the afternoon. There is a decrease in the aqueous element and lysozyme in the tears and possibly a ropy mucous discharge. An increased tear osmolality of about 343 mOsm/kg (normal = 302 mOsm/kg) has been detected,241 but whether tear hyperosmolality is a cause of the epithelial pathology or an incidental finding is unknown. Many other diseases have been associated with dry eyes, such as sarcoidosis, Mikulicz's syndrome, benign mucous membrane pemphigus (Fig. 29), dermatitis herpetiformis, Lyell's syndrome, Stevens-Johnson syndrome, trachoma, atopic conjunctivitis, and chemical and radiation injuries (Fig. 30).

Fig. 28. Keratitis sicci. Rose bengal staining.

Fig. 29. Benign mucous membrane pemphigoid. Early cicatrization and loss of inferior cul-de-sac with associated dry eye.

Fig. 30. Stevens-Johnson syndrome. Keratinized and vascularized cornea complicates this disease.

Dry eye is discussed in detail in another section (see index).

Management of dry eyes consists of providing supplementary tears in mild cases and mucolytic agents (e.g., acetylcysteine [Mucomyst]) if ropy discharge is a problem. Filaments should be removed when they occur. When artificial tears are needed for symptom relief more than five times a day, a preservative-free solution should be used because preservatives are toxic to the epithelium,242 and an ointment tear preparation should be added. Lubricating ointments may be needed more frequently during the daytime than at nighttime to alleviate symptoms, but blurriness of vision becomes a problem. Patients should maximize the humidity of the environment, using humidifiers or a side panel and moisture inserts on their glasses.243 Irreversible punctal occlusion by electrocautery should be performed on any patient who has consecutive Schirmer test values of less than 2 mm and who is symptomatic. In borderline dry-eye patients, punctal occlusion can be achieved by using silicone plugs, which can be removed if epiphora results. Collagen shields are used as a trial before permanent occlusion with cautery is performed. Topical cyclosporin A has shown symptomatic benefits. 244

Marginal Ulceration/Melting

Marginal corneal ulceration or melting also occurs in a number of conditions in the autoimmune or vasculitis category of systemic diseases. The exact pathogenesis of the lesions is unclear at the present time but may involve local ischemia or collagenase production.

Keratoconjunctivitis sicca should always be ruled out because sterile corneal ulceration may be associated with dry eyes. Adequate lubrication with preservative-free tear and ointment supplements is important. Acetylcysteine (Mucomyst 20%), used 4 to 6 times daily, is a mucolytic that decreases disulfide links of mucoproteins that may be beneficial in some cases. Topical high-dose corticosteroid may relieve associated scleritis and prevent progression of ulcerative keratitis. Later in the disease process, medroxyprogesterone acetate 1% (Provera) may be used as a topical antiinflammatory agent that does not inhibit collagen synthesis. If melting is progressive, a hydrophilic bandage contact lens may be helpful in promoting epithelial resurfacing; in thin corneas with impending perforation, a tissue adhesive may be applied. If this treatment is ineffective, a 3- to 5-mm resection of the conjunctiva adjacent to the furrow itself may be performed. Systemic immunosuppression is the definitive therapy.

Marfan's Syndrome

This disorder of connective tissue is described elsewhere in these volumes (see index). It has been shown that the corneas of patients with Marfan's syndrome are flat. The mean corneal astigmatism measures more than 2 diopters, compared with 0.6 to 0.8 diopters in a normal US population. Therefore, in patients with Marfan's syndrome, it is helpful to obtain routine keratometer readings prior to refraction.245 Megalocornea is another corneal abnormality found in patients with Marfan's syndrome.

ENDOCRINE SYSTEM DISORDERS

Diabetes Mellitus

Corneal opacities, dry eyes, and changes in Descemet's membrane rarely have been observed in diabetes.246 It has become apparent that diabetics have a problem related to epithelial adherence to Bowman's membrane. Significant recurrent corneal erosions have been reported after intraocular surgery, and specifically vitrectomy, on such patients.247 In the nondiabetic cornea, corneal epithelial scraping results in rupture of the basal cells with maintenance of the basement membrane attachment to Bowman's layer. In the diabetic cornea, however, the entire epithelium separates as an intact sheet with the entire basement membrane remaining adherent to the basal cells (Fig. 31). Use of prolonged semipressure patching and bandage soft contact lenses is recommended in the event that such corneal changes occur after intraocular surgery.

Fig. 31. Diabetic corneal erosion. Top left, Epithelial defect in a diabetic patient after vitrectomy. Top right, Phase-contrast photomicrograph demonstrating intact epithelial sheet removed during vitreoretinal surgery because of loose adherence. (Paraphenylenediamine, × 400.) Bottom, Electron micrograph of basal cell surface from epithelial scraping showing intact basement membrane attached to epithelial cells. (× 25,000.) (Courtesy of Dr. Kenneth Kenyon)

Thyroid Disorders

In hyperthyroidism, common eye findings include widening of the palpebral fissure, lid lag on downward gaze, and infrequent blink. About 20% of patients develop proptosis (Fig. 32). If eyelid retraction and proptosis are severe enough, exposure of the cornea may result, with consequent drying of the epithelium, erosion, and possible infection. The earliest change is punctate staining of the inferior conjunctiva and cornea secondary to nocturnal lagophthalmos.248 If untreated, this corneal exposure may progress to persistent epithelial defects and stromal ulceration.248 Other eye manifestations include motility disorders and optic nerve compression of varying severity.

Fig. 32. Exophthalmos in Graves's disease may cause exposure keratitis.

Management depends on the degree of exposure, and therapy should be directed toward relieving this condition. Tarsorrhaphy may be indicated in severe cases. If optic nerve changes are present, decompression of the orbit may be necessary. High doses of oral corticosteroids have been helpful in reducing orbital edema and proptosis and relieving the exposure keratitis associated with this disorder.

Parathyroid Disorders

Band keratopathy may be a presenting sign in hyperparathyroidism.249 The ocular changes occur symmetrically in both eyes. In the conjunctiva, calcium deposition, described as white flecks or grasslike crystals, is seen primarily near the limbus, running concentrically with the corneal margin. The corneal changes consist of a diffuse, superficial, milky opacity, running in a band along the palpebral fissure.250 Red, irritable eyes may be among the presenting symptoms. Recent reports have shown that calcium salts are deposited intracellularly in patients with hyperparathyroidism, in contrast to the extracellular deposition in patients with renal failure and band keratopathy in patients without elevated blood calcium251,252 (Fig. 33).

Fig. 33. Band keratopathy.

The conjunctiva, cornea, and sclera are the usual sites of sharply localized ocular calcification. In the cornea, the preferred site appears to be Bowman's membrane and the superficial stroma. Other systemic diseases related to ocular calcification are hypervitaminosis D, sarcoidosis, renal disease, Still's disease, and hypophosphatemia.232 Gentle scraping of calcium deposits after application of a 1.5% solution of neutral disodium EDTA (0.05 mol) is effective; it should be followed by the application of a bandage soft contact lens, cycloplegics, and antibiotics until epithelialization is complete. Excimer laser phototherapeutic keratectomy is successful in the treatment of band keratopathy.253 Its effectiveness may be related to the complete removal of Bowman's membrane during the ablation. Pannus formation with superficial corneal infiltration has been reported in patients with hypoparathyroidism.

Multiple Endocrine Neoplasia Type II

Multiple endocrine neoplasia (MEN) type II is divided in MEN IIA and MEN IIB. Both types are characterized by the same kinds of tumors, but type IIB also presents with neurofibromas.

