| Chapter 15 Glaucoma Surgery GEORGE SPAETH , L. JAY KATZ , JONATHAN MYERS, LORENZO J. PECORA, and RONALD L. FELLMAN Table Of Contents |
|
SURGERY INDICATIONS AND PROCEDURE SELECTION SURGICAL TECHNIQUES POSTOPERATIVE CARE AND COMPLICATIONS REFERENCES |
| There are three different aspects of glaucoma surgery. All of them are
absolutely essential for the surgery to be successful. The first aspect
deals with the evaluating the person, deciding whether or not surgery
is necessary, and selecting the appropriate procedure. The second is
the technique used intraoperatively. The third deals with the postoperative
care. This chapter, then, has as its logical organization (1) a
discussion of the indications for surgery, (2) detailed descriptions
of surgical techniques, and (3) evaluation and treatment of complications. If surgery for glaucoma was 100% safe, it would be used in every patient. It was not infrequent many years ago to proceed with surgery as soon as a definite diagnosis of glaucoma had been made, because medicinal treatments for glaucoma were not readily available and not particularly effective. Surgery was also used often because the diagnosis of glaucoma was largely limited to those with advanced disease, the type of glaucoma that often results in blindness without a highly effective intervention. However, every glaucoma procedure has complications. These complications range from troublesome to fatal not just to the eye but to the patient. Consequently, surgery for glaucoma should only be undertaken with proper attention to the risk/benefit ratio. These are given for four different procedures in Table 1.
Table 1. Risks and Benefits in Glaucoma Surgery
*Likelihood of bleeding related to duration of glaucoma, level of preoperative intraocular pressure, systemic cardiovascular problems, anesthesia problems, and use of agents that affect blood coagulability such as aspirin and anticoagulants. †Development of cataract following glaucoma surgery is probably more related to complications of the surgery such as flat anterior chamber or hypotony than to the surgery itself. ‡Especially after the long-term use of miotics and in patients with the exfoliation syndrome. §Unless associated with a sucessful filtration procedure. #Though the destructive power is delivered internally, cyclocryotherapy and transscleral cyclophotocoagulation do not require opening the eye.
|
| SURGERY INDICATIONS AND PROCEDURE SELECTION | |||||||||||||||||||||||||||||||||||||||||||||||||||||||||||||||||||||||||||||||||||||||||||||||||||||||||||||||||||||||||||||||||||||||||||||||||||||||||||||||||||||||||||||||||||||||||||||||||||||||||||||||||||||||||||||||||||||||||||||||||||||||||||||||||||||||||||||||||||||||||||||||||||||||||||||||||||||||||||||||||||||||||||||||||||||||||||||||||||||||||||||||||||||||||||||||||||||||||||||||||||||||||||||||||||||||||||||||||||||||||||||||||||||||||||||||||||||||||||||||||||||||||||||||||||||||||||||||||||||||||||||||||||||||||||||||||||||||||||||||||||||||||||||||||||||||||||||||||||||||||||||||||||||||||||
EVALUATION OF THE PERSON Preoperative assessment of the patient with glaucoma is a time-consuming but important process (Table 2). The surgeon must be prepared to deal with the frequent intraoperative and postoperative complications that are a routine part of performing surgery in patients with glaucoma. Among the most important aspects of the preoperative preparation is a discussion with the patient that leads to a realistic understanding of the advantages and disadvantages of surgery and of the anticipated benefits and problems.
Preoperative assessment
The time spent in the operating room is a small fraction of the time spent in performing glaucoma surgery. For every hour the surgeon spends operating, 10 or 20 hours are spent in preoperative preparation and postoperative management. Even if surgical technique is perfect, if the preoperative preparation is inadequate or the postoperative management is inappropriate, the result often is unsatisfactory. This chapter emphasizes the importance of preoperative evaluation and postoperative management. This emphasis does not suggest that technique is not important. Every aspect of the 3- to 6-month period of the surgical episode, which includes time in the operating room, constitutes an essential building block in successful glaucoma surgery.1 This point is often overlooked by those not deeply experienced in the surgical care of patients with glaucoma. INDICATIONS FOR SURGERY Glaucoma comes in many forms and varieties. In this chapter, glaucoma means a condition in which the ocular tissues of the eye become damaged at least partially because of intraocular pressure (IOP) higher than the eye can tolerate. An essential part of this definition, then, is that the IOP plays a role in the development of the damage. The reader should note, however, that the word elevated is not included in this definition. The IOP of the healthy eye is actually high, that is, sufficiently elevated so that it has the potential for causing damage to tissues. Indeed, rather than wonder at the occurrence of glaucoma in people with average levels of IOP, it is more appropriate to wonder why it is that everybody does not develop glaucomatous optic nerve damage at a usual level of IOP. The structure of the eye is truly remarkable to allow it to carry a pressure of 15 mm Hg and have tender, minuscule fibers passing through flexible channels in the lamina cribrosa without those neurons becoming damaged routinely. Thus, glaucoma is ocular tissue damage at least partially resulting from IOP. In the acute glaucomas this damage occurs to the cornea, iris, and lens and, given a sufficient duration of time, to the retinal ganglion cells as well. In the chronic forms of glaucoma, damage usually is within the optic nerve itself, with secondary damage to the retinal ganglion cells or, in some cases, primarily in the ganglion cells themselves. The trabecular meshwork also becomes unhealthy by mechanisms that are at least partially unrelated to those responsible for the optic nerve damage. A schema of the pathogenesis of tissue damage in the glaucomas is shown in Figure 1. The pathway to tissue damage involves direct and indirect damage from the pressure within the eye, combined with a variety of traumas that directly or indirectly damage the tissues. The IOP is largely a result of how the trabecular meshwork is functioning. Reduction of IOP is at the heart of preventing damage or allowing damaged tissues to repair themselves. The modulation of other factors, such as vasospasm, anemia, excessively low blood pressure, and neurotoxins, is appropriate, but, to date, little evidence demonstrates actual benefit from such methods of treatment. The tissues of the eye can also be damaged by the treatments themselves. Patients with glaucoma lose vision or have a diminishment of their quality of life for at least four different reasons. First, patients can lose vision or develop pain because of the damage to the tissues that the glaucomatous process causes. Second, patients can be less healthy as a consequence of the treatments applied to prevent the glaucomatous process from causing damage. The importance of this in the well-being of patients is too often forgotten or ignored. One of the most critical aspects of caring for patients with glaucoma is to “fit the punishment to the crime,” so that the treatment does not cause more disability than the disease itself. This is discussed in detail later. Third, patients with glaucoma may become impaired because of the mandatory death of a certain number of retinal ganglion cells each year. The rate of this mandatory cell death has been suggested to be around 3000 to 5000 cells per year. This level may not be of consequence in a person with a full complement of around 1,250,000 ganglion cells. However, in a patient with advanced glaucomatous nerve damage, who may have only 50,000 ganglion cells left, a loss of 5000 cells per year would be associated with noticeable and devastating visual deterioration. However, it would be prudent to add a caveat: It is probably unwise to base therapy on the assumption that a patient with glaucoma is going to get worse because of mandatory loss of cells related to aging. First, it is not known whether this principle applies to all cells. It is possible that a proportion of retinal ganglion cells are preprogrammed to live longer than others; it is not rare to see patients with far-advanced glaucoma with a residual central island field (less than 5 degrees) to maintain that island of vision for 10 of 15 years. This seems contrary to the theory that, when 50,000 or so ganglion cells remain, eventual blindness is a certainty. Furthermore, because lowering IOP presumably will not affect the rate of preprogrammed cell death, it is not logical to perform surgery to try to prevent this cell death. Fourth, patients with glaucoma can lose vision or develop pain because they have an illness in addition to the glaucoma: a pituitary tumor, juxtapapillary chorioretinitis, macular degeneration, and so forth. Visual field loss mimicking glaucoma can be caused by a prominent nose, myopic peripapillary changes, congenital pits of the optic disc, anterior ischemic optic neuropathy, a hypotensive episode, optic neuritis, compressed lesions of the optic nerve or chiasm, occipital lobe lesion, and juxtapapillary choroiditis. Cupping and pallor of the optic nerve that mimics glaucoma can be a normal variation or a consequence of anterior ischemic optic neuropathy, myopic changes, a congenital coloboma, a compressed lesion of the optic nerve or chiasm, syphilis, or optic atrophy-associated choroidal or retinal disease. In these situations, however, the degree of pallor usually far exceeds the amount of neuroretinal rim loss. Thus, wherever pallor is greater than the amount of expected tissue loss, the probability of a nonglaucomatous cause for visual loss must be considered. An exception is the optic atrophy associated with giant cell arteritis (temporal arteritis). This condition often causes severe cupping that is difficult to distinguish from that caused by glaucoma. When a patient with glaucoma continues to get worse despite IOPs that appear to be in a satisfactory range, and especially if the optic nerve does not show continued glaucomatous nerve damage, the possibility of some other cause for the deterioration must always be considered and appropriate studies undertaken. The only proven method of preventing or reversing glaucomatous damage is to lower IOP. It has been generally assumed that it is the absolute lowering of IOP that is beneficial. However, stabilizing IOP may also be important.2 Some surgical procedures, such as a guarded filtration procedure, not only can lower IOP but also can decrease the variability of IOP. This stability may be as important or even more important than pressure-lowering in controlling the glaucomatous process. Further study is needed. Some suggest that other methods may prove to be neuroprotective, and some physicians already employ agents such as a gingko biloba to try to help the nerves resist the damaging effects of IOP. In addition, studies of a variety of potentially neuroprotective agents are under way, but these studies are preliminary. In contrast, there is no question that lowering IOP can be of benefit to many patients with glaucoma. The question is not whether lowering IOP helps but rather whom will it help and how much does the IOP need to be lowered to benefit. Before any treatment can be initiated in a patient with glaucoma, there must be an evaluation of the patient's likelihood to suffer from consequences of glaucoma. In patients with narrow anterior chamber angles, this is fairly easy to determine. In patients with a chronic glaucoma, this determination is far more difficult. However, it still must be done. Glaucoma surgery rarely is restorative or curative. Usually, it substitutes one problem for another. The new problem is intended to be of lesser significance than the old. With the possible exception of iridectomy, glaucoma surgery leaves the patient damaged. Nevertheless, advising surgery is often an appropriate act for the surgeon and choosing surgery often is a wise decision for the patient. With proper technique and patient selection, the problems caused by glaucoma surgery can be minimized and usually can be kept to an acceptable level. Some ophthalmologists now are more aggressive about advising surgery than their colleagues were recently; a few surgeons are even returning to the opinion, held by many in the more distant past, that the proper time to perform surgery is when the diagnosis of glaucoma is made.3–11 We believe that the indications and techniques of surgery should be individualized, and in this chapter we include proposals from many schools of thought.1 Surgeons and patients must remember that, although changes in surgical techniques may not be as frequent or as rapid as changes in the clothing fashions, there also are fashions in surgery. Especially in a consumer-oriented society that stresses novelty and rewards the new rather than the proven, surgeons must consider the long-term value of the procedures that they are contemplating and place them in historical perspective. Most patients with glaucoma are affected for the remainder of their lives. Thus, “quick-fix” procedures are of little help. If the glaucoma is a chronic condition (the usual situation), a procedure is of value only if it is either long lasting or safe and easily repeated. Surgeons and patients who are considering which operation to choose should evaluate with skepticism those procedures that have not been subjected to critical long-term study (in this context, long term means years). Finally, as with the intensity and time expended with the surgical episode, there is a common misunderstanding about the goal of glaucoma treatment among physicians (including most ophthalmologists), patients, and third-party payers and administrators: Because glaucoma is a disease of pressure, the ultimate goal of glaucoma surgery is to lower pressure. The source of this misunderstanding is not mysterious; the teaching for the past 100 years has been that glaucoma is caused by elevated IOP. However, glaucoma is not a disease of elevated IOP. Only during the last 15 years have the concerns of some prescient ophthalmologists been confirmed (Glaukom ohne Hochdruck und Hochdruck ohne Glaukom—glaucoma without high pressure and high pressure without glaucoma).12–14 Approximately 95% of patients with elevated IOP (greater than 21 mm Hg) and perhaps 90% of patients with more significantly elevated IOP (greater than 24 mm Hg) will never get glaucoma.15,16 In addition, one third to one half of patients with glaucoma do not appear to have elevated IOP.14,17–19 Indications for Surgery Designed to Prevent an Attack of Primary Angle-Closure Glaucoma In the past, surgery for narrow anterior chamber angles involved opening the eye and performing a peripheral iridectomy. In recent years it has been possible to make a functional hole through the iris with a neodymium: yttrium-aluminum-garnet (Nd:YAG) laser. This has changed the indications for surgery in patients with narrow anterior chamber angles. It has never been possible to predict with 100% accuracy who is going to proceed to develop an attack of angle-closure glaucoma. Even patients with peripheral anterior synechiae, in whom there is a proof that the angle has closed in the past, do not always proceed to full-fledged angle-closure attacks. Nevertheless, the safety of Nd:YAG laser iridotomy, balanced against the serious damage caused by an attack of primary angle-closure glaucoma, makes the therapeutic decision easy. Specifically, a Nd:YAG peripheral iridotomy should be performed in any patient in whom the ophthalmologist considers that the anterior chamber angle is capable of occlusion and in whom there are not compelling features suggesting that performing an iridotomy is inappropriate. Characteristics of an occludable anterior chamber angle are shown in Table 3.