Multiple endocrine tumors, including medullary thyroid carcinoma, parathyroid adenomas, and pheochromocytoma, are associated with this dominantly inherited syndrome.254–255 Some of these patients have a marfanoid habitus and may be misdiagnosed as having Marfan syndrome. Thickened corneal and ciliary nerves are the most prominent ocular findings and occur in all patients with MENIIB within the first decade. Thickened nerves have been reported in MEN IIA also.256 Other causes of thickened or more visible corneal nerves include keratoconus, leprosy, Fuchs's dystrophy, neurofibromatosis, and posterior polymorphous dystrophy. Thickened eyelid margins and conjunctiva from neurofibromas may produce chronic ocular irritation.257–258

Idiopathic Infantile Hypercalcemia

As in other diseases involving elevated plasma calcium, this syndrome is associated with band keratopathy. Patients have decreased alkaline phosphatase and azotemia;259 eye signs such as optic atrophy also may be present.260 The wide variety of systemic findings includes prominent ears, mental retardation, renal insufficiency, craniostenosis, cardiovascular disturbances, and short stature.

Hypophosphatasia

This inborn error of metabolism entails increased urinary excretion of phosphoethanolamine with associated low alkaline phosphatase and hypercalcemia. Hypophosphatasia patients have numerous eye signs, among which are band keratopathy, papilledema, optic atrophy, cataracts, and blue sclera.261

SKIN DISEASES

The corneal epithelium shares a common developmental bond with the skin in that both are derived embryologically from surface ectoderm. It is not rare for disorders of the skin to be associated with corneal changes. Changes in the lens (cataract) are also frequently associated with skin disorders, probably because the lens is derived from surface ectoderm as well. It would be impossible in the context of this chapter to describe all of the many skin problems that may be reflected in the cornea and conjunctiva. The more common disorders, however, are discussed.

Acne Rosacea

Telangiectatic changes in the vasculature of the cheeks, forehead, nose, and eyelid borders are characteristic of this disease.262 Conjunctivitis with meibomian gland dysfunction and hyperemia of the conjunctiva are common (Fig. 34).

Fig. 34. Acne rosacea. Telangiectatic changes of face with associated blepharoconjunctivitis and keratitis.

Patients complain of nonspecific symptoms, such as gritty sensation, tearing, and redness.

The corneal involvement in acne rosacea can lead to blindness. Superficial punctate keratitis is the most common manifestation, followed by marginal vascular infiltration of the lower two thirds of the cornea; this pannus may progress around the entire corneal circumference. Vascularized, subepithelial infiltrates also may occur. In severe cases, corneal scarring and vascularization may result in corneal leukoma. Keratitis sicca is frequently associated with ocular rosacea (in 25% of cases in a recent study) 263 and may be secondary to decreased tear production,263 meibomian gland dysfunction, or both.264 The use of oral tetracycline has dramatically improved the prognosis in patients with this disease. Attention to lid hygiene, massage to unplug stagnant meibomian ducts, and the use of antibiotic ointments to diminish bacterial overgrowth are also important.

Atopic Dermatitis

Patients with atopic disease frequently have a history of eczema in early life and exhibit skin changes, especially in the flexor surfaces of the extremities. The lids may be thickened and exhibit scaling of the margins and surrounding skin. Conjunctival hyperemia, scarring, and fornix shrinkage may occur, especially inferiorly. The corneal changes include punctate epithelial keratitis, pannus, ulceration, and scarring. Cellular immunity is diminished in these patients, who are prone to superinfection with Staphylococcus aureus and herpes simplex (Fig. 35). Cataracts, retinal detachment, and keratoconus are also associated complications.265 Topical antihistamines and vasoconstrictors may be beneficial in mild cases; disodium cromoglycate 4% also may be used 4 times a day. In resistant cases, topical steroids bring dramatic relief of symptoms. Long-term steroid therapy is contraindicated in these patients, who are already predisposed to infection because of depressed cellular immunity.

Fig. 35. Severe staphylococcal hypersensitivity and marginal ulcers may be associated with skin diseases such as atopic dermatitis.

Ichthyosis

This group of skin disorders is characterized by extremely dry skin and accumulation of desquamated cells. There are multiple forms, but the less rare are ichthyosis vulgaris, X-linked ichthyosis, congenital ichthyosiform erythroderma, epidermolytic hyperkeratosis, and lamellar ichthyosis.266

Scaly lesions of the skin with brittle nails, decreased sweating, and sparse hair characterize these disorders. Ectropion, blepharitis, and conjunctival hyperemia are frequent. Exposure keratopathy can occur related to the previously mentioned changes, but primary involvement of the cornea also can be present.267 Pre-Descemet's membrane opacities, punctate epithelial keratopathy, pannus, stromal neovascularization, and prominent corneal nerves have been reported. Ocular lubricants should be used as needed.

Psoriasis

Scaly skin lesions on the face, neck, and extremities typify psoriasis. The disease is associated with HLA CW6 and HLA DR7.268 Ocular manifestations are present in 10% of the patients269 and include cicatricial ectropion, blepharitis, and conjunctivitis. The cornea may have immune complex deposits at the limbus, peripheral vascularization and scarring, and peripheral ulceration. Treatment of psoriasis with long wavelength ultraviolet light and psoralen can lead to a superficial punctate keratitis.

Back to Top
REFERENCES

1. Elsas LJ, Longo N, Rosenberg L: Inherited disorders of amino acid metabolism and storage. In Fauci AS et al (eds): Harrison's Principles of Internal medicine, p 2201. 14th ed. New York: McGraw-Hill, 1997

2. La Du BN: Alcaptonuria. In Stanbury JB, Wyngaarden JB, Fredrickson DS (eds): The Metabolic Basis of Inherited Disease, p 268. 4th ed. New York: McGraw-Hill, 1978

3. Zannoni VG, Lomtevas N, Goldfinger S: Oxidation of homogentisic acid to ochronotic pigment in connective tissue. Biochim Biophys Acta 177:94, 1969

4. Daicker B, Riede UN: Histologische und ultrastrukturelle Befunde bei alkaptonurischer Ochronosis oculi. Ophthalmologica 169:377, 1974

5. Ashton N, Kirker JG, Lavery FS: Ocular findings in a case of hereditary ochronosis. Br J Ophthalmol 48:405, 1964

6. Wirtschafter JD: The eye in alkaptonuria. Birth Defects 12:279, 1976

7. Cogan DG, Kuwabara T: Focal senile translucency of the sclera. Arch Ophthalmol 62:604, 1959

8. Kampik A, Sam JN, Green WR: Ocular ochronosis. Clinicopathological, histochemical, and ultrastructural studies. Arch Ophthalmol 98:1441, 1980

9. Spencer WH: Inherited systemic metabolic diseases with corneal involvement. In Ophthalmic Pathology: An Atlas and Textbook, p 346. 3rd ed. Philadelphia: WB Saunders, 1985

10. Pradeep JK, Kehinde EO, Daar AS: Symptomatic response to ascorbic acid. Br J Urol 77:319, 1996

11. Buist NRM, Kennaway NG, Feliman JH: Disorders of tyrosine metabolism. In Nyhan WL (ed): Heritable Disorders of Amino Acid Metabolism, p 160. New York: John Wiley & Sons, 1974