Table 3. Characteristics of an Occludable Anterior Chamber Angle Presence of a peripheral anterior synechia
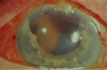
Patients who are hyperopic, are older adults, and have developed cataracts are especially likely to have occludable angles. Mechanisms and predispositions to angle-closure glaucoma are listed in Table 4. Not all types of angle-closure respond favorably to iridectomy or iridotomy. Only those with a pupillary-block type of mechanism will be helped (all those glaucomas secondary to the mechanisms listed in Table 4. A and B, with the exception of 3 C, and in some cases 3 E). Aspects of the history, such as seeing halos around lights in the dark, are suggestive of attacks of angle-closure (Table 5). Signs of the angle-closure glaucomas are listed in Table 6.
Table 4. The Angle-Closure Glaucomas
Table 5. Symptoms of Primary Angle-Closure Glaucoma*
*Includes any conditions that cause sudden elevation of intraocular pressure, especially those that are recurrent: acute primary angle-closure glaucoma, chronic primary angle-closure glaucoma, uveitic glaucoma, the Posner-Schlossman syndrome, and others.
Table 6. Signs of Primary Angle-Closure Glaucoma*
*Includes other causes for acute or intermittent elevation of intraocular pressure. If the cornea is hazy, anhydrous glycerin should be instilled topically so that the angle and the fundus can be examined adequately.
A diagnosis of an occludable anterior chamber angle demands gonioscopy. Space does not permit an extensive discussion of gonioscopy here. However, the omission of this from the chapter should not be taken as a sign that the gonioscopic technique is not essential to the diagnosis of angle-closure glaucoma, as well as to the care of the glaucoma patient, including postoperative care. Historical information and slit-lamp and biomicroscopic examination are not adequate to determine whether or not the patient has an occludable anterior chamber angle, except in those rare circumstances in which adhesions extend anterior to Schwalbe's line. In addition, there are a variety of methods by which the angle closes, and by no means are all of them appropriate to treat with an iridectomy or iridotomy. The secondary angle-closures listed in Table 4 (categories C to G) are more likely to be hurt than helped by such surgery. Thus, gonioscopy is mandatory. Complications associated with laser iridotomy are shown in Table 7. The pressure spike that may occur following the surgery can almost always to be prevented by pretreatment with pilocarpine and an alpha agonist such as brimonidine or apraclonidine. The ghost image is not always preventable. Patients should always be cautioned that they may see a crescent of light or a ghost image in the inferior visual field following an iridotomy. It should be explained to them that this occurs because light comes through the new hole, that it is harmless, and that it will not in any way interfere with their vision or their function. Bleeding at the time of the iridotomy can be prevented in most patients by careful attention to surgical technique. Patients taking aspirin or an anticoagulant should in most cases have their iridotomy performed with an argon laser or have their iris cauterized with an argon laser before completing the iridotomy with an Nd:YAG laser.
Table 7. Postoperative Problems Associated with Iridotomy
Indications for Surgery in Patients with the Chronic Types of Glaucoma The purpose of all types of treatment for all conditions that can impair a person's health, or have made a person sick, is the same. The purpose is torestore or enhance the person's health, the person's sense of wholeness. Glaucoma impairs health by causing pain or loss of vision. It also impairs health as a result of the treatment given to prevent or relieve the pain and loss of vision. These principles also apply to surgical treatment for glaucoma. The amount of lowering of IOP is often thought of as a measurement of the success of glaucoma surgery. This is certainly understandable, because it is the lowering of IOP that is probably largely responsible for the beneficial effect of glaucoma surgery. Consequently, considering how much IOP lowering one is likely to get from a particular type of procedure is appropriate. We will, then, consider this aspect of glaucoma surgery, which relates primarily to the treatment of the chronic forms of glaucoma, but lowering IOP has its down side as well. The proper approach to a patient with glaucoma is not to try to lower the IOP as much as possible. Every millimeter of IOP lowered costs the patient something in side effects and complications, both short and long term. These are considered in detail in the final section of this chapter. However, the avoidance of complications is so central to the entire thinking about the management of patients with glaucoma that their existence must be raised here and must constantly be kept in mind by the surgeon planning the proper approach to a patient with glaucoma. With the acute types of glaucoma the need for treatment is usually obvious. However, in the chronic forms, damage occurs so slowly, often over a period of 5 to 10 or more years, that the patient and the physician alike may underestimate the damage that is occurring or that will occur in the future. The principle mentioned before applies especially to the chronic glaucomas. Specifically, the physician caring for a patient with glaucoma must make a serious, educated, and effective effort to determine the type of effect that the affected person's glaucoma will have on that person. Simply having glaucoma is not a justification for treatment. Simply having severe glaucoma is not a justification for treatment. Simply having progressive glaucoma is not a justification for treatment. Treatment is only appropriate if the glaucoma is likely to cause an impairment in the person's health. Consequently, this determination is absolutely central to the planning of the management of a patient with glaucoma. The initial part of the discussion regarding the indications for glaucoma will, then, deal with a practical way of estimating the likelihood that the person with glaucoma will be harmed by that glaucoma if no intervention is taken. Every intervention introduces some harm and is obviously also intended to produce some benefit. The challenge in managing patients with glaucoma is to balance the presumed benefit of treatment against the risks of the treatment and the risks attendant to no treatment. DISCERNING THE RISK OF NO TREATMENT. The two most helpful indicators of the likelihood that a person will be damaged in the future or will continue to be damaged from chronic glaucoma are (1) the nature of the optic disc and (2) the presence of characteristics known to be associated with deterioration of visual function in patients with glaucoma. The chronic glaucomas cause their damage by damaging the optic nerve. Attention to the optic nerve, then, is primary. In addition, the presence of optic nerve damage demonstrates that the patient in question has a condition that has caused and will probably continue to cause further damage. Because most chronic glaucomas are not spontaneously cured, evidence that the person has already developed damage is convincing documentation that the patient will develop more damage. Signs of optic nerve damage caused by glaucoma are shown in Table 8. The reader should note that a large cup/disc ratio is not listed as a definite sign of glaucoma.
Table 8. Signs of Optic Nerve Damage due to Glaucoma* Virtually certain indication of glaucoma damage
Strong indication of glaucoma damage
Moderately indicative of glaucoma damage
*The higher on the list, the more likely the sign is diagnostic of glaucomatous damage. Every sign can be valuable, especially when combined with other listed changes or other findings of glaucoma. The order of listing is relative and will vary with the type of glaucoma and the patient. For example, concentric thinning of the rim is typical of glaucoma associated with high intraocular pressures such as juvenile-onset open-angle glaucoma, but rare in glaucomas seen in association with average intraocular pressures; in contrast, focal notches are common in the glaucomas associated with low intraocular pressures but rare in those with marked elevation of pressure. †“Notch” is defined as a sudden deviation from the circular shape of the cup. The extent of the deviation must be 0.1 rim/disk ratio width or greater. The notch need not reach all the way to the edge of the rim but may reach all the way to the edge of the rim. The circumferential extent of the notch must be less than three clock hours.
RIM NOT CUP. Measuring the cup/disc ratio tells the examiner little about the actual health of the optic nerve. In contrast, concentrating on the area where the rim is thinnest is a more reliable way of determining whether the optic nerve has been damaged. The examiner should concentrate on the inferotemporal and the supertemporal portions of the optic nerve, because those are where damage is most likely to occur. SPECIFIC FINDINGS. Specifically, one should look for an acquired pit of the optic nerve, or a notch, or the presence of an irregular hemorrhage crossing the outer edge of the rim. The width of the rim should be measured in rim/disc ratio, where 0.5 indicates the thickest rim possible, and 0.0 means no rim is present. MEASURING THE SIZE OF THE DISC. The size of the optic disc should be evaluated. A relatively simple method of doing this is to use a 66-diopter (D) lens to visualize the optic disc. The height of the optic nerve head is determined by decreasing the height of the biomicroscopic slit beam projected on the nerve head; when the top and bottom of the beam coincide exactly with the top and bottom of the optic disc, the height of the optic nerve is read directly from the reticule on the Haag-Streit slit lamp. The correction factors for other lenses are shown in Table 9.
Table 9. Lenses and Correction Factors Used in Measuring the Size of the
Optic Disc
Lim CS, O'Brien C, Bolton NM. A simple clinical method to measure the optic disc size in glaucoma. J Glaucoma 1996;5:241.
EARLY VERSUS LATE CHANGES. In the later stages of the disease, one can be fairly sure about whether the optic nerve is glaucomatous or not. By later stages of the disease is meant a situation in which there is absence of rim tissue in one area of the optic nerve, especially supertemporally or inferotemporally. However, in the early stages of glaucoma it is not possible on the basis of a single examination to determine whether the optic nerve is damaged. For example, a patient with a central cup and a rim/disc ratio of approximately 0.3 in all areas could have an optic nerve that has improved, remained the same, or gotten worse (Fig. 2). Consequently, in the early stages of the disease it is impossible to determine whether an optic nerve head is healthy or diseased on the basis of a single ophthalmoscopic or image analysis examination. On the other hand, it is possible with a high degree of reliability to look at such an optic nerve and determine whether or not a visual field defect is present. Normal-sized discs (around 1.75 mm) with rims thicker than 0.1 rim/disc ratios rarely have visual field loss. Small discs, that is, discs that are smaller than 1.5 mm in diameter, will rarely have visual field defects when the rim/disc ratio is greater than 0.2. Obviously, if no visual field defect is present, it is unlikely that the patient will have any disability as a result of any change that has already occurred in the optic nerve. Thus, even though it is not possible to look at an optic nerve without an acquired pit of the optic nerve, a notch, or complete loss of the neuroretinal rim all the way to the outer edge of the rim and determine with certainty whether or not the disc is damaged, it is possible to determine whether such a disc will be associated with any functional loss of vision. DISC CHANGES USUALLY PRECEDE FIELD CHANGES. The next critical piece of information in deciding on whether treatment is necessary is to recall that the early visual field defects that occur in glaucoma are asymptomatic. Patients can develop an extensive loss of nasal field in one eye and yet be able to function entirely normally. That fact is often mentioned as one of the characteristics that makes glaucoma especially dangerous. Indeed, the lack of symptomatology in the early stages of chronic glaucomas is the reason why patients often have advanced damage when first seen. However, the lack of symptomatology in early glaucoma also means that it is not essential to prevent a patient with early glaucoma from developing further, early disc damage or even from developing visual field loss. One should remember that the goal of therapy is the health of the patient, that all treatments have some side effect, and that slight deteriorations of the optic nerve and visual field in the early stages of glaucoma do not cause any symptomatology. Thus, it becomes difficult to justify surgery in the early stages of glaucoma until enough deterioration has occurred so that loss of visual function as a result of glaucoma is relatively certain if the deterioration continues. It is helpful to plot the patient's changes in the stages of glaucoma on a graph (Fig. 3). For rational treatment of glaucoma, the patient's life expectancy must be considered. Surgery is not justified on a patient with early, or even moderately advanced glaucoma who is getting worse slowly, whose life expectancy is 6 to 12 months. However, there is little justification for not doing a glaucoma procedure on a patient with the same amount of damage, getting worse at the same rate, who has a life expectancy of 40 years. Although it is not possible to determine life expectancy with complete precision, it is possible to get a good idea. Factors that enter into that determination are shown in Table 10.