12. Goldsmith LA, Reed J: Tyrosine-induced eye and skin lesions: A treatable genetic disease. JAMA 236:382, 1976

13. Rabinowitz LG, Williams LR, Anderson CE et al: Painful keratoderma and photophobia: Hallmarks of tyrosinemia type II. J Pediatr 126:266, 1995

14. Scriver CR, Partington M, Sass-Kortsak A (eds): Conference on hereditary tyrosinemia. Can Med Assoc J 97: 1045, 1967

15. Bienfang DC, Kuwabara T, Pueschel SM: The Richner-Hanhart syndrome: Report of a case with associated tyrosinemia. Arch Ophthalmol 94:1133, 1976

16. Burns RP: Soluble tyrosine aminotransferase deficiency: An unusual cause of corneal ulcers. Am J Ophthalmol 73:400, 1972

17. Heidemann DG, Dunn SP, Bawle EV et al: Early diagnosis of tyrosinemia type II. Am J Ophthalmol 107:559, 1989

18. Rich LF, Beard ME, Burns RP: Excess dietary tyrosine and corneal lesions. Exp Eye Res 17:87, 1973

19. Gipson IK, Burns RP, Wolfe-Lande JD: Crystals in corneal epithelial lesions of tyrosine-fed rats. Invest Ophthalmol 14:937, 1975

20. Bums RP, Gipson IK, Muffay MJ: Keratopathy in tyrosinemia. Birth Defects 12:169, 1976

21. Sammartino A, Cerbella R, Cecio A et al: The effect of diet on the ophthalmological, clinical and biochemical aspects of Richner-Hanhart syndrome: A morphological ultrastructural study of the cornea and the conjunctiva. Int Ophthalmol 10:203, 1987

22. Charlton KH, Binder PS, Wozniak L et al: Pseudodendritic keratitis and systemic tyrosinemia. Ophthalmology 88: 355, 1981

23. Billson FA, Danks D: Corneal and skin changes in tyrosinaemia. Br J Ophthalmol 60:600, 1976

24. Sayar RB, von Domarus D, Schdfer HJ et al: Clinical picture and problems of keratoplasty in Richner-Hanhart syndrome (tyrosinemia type II). Ophthalmologica 197:1, 1988

25. Schneider JA, Schulman JD: Cystinosis. In Stanbury JB, Wyngaarden JB, Fredrickson DS (eds): The Metabolic Basis of Inherited Disease, p 1844. 5th ed. New York: McGraw-Hill, 1983

26. Zimmeran TJ, Hood I, Gasset AR: “Adolescent” cystinosis: A case presentation and review of the recent literature. Arch Ophthalmol 92:265, 1974

27. Gahl WA et al: Lysosomal transport disorders: Cystinosis and sialic acid storage disorders. In Scriver CR et al (eds): The Metabolic and Molecular Bases of Inherited Disease, p 3763. 7th ed. New York: McGraw-Hill, 1995

28. Goldman H, Scriver CR, Aaron K et al: Adolescent cystinosis: Comparisons with infantile and adult forms. Pediatrics 47:979, 1971

29. Seegmiller JE, Friedmann T, Harrison HE et al: Cystinosis: Combined clinical staff conference at the National Institutes of Health. Ann Intern Med 68:883, 1968

30. Bickel H, Baar HS, Astley R et al: Cystine storage disease with aminoaciduria and dwarfism (Lignac-Fanconi disease). Acta Pediatr 42(Suppl):90, 1952

31. Cogan DG, Kuwabara T, Kinoshita J et al: Cystinosis in an adult. JAMA 164:394, 1957

32. Lietman PS, Frazier PD, Wong VG et al: Adult cystinosis: A benign disorder. Am J Med 40:511, 1966

33. Katz B, Melles RB, Schneider JA: Recurrent crystal deposition after keratoplasty in nephropathic cystinosis. Am J Ophthalmol 104:190, 1987

34. Wong VG: Ocular manifestations in cystinosis. Birth Defects 12:181, 1976

35. Melles RB, Schneider JA, Rao NA et al: Spatial and temporal sequence of corneal crystal deposition in nephropathic cystinosis. Am J Ophthalmol 104:598, 1987

36. Katz B, Melles RB, Schneider JA: Corneal sensitivity in nephropathic cystinosis. Am J Ophthalmol 104:413, 1987

37. Katz B, Melles RB, Schneider JA: Contrast sensitivity function in nephropathic cystinosis. Arch Ophthalmol 105: 1667, 1987

38. Wan WL, Minckler DS, Rao NA: Pupillary-block glaucoma associated with childhood cystinosis. Am J Ophthalmol 101:700, 1986

39. Sanderson PO, Kuwabara T, Stark WJ et al: Cystinosis: A clinical, histopathologic, and ultrastructural study. Arch Ophthalmol 91:270, 1974

40. Wong VG, Schulman JD, Seegmiller JE: Conjunctival biopsy for the biochemical diagnosis of cystinosis. Am J Ophthalmol 70:278, 1970

41. Aronson SB, Shaw R II: Corneal crystals in multiple myeloma. Arch Ophthalmol 61:541, 1959

42. Gahl WA, Tietze F, Butler J et al: Cysteamine depletes cystinotic leucocyte granular fractions of cystine by the mechanism of disulphide interchange. Biochem J 228: 545, 1985

43. Pisoni RL, Thoene JG, Christensen HN: Detection and characterization of carrier-mediated cationic amino acid transport in lysosomes of normal and cystinotic human fibroblasts. J Biol Chem 260:4791, 1985

44. Thoene J, Gahl W, Rizzo W et al: Cysteamine therapy of nephropathic cystinosis: Evidence for effectiveness. Pediatr Res 17(Suppl):220, 1983

45. Elsas LJ, Longo N, Rosenberg L: Inherited disorders of amino acid metabolism and storage. In Fauci AS et al (eds): Harrison's Principles of Internal Medicine, p 2002. 14th ed. New York: McGraw Hill, 1997

46. Kaiser-Kupfer MI, Caruso RC, Minckler DS et al: Longterm ocular manifestations in nephropathic cystinosis. Arch Ophthalmol 104:706, 1986

47. Kaiser-Kupfer MI, Fujikawa L, Kuwabara T et al: Removal of corneal crystals by topical cysteamine in nephropathic cystinosis. N Engl J Med 316:775, 1987

48. Blanksma LJ, Jansonius NM, Reitsma-Bierens WC: Cysteamine eyedrops in three patients with nephropathic cystinosis. Doc Ophthalmol 92: 51, 1996

49. Walshe JM: The eye in Wilson disease. Birth Defect 12: 187, 1976

50. Elsas LJ, Longo N, Rosenberg L: Inherited disorders of amino acid metabolism and storage. In Fauci AS et al (eds): Harrison's Principles of Internal Medicine, p 2167. 14th ed. New York: McGraw-Hill 1997

51. Sass-Kortsak A, Bearn AG: Hereditary disorders of copper metabolism: Wilson's disease (hepatolenticular degeneration) and Menkes' disease (kinky-hair or steely-hair syndrome). In Stanbury JB, Wyngaarden JB, Fredrickson DS (eds): The Metabolic Basis of Inherited Disease, p 1098. 4th ed. New York: McGraw-Hill, 1978

52. Murphree AL, Trabonisi El, Maumenee IH: The Eye in Genetic Disease. St. Louis: CV Mosby, (in press)

53. Ellis PP: Ocular deposition of copper in hypercupremia. Am J Ophthalmol 68:423, 1969

54. Cairns JE, Walshe JM: The Kayser-Fleischer ring. Trans Ophthalmol Soc UK 90:187, 1970

55. Susman W, Scheinberg IH: Disappearance of Kayser-Fleischer rings: Effects of penicillamine. Arch Ophthalmol 82:738, 1969