Table 10. Factors Permitting a Meaningful Estimation of Life Expectancy
The first indication for surgery, then, is documented deterioration of the optic disc or visual field resulting from glaucoma occurring at a rate that will cause a decrease in the patient's functional ability before the time of his or her death despite maximum tolerated medicinal therapy. Maximum tolerated medicinal therapy means the greatest amount of medicinal treatment that is well tolerated by the patient. In some people this may mean no medicinal therapy whatsoever. For example, in a patient who finds it difficult or impossible to use medicines and in whom an argon laser trabeculoplasty has not worked, surgery is appropriate, if it is clear that the person will suffer visual functional loss if an intervention is not successful. In contrast, in an extremely ill patient who is tolerating glaucoma medications well, the conjoint use of three different classes of eye drops together with an oral carbonic anhydrase inhibitor may constitute maximum tolerated medicinal therapy. Surgery may be the most appropriate first treatment in some people, whereas it may be appropriate in others only after extensive trials of medication have failed. The most important word in this qualifying phrase is tolerated. VISUAL FIELDS MOST HELPFUL IN GLAUCOMA IN ITS MODERATE STAGES. Once the optic nerve has developed significant damage it may be difficult or even impossible to observe further change in the optic nerve despite a deterioration in the patient's functional ability. Consequently, in the later stages of the disease visual function is the primary indicator for the adequacy of care. Thus, increasing symptomatology (i.e., deterioration of function) is the major indication for an increase in the vigor of therapy (Table 14). One way to demonstrate such deterioration of function is serial visual field examinations. These examinations must be done properly to make sure that the fields are accurate representations of what is happening to the patient. Automated perimetric machines can be helpful, but they must be used properly by an appropriately trained technician who is doing his or her job well, and the results of the visual field examinations must be interpreted thoughtfully and knowledgeably. Just because a visual field printout shows that the field has gotten worse does not mean that the patient is getting worse. Just because a visual field is the same does not mean that the patient is not getting worse. Deterioration of the field may be caused by improper refraction, fatigue, improper positioning in the field testing instrument, progressive cataract, decreasing pupil size, and so forth. The field can be deteriorating despite an absence of change on the perimetric result whenever the previous field contains areas registered as 0 unless a larger test object was used at the time of the subsequent examination. A 0 does not indicate that the patient is absolutely blind in a particular area but only that the patient failed to see a particular test object at a particular brightness in that area. 0s do not necessarily indicate absolute visual field defects. A larger or brighter text object perhaps could have been seen. Careful testing of the field and thoughtful, knowledgeable interpretation of the results are helpful in the moderate stages of glaucoma damage. This is especially true because substantial change can occur and yet not be noted by the patient when visual field defects are still in their early to moderate stages.
Table 14. Anticipated Effect of Different Levels of Vigor of Therapy on
Intraocular Pressure
*Dipivalyl epinephrine, epinephrine, weak pilocarpine, or other monotherapy. †Combination therapy with β-blocker, carbonic anhydrase inhibitor, alpha agonist, and prostaglandin analog.
HISTORY MOST IMPORTANT IN LATE STAGES OF GLAUCOMA. Once visual field loss has become marked, or is close to fixation, the patient's own sense of how well he or she is seeing and functioning is often the most sensitive indicator of whether the patient is remaining stable or getting worse (or improving). Thus, meticulous questioning of the patient regarding these issues is essential. It is helpful to ask the patient specific questions such as, “Is there anything that you can't do now that you were able to do in the past?” If the answer is a “yes,” then the timing and severity need to be further defined by asking questions such as, “What can you not do now that you could do a month ago?” “What can you not do now that you could do a year ago?” “What can you not do now that you could do five years ago?” These questions are designed to provide the physician with a specific indication of how rapidly and how seriously the patient's visual function has deteriorated. As with deterioration of the optic nerve, it is not the deterioration that triggers the surgery. Surgery is appropriate when the deterioration is occurring at a rate that will interfere with a patient's visual function. Thus, use of the glaucoma graph (see Fig. 3) is helpful. It is essential to know the patient's life expectancy and the rate at which the glaucoma is worsening, as well as the stage of the glaucoma, to reach a rational decision regarding the appropriateness of treatment. A second indication for surgery in a patient with glaucoma is a deterioration of visual function resulting from glaucoma despite maximal medical tolerated therapy occurring at a rate that will interfere with the patient's health. RISK FACTORS FOR PROGRESSIVE GLAUCOMA DAMAGE. Probably the most significant factor that will determine whether a person will develop visual loss from glaucoma is the genetic make-up of the person. Presently, however, it is not possible to predict with accuracy whether a person will develop functional loss from glaucoma on the basis of genetic analyses that are available. It is known that certain types of glaucoma are familial, and genetic abnormalities in some of these types of glaucoma have been identified. However, even in those conditions it has not yet been determined that all people possessing the genetic abnormality will develop functional loss from glaucoma. Possession of such a gene, however, certainly puts the person at risk and should initiate a program of meticulous observation. Patients with a family history of visual loss from glaucoma also are at risk and should be meticulously observed. It should be noted that this is not a family history of glaucoma but rather a family history of visual loss from glaucoma. This history increases the likelihood (perhaps ten-fold greater than the risk for those who do not have such a history) that the affected person will develop visual loss from glaucoma. The level of IOP provides useful information regarding the likelihood that a patient will eventually develop damage. Pressures below 40 mm Hg are of no use in determining whether a patient actually has glaucoma. That is, pressures below 40 mm Hg do not indicate whether a patient has developed any damage related to IOP. However, the higher the IOP the greater is the likelihood that the person will eventually develop damage. In addition, the higher the IOP, the more rapidly is the damage likely to develop. The chance that a person with an IOP of 50 mm Hg will develop glaucoma damage within months is so great that initiation of therapy is almost always justified, that is, if the eye has useful vision to preserve! The chance that a person with an IOP above 30 mm Hg will develop damage is far less, and other factors, such as a patient's longevity, must be considered before deciding on appropriate therapy. IOPs below 30 mm Hg are rarely a justification for initiating surgical treatment. Rather, the cause for initiating treatment is an IOP that has been associated with the development of further damage, whether that IOP is 15 mm Hg or 30 mm Hg. Except at levels of IOP above 30 mm Hg, then, it is not the IOP per se that initiates the surgery, but rather the knowledge that a particular level of IOP has already been documented to cause continuing damage. Other factors that increase the likelihood that a patient with glaucoma will eventually get worse are race and considerations relating to the nutrition of the optic nerve. Black people are at greater risk for developing visual loss from glaucoma, as are those who have conditions that will lead to decreased perfusion or nutrition of the optic nerve. Such factors, however, are not adequate justification for surgery. They are only factors that increase the likelihood of a person getting worse and, therefore, are factored into the therapeutic decision. A rough plan for using the amount of optic disc damage and the intensity of risk factors as a guide for therapy is shown in Table 11A and B.
Table 11a. Stages of Optic Nerve Damage and Correction Factors for Measuring
the Optic Nerve
Only need one criterion to meet a given grade. Volk correction factors: 90D × 1.33; 78D × 1.11; 60D × 0.88. Nikon correction factors: 90D × 1.63; 60D × 1.03 Examples refer to the narrowest rim/disc ratio anywhere EXCEPT between 8–10 o'clock position right eye and 2–4 o'clock position left eye.
Table 11b. Management by Disc and Risk
IOP, intraocular pressure; gl. VA, glaucoma visual acuity.
The last risk factor that must be considered when evaluating the indications for surgery is the person's ability to manage his or her life. Although there are major biologic differences between the various types of glaucoma and how glaucomas manifest in different people, with proper care glaucoma should rarely be a cause for loss of visual function. Although the doctor plays an important role, how the patient acts is even more essential; the patient chooses the doctor, the patient chooses whether or not to tell the doctor certain types of information, the patient decides whether the doctor is doing a good job, and the patient chooses how to use recommended therapy. Evaluation by the physician of the patient's life management skills is an essential part of the diagnostic evaluation of every patient. Patients may be located in exactly the same position on the glaucoma graph (see Fig. 3), but because of different life management skills, medicinal therapy may be appropriate in one patient and surgical therapy in another. The third indication for surgery for glaucoma is the presence of a glaucoma that has the capacity to cause deterioration in function occurring in a person who is unable to obtain continuing medical care or is unable to manage his or her life appropriately. In summary, the indications for surgery in a patient with glaucoma are (1) when glaucoma is responsible for significant pain or for deterioration of the optic nerve or visual function despite maximum tolerated medicinal therapy and when the deterioration is occurring at a rate that will cause a deterioration in the patient's function; (2) an IOP above 40 mm Hg on repeated determinations despite maximum tolerated medicinal therapy in an eye with useful vision; and (3) the presence of a glaucoma that has the capacity to cause deterioration in function occurring in a person who is unable to obtain continuing medical care or is unable to manage his or her life appropriately. SELECTION OF THE APPROPRIATE SURGICAL PROCEDURE Because the goal of treatment for glaucoma is maintenance or enhancement of health, the most appropriate method is the one that will lower the IOP the desired amount for the desired length of time with the least likelihood of causing side effects. One of the first things the physician must do when deciding on the most appropriate therapy is to select a final target pressure range.20–23 Although only an approximation, this target pressure range is helpful in planning. It is based primarily on the level of IOP known to have caused damage (Table 12), but the nature of the optic nerve may be a consideration. Some surgeons believe that the more damage the optic nerve has sustained before surgery, the more markedly IOP must be lowered. This approach sounds logical, but no studies support or deny the theory. Some authors also believe that the appearance of the optic nerve provides a valuable clue about its susceptibility to the damaging effects of IOP. The presence of an acquired pit of the optic nerve (a pseudopit) is a strong indicator of susceptibility.24,25
Table 12. Target Pressure Ranges: Goals for Lowering Intraocular Pressure
The target pressure range is based primarily on the known level of IOP at which damage developed (see Table 12) and to a lesser extent on a variety of other factors, such as the degree and pattern of optic nerve damage and considerations listed in Table 13. Table 14 gives rough guidelines for the amount of IOP lowering that different methods of treatment can accomplish.
Table 13. Glaucoma Damage to the Optic Nerve: Risk Factors Intraocular pressure*
If the decision has been made to perform surgery, the surgeon must consider how to perform the surgery to achieve the desired target pressure range (see Table 14). Although it is not always possible to achieve the desired target pressure range, certain procedures and approaches to surgery give the surgeon the ability to approximate the goal. A guarded filtration procedure performed essentially as described by Watson, for example, in a white patient without risk factors for failure usually will result in IOP of approximately 17 mm Hg, ranging from 15 to 19 mm Hg.26 In contrast, a full-thickness filtering procedure, such as a corneoscleral trephine, usually will result in a mean IOP of approximately 14 mm Hg, with a range of 12 to 16 mm Hg.26 To obtain increasingly lower IOP, it is necessary to modify surgical technique (Table 15). By performing guarded filtration procedures so that the sutures can be released postoperatively, with the use of either laserable or releasable sutures, a lower final IOP can be obtained in some cases. This technique allows a bleb to develop that is similar to that seen in a full-thickness filtration procedure. Such blebs tend to be thin, polycystic, and located directly at the limbus, in contrast to those seen after classic trabeculectomy, which are thicker, lower, more diffuse, and more posterior. When antifibrosis agents (antimetabolites and corticosteroids) are added to procedures designed to develop full-thickness filtration, IOP tends to be sharply reduced.27–29 The blebs associated with the use of 5-fluorouracil (5-FU) and mitomycin are an exaggeration of the full-thickness type of bleb: Often, they are extensive, sometimes involving 360 degrees of the anterior surface of the globe, and the conjunctiva tends to be thin and completely ischemic.30–34
Table 15. Methods Thought to Help Achieve Lower Final Intraocular Pressure
After Filtration Procedure Antimetabolites
The thin filtration blebs associated with the use of mitomycin or 5-FU may rupture spontaneously. They tend to be so high that the adjacent cornea becomes dry, with the development of an uncomfortable delle. Ptosis tends to develop, and patients often are photophobia One of the most serious concerns is the high incidence of endophthalmitis in patients with thin blebs. When full-thickness blebs were the routine type of glaucoma procedure, endophthalmitis would develop in approximately 1% of patients. When 5-FU was used to develop filtration blebs inferiorly, an 8% rate of endophthalmitis was reported.35–42 Hypotony, even in the absence of a thin bleb, introduces serious problems. The soft eye does not maintain a constant optical state, and it has a constantly changing amount of astigmatism that makes it impossible to correct. Each time the patient blinks, the amount of astigmatism changes. Macular and disc edema cause reduced central acuity and deterioration of the visual field, and the globe may have a constant, visceral ache. Patients with such eyes are not comfortable. The likelihood of achieving a surgical success is also considered when weighing the pros and cons of surgery and the specific procedures to be selected (Table 16).
Table 16. Factors Related to Success or Failure of Glaucoma Surgical Procedures
in Patients with Open-Angle Glaucoma
A variety of factors that relate to each person will affect the likelihood that a guarded filtration procedure will succeed. Those predisposing to success are shown in Table 17 and those tending to cause failure in Table 18. When it appears that the likelihood of success with a guarded filtration procedure is less than the surgeon and patient desire, then either another procedure must be chosen or the guarded filtration procedure must be modified. A tube-shunt is a reasonable option but is far more likely to be associated with troublesome extraocular muscle movement abnormalities leading to disturbing double vision postoperatively. This is, of course, not a limiting factor in a patient in whom vision is essentially limited to one eye. Titrating the final IOP following a tube-shunt procedure is also more difficult than it is with a guarded filtration procedure. Because of the seriousness of the complications associated with their use, cyclodestructive procedures are usually employed only after other surgical methods have failed or in specific situations (see Table 1).