56. Fleming CR, Dickson ER, Wahner HW et al: Pigmented corneal rings in non-Wilsonian liver disease. Ann Intern Med 86:285, 1978

57. Lewis RA, Falls HF, Troyer DO: Ocular manifestations of hypercupremia associated with multiple myeloma. Arch Ophthalmol 93:1050, 1975

58. Martin NF, Kincaid MC, Stark WJ et al: Ocular copper deposition associated with pulmonary carcinoma, IgG monoclonal gammopathy and hypercupremia: A clinicopathologic correlation. Ophthalmology 90:110, 1983

59. Johnson RE, Campbell RJ: Wilson's disease. Electron microscopic, x-ray energy spectroscopic, and atomic absorption spectroscopic studies of corneal copper deposition and distribution. Lab Invest 46:564, 1982

60. Uzman LL, Jakus MA: The Kayser-Fleischer ring: A histochemical and electron microscope study. Neurology 7: 341, 1957

61. Esmaeli B, Burnstine MA, Martonyi CL et al: Regression of Kayser-Fleischner rings during oral zinc therapy: Correlation with systemic manifestations of Wilson's disease. Cornea 15:582, 1996

62. Schoenberger M, Ellis PP: Disappearance of Kayser-Fleischer rings after liver transplantation. Arch Ophthalmol 97:1914, 1979

63. Lowe CU, Terrey M, MacLachlan EA: Organic-aciduria, decreased renal ammonia production, hydrophthalmos, and mental retardation: A clinical entity. Am J Dis Child 83:164, 1952

64. Cibis GW, Waeltermann JM, Whitcraft CT et al: Lenticular opacities in carriers of Lowe's syndrome. Ophthalmology 93:1041, 1986

65. Abbassi V, Lowe CU, Calcagno PL: Oculo-cerebrorenal syndrome: A review. Am J Dis Child 115:145, 1968

66. Tripathi RC, Cibis GW, Tripathi BJ: Pathogenesis of cataracts in patients with Lowe's syndrome. Ophthalmology 93:1046, 1986

67. Xu W, Warder CA, Desnick RJ et al: Congenital erythropoetic porphyria: Identification and expression of 10 mutations in the uroporphyrinogen III synthase gene. J Clin Invest 95:905, 1995

68. Kappas A, Sassa S, Anderson KE: The porphyrias. In Stanbury JB, Wyngaarden JB, Fredrickson DS (eds): The Metabolic Basis of Inherited Disease, p 1325. 5th ed. New York: McGraw-Hill, 1983

69. Barns HD, Boshoff PH: Ocular lesions in patients with porphyria. Arch Ophthalmol 48:567, 1952

70. Sevel D, Burger D: Ocular involvement in cutaneous porphyria: A clinical and histological report. Arch Ophthalmol 85:580, 1971

71. Cotlier E: Biochemical detection of inborn errors of metabolism affecting the eye. Trans Am Acad Ophthalmol Otolaryngol 76:1165, 1972

72. Ueda S, Rao GN, LoCascio JA et al: Corneal and conjunctival changes in congenital erythropoietic porphyryia. Cornea 8:286, 1989

73. Freedman J: Scleral involvement in porphyria. Am J Ophthalmol 85:427, 1978

74. Ferry AP, Lieberman TW: Bilateral amyloidosis of the vitreous body: Report of a case without systemic or familial involvement. Arch Ophthalmol 94:982, 1976

75. Husby G et al: The 1990 guidelines for nomenclature and classification of amyloid and amyloidosis. In Natvig JB et al (eds): Amyloid and Amyloidosis, p 813. Dordrecht, Netherlands: Kluwer, 1990

76. Sipe JD, Cohen AS: Amyloidosis. In Fauci AS et al (eds): Harrison's Principles of Internal Medicine, p 1856. 14th ed. New York: McGraw-Hill, 1997

77. Brownstein MH, Elliott R, Helwig EB: Ophthalmologic aspects of amyloidosis. Am J Ophthalmol 69:423, 1970

78. Klintworth GK: Lattice corneal dystrophy: An inherited variety of amyloidosis restricted to the cornea. Am J Pathol 50:371, 1967

79. Kirk HQ, Rabb M, Hattenhauer J et al: Primary familial amyloidosis of the cornea. Trans Am Acad Ophthalmol Otolaryngol 77:411, 1973

80. Ramsey MS, Fine BS, Cohen SW: Localized corneal amyloidosis: Case report with electron microscopic observations. Am J Ophthalmol 73:560, 1972

81. Meretoja J: Familial systemic paramyloidosis with lattice dystrophy of the cornea, progressive cranial neuropathy, skin changes and various internal symptoms: A previously unrecognized heritable syndrome. Ann Clin Res 1:314, 1969

82. Schwartz MF, Green WR, Michels RG et al: An unusual case of ocular involvement in primary systemic nonfamilial amyloidosis. Ophthalmology 89:394, 1982

83. Moster ML, Savino PJ, Sergott RC et al: Isolated sixth-nerve palsies in younger adults. Arch Ophthalmol 102: 1328, 1984

84. Hayasaka S, Setogawa T, Ohmura M: Secondary localized amyloidosis of the cornea caused by trichiasis. Ophthalmologica 194:77, 1987

85. Folberg R, Alfonso E, Croxatto JO et al: Clinically atypical granular corneal dystrophy with pathologic features of lattice-like amyloid deposits. A study of three families. Ophthalmology 95:46, 1988

86. Stern GA, Knapp A, Hood CI: Corneal amyloidosis associated with keratoconus. Ophthalmology 95:52, 1988

87. Kyle RA, Gertz MA, Greipp PR et al: A trial of three regimens for primary amyloidosis: Colchicine alone, melphalan and prednisone, and melphalan, prednisone and colchicine. N Engl J Med 336:1202, 1997

88. Doft BH, Machemer R, Skinner M et al: Pars plana vitrectomy for vitreous amyloidosis. Ophthalmology 94:607, 1987

89. John ME, Martines E, Cvintal T et al: Excimer laser photoablation of primary familial amyloidosis of the cornea. Refract Corneal Surg 9(Suppl):138, 1993

90. Stark W, Chamon W, Kamp MT et al: Clinical follow-up of 193-nm ArF excimer laser photokeratectomy. Ophthalmology 99:805, 1992

91. Wyngaarden JB, Kelley WN: Gout. In Stanbury JB, Wyngaarden JB, Fredrickson DS (eds): The Metabolic Basis of Inherited Disease, p 1046. 5th ed. New York: McGraw-Hill, 1983

92. Kelley WN, Greene ML, Rosenbloom FM et al: Hypoxanthine-guanine phosphoribosyltransferase deficiency in gout. Ann Intern Med 70:155, 1969

93. McWilliams JR: Ocular findings in gout: Report of a case of conjunctival tophi. Am J Ophthalmol 35:1778, 1952

94. Ferry AP, Safir A, Melikian HE: Ocular abnormalities in patients with gout. Ann Ophthalmol 17:632, 1985

95. Slansky HH, Kuwabara T: Intranuclear urate crystals in corneal epithelium. Arch Ophthalmol 80:338, 1968

96. Fishman RS, Sunderman FW: Band keratopathy in gout. Arch Ophthalmol 75:367, 1966

97. Kelly WN, Fox IH: Gout and related disorders of purine metabolism. In Kelly WN et al (eds): Textbook of Rheumatology, p 1314. 3rd ed. Philadelphia: WB Saunders, 1993