Table 17. Factors Predisposing to a Low Intraocular Pressure as a Result
of a Guarded Filtration Procedure Minimal pigmentation of skin
Table 18. Risk Factors for Failure of a Filtration Procedure Black or Asian race
Because many glaucomas progress with IOPs in a relatively low range (e.g., less than 15 mm Hg), there is increased interest in trying to develop a low final IOP. Because 5-FU and mitomycin C can result in lower final IOPs, they are commonly used with guarded filtration procedures. Some surgeons recommend using antimetabolites routinely in all cases. This is not our recommendation. It is our belief that the use of an antimetabolite must be factored into the decision of what type of surgery should be done so that the surgeon considers all the other factors that make a particular procedure appropriate or inappropriate for a particular patient. In addition, antimetabolites, at least mitomycin C, cannot be titrated, as was hoped, to increase the beneficial effects and decrease the troublesome complications. Table 19 provides a rough set of guidelines for suggested use of antimetabolites in association with guarded filtration procedures based on the desired final level of IOP and the number of risk factors for failure. These are the same risk factors indicated in Table 18.
Table 19. Suggested Use of Antimetabolites: Rough Guidelines
The underlying diagnosis is another factor to consider in selecting a procedure. This is often the most important determining consideration. Rough guidelines are provided in Table 20.
Table 20. Advisability of Surgical Treatment in Selected Types of Glaucoma
*Laser iridotomy is usually preferred over surgical iridectomy. †Laser trabeculoplasty is the procedure of choice for some cases of primary open-angle glaucoma. 5-FU, 5-fluorouracil; Nd:YAG, neodymium:yttrium-aluminum-garnet.
The anticipated effect of the surgery on the patient's quality of life must also be considered (Table 21).
Table 21. Expected Effect of Glaucoma Surgery on the Patient's Quality
of Life
Nd:YAG, neodymium:yttrium-aluminum-garnet.
The procedure should also be able to be repeated easily with a reasonable likelihood of success. The likelihood that a glaucoma surgical procedure will be followed by troublesome symptoms will vary, of course, according to the seriousness of the condition, the nature of the patient, and the skill of the surgeon. Specific Considerations Regarding Relief of Pain and the Treatment of Blind Eyes Glaucoma can be associated with mild, moderate, or extremely severe discomfort. However, it is not the absolute level of pressure that causes the pain but the change in IOP and the rapidity with which that change occurs. Patients can maintain IOPs of 50 or 60 mm Hg with no discomfort. On the other hand, eyes in which the IOP varies 10 or 15 mm Hg in a day, for example, from 15 to 30 mm Hg, are usually productive of moderate but troublesome pain. A classic symptom of a failed cyclodialysis cleft is excruciating pain when the IPO goes from around 10 to around 40 mm Hg. There is a tendency to consider that the pressure level itself is the cause of the pain and, therefore, to try to relieve pain by lowering IOP. This is rarely successful, however, except in those cases in which the pressure is fluctuating more than 10 mm Hg during the day, such as those in whom the IOP rises more than 20 mm Hg rapidly. Patients with unstable glaucoma, such as occurs in association with the exfoliation syndrome, may have repeated measurements of IOP in a normal or slightly elevated range and yet may be uncomfortable. The probable cause is the variable IOP, ranging from 15 to 35 mm Hg during the day. In such cases surgery may become indicated because of deterioration of the optic nerve despite normal pressure. Patients with blind, painful eyes from IOPs around 40 mm Hg resulting from neovascular glaucoma usually are uncomfortable because of the ischemia or the inflammation and not because of the elevated pressure. The appropriate treatment for these cases is usually topical atropine and corticosteroids and not surgery designed to lower IOP. Treatment of Blind Eyes It is almost never appropriate to perform any surgical procedure other than an injection of retrobulbar alcohol or chlorpromazine or an enucleation or evisceration on a blind eye. Although the incidence of sympathetic ophthalmia is low, sympathetic ophthalmia is such a totally devastating complication that its potential occurrence mitigates against performing procedures that have the capacity to cause it. Sympathetic ophthalmia has been reported to occur with surgical peripheral iridectomy, filtration procedures of every kind, cyclocryotherapy, cyclophotocoagulation, and cyclodialysis. Retrobulbar alcohol tends to produce problems of its own, including numbness in the skull, ptosis, and strabismus. The experience with retrobulbar chlorpromazine is less extensive but promising because the pain relief it provides is usually excellent without production of the problems associated with retrobulbar alcohol. An injection of chlorpromazine, 25 mg, is placed in the retrobulbar space. The most appropriate therapy for the blind, comfortable eye is no therapy. The most appropriate therapy for the eye that is blind and has moderate discomfort because of markedly fluctuating IOP is a long-acting agent such as slow-release timolol; once the pressure is stabilized, the timolol often may be stopped. When patients learn that they have glaucoma, they may have an immediate decrease in the quality of life because of the anxiety that they experience as a result of knowing that they have a potentially blinding disease. Telling a patient that surgery may become necessary usually increases the degree of fear. Patients with glaucoma are often asymptomatic. The recommendation of surgery to prevent the loss of vision may be difficult for these patients to accept. They must have implicit trust in their surgeon. Their concerns are justified; surgery does not always work. Surgery does not always control the disease, and often it makes the vision worse. Consequently, fully informed consent must be obtained. The surgeon must be certain that the patient understands the risks of having surgery, the risks of not having surgery, the benefits of having surgery, and the benefits of not having surgery. In addition, the patient must be given a realistic idea of what to expect. | |||||||||||||||||||||||||||||||||||||||||||||||||||||||||||||||||||||||||||||||||||||||||||||||||||||||||||||||||||||||||||||||||||||||||||||||||||||||||||||||||||||||||||||||||||||||||||||||||||||||||||||||||||||||||||||||||||||||||||||||||||||||||||||||||||||||||||||||||||||||||||||||||||||||||||||||||||||||||||||||||||||||||||||||||||||||||||||||||||||||||||||||||||||||||||||||||||||||||||||||||||||||||||||||||||||||||||||||||||||||||||||||||||||||||||||||||||||||||||||||||||||||||||||||||||||||||||||||||||||||||||||||||||||||||||||||||||||||||||||||||||||||||||||||||||||||||||||||||||||||||||||||||||||||||||
| SURGICAL TECHNIQUES | ||||||||||||||||||||||||||||||||||||||||||||||||||||||||||||||||||||||||||||||||||||||||||||||||||||||||||||||||||||||||||||||||||||||||||||||||||||||||||||||||||||||||||||||||||||||||||||||||||||||||||||||||||||||||||||||||||||||||||||||||||||||||||||||||||||||||||||||||||||||||||||||||||||||||||||||||||||||||||||||||||||||||||||||||||||||||||
| Glaucoma surgery is best performed under the operating microscope. In some
cases, high magnification is not essential. In others, such as certain
portions of guarded filtration procedure, it increases the likelihood
of a successful operation. Care should be taken to avoid photic damage
to the retina, especially in patients who have far advanced disease. The
light from the operating microscope should not focus on the posterior
pole. We usually perform most aspects of glaucoma surgery with
side illumination rather than the axial illumination from the microscope. When
axial illuminator is used, it usually is reduced in intensity, and
the cornea is covered. The surgical anatomy of the anterior chamber angle in an average eye is shown in Figure 4A and B. Landmarks will differ markedly in eyes that have abnormalities. In the myope, the space between the anterior limbus and the iris root is greater; in the hyperope, it is less. An incision at the corneoscleral sulcus may enter the anterior chamber far anterior to the trabecular meshwork in the myope but may enter the posterior chamber in the hyperope. Because glaucoma in infants is rare, its surgical treatment is not discussed in detail. However, guarded filtration procedure is described later and may be employed with satisfactory results in many patients with congenital glaucoma (trabeculodyspenesis). PREOPERATIVE CARE The reader should refer to the earlier section of this chapter on evaluation of the person. The goal is to move the patient from conditions auguring failure toward those promising success. Obviously, many factors cannot be changed. In the simplest terms, the healthier the eye and the less likely it is that scarring will develop when the eye is injured, the greater the chance for success. Preoperative care is discussed in greater detail in the sections that describe the operative procedures. Many people take aspirin products routinely. Aspirin comes in many forms, and it is part of many compounds. Because it predisposes patients to bleeding, it should be discontinued, if prudent, 2 weeks before surgery. Most people who are taking aspirin are taking it for relatively unimportant indications; some simply may have heard that aspirin can help prevent heart attacks. However, in some patients, aspirin may be an important part of treatment, and discontinuation of the aspirin must be coordinated with the physician who ordered the aspirin. Wherever feasible, it should be discontinued preoperatively. Other agents also predispose patients to bleeding, for example, dipyridamole and anticoagulants, such as dicumarol. These agents should be discontinued an appropriate time before surgery to allow the blood to return to a normal clotting state. Some patients may have to take heparin instead of dicumarol at the time of surgery. This substitution must be individualized and coordinated with the physician managing the patient's anticoagulants. PARACENTESIS A paracentesis should be part of virtually all intraocular glaucoma surgical procedures. This opening in the cornea facilitates management of complications such as bleeding or flat anterior chamber; allows deepening of the anterior chamber at the time of surgery; provides an entry for acetylcholine or sodium hyaluronate; allows the surgeon to determine at the time of surgery how much filtration, if any is occurring through the guarded filtration procedure or sclerostomy; permits safe development of a bleb at the conclusion of surgery; and allows the surgeon to detect whether any tears or leaks are present in the conjunctival flap. The major risk of the procedure is that it may damage the lens. This damage can be avoided by making sure that the instrument used to develop the paracentesis never points toward the lens; holding the instrument parallel to the iris surface eliminates the risk of damaging the lens. Fixation of the globe is critical. The point of fixation should be directly in line with the intended direction of the paracentesis. If the paracentesis is to be made at the 10 o'clock position, extending exactly inferiorly, the sclera should be held directly superior to the 10 o'clock position (Fig. 5). If the surgeon prefers a horizontal paracentesis, starting at the 3 o'clock position, then the globe must be fixated precisely at the 3 o'clock position. An instrument with fine teeth provides good fixation. Examples are the Bonn or Barraquer-Colibri fine-toothed forceps. The tips should be separated only slightly, approximately 1 mm, and then pressed hard against the sclera. Conjunctiva, Tenon's capsule, and episclera are not adequate sites for fixation. We prefer to use a new, sharp, short, disposable 27-gauge needle on a 2- or 5-ml syringe. The needle is held, bevel up, absolutely parallel to the iris surface. In an eye with an iris bombe or a flat anterior chamber, the needle actually may be pointing anteriorly. The tip of the needle is placed against the cornea in the desired position, and the globe is pulled by the fixating hand in the direction opposite to that in which the needle is pointing. For example, if the needle is held horizontally, at the 3 o'clock position of the left eye, then the sclera is grasped at the 3 o'clock position and pulled laterally (temporally) (see Fig. 5). The needle tip enters the cornea. If there is normal or elevated pressure and the chamber is deep, the needle penetrates the cornea after making a paracentesis that is approximately 1 to 2 mm long. If the eye is soft or the