98. Lerman S, Megaw J, Fraunfelder FT: Further studies on allopurinol therapy and human cataractogenesis. Am J Ophthalmol 97:205, 1984

99. Humphrey RL: Plasma cell dyscracias. In The Principles and Practice of Medicine, p 805. 23rd ed. Stamford, Conn: Appleton Lange, 1996

100. Rettig MB, Ma HJ, Vescio RA et al: Kaposi's sarcoma: Associated herpes virus infection of bone marrow dendritic cells from multiple myeloma patients. Science 276:1851, 1997

101. Baker TR, Spencer WH: Ocular findings in multiple myeloma: A report of two cases. Arch Ophthalmol 91:110, 1974

102. Rodman HI, Font RL: Orbital involvement in multiple myeloma: Review of the literature and report of three cases. Arch Ophthalmol 87:30, 1972

103. Bronstein M: Ocular involvement in multiple myeloma. Arch Ophthalmol 55:188, 1956

104. Ashton N: Ocular changes in multiple myelomatosis. Arch Ophthalmol 73:487, 1965

105. Sanders TE, Podos SM, Rosenbaum LJ: Intraocular manifestations of multiple myeloma. Arch Ophthalmol 77:789, 1967

106. Clarke E: Ophthalmological complications of multiple myelomatosis. Br J Ophthalmol 39:233, 1955

107. Franklin RM, Kenyon KR, Green WR et al: Epibulbar IgA plasmacytoma occurring in multiple myeloma. Arch Ophthalmol 100:451, 1982

108. Laibson PR, Damiano VV: X-ray and electron diffraction of ocular and bone marrow crystals in paraproteinemia. Science 165:581, 1969

109. Pinkerton RMH, Robertson DM: Corneal and conjunctival changes in dysproteinemia. Invest Ophthalmol Vis Sci 8:357, 1969

110. Klintworth GK, Bredehoeft SJ, Reed JW: Analysis of corneal crystalline deposits in multiple myeloma. Am J Ophthalmol 86:303, 1978

111. Knapp AJ, Gartner S, Henkind P: Multiple myeloma and its ocular manifestations. Surv Ophthalmol 31:343, 1987

112. Oglesby RB: Corneal opacities in a patient with cryoglobulinemia and reticulohistiocytosis. Arch Ophthalmol 65:63, 1961

113. Berenson JR, Lichtenstein A, Porter L et al: Efficacy of pamidronate in reducing skeletal events in patients with advanced multiple myeloma. N Engl J Med 334:488, 1996

114. Hosen H, Ringvold A, Kildahl-Andersen O: Corneal crystalline deposits in multiple myeloma: A case report. Acta Ophthalmol 61:493, 1983

115. Bron AJ: Dyslipoproteinemias and their ocular manifestations. Birth Defects 12:257, 1976

116. Fredrickson DS, Levy RI, Lees RS: Fat transport in lipoproteins: An integrated approach to mechanisms and disorders. N Engl J Med 276:34, 1967

117. Spaeth GL: Ocular manifestations of lipoprotein disease. J Contin Ed Ophthalmol 41:11, 1979

118. Ginsberg HN, Goldberg IJ: Disorders of lipoprotein metabolism. In Fauci AS et al (eds): Harrison's Principles of Internal Medicine, p 2138. 14th ed. New York: McGraw-Hill, 1997

119. Segal P, Insull W Jr, Chambless LE et al: The association of dyslipoproteinemia with corneal arcus and xanthelasma: The Lipid Research Clinics Program Prevalence Study. Circulation 73(Suppl): 108, 1986

120. Spaeth GL: Ocular manifestations of the lipidoses. In Tasman W (ed): Retinal Disease in Children, p 127. New York: Harper & Row, 1971

121. Rodger FC, Sinclair HM: Metabolic and Nutritional Eye Diseases, p 18. Springfield, IL: Charles C. Thomas, 1969

122. Cogan DG, Kuwabara T: Arcus senilis: Its pathology and histochemistry. Arch Ophthalmol 61:553, 1959

123. Andrews JS: The lipids of arcus senilis. Arch Ophthalmol 68:264, 1962

124. Forsius H: Arcus senilis corneae: Its clinical development and relationship to serum lipids, proteins and lipoproteins. Acta Ophthalmol (Suppl)42:78, 1954

125. Macaraeg PVJ Jr, Lasagna L, Snyder B: Arcus not so senilis. Ann Intern Med 68:345, 1968

126. Vinger PF, Sachs BA: Ocular manifestations of hyperlipoproteinemia. Am J Ophthalmol 70:563, 1970

127. Orlin C, Lee K, Jampol LM et al: Retinal arteriolar changes in patients with hyperlipidemias. Retina 8:6, 1988

128. Gordon BR, Kelsey SF, Bilheimer DW et al: Treatment of refractory familial hypercholesterolemia by low density protein apheresis using an automated dextran sulfate cellulose adsorption system: The Liposorber Study Group. Am J Cardiol 70:1010, 1992

129. Gjone E, Norum KR: Familial serum cholesterol ester deficiency: Clinical study of a patient with a new syndrome. Acta Med Scand 183:107, 1968

130. Horven I, Gjone E, Egge K: Ocular manifestations in familial LCAT deficiency. Birth Defects 12:271, 1976

131. Jacobsen CD, Gjone E, Hovig T: Sea-blue histiocytes in familial lecithin:cholesterol acyltransferase deficiency. Scand J Haematol 9:106, 1972

132. Teisberg P, Gjone E, Olaisen B: Genetics of LCAT (lecithin:cholesterol acyltransferase) deficiency. Ann Hum Genet 38:327, 1975

133. Chevet D, Ramee MP, Le Pogamp P et al: Hereditary lecithin cholesterol acyltransferase deficiency: Report of a new family with two afflicted sisters. Nephron 20:212, 1978

134. Iwamoto A, Naito C, Teramoto T et al: Familial lecithin:cholesterol acyltransferase deficiency complicated with unconjugated hyperbilirubinemia and peripheral neuropathy: The first reported cases in the Far East. Acta Med Scand 204:219, 1978

135. Weidle EG, Lisch WWW: Recognizing familial lecithin cholesterol acyltransferase deficiency at the slit lamp. Arch Ophthalmol 106:1164, 1988

136. Vrabec MP, Shapiro MB, Koller E et al: Ophthalmic observations in lecithin cholesterol acyltransferase deficiency. Arch Ophthalmol 106:225, 1988

137. Herbert PN, Gotto AM, Fredrickson DS: Familial lipoprotein deficiency (abetalipoproteinemia, hypobetalipoproteinemia, and Tangier disease). In Stanbury JB, Wyngaarden JB, Fredrickson DS (eds): The Metabolic Basis of Inherited Disease, p 544. 4th ed. New York: McGraw-Hill, 1978

138. Lisch W, Weidle EG, Lisch C et al: Schnyder's dystrophy: Progression and metabolism. Ophthalmic Paediatr Genet 7:45, 1986

139. Ingraham HJ, Perry HD, Donnenfeld ED et al: Progressive Schnyder's corneal dystrophy. Ophthalmology 100:1824, 1993

140. Bron AJ, Tripathi RC: Corneal disorders. In Goldberg MF (ed): Genetic and Metabolic Eye Disease, p 295. Boston: Little, Brown & Co, 1974