chamber is shallow, the needle remains in the cornea and does not penetrate the anterior chamber. This position is desirable in cases in which the cornea is thin, such as in the buphthalmic eye. If the intracorneal track is longer than 2 mm, then the needle and syringe are depressed back toward the apex of the orbit; they are depressed toward the floor of the operating room (see Fig. 5, top right). The tip of the needle must not be angled toward the iris-lens; it must be kept parallel to the iris. As the needle and syringe are pushed toward the floor, the needle changes the curvature of the cornea, permitting it to enter the anterior chamber when advanced. The needle is advanced by a combination of pulling the globe and pushing the syringe. The importance of firm fixation and of introducing the needle against traction provided by the fixation must be stressed. Also, it is essential that the needle not be angled toward the iris, but kept parallel to the iris surface. Once the needle enters the anterior chamber, it is more clearly visible than when it is intracorneal (see Fig. 5, bottom right). The tip is advanced carefully about 1 to 3 mm, until the surgeon is sure that the endothelium has been completely penetrated. The needle is then withdrawn. If the paracentesis has been made with a no. 25 needle, a no. 30 blunt-tipped needle can be introduced later with ease. If the cornea is especially thin or if the surgeon wishes the fit to be especially tight, a 30-gauge needle should be used for the paracentesis. When re-entering the paracentesis track, the blunt needle must be directed exactly parallel to the original track and must hug the posterior (internal, deep) aspect of the track. Often, the neophyte struggles unnecessarily to get the no. 30 blunt-tipped needle into the anterior chamber through a no. 27-size paracentesis. However, when the blunt-tipped 30-gauge needle is angled in the direction of the floor, that is, toward the iris, and slid along the internal aspect of the paracentesis, it enters gracefully. Alternatively, use a sharp 27-gauge needle for the paracentesis and a sharp no. 30 needle for later entry. USE OF SLIP KNOTS AND RELEASABLE SUTURES The use of a slip knot is helpful in achieving the desired level of tightness of the scleral flap in a guarded filtration procedure. Slips knots also have the advantage of being easier to bury than the usual surgeon's knot. They cannot be used to close incisions under tension, but are appropriate for almost all other situations. We use them routinely. Figure 6 illustrates the method of tying slip knots. See p. 24 for a discussion of releasable sutures (Fig. 7). IRIDECTOMY Iridectomy deserves separate treatment in this chapter because, with rare exceptions, its basic purpose is different from that of all other glaucoma surgery. Iridectomy often is performed not to lower IOP but to correct an anatomic aberration, narrowness of the anterior chamber angle (Fig. 8). It is important to explain to the patient why the iridectomy is recommended. Patients usually conclude that glaucoma surgery has as its purpose the lowering of IOP, and unless enlightened to the contrary, most patients anticipate that IOP will be lower after iridectomy. Diagnosis and Classification An extensive description of the diagnosis and classification of the angle-closure glaucomas cannot be given here.1,43 However, the essential component in the diagnosis of the angle-closure glaucomas, gonioscopy, must be mentioned. Differentiation between optical contact and actual adhesion between the iris and the cornea cannot be made without the use of indentation gonioscopy; therefore, the correct diagnosis of the angle-closure glaucomas demands the appropriate use of a gonioscopic lens that can be used in indentation gonioscopy8,44 (Fig. 9). We prefer the Zeiss four-mirror lens on an Unger handle. For the diagnosis of angle-closure glaucoma to be certain, the ophthalmologist must be certain that the symptoms could only be the result of angle closure and that the anterior chamber angle actually has closed. Thus, the search for peripheral anterior synechiae, characteristically between the 10 and 2 o'clock positions of the eye, assumes great significance. Peripheral iridectomy is described in moderate detail because it is our opinion that the general ophthalmologist should still be fully competent in performing a standard surgical iridectomy. Nd:YAG laser iridotomy is clearly the procedure of choice in patients needing an iridotomy. However, it is not always possible. In patients in whom the cornea does not become sufficiently clear to allow a laser iridotomy, an incisional surgical iridectomy becomes necessary. In addition, incisional iridectomy may be necessary in some patients with a diagnosis of pupillary block glaucoma in whom a persistent, patent peripheral iridotomy cannot be achieved with laser techniques. Preoperative Care Most attacks of acute primary angle-closure glaucoma can be treated medically. The longer the attack, the higher the pressure, the more the eye has been damaged, and the less likely the patient is to be harmed by the medications used to treat the attack, the more vigorous the treatment should be. When the attack is brief, the inflammatory signs minimal, and the pressure relatively low, pilocarpine 1% every 5 minutes for four doses often is adequate. Apraclonidine 1% often is helpful in treating patients with high IOP or in cases in which lowering IOP is not expected to be accomplished with the use of pilocarpine alone. When treatment must be maximal, the following routine may be followed: pilocarpine 1% every 5 minutes for four doses; timolol 0.5% immediately and again in 1 hour; apraclonidine 1% immediately; acetazolamide 500 mg intravenously; and an osmotic agent (isosorbide, 30 mg/kg body weight in routine cases; mannitol 20%, 70 ml/kg body weight intravenously in the nauseated patient who can tolerate a large sudden increase in blood volume; or anhydrase glycerol orally, 1 ml/kg body weight in the patient who can take oral medication but is likely to have urinary retention). Topical steroids are appropriate if the eye is inflamed. Occasionally, forceful compression of the anterior chamber with an instrument such as the Zeiss four-mirror gonioprism can push the angle open and help to end the angle-closure attack. Once the attack has been stopped, it is helpful to allow the eye to quiet before proceeding with the iridectomy. Weak pilocarpine administration, such as 1% two or three times a day and aqueous suppressants, such as timolol and acetazolamide, should be continued until the time of surgery. If surgery is indicated on the fellow eye, it may be appropriate to perform an iridectomy on that eye while waiting for the involved eye to quiet. Pilocarpine should be used with caution in both the involved eye and the fellow eye because it can predispose the eye to angle closure by increasing the degree of papillary block or causing the lens-iris diaphragm to move anteriorly. Occasionally, it is impossible to break an attack. In such cases, it is advisable to proceed with surgery promptly, despite the presence of high IOP. Here, a retrobulbar injection of anesthetic agent is appropriate and may help lower the IOP. If unsuccessful, the pressure will be brought down easily by paracentesis at the time of surgery. When a peripheral iridectomy is performed, the pupil should be as small as possible. The use of mild pilocarpine is an easy, effective approach. In cases in which the IOP remains elevated or the sphincter is nonfunctional, however, reducing the size of the pupil may be difficult. Multiple instillations of pilocarpine are not recommended in such cases. Usually, they only make the patient systemically ill and the eye inflamed; they do not reduce the size of the pupil. If the sphincter is functional, the pupil will contract quickly once the IOP has been lowered. On the other hand, if the surgeon is planning to perform a sector iridectomy, it is best to have the pupil dilated as widely as possible. Such a sector iridectomy probably is the preferred procedure in patients with severe iris atrophy, a dilated fixed pupil, or a cataract that is limited to the visual axis. Operative Technique Adequate anesthesia for surgical iridectomy performed with a blade is provided by topical administration of an agent such as proparacaine 0.5% eye drops. Tetracaine also is effective, but it appears to have a slightly more irritating effect on the corneal epithelium. Proparacaine 0.5% given approximately every 30 seconds for ten doses 10 minutes before the procedure and then followed by about five instillations after the eye has been prepared and draped, immediately before the surgery, almost always gives satisfactory anesthesia. It is even possible to place a superior rectus bridal suture without causing undue discomfort. In most cases, it is preferable to perform a facial nerve block with a modified O'Brien block.45 This approach allows easier and more comfortable placement and retention of the speculum. Because the procedure usually lasts only about 5 to 15 minutes, a short-acting injection anesthetic, such as lidocaine, is appropriate. The relevant anatomic considerations are shown in Figure 4A and B. The operative technique is shown in Figure 10. The iridectomy should be performed so that the only instruments that enter the anterior chamber are the needle that is used to develop a paracentesis track and the tip of the blade that is used to make the corneoscleral incision. The advantages of the paracentesis so greatly outweigh the minute risks associated with it that we believe that it should be performed routinely. The technique is described in detail earlier in this chapter and is illustrated in Figure 5. When properly performed, this procedure is virtually without risk, even in patients with extremely shallow or flat anterior chambers. Without such an opening into the anterior chamber, the integrity of the incision cannot be tested, blood in the anterior chamber cannot easily be irrigated away, and chamber deepening cannot readily be performed. To prevent the tip of the knife used to develop the corneoscleral incision from damaging the iris or lens, it is preferable to use a broad blade, such as the no. 67 Beaver blade. Multiple small scratches are made, with the surgeon verifying that the depth of the incision is uniform from end to end. Some surgeons prefer an anteriorly shelved incision because it tends to close more easily; in the past, many surgeons did not place a suture through this type of incision. However, a perpendicular incision allows the iris to prolapse more readily, gives better visualization, and facilitates the procedure. The availability of fine suture material allows tight closure of the incision with minimal irritation or difficulty. The scissors used to perform the iridectomy should be sharp and should be tested immediately before the procedure to ensure their proper operating condition. We prefer the use of a preplaced suture, as seen in Figure 10. This approach provides a clearer view of the process of creating the corneal incision, it aids in prolapsing the iris, and it allows for immediate closure with a suture that the surgeon knows is perfectly placed. Any of a number of sutures is satisfactory. Absorbable polyglactin [Vicryl (Ethicon, Somerville, NJ)] works well and has the advantage of not requiring removal. A 9-0 nylon suture also is satisfactory; it is thick enough to be used to retract the tissue yet fine enough to be well tolerated. The small fornix-based flap can be closed by stretching it toward one side, especially if a radial relaxing incision approximately 2 mm long and extending from the limbus has been performed (Fig. 11). This closure can be done with the same suture used to close the corneoscleral incision, or it can be coapted with the wet-field cautery. If the scissors performing the iridectomy are held as shown in Figure 12 the iridectomy will tend to be broad based but will remain basal, reducing the chance that the patient will have a disturbing sense of double vision postoperatively. It is important to stress that in a properly performed iridectomy, it is not necessary to insert the iridectomy forceps into the anterior chamber. To do so unjustifiably increases the risk of damage to the cornea, lens, and zonules. If a fine-toothed forceps such as a Bonn forceps is employed, the surgeon must be careful to pull the iris out of the anterior chamber far enough to ensure that the iridectomy will he penetrating. A nontoothed forceps, such as a McPherson tying forceps, offers the relative advantage of providing a less secure grip on the iris, requiring the surgeon to grasp more tissue. The disadvantage, however, is that control of the tissue is less certain, and the forceps must be inserted further into the incision.