141. Freddo TF, Polack FM, Leibowitz HM: Ultrastructural changes in the posterior layers of the cornea in Schnyder's crystalline dystrophy. Cornea 8:170, 1989

142. Weiss JS: Schnyder's dystrophy of the cornea. A Swede-Finn connection. Cornea 1:93, 1992

143. Rodrigues MM, Kruth HS, Krachmer JH et al: Unesterifled cholesterol in Schnyder's corneal crystalline dystrophy. Am J Ophthalmol 104:157, 1987

144. Delleman JW, Winkelman JE: Degeneratio comeae cristalinea hereditaria. A clinical, genetical and histological study. Ophthalmologica 155:409, 1968

145. McKusick VA: Mendelian Inheritance in Man: A Catalog of Human Genes and Genetic Disorders, a, p 1964; b, p 2014; c, p 1836. 11th ed. Baltimore: Johns Hopkins Univ Press, 1994

146. Warburg M: Diagnosis of Metabolic Eye Diseases, p 16. Copenhagen: Muksgaard, 1972

147. Blodi FC, Whinery RD, Hendricks CA: Lipid-proteinosis (Urbach-Wiethe) involving the lids. Trans Am Ophthalmol Soc 58:155, 1960

148. Johnson LN, Hepler RS: Corectopia and lipoid proteinosis. Br J Ophthalmol 73:394, 1989

149. Newton FH, Rosenberg RN, Lampert PW et al: Neurologic involvement in Urbach-Wiethe's disease (lipoid proteinosis): A clinical ultrastructural, and chemical study. Neurology 21:1205, 1971

150. Aziz MT, Mandour MA, El-Ghazzawi IF et al: Urbach Wiethe disease in ORL practice (clinical and histochemical study of the laryngeal lesions). J Laryngol Otol 94:1309, 1980

151. Baum JL: Cholesterol keratopathy. Am J Ophthalmol 67: 372, 1969

152. Marsh RV: Argon laser treatment of lipid keratopathy. Br J Ophthalmol 72:900, 1988

153. Marsh RJ: Lasering of lipid keratopathy. Trans Ophthalmol Soc UK 102:154, 1982

154. Nirankari VS, Baer JC: Treatment of corneal stromal vascularization with corneal argon laser photocoagulation (CALP). Cavanagh HO (ed): The Cornea: Transactions of the World Congress on the Cornea III, p 345. New York: Raven Press, 1988

155. Desnick RJ, Klionsky B, Sweeley CC: Fabry's disease (alpha-galactosidase A deficiency). In Stanbury JB, Wyngaarden JB, Fredrickson DS (eds): The Metabolic Basis of Inherited Disease, p 810. 4th ed. New York: McGraw-Hill, 1978

156. McGovern MM: Lysosomal storage diseases. In Fauci AS et al (eds): Harrison's Principles of Internal Medicine, p 2169. 14th ed. New York: McGraw-Hill, 1997

157. Johnson DL, Desnick RJ: Molecular pathology of Fabry's disease: Physical and kinetic properties of alpha-galactosidase A in cultured human endothelial cells. Biochim Biophys Acta 538:195, 1978

158. Brady RO: Ophthalmalogic aspects of lipid storage diseases. Ophthalmology 85:1007, 1978

159. Sher NA, Letson RD, Desnick RJ: The ocular manifestations in Fabry's disease. Arch Ophthalmol 97:671, 1979

160. Franceschetti AT: Fabry disease: Ocular manifestations. Birth Defects 12:195, 1976

161. Spaeth GL, Frost P: Fabry's disease: Its ocular manifestations. Arch Ophthalmol 74:760, 1965

162. Del Monte MA, Johnson DL, Cotlier E et al: Diagnosis of inherited enzymatic deficiencies with tears: Fabry disease. Birth Defects 12:209, 1976

163. Berman ER: Diagnosis of metabolic eye disease by chemical analysis of serum, leukocytes and skin fibroblast tissue culture. Birth Defects 12:15, 1976

164. Bron AJ: Vortex patterns of the corneal epithelium. Trans Ophthalmol Soc UK 93:455, 1973

165. Riegel EM, Pokorny KS, Friedman AH et al: Ocular pathology of Fabry's disease in hemizygous male following renal transplantation. Surv Ophthalmol 26:247, 1982

166. Philippart M, Franklin SS, Gordon A: Reversal of an inborn sphingolipidosis (Fabry's disease) by kidney transplantation. Ann Intern Med 77:195, 1972

167. Brady RO, Tallman JF, Johnson WG et al: Replacement therapy for inherited enzyme deficiency: Use of purified ceramidetrihexosidase in Fabry's disease. N Engl J Med 289:9, 1973

168. Brady RO, Kanfer JN, Bradley RM et al: Demonstration of a deficiency of glucocerebroside-cleaving enzyme in Gaucher's disease. J Clin Invest 45:1112, 1966

169. East T, Savin LH: A case of Gaucher's disease with biopsy of the typical pingueculae. Br J Ophthalmol 24:611, 1940

170. Carbone AO, Petrozzi CF: Gaucher's disease: Case report with stress on eye findings. Henry Ford Hosp Med J 16: 55, 1968

171. Sanders MD, Lake BD: Ocular movements in lipid storage disease: Reports of juvenile Gaucher disease and the ophthalmoplegic lipidosis. Birth Defects 12:535, 1976

172. Hoogerbrugge PM, Brouwer OF, Bordigoni P et al: Allogenic bone marrow transplantation for lysosomal storage diseases. The European Group for Bone Marrow Transplantation. Lancet 345:1398, 1995

173. Kenyon KR, Quigley HA, Hussels IH et al: The systemic mucopolysaccharidoses. Ultrastructural and histochemical studies of conjunctiva and skin. Am J Ophthalmol 73: 811, 1972

174. Van Hoof F, Libert J, Aubert-Tulkens G et al: The assay of lacrymal enzymes and the ultrastructural analysis of conjunctival biopsies: New techniques for the study of inborn lysosomal diseases. Metab Ophthalmol 1:165, 1977

175. Bach G, Friedman R, Weissman B et al: The defect in the Hurler and Scheie syndromes: Deficiency of alpha-Liduronidase. Proc Natl Acad Sci USA 69:2048, 1972

176. Whitley CB: The Mucopolysaccaharidoses. In Beighton P (ed): McKusick's Heritable Disorders of Connective Tissue, p 378. St Louis: CV Mosby, 1993

177. Rosen DA, Haust MD, Yamashita T et al: Keratoplasty and electron microscopy of the cornea in systemic mucopolysaccharidosis (Hurler's disease). Can J Ophthalmol 3: 218, 1968

178. Fairbairn LJ, Lashford LS, Spooncer E et al: Towards gene therapy of Hurler Syndrome. Cas Lek Cesk 136:27, 1997

179. Scheie HG, Hambrick GW Jr, Barnes LA: A newly recognized forme fruste of Hurler's disease (gargoylism): The Sanford R. Gifford Lecture. Am J Ophthalmol 53:753, 1952

180. Wiesmann U, Neufeld CF: Scheie and Hurler syndromes: Apparent identity of the biochemical defect. Science 169:72, 1970

181. Kenyon KR: Ocular manifestations and pathology of systemic mucopolysaccharidoses. Birth Defects 12:133, 1976

182. Danks DM, Campbell PE, Cartwright E et al: The Sanfilippo syndrome: Clinical biochemical, radiological, haematological and pathological features of nine cases. Aust Paediatr J 8:174, 1972