After the iridectomy is complete, the iris usually will return spontaneously into the anterior chamber unless it has suffered damage as a result of high pressure (as occurs in severe attacks of angle closure glaucoma). In patients with a reactive sphincter, it usually is necessary only to release the iris from the grasp of the incision. The iris can be stroked into position with the use of a blunt instrument on the corneal surface. Attempting to reposit the iris by directing a stream of irrigating solution into the incision is not recommended; the solution may enter the posterior chamber, forcing even more iris out of the incision. If the surgeon has difficulty restoring the iris to its proper position, injection through the previously placed paracentesis track of freshly mixed acetylcholine usually will solve the problem. In the eye with a dilated fixed pupil and a flaccid iris, it often is preferable to perform a sector iridectomy. Once the pupil is entirely round, the suture placed previously in the corneoscleral incision can be pulled up and secured promptly. Injecting balanced salt or acetylcholine solution through the previously placed paracentesis can deepen the chamber. In patients who have had recent angle-closure attacks and in whom peripheral anterior synechiae may be newly developed, forceful deepening of the anterior chamber at this point may tear open the synechiae and restore normal function of the anterior chamber. The procedure of chamber deepening must be done cautiously, with careful monitoring of IOP. A gonioprism, such as the Zeiss four-mirror lens, can be used with an operating microscope to monitor the effect on anterior chamber angle. At the close of the procedure, the pupil should be round, the chamber deep, and the incision sufficiently closed that there is no leakage. The IOP should be approximately 15 to 30 mm Hg, being raised to that level by injection through the keratostomy. Such a pressure may help prevent subsequent choroidal detachment and allows the integrity of the incision to be tested. If the corneoscleral incision has been properly placed and sutured, there should be minimal transient astigmatism. Vision should return to the preoperative level within several days. If the eye is inflamed, it usually is helpful to instill a short-acting cycloplegic agent such as cyclopentolate. Furthermore, the surgeon may give a subconjunctival injection of corticosteroid, although it rarely is necessary to do so. An antibiotic ointment and a light patch usually are applied until the facial nerve block has worn off. If there is a reasonable chance that the patient will need a filtration procedure at a later date, then the surgical procedure is modified to perform the iridectomy through clear cornea, rather than under a fornix-based flap. The technique is almost exactly the same, with the obvious exception that the incision is placed through clear cornea. Postoperative Care In almost all instances, iridectomy can be performed as an outpatient procedure. However, when associated with severe pain or when the attack of angle closure has been difficult to stop and has required extensive usage of carbonic anhydrase inhibitors and osmotic agents, admission of the patient to the hospital may be justified. Especially in older and infirm patients, the general state of health must be monitored carefully. It is important to verify that the patient has not become overly dehydrated or experienced an attack of congestive failure. The eye patch usually is removed from the treated eye as soon as the facial nerve block has worn off. If the procedure is done on an outpatient basis, a patch and shield may be left in place until the patient returns the next day for the first postoperative visit. A drop containing a corticosteroid can be used topically three or four times a day until the inflammatory response has disappeared, usually 4 to 7 days. Careful attention must be paid to the state of the pupil. The development of posterior synechiae is an important and usually unnecessary complication. Although it is not clear that posterior synechiae predispose the patient to the development of cataract, the presence of such adhesions makes extracapsular cataract extraction more difficult. Because many patients with angle-closure glaucoma will later have cataract extraction, the development of such adhesions may jeopardize the long-term visual result. Furthermore, inability of the pupil to dilate in the dark may limit the patient's visual function, especially in conjunction with a developing cataract. In most cases, dilating drops are used routinely until the inflammatory response has worn off. One acceptable program is to use tropicamide 1% at sufficient intervals to ensure that the pupil is dilated adequately for a period of approximately 1 week. The medication can be continued at bedtime for 2 to 3 weeks, or even longer, until it is certain that the inflammatory response has disappeared. Many patients are given pilocarpine preoperatively. There is a tendency to continue the administration of pilocarpine postoperatively, especially when control of IOP has been difficult. This practice should be discouraged. Pilocarpine will predispose patients to posterior synechiae and should be avoided if possible. The drug of choice for pressure control usually is topical epinephrine, a β-blocker, or epinephrine plus a β-blocker. If these two agents are not adequate, a carbonic anhydrase inhibitor can be used until the eye is entirely quiet, at which time pilocarpine can be reinstituted. In such cases, however, care should be taken to dilate the pupil periodically to prevent the development of posterior synechiae. Some surgeons may be reluctant to use dilating drops for fear of inducing angle closure. This possibility exists, but it is uncommon. Furthermore, it is preferable to know immediately whether the iridectomy has eliminated the possibility of angle closure caused by papillary dilatation. Therefore, this concern is an additional reason to use cycloplegic agents in the immediate postoperative period. Because of the possibility of an increase in IOP after dilatation, however, IOP should be checked carefully after the use of the cycloplegic agent. In addition, IOP should be monitored carefully during the initial postoperative period. Pressure spikes are not uncommon. These spikes are of little concern if the optic nerve is healthy. However, in patients with advanced glaucomatous nerve damage, such pressure spikes can be devastating; they should be avoided if possible. Postoperative evaluations ordinarily are made on the first postoperative day, after 1 week, and after 1 month. If a problem with the control of IOP is suspected, visual fields and disc photographs should be obtained. Complications The most serious complication after iridectomy is malignant glaucoma (aqueous misdirection, ciliary block glaucoma). Eyes predisposed to this complication are those with small anterior segments, typically seen in patients with marked hyperopia or small globes. Furthermore, there is some indication that eyes with high IOP preoperatively may be predisposed as well. Patients who have had an attack of malignant glaucoma in one eye are likely to have the same complication in the second eye. GUARDED FILTRATION PROCEDURES (TRABECULECTOMY) What traditionally has been called a trabeculectomy has become the standard filtration type of surgery for most cases of open-angle glaucoma. The name is a generic one, describing a wide variety of surgical methods, some substantively different from others.46–50 A goal of the original procedure was to allow filtration out of the cut ends of Schlemm's canal. In most cases, this mechanism does not appear to be the actual reason for the decrease in IOP that usually follows. Another theoretic explanation for its pressure-lowering effect, direct access of aqueous humor to the collector channels, bypassing diseased trabecular meshwork or Schlemm's canal, may be the actual mechanism for pressure reduction in a few cases. Exploration of the operative site does not disclose any area of gross filtration in some patients who have effective pressure lowering after surgery. It is likely that in such cases, aqueous humor exits into the collector channels or perhaps through the thinned scleral tissue. In most cases, the mechanism responsible for lowering IOP after guarded filtration procedure is a through-and-through fistula connecting the anterior chamber with the subconjunctival space. As such, the word trabeculectomy is a misnomer. Complete success is possible without removing trabecular tissue. Lamellar sclerokeratectomy would be a more accurately descriptive title, and it has been suggested in the past. However, the term is cumbersome and to some extent, inaccurate, because sclera is not always removed. Because the term trabeculectomy is a significant misnomer, we rarely use it in this chapter. The procedure performed currently functions as a filtration procedure; consequently, it is appropriately called a filtration procedure. When it is performed so that the filtering area is at least partially protected in an attempt to control the amount of filtration, the term guarded filtration procedure is appropriate and is used in this chapter. Consideration of how the operation actually works is not of purely academic interest; it materially affects how the surgery is performed and influences the final result. Patients with gross fistulas with filtering blebs resembling those seen with operations that were popular in the past, such as the corneoscleral trephine, usually achieve lower IOP than patients in whom the filtering bleb is thicker, more posterior, and less cystic. Furthermore, the thinner, polycystic bleb probably lasts longer, providing more years of low IOP. Consequently, if the surgeon wants to obtain IOP that is as low as possible, the guarded filtration procedure should be designed to produce gross filtration. Such a goal has its costs, however. A general principle of glaucoma surgery is that every millimeter of pressure-lowering effect has a price. This principle applies to guarded filtration procedure; the complication rate with procedures designed to produce gross filtration and lower IOP is greater than that with procedures that are more completely guarded and in which a higher final IOP is considered satisfactory, as discussed in detail in the first section of this chapter. The surgeon must carefully consider the major goal of the surgery being planned. For example, for the patient who has uncontrollable angle-closure glaucoma and is predisposed to flat chamber or even malignant glaucoma, the surgeon probably will fashion the scleral flap and suture it in place so that leakage is minimal. On the other hand, for a patient with high myopia with glaucoma that is progressive at a pressure level of 14 mm Hg, the surgeon probably will want to make the flap thin or ensure that there is leakage around the edge of the flap, or both, to have the greatest likelihood of gross filtration with a low final IOP. Factors predisposing patients to the final level of IOP are shown in Tables 14, 17, and 18. As shown in these tables, the more the surgical procedure mimics the classic Elliot corneoscleral trephine, the more reasonable to expect a final low IOP. Also, there is more likelihood of flat anterior chamber, choroidal detachment, cataract development, and a thin cystic bleb predisposing to endophthalmitis. Several modifications have been suggested for achieving a low final IOP with a reduced incidence of side effects. These include the placement of sutures so that they can be released easily in the postoperative period27,51–53 and the transconjunctival cutting of sutures postoperatively with a laser.54–57 These techniques are discussed later in this chapter. In routine cases, we prefer a limbus-based flap (Fig. 13). The development of this type of flap is only slightly more difficult than fashioning a fornix-based flap (see Fig. 11), but its advantages are significant. Compared with procedures performed with a fornix-based flap, the limbus-based operation is more likely to eliminate problems with postoperative leakage through the conjunctiva. In contrast, leakage at the cut edge of the conjunctiva of a fornix-based flap is common in the immediate postoperative period. Furthermore, cooperation under the limbus-based flap tends to be easier than with the procedure performed with the fornix-based flap. In addition, and of great importance, localized deformation of the wound in the immediate postoperative period for the purpose of encouraging filtration is performed more easily and safely when the radial grooves are covered with a limbus-based rather than a fornix-based flap. Because we often use this procedure [the Carlo Traverso maneuver (CTM)],58 the security afforded by the limbus-based flap is welcome. Thus, in most cases, the limbus-based flap is preferred. An exception is the case in which previous filtration surgery has failed and in which development of a limbus-based flap appears unjustifiably difficult and risky. Preoperative Care A careful history should be taken to determine whether systemic medical issues may affect the operative or postoperative course. For example, breathing problems and spinal arthritis may prevent the patient from lying completely flat. Chronic coughing or constipation with straining may increase the risk of postoperative suprachoroidal hemorrhage. Other relevant information includes what allergies are present and if the patient has a proclivity to excessive bleeding. Bleeding studies, such as prothrombin time, platelet count, and, in some cases, bleeding time, are appropriate in certain cases. Patients who are taking aspirin should not do so at least a week preoperatively, if possible. Similarly, anticoagulants should be discontinued long enough preoperatively to allow the coagulation characteristics to return to satisfactory levels. The eye should be as quiet as possible. Long-acting miotics, such as echothiophate, should be discontinued at least 3 weeks before surgery. If possible, pilocarpine or other short-acting miotics also should be discontinued long enough before surgery to allow their effect to wear off. Any signs of medication allergy may warrant discontinuation of the offending agent and sometimes preoperative topical steroids to quiet the inflammation, reducing intraoperative bleeding and postoperative scarring. The purpose of the surgery must be clear to the patient and the surgeon (see Table 1). Full discussion of the reasons for considering the surgery is essential, including alternative therapies and complications. Patients must understand that the usual goal of surgery is not improved visual acuity; visual acuity probably will be different and may be worse after the operation. Postoperative care must be discussed before surgery, with patients having a clear understanding of the need for continuing, careful monitoring of their condition. If it will be difficult for the patient to return to the operating surgeon, other arrangements that are satisfactory to both patient and surgeon must be made before the operation. Before the patient is sedated or anesthetized, the surgeon should again ensure that the patient's expectations and anticipations are realistic. Anesthesia Depending on the patient, surgeon, and procedure, anesthesia may range from general endotracheal anesthesia to topical agents alone. General anesthesia is reserved for patients unable to cooperate and hold still for the duration of the procedure. Retrobulbar or peribulbar injection of short- and medium-acting anesthetics, such as lidocaine and mepivacaine, with or without hyaluronidase are usually adequate. Some surgeons do not include hyaluronidase in the retrobulbar block because it may make the subconjunctival tissues boggy, complicating the surgery and making evaluation of the postoperative bleb more difficult. A facial block, such as a modified O'Brien facial nerve block,45 with approximately 10 ml of a short-acting agent, such as lidocaine or mepivacaine, may reduce lid squeezing. Most patients have only light sedation, such as 4 to 6 mg intravenous diazepam (Valium). In many cases, no sedation is necessary. Surgeons anticipating shorter, routine cases with cooperative patients may be comfortable with topical anesthesia, such as lidocaine jelly and topical tetracaine. If an iridectomy is planned, topical anesthesia may be supplemented with intracameral (nonpreserved) lidocaine 1%. Intracameral lidocaine may result in dilation of pupil, necessitating intracameral miotics before the iridectomy to prevent accidentally large iridectomies. We prefer to perform guarded filtration procedures with a modified O'Brien facial nerve blocky with approximately 10 ml of a short-acting agent, such as lidocaine or mepivacaine, in addition to a retrobulbar block with the same agent. Hyaluronidase is not included in the retrobulbar block because it tends to make the subconjunctival tissues boggy, complicating the surgery and making evaluation of the postoperative bleb more difficult. Most patients have only light sedation, such as 4 to 6 mg intravenous diazepam. In many cases, no sedation is necessary. Many patients are older, and in some, the only eye with useful vision is having surgery; therefore, the