183. Sanfilippo SJ, Podosin R, Langer L et al: Mental retardation associated with acid mucopolysacchariduria (heparitin sulfate type). J Pediatr 63:837, 1963

184. Von Noorden GK, Zellweger H, Ponseti IV: Ocular findings in Morquio-Ulrich's disease: With report of two cases. Arch Ophthalmol 64:585, 1960

185. O'Brien JF, Cantz M, Spranger J: Maroteaux-Lamy disease (mucopolysaccharidosis VI), subtype A: Deficiency of an N-acetylgalactosamine-4-sulfatase. Biochem Biophys Res Commun 60:1170, 1974

186. Kenyon KR, Topping TM, Green WR et al: Ocular pathology of the Maroteaux-Lamy syndrome (systemic mucopolysaccharidosis type VI): Histiologic and ultrastructural report of two cases. Am J Ophthalmol 73:718, 1972

187. Goldberg MF, Scott Cl, McKusick VA: Hydrocephalus and papilledema in the Maroteaux-Lamy syndrome (mucopolysaccharidosis type VI). Am J Ophthalmol 69:969, 1970

188. Frangieh GT, Traboulsi EI, Kenyon KR: Mucopolysaccharidoses. In Gold DH, Weingeist TA (eds): The Eye in Systemic Disease, p 372. Philadelphia: JB Lippincott, 1990

189. Beaudent AL, DiFerrante NM, Ferry GD et al: Variation in the phenotypic expression of beta-glucuronidase deficiency. J Pediatr 86:388, 1975

190. Sly WS, Quinton BA, McAlister WH et al: Beta-glucuronidase deficiency: Report of clinical, radiologic and biochemical features of a new mucopolysaccharidosis. J Pediatr 82:249, 1973

191. Howell RR: The glycogen storage diseases. In Stanbury JB, Wyngaarden JB, Fredrickson DS (eds): The Metabolic Basis of Inherited Disease, p 137. 4th ed. New York: McGraw-Hill, 1978

192. Fine RN, Wilson WA, Donnell GN: Retinal changes in glycogen storage disease type I. Am J Dis Child 115:328, 1968

193. Hayasaka S, Noda S, Fujii M et al: Inverted eyelashes in patients with type la glycogen storage disease. Graefes Arch Clin Exp Ophthalmol 227:209, 1989

194. Kelly TE: The mucopolysaccharidoses and mucolipidoses. Clin Orthop 114:116, 1976

195. Spranger J: Mucolipidosis I. Birth Defects 11:279, 1975

196. Cantz M, Gehler J, Spranger J: Mucolipidosis I. Increased sialic acid content and deficiency of an alpha-N-acetylneuraminidase in cultured fibroblasts. Biochem Biophys Res Commun 74:732, 1977

197. Hickman S, Neufeld EF: A hypothesis for I-cell disease: Defective hydrolases that do not enter lysosomes. Biochem Biophys Res Commun 49:992, 1972

198. Libert J, Van Hoof F, Farriaux JP et al: Ocular findings in I-cell disease (mucolipidosis type II). Am J Ophthalmol 83:617, 1977

199. Kenyon KR, Sensenbrenner JA: Mucolipidosis II (I-cell disease): Ultrastructural observations of conjunctiva and skin. Invest Ophthalmol Vis Sci 10:555, 1971

200. Varki AP, Reitman ML, Kornfeld S: Identification of a variant of mucolipidosis III (pseudo Hurler polydystrophy): A catalytically active N-acetylglucosaminylphosphotransferase that fails to phosphorylate lysosomal enzymes. Proc Natl Acad Sci USA 78:7773, 1981

201. Traboulsi EI, Maumenee IH: Ophthalmologic findings in mucolipidosis III (pseudo-Hurler polydystrophy). Am J Ophthalmol 102:592, 1986

202. Merin S, Nemit P, Livni N et al: The cornea in mucolipidosis IV. J Pediatr Ophthalmol 13:289, 1976

203. Berman ER, Livni N, Shapira E et al: Congenital corneal clouding with abnormal systemic storage bodies: A new variant of mucolipidosis. J Pediatr 84:519, 1974

204. Merin S, Livni N, Berman ER et al: Mucolipidosis IV: Ocular, systemic, and ultrastructural findings. Invest Ophthalmol Vis Sci 14:437, 1975

205. Ben-Yoseph Y, Momoi T, Hahn LC et al: Catalytically defective ganglioside neuraminidase in mucolipidosis IV. Clin Genet 21:374, 1982

206. Newell FW, Matalon R, Meyer S: A new mucolipidosis with psychomotor retardation, corneal clouding and retinal degeneration. Am J Ophthalmol 80:440, 1975

207. Abraham FA, Brand N, Blumenthal M et al: Retinal function in mucolipidosis IV. Ophthalmologica 191:210, 1985

208. Livni N, Merin S: Mucolipidosis IV: Ultrastructural diagnosis of a recently defined genetic disorder. Arch Pathol Lab Med 102:600, 1978

209. Kenyon KR, Maumenee IH, Green WR et al: Mucolipidosis IV: Histopathology of conjunctiva, cornea, and skin. Arch Ophthalmol 97:1106, 1979

210. Dangel ME, Bremer DL, Rogers GL: Treatment of corneal opacification in mucolipidosis IV with conjunctival transplantation. Am J Ophthalmol 99:137, 1985

211. Thomas GH: Beta-D-galactosidase in human urine: Deficiency in generalized gangliosidosis. J Lab Clin Med 74:725, 1969

212. O'Brien JS, Stem MB, Landing BH et al: Generalized gangliosidosis: Another inborn error of ganglioside metabolism? Am J Dis Child 109:338, 1965

213. Scott CR, Lagunoff D, Trump BF: Familial neurovisceral lipidosis. J Pediatr 71:357, 1967

214. O'Brien JS: Ganglioside storage diseases. Adv Hum Genet 3:39, 1972

215. Emery JM, Green WR, Wyllie RG et al: GM1-gangliosidosis: Ocular and pathological manifestations. Arch Ophthalmol 85:177, 1971

216. Boniuk V, Ghosh M, Galin MA: Conjunctival eye signs in GM1 type I gangliosidosis. Birth Defects 12:543, 1976

217. Weiss MJ, Krill AE, Dawson G et al: GM1 gangliosidosis type I. Am J Ophthalmol 76:999, 1973

218. Gieser SC, Carey JC, Apple DJ: Human chromosomal disorders and the eye. In Renie WA (ed): Goldberg's Genetic and Metabolic Eye Disease, p 212. Boston: Little Brown, 1986

219. Shapiro MB, France TD: The ocular features of Down's syndrome. Am J Ophthalmol 99:659, 1985

220. Traboulsi EI, Levine E, Mets MB et al: Infantile glaucoma in Down's syndrome (trisomy 21). Am J Ophthalmol 105: 389, 1988

221. Chrousos GA, Ross JL, Chrousos G et al: Ocular findings in Turner's syndrome: A prospective study. Ophthalmology 91:926, 1984

222. Gieser SC, Carey JC, Apple DJ: Human chromosomal disorders and the eye. In Renie WA (ed): Goldberg's Genetic and Metabolic Eye Disease, p 234. Boston: Little Brown, 1986