sooner the patient can be completely ambulatory after surgery, the better. In addition, in most cases, the goal of surgery is to develop a functional fistula, so it probably is helpful to remove the patch as soon as possible after surgery to encourage blinking and automassage. In some instances, especially with topical anesthesia, it is not necessary to apply a patch at all. In addition, rapid ambulation helps to ensure that the patient maintains a posture that prevents blood from settling in the area of the procedure. The use of short-acting agents and minimal sedation encourages prompt return to full normal function, an important consideration in the older person with sensory deprivation. Operative Technique The limbus-based conjunctival flap should be developed as far superiorly in the superior fornix as possible (Figs. 13 and 14). The conjunctival incision should be sufficiently far posteriorly that it involves the thick tissue overlying the superior rectus muscle; if it is made more anteriorly, the likelihood of leakage through the incision increases. This leakage is especially a problem when agents specifically used to combat postsurgical scarring are employed. Toothed forceps, or even serrated forceps with indentations that are sharp enough to cut the conjunctiva, should not be employed. On the other hand, a common error is to forget the normal elasticity of the conjunctiva and consequently to neglect to stretch the tissue sufficiently to permit clear identification of the edges of the incisions. This problem is a special concern with Tenon's capsule, which tends to retract out of the operative field, and may be overlooked unless specific attention is paid to bringing it into view. To facilitate a posterior incision, a superior rectus bridle suture may be placed and gently affixed to the drape. A second alternative is the corneal traction suture. A 7-0 Vicryl suture is placed through the peripheral cornea, approximately 0.5 to 1.0 mm from the limbus. The suture should be placed at least ½, but not full thickness, with plane of the spatulated needle parallel to the surface of the cornea in midbite, so that the cutting sides of the suture do not create tracks that may facilitate cheesewiring through the cornea. The eye is then rotated inferiorly, the suture entry and exit from the cornea checked for leakage indicative of an inadvertent full thickness passage, and the suture affixed to the drape with two pieces of tape, folding the suture of the first to prevent slippage. Sterile adhesive medication labels work well. The incision in the conjunctiva and Tenon's capsule should be long enough to permit easy retraction of the tissue toward the limbus, providing good visibility. A 10-mm incision is average. It is better to have the incision longer than shorter. If the initial incision is made directly over the insertion of the superior rectus muscle, it should not be carried deep into the tissue, because the muscle could be cut. Rather, the edge of Tenon's capsule and conjunctival tissue should be held firmly, and the underlying tissue separated with blunt dissection. The scissors should be tilted anteriorly toward the limbus to avoid the underlying muscle and the rich vascular network surrounding it. The blunt dissection is continued until Tenon's capsule is completely incised. A second approach is to make the incision in the supertemporal or supernasal quadrant, 8 mm or more posterior to the limbus, through conjunctiva and Tenon's capsule down to bare sclera. This approach avoids the risk of immediate damage to the muscle with bleeding. The scissors are then used bluntly spread and dissect the plane between Tenon's capsule and the sclera horizontally, parallel to the limbus, over the superior rectus. One blade of the scissors is then placed above the conjunctiva, and one beneath Tenon's and the wound enlarge parallel to the limbus. As the incision is enlarged, traction on the internal blade of the scissors away from the globe stretches the tissues over that blade, allowing careful inspection. Before making this enlargement of the wound, the surgeon must ascertain that the superior rectus is not within the tissue to be cut by the scissors. Tenon's capsule, with its conjunctiva, is spread anteriorly over the cornea to give the best view possible of the corneal scleral sulcus. In almost all instances, there is a thin layer of episclera remaining. This layer is grasped and elevated forcibly, permitting development of a 2 × 2-mm buttonhole, through which the bare sclera is easily visible. This episcleral tissue is markedly adherent. The buttonhole should be extended approximately 5 mm temporally and laterally. The forceps are used to grasp the edge of this deep episcleral tissue, and pull it anteriorly and inferiorly, so the surgeon can clean down to bare sclera anteriorly to the corneoscleral sulcus. The sulcus is not readily visible until the episcleral tissue has been reflected from it. In fact, it probably is the single most important landmark with regard to filtration surgery. As seen in Figure 4, the conjunctiva inserts just anteriorly to the corneoscleral sulcus. Dissection to that point can be carried out with relative ease, and with meticulous technique, even 1 mm or so anterior to the groove. More anterior to that, conjunctiva has metamorphosed into the epithelium of the cornea, and attempts to develop a conjunctival flap over the cornea itself are doomed to failure. Furthermore, the trabecular meshwork usually lies near the corneoscleral sulcus. In large eyes, which are common in myopes, a perpendicular incision just anterior to the corneoscleral sulcus would enter the anterior chamber well anterior to the iris root. In contrast, in small eyes, which are found in most hyperopes, an incision at the same point also would enter the anterior chamber but just in front of the iris root. When these eyes have extensive peripheral synechiae, an incision made with a sharp blade through the corneoscleral sulcus will penetrate into the posterior chamber, which obviously is not the location for most glaucoma procedures. Consequently, in small eyes with small anterior segments, especially in association with angle closure, the surgeon must place the corneoscleral incision more anteriorly than usual and be certain that the incision actually is entering the anterior chamber. In such cases, it may be necessary to shelve the incision anteriorly. This problem clearly affects patients with acute or chronic primary angle-closure glaucoma. We prefer to clean the conjunctiva meticulously until no fibers are crossing the corneoscleral sulcus. The most effective method is to use a no. 67 Beaver blade held at a 45-degree angle from the direction of the incision. Only the pointed tip is used to cut the tissue (see Fig. 13A). The dissection is continued anteriorly until the conjunctiva can no longer be cleaned further anteriorly. The corneoscleral sulcus should be free of fibers for a width of approximately 4 to 5 mm. Partial cleaning of the area posterior to the corneoscleral sulcus can be accomplished in a variety of ways, including grasping the Tenon's episclera and pulling it anteriorly and inferiorly, scraping the surface of the sclera in a semiblunt fashion with the edge of the blade, and pushing the tissue with the tip of a Weck-cell sponge (Xomed-Treace, Jacksonville, FL) or similar dry sponge. Such techniques almost always are only preparatory, and they do not clean the sulcus adequately. We emphasize this point because a frequent cause of failure of filtration procedures is blockage of the site of attempted filtration as the result of an excessively posterior incision, and the usual cause for an excessively posterior incision is failure to reflect the conjunctiva-Tenon's episclera sufficiently anteriorly. Some surgeons excise Tenon's capsule, especially where it appears to be redundant or particularly profuse. This practice is thought to increase the rate of success and to result in a thinner, more cystic conjunctival filtration bleb. Few studies have evaluated the advantages and disadvantages of this technique. However, it has the disadvantage of predisposition to a thinner, more fragile covering to the filtering bleb, with a greater incidence of postoperative complications, and it does not appear to result in lower IOP.59,60 A fornix-based approach, beginning with a peritomy, may also be used. The conjunctiva can be cleaned from the limbus by making an incision directly at the limbus at approximately the 11 o'clock position and performing a peritomy clockwise to approximately the 1 o'clock position (see Fig. 11). The addition of a relaxing incision at the 11 o'clock position allows better visibility and improves the closure. The limbal area is cleaned meticulously, and the conjunctival-Tenon's tissue is undermined to facilitate final closure of the fornix-based flap. The corneal epithelium directly at the limbus between the 11 and 1 o'clock positions should be removed 1 mm anterior to the limbus. Wet-field cautery is an excellent instrument for this. Care should be taken to test the power level of the cautery on the sclera or gently at the limbus first, to prevent unintended thermal damage to the cornea. High cautery settings may thus create astigmatism, but this usually reverses in days to weeks during the postoperative period. After the limbal area has been meticulously cleaned, either with a fornix-based or a limbus-based flap, light cautery outlines the position of the scleral flap (Fig. 15B). The shape of the flap is unimportant but in the routine case. We prefer one that is approximately 2 mm wide circumferentially and 3 mm long radially. This rectangular flap is easy to dissect and involves relatively little scleral tissue. A no. 67 Beaver blade is used to incise the sclera in the area outlined by the cautery. This incision should be at least half and preferably two thirds the thickness of the sclera. Magnification of the operating microscope usually is increased during the creation of the scleral flap. If the surgeon is right handed, the right-hand posterior corner of the scleral flap is grasped with a forceps such as the Pierce-Hoskins forceps. This instrument has indentations but no teeth and, therefore, is not likely to penetrate or tear the scleral flap. Even in cases in which the surgeon wishes to develop a thin scleral flap, it is preferable to start the dissection with a thick flap, at least one half the scleral thickness (see Fig. 13C). As the surgeon proceeds, the flap can be thinned to the proper thickness. The no. 67 Beaver blade may be used to dissect the flap. The knife should be held as parallel to the brow as possible, because this position facilitates dissection of the flap (see Fig. 15D). Finer, sharper “superblades” are useful when making very small scleral flaps. The thickness of the flap must be monitored carefully as it is developed. The surgeon should be careful never to dissect blindly but always must see the tip of the knife. Flipping the flap forward and back, so that the surgeon sees the outside and then the inside, can help in estimating the thickness of the sclera. The assistant should be diligent in sponging to keep the view of the dissection as clear as possible. We prefer to keep the scleral flap dry rather than to irrigate it; irrigation tends to hide the landmarks at the depth of the flap. Firm traction should be placed on the scleral flap that is being developed so that cutting is performed against traction. The flap is extended for at least 1 mm and preferably 2 mm anterior to the junction of the white sclera with a clear cornea (see Fig. 15E). Once the flap has been developed, and before the anterior chamber is entered, a paracentesis is formed with a short, sharp, disposable 25-gauge needle (see Fig. 5). We believe that the placement of this paracentesis track is vitally important. An alternative method is a stab type, uniplanar, temporal paracentesis. The stab-type paracentesis tends to leak more as balanced salt solution is instilled, which may make evaluation of fistula outflow more difficult. However, this paracentesis is more easily accessed, both intraoperatively and postoperatively and may be helpful if postoperative anterior chamber reformation is necessary. The anterior chamber is entered by incising through the sclera in a radial fashion, along the right-hand line of radially placed cautery. Multiple light scratches are placed, and the blade is kept vertical so that entry will be as close as possible to the anterior extent of the scleral flap. A sharp blade such as a diamond knife or superblade can be employed, but unless used with a guard, these blades are likely to penetrate into the iris. These sharper, more pointed blades make it possible to enter more anteriorly, which is a real advantage. But they must be used cautiously to avoid damage to the iris and lens, with subsequent development of cataract. The incision is made long enough so that its posterior edge is just posterior to the junction between the white sclera and the clear cornea. If the posterior extent of the incision is not long enough at the time of entry, the incision is lengthened. Vannas scissors are placed into the anterior chamber, with the surgeon making certain that the tip neither penetrates into the iris nor splits the sclera. This entry is assisted by lifting the area to be excised with a fine forceps, such as a Pierce-Hoskins forceps, and depressing the bed of the sclera with the edge of the Vannas scissors. The scissors must not be directed in an angled fashion so that they extend through the iris into the lens and underlying zonules. After the radial groove has been made, the block must be excised. There are advantages to cutting the anterior aspect of the block first, and advantages to cutting the posterior edge of the block first. To some extent, the method that is used depends on each eye and what occurs at the time of the surgery. Once the Vannas scissors is placed so that one blade is definitely in the anterior chamber, it can be moved anteriorly as far as possible so that it pushes firmly against the base of the scleral flap, where it is attached to the cornea. In the right eye, it usually is easier to use the right hand to hold the Vannas scissors. The left hand is used to fix the sclera at the posterior edge of the bed. The left hand pulls the globe superiorly in the direction of the brow, and the right hand pushes the Vannas scissors inferiorly toward the nose. The goal is to ensure that the section is placed as far anteriorly as possible, so that no ledge of cornea will be left. The blade of the Vannas scissors should be held exactly perpendicular to the cornea so that the cut is not shelved. The outer blade should be directly over the inner blade, as shown in Figure 15G. Once the anterior aspect of the block has been cut, the fixation on the posterior edge of the bed is released. The assistant who is holding the scleral flap anteriorly to ensure adequate visualization continues to hold the flap firmly. The left hand holds the anterior edge of the block and pulls it anteriorly (inferiorly) toward the nose. The Vannas scissors move posteriorly (superiorly) toward the brow, and the posterior edge of the block is incised. Again, the surgeon holds the scissors absolutely vertically so that the sclera will not be cut. Just as the anterior aspect of the block was incised all the way to the radial groove, the posterior block is incised all the way to the nasal radial groove. The surgeon changes hands, holding the Pierce Hoskins forceps in the right hand and the Vannas scissors in the left hand. The block is held with the right hand and amputated with the Vannas scissors, leaving the desired amount of ledge, usually 0.25 to 0.5 mm. When the block is removed, it should be inspected (see Fig. 15H). If it is not exactly rectangular with edges that are completely unshelved, then it has not been taken properly. The surgeon should note the error so that it can be corrected at the next surgical procedure. The corneosclera to be excised does not include sclera posterior to the scleral spur. Thus, there is no chance of performing a cyclodialysis and much less of a chance of injuring the large vessels that form such a rich plexus where the ciliary body attaches to the scleral spur. A second approach to anterior chamber entry and ostomy creation is to use a sharp blade to make an incision parallel to the iris at the far anterior extent flap bed, under the flap. Keeping the blade parallel to iris, entering similar to the creation of the phaco-tunnel, reduces the risk of damage to the lens and iris. A sclerocorneal punch, such as a Kelly-Descemet punch, is then introduced parallel to the iris, under the flap, through the incision. The punch is then rotated vertically so that it is perpendicular to the bed of the flap. The punch is then used to make several bites, usually near the temporal side of the flap bed, to create an ostomy. After each bite the punch is removed and the excised piece is wiped off with a sponge, and the punch reintroduced. Experience with the punch and care not to use excessive posterior pressure allows for the gentle creation of an ostomy of the desired dimensions with sharp, vertical edges. How much ledge the surgeon wishes to leave and how thin the surgeon wishes to fashion the scleral flap should have been determined carefully before surgery. These decisions will depend on the desired postoperative result (see Table 16). The thinner the flap, the lower the pressure; the smaller the ledge, the greater the likelihood of postoperative flat anterior chamber. An iridectomy is performed (see Fig. 15I). To ensure that the iris tissue does not plug the guarded filtration procedure site, the iridectomy should be large enough so that no edge of the iris is visible through the area of excised sclera. The scleral flap is sutured in place with 10-0 nylon. The suture is placed at a 45-degree angle to both the posterior and the radial edges, so that as the suture is tightened, the scleral flap will return to its proper position. An additional suture is placed at the other posterior corner (see Fig. 15J). Scleral flap sutures should be ½ to 2/3 thickness through the peripheral ½ mm of the flap. This reduces full-thickness holes through the flap that may allow excessive leakage. Longer bites on the scleral side allow easier suture isolation and viewing for possible postoperative laser suture lysis. Unless it is clear that there has been much scleral contraction and that the scleral flap has not closed adequately, at this point, the anterior chamber is filled with balanced salt solution through the previously placed paracentesis (see Fig. 15K). The surgeon monitors carefully the IOP with a finger placed on the cornea. If the anterior chamber cannot be formed readily, then additional sutures are placed until that can be achieved (see Fig. 15L). If the anterior chamber forms readily and the globe becomes firm, the surgeon tests the area of the procedure with sponges to determine whether fluid actually can leak through the radial edges (see Fig. 15L). Leakage through the posterior edge of the flap is undesirable because that portion almost always will scar closed, at which time the procedure will fail. Leakage, minimal or marked, through the radial incisions is the surgeon's goal. The amount of leakage is adjusted appropriately by applying cautery to shrink the edges of the radial incision or by placing additional sutures. It has not been determined whether the actual amount of leakage of aqueous humor through the sclera affects the final level of IOP. However, it certainly affects the immediate postoperative course, and it probably affects the final IOP. When leakage is marked, so that the anterior chamber collapses spontaneously, the eye is predisposed to flat anterior chamber and hypotony, two undesirable postoperative complications. When there is no leakage, the eye is predisposed to excessive elevation of IOP postoperatively; although this elevation is an undesirable complication, in almost all cases, it can be handled by removing a releasable suture or cutting a laserable suture. We prefer to close the scleral flap sufficiently tight so that when balanced salt solution is injected through the paracentesis, the IOP will be raised to approximately 30 to 40 mm Hg. After the injection is stopped, the IOP ideally should fall gradually to approximately 10 to 20 mm Hg and remain in that range. If the scleral flap has been fashioned improperly so that it is too thin and contains tears, it may not be possible to close the flap tightly enough to maintain the desired level of IOP. In such cases, a viscoelastic material may be injected into the anterior chamber. However, we prefer not to use viscoelastic materials routinely. In practice, this method rarely is employed but may be used particularly in cases with extremely high preoperative pressures, requiring higher early postoperative pressures to reduce the risk of complications. If the surgeon does not believe that sutures will be able to be released with a laser, externalized releasable sutures should be used (see Fig. 7). If the pupil can be dilated, atropine 1% is instilled at this point and repeatedly to ensure that it is dilated at the conclusion of the operation. If a fornix-based flap was developed at the start of the guarded filtration procedure, the corner at the 11 o'clock position is pulled forcibly counterclockwise so that the cut edge of the conjunctiva completely covers the area of the scleral flap. This corner is sutured into the episclera immediately at the limbus, with care taken to avoid the episcleral blood vessels. A purse-string technique is used to ensure a watertight closure. A 10-0 nylon suture can be used. Some surgeons prefer to use an absorbable suture such as 9-0 PDS, but these sutures are more likely to produce a foreign body sensation in the postoperative period. The relaxing incision is closed with a running suture so that the conjunctiva is pulled tightly over the sclera and the incision is watertight. A running mattress suture also may be used but usually is unnecessary. If a mattress suture is used, it must be placed so that the conjunctiva is stretched firmly to prevent leakage. Some surgeons prefer to close with two “wing-type” sutures, one at either side, placed just anterior to the limbus with the tissue stretched firmly between them. Some surgeons pass these sutures twice through the conjunctiva and cornea to reduce early suture slippage. A purse string may be used to close any “dog-ears” at the lateral edges. If a limbus-based flap has been performed, the incision is closed in two layers. Tenon's capsule is sutured to Tenon's capsule, with care taken to avoid penetrating the conjunctiva. This closure is facilitated if the surgeon starts at the right-hand side of the incision and proceeds clockwise, locking the running sutures. Four to six locked sutures usually are adequate. The suture is exteriorized through the apex of the conjunctival incision, and the conjunctiva is closed in a counterclockwise fashion with multiple running sutures. The surgeon should be careful to approximate the edges of the conjunctiva together without including the underlying Tenon's capsule. The sutures are placed approximately 1 mm apart to ensure a watertight closure. We prefer to use a soft suture such as 8-0 Vicryl on a vascular needle. Other appropriate suture materials are 9-0 Vicryl or 9-0 PDS. Another option is 10-0 nylon, but this material is technically more difficult to use, tends to be more difficult to pull up tightly, and predisposes to leaking incisions. Silk suture should be avoided because this material predisposes to fistulas. After the conjunctival flap has been closed, a 30-gauge blunt needle on a bottle of balanced salt solution is placed through the paracentesis into the anterior chamber, and balanced salt solution is irrigated into the anterior chamber (see Fig. 15M). As this irrigation is done, the surgeon's index finger should monitor the firmness of the pressure of the globe. The IOP should not rise above 40 mm Hg as the irrigation is performed. The IOP, however, should rise, and if some firmness does not develop in the eye, say a pressure of 10 mm Hg, additional sutures should be placed. As the saline is injected, a bleb should develop overlying the scleral flap (see Fig. 15M). This bleb should continue to enlarge as the surgeon continues to irrigate into the anterior chamber. At the end of the procedure, the eye should have a well-closed conjunctival flap without extruding Tenon's capsule and without leakage; a totally formed anterior chamber; an adequately dilated, round pupil; and a satisfactory conjunctival bleb (see Fig. 15N). If the eye does not look right at the end of the surgery, the result probably will not be as good as the surgeon and the patient would like. In some cases, subconjunctival betamethasone 3 mg may be injected deep into the inferior fornix. Caution should be used to ensure that it does not dissect up underneath the conjunctival flap superiorly. Modifications of Technique The surgeon should alter the technique according to the desired goal (see Table 16). A surgeon who is considering releasing sutures postoperatively by burning them with a laser, usually will place a 10-0 nylon suture in the middle of the posterior edge of the scleral flap. This approach will permit release of the sutures on either corner of the scleral flap with a laser while maintaining the integrity of the incision and preventing excessive leakage. In some cases, the surgeon may believe that it will not be feasible to release sutures with the laser. When the conjunctiva is thick or scarred, or when there may be subconjunctival bleeding, it may be impossible to see the sutures clearly enough so that they can be released with a laser. In some cases, the tissue may be too thick to permit laser cutting, and releasable sutures are recommended. If the surgeon wishes to obtain low IOP postoperatively, the guarded filtration procedure can be changed to a full-thickness procedure by removing all of the sutures in the sclera flap. If that is the surgeon's goal and there is a reasonable likelihood that the sutures will not be able to be cut with a laser postoperatively, then all of the sutures should be placed in a releasable fashion. Because suture release is often important to the success of the surgery and because it is not always possible to cut sutures with a laser, we prefer releasable sutures. One technique for using releasable sutures is shown in Figure 7. The basic principle is to place the suture so that the ends are exteriorized, permitting easy release postoperatively. USE OF AGENTS THAT ALTER INFLAMMATION AND WOUND HEALING Probably the most significant change in the technique of glaucoma surgery in the past 10 years has been the introduction of agents that strongly affect the way wounds heal.28–34,61–76 It has been known for many years that postoperative scarring is one of the major causes of unsuccessful filtration procedures. Efforts to alter postoperative inflammation use a variety of techniques, including corticosteroids and nonsteroidal anti-inflammatory agents, irradiation, and agents such as heparin. However, the introduction of 5-FU by Heuer and co-workers30 at the Bascom Palmer Eye Institute represented a major step forward. The carefully done collaborative study sponsored by the National Institutes of Health established without doubt that 5-FU administered postoperatively results in lower IOP by promoting filtration. Since then, many other agents have been studied, including weaker and less dangerous substances, such as trifluridine, which was shown by Katz and co-workers74 to produce a small decrease in IOP in comparison with untreated cases, and more potent agents, such as mitomycin, which was studied by Chen in Taiwan and Skuta and colleagues76 at the University of Michigan, and others.69,70,75 Indications (see Table 19) This discussion is limited to three agents—corticosteroids, 5-FU, and mitomycin—not because these are the only agents, or the best ones, but because they represent a spectrum offering the ophthalmologist a wide choice and because they are the most extensively studied agents. Nonsteroidal anti-inflammatory agents applied topically do not appear to have a beneficial effect on glaucoma filtering procedures and are not indicated in the postoperative care of patients who undergo glaucoma surgery. Because 5-FU and mitomycin result in lower IOP in many patients and because there is current interest in achieving lower IOP than in the past, many surgeons tend to conclude that 5-FU or mitomycin should be used in association with most, if not all, glaucoma surgery. Some surgeons recommend these agents not just in cases in which a less than satisfactory result is expected, but in all cases, including primary cases. This practice is, in our opinion, unwise. The lowering of IOP achieved by 5-FU and mitomycin comes at a cost. The short-term inconvenience or short-term side effects are less of a concern than the long-term effect on the eye and, most importantly, the patient. The goal of glaucoma surgery, as discussed earlier, is not to lower IOP but to help restore the wholeness of the patient. When antimetabolites result in low IOP, they do so by encouraging filtering blabs that are thin, ischemic, and highly elevated. Corneoscleral trephines and other similar full-thickness procedures tended to produce this type of bleb, and this tendency led surgeons such as Cairns46 and Watson50 to develop alternative methods of surgery. The blebs occur in patients who undergo full-thickness filtration procedures and in those in whom antimetabolites are used. These blebs predispose patients to endophthalmitis, approximately 1% per year when the bleb is located superiorly. In addition, eyes with high, thin blebs leak aqueous through the bleb, with resulting unpredictably low pressures. The Seidel test originally was developed to determine whether a bleb was working properly, that is, leaking aqueous through the conjunctiva. Blebs that occur after antimetabolite administration often have positive Seidel test results. This problem predisposes patients to endophthalmitis and a variety of other problems. Hypotonous eyes have unstable refraction, which results in disturbing changes in vision. In addition, especially in younger patients, macular edema develops in a significant percentage of eyes with IOP of approximately 6 mm Hg or when IOP is lowered 6 mm Hg or more.27,50–52 This hypotony-macular edema syndrome may occur with IOP as high as 12 mm Hg, although it usually is limited to eyes with much lower IOP. Among the most serious problems facing patients who have high, excessively filtering, thin blebs, and the type of bleb that results from 5-FU and mitomycin administration are photophobia and discomfort. For example, the pressure in the eye is 6 mm Hg, and, although the surgeon may be delighted, the patient is miserable. These problems are especially common when the filtering blebs are not underneath the upper lid. In such cases, the development of a dellen adjacent to the bleb is routine and usually is associated with significant disability. Surgeons who use antimetabolites in glaucoma surgery also should discuss the potential risks with the operating room and nursing committees in their institutions. At the Wills Eye Hospital, these agents are treated in the same manner as any carcinogen: Any material with which they come in contact is handled as if it is radioactively contaminated and is discarded in containers designed for radioactively contaminated materials. Antimetabolites The more potent the antifibrosis agent, the greater the potential for both help and harm.27,28 Although 5-FU is less effective than mitomycin in developing successful filtering blebs, the long-term side effects of 5-FU, both ocular and systemic, also are less serious than those of mitomycin. Similarly, 5-FU is more effective and has fewer side effects than topical corticosteroids. Consequently, there is a theoretic justification in matching the type and dose of antimetabolites (wound healing suppressants) with the anticipated likelihood of failure of the procedure. The greater the likelihood of failure, the more potent the agent to be used. Tables 17 and 18 list some of the factors that predispose to success and to failure. The optimal dose has not been established with certainty. These considerations are covered more fully under the discussion of each agent. Topical Corticosteroids The use of topical corticosteroids is an essential part of almost all glaucoma surgery. Inflammation must be prevented as much as possible in all glaucoma surgery, whether it is laser iridectomy or a Molteno shunt procedure. The dose-response relationships of topical steroids have not been studied extensively in glaucoma surgery, but there is little evidence that administration of topical corticosteroids in doses that exceed the equivalent of prednisolone acetate 0.1% four times daily is significantly beneficial. The response appears to be biphasic. When inflammation appears to be significant, or the predisposition to inflammation is great, administration of corticosteroid eye drops as frequently as every hour may be indicated for several days. However, the propensity of eyes with open-angle glaucoma, as well as several other types of glaucoma, to have a steroid-induced rise in IOP should be recalled, and the complicating nature of this rise in pressure on the postoperative course kept in mind. In addition, topical corticosteroids can produce cataract. The effect of fluorometholone and some of the newer congeners of fluorometholone, which appear to have less propensity to cause elevation of IOP, have not been studied adequately. They may offer a theoretical advantage, but the current drugs of choice are dexamethasone phosphate 0.1%, prednisolone phosphate 1%, or prednisolone acetate 1%. A satisfactory routine for most patients who have undergone uncomplicated filtration procedures is prednisolone acetate 1% four times daily for 2 weeks, three times daily for 1 week, twice daily for 1 week, and then once daily for 1 week (Table 22).
Table 22. Typical Postoperative Schedule*
*This schedule is a guideline only. Actual treatment will vary in relation to many factors, such as access to care, state of the eye, and general health. †For example, tropicamide or cyclopentolate. ‡Onset of severe pain is an indication of a complication. §Examination should include estimate of anterior chamber depth, visual acuity, and ophthalmoscopy.