223. Lessell S, Forbes AP: Eye signs in Turner's syndrome. Arch Ophthalmol 76:211, 1966

224. Perry HD, Cossari AJ: Chronic lymphangiectasis in Turner's syndrome. Br J Ophthalmol 70:396, 1986

225. Ginsberg J, Perrin EV, Sueoka WT: Ocular manifestations of trisomy 18. Am J Ophthalmol 66:59, 1968

226. Péer J, Braun JRT: Ocular pathology in trisomy 18 (Edwards' syndrome). Ophthalmologica 192:176, 1986

227. Ericson S, Sundmark E : Studies on the sicca syndrome in patients with rheumatoid arthritis. Acta Rheumatol Scand 16:60, 1970

228. Hemady R, Chu W, Foster CS: Keratoconjunctivitis sicca and corneal ulcers. Cornea 9:170, 1990

229. Smith RE, Schanzlin DJ: Rheumatoid diseases. In Smolin G, Thoft RA (eds): The Cornea: Scientific Foundations and Clinical Practice, p 364. 3rd ed. Boston: Little Brown, 1994

230. Foster CS, Forstot SL, Wilson LA: Mortality rate in rheumatoid arthritis patients developing necrotizing scleritis or peripheral ulcerative keratitis. Ophthalmology 91:1253, 1984

231. Foster CS: Ocular manifestations of the nonrheumatic acquired collagen vascular diseases. In Smolin, Thoft (eds): The Cornea: Scientific Foundations and Clinical Practice, p 385. 3rd ed. Boston: Little Brown, 1994

232. Tuft SJ, Watson PG: Progression of scleral disease. Ophthalmology 98:467, 1991

233. Spaeth GL: Corneal staining in systemic lupus erythematosus. N Engl J Med 276:1168, 1967

234. Reeves JA: Keratopathy associated with systemic lupus erythematosus. Arch Ophthalmol 74:159, 1965

235. Foster CS: Ocular surface manifestations of neurological and systemic diseases. Int Ophthalmol Clin 19:207, 1979

236. Kirkham TH: Scleroderma and Sjögren's syndrome. Br J Ophthalmol 53:131, 1969

237. Coyle EF: Scleroderma of the cornea. Br J Ophthalmol 40:239, 1956

238. Sevel D: Necrogranulomatous keratitis associated with Wegener's granulomatosis and rheumatoid arthritis. Am J Ophthalmol 63:250, 1967

239. Jones BR: Lacrimal and salivary precipitating antibodies in Sj6gren's syndrome. Lancet 2:773, 1958

240. Tabbara KF: Sjögren's syndrome. In Smolin, Thoft (eds): The Cornea: Scientific Foundations and Clinical Practice, p 406. 2nd ed. Boston: Little Brown, 1987

241. Gilbard JP, Farris RL, Santamaria J II: Osmolarity of tear microvolumes in keratoconjunctivitis sicca. Arch Ophthalmol 96:667, 1978

242. Ichijima H, Petrol WM, Jester JV: Confocal microscopic studies of living rabitt cornea treated with benzalkonium chloride, Cornea 11:221, 1992

243. Tsubota K, Yamada M, Urayama K: Spectacle side panels and moist inserts for the treatment of dry-eye patients. Cornea 13:197, 1994

244. Laibovitz RA, Solch S, Andriano K et al: Pilot trial of cyclosporine 1% ophthalmic ointment in the treatment of keratoconjunctivitis sicca. Cornea 12:315, 1993

245. Maumenee IH: The cornea in connective tissue diseases. Ophthalmology 85:1014, 1978

246. Collier M: La pathologie cornéènne des diabétiques. Bull Soc Ophthalmol Fr 67:105, 1967

247. Foulks GN, Thoft RA, Perry HD et al: Factors related to corneal epithelial complications after closed vitrectomy in diabetics. Arch Ophthalmol 97:1076, 1979

248. Foster CS, Yee M: Corneoscleral manifestations of Graves' disease, the acquired connective tissue disorders, and systemic vasculitis. Int Ophthalmol Clin 23:131, 1983

249. Porter R, Crombie AL: Corneal calcification as a presenting and diagnostic sign in hyperparathyroidism. Br J Ophthalmol 57:665, 1973

250. Petrohelos M, Tricoulis D, Diamantacos P: Band keratopathy with bilateral deafness as a presenting sign of hyperparathyroidism. Br J Ophthalmol 61:494, 1977

251. Berkow JW, Fine BS, Zimmerman LE: Unusual ocular calcification in hyperparathyroidism. Am J Ophthalmol 66:812, 1968

252. Jensen OA: Ocular calcifications in primary hyperparathyroidism: Histochemical and ultrastructural study of a case: Comparison with ocular calcifications in idiopathic hypercalcemia of infancy and in renal failure. Acta Ophthalmol 53:173, 1975

253. O'Brart DP, Gartry DS, Lohman CP et al: Treatment of band keratopathy by excimer laser phototherapeutic keratectomy: Surgical techniques and long term follow up. Br J Ophthalmol 77:702, 1993

254. Schimke RN, Hartmann WH, Prout TE et al: Syndrome of bilateral pheochromocytoma, medullary thyroid carcinoma and multiple neuromas: A possible regulatory defect in the differentiation of chromaffin tissue. N Eng J Med 279:1, 1968

255. Braley AE: Medullated corneal nerves and plexiform neuroma associated with pheochromocytoma. Trans Am Ophthalmol Soc 52:189, 1954

256. Kinoshita S, Tanaka F, Ohashi Y et al: Incidence of prominent corneal nerves in multiple endocrine neoplasia Type IIA. Am J Ophthalmol 111:307, 1991

257. Gorlin RJ, Sedano HO, Vickers RA et al: Multiple mucosal neuromas, pheochromocytoma and medullary carcinoma of the thyroid: A syndrome. Cancer 22:293, 1968

258. Baum JL, Adler ME: Pheochromocytoma, medullary thyroid carcinoma, multiple mucosal neuroma: A variant of the syndrome. Arch Ophthalmol 87:574, 1972

259. Fraser D, Kidd BSL, Kooh SW et al: A new look at infantile hypercalcemia. Pediatr Clin North Am 13:503, 1966

260. Harley RD, DiGeorge AM, Mabry CC et al: Idiopathic hypercalcemia of infancy: Optic atrophy and other ocular changes. Trans Am Acad Ophthalmol Otolaryngol 69: 977, 1965

261. Brenner RL, Smith JL, Cleveland WW et al: Eye signs of hypophosphatasia. Arch Ophthalmol 81:614, 1969

262. Tolman EL: Acne and acneiform dermatoses. In Moschella SL et al (eds): Dermatology, p 58. Vol 2, 3rd ed. Philadelphia: WB Saunders, 1992

263. Akpek EK, Merchant A, Pinar V et al: Ocular rosacea: Patients' characteristics and follow-up. Ophthalmology 104:1863, 1997

264. Zengin N, Tol H, Gunduz K et al: Meibomian gland dysfunction and tear abnormalities in rosacea. Cornea 14: 144, 1995

265. Bietti G: Eye involvement in skin diseases. In Mausolf FA (ed): The Eye and Systemic Disease, p 353. St Louis: CV Mosby, 1975

266. Goldsmith LA: The ichthyosis. Prog Med Genet 1:185, 1976

267. Jay B, Blach RK, Wells RS: Ocular manifestations of ichthyosis. Br J Ophthalmol 52:217, 1968

268. Elder JT, Nair RP, Guo SW et al: The genetics of psoriasis. Arch Dermatol 130:216, 1994

269. Kaldek R: Ocular psoriasis. Arch Dermatol 68:44, 1953

Back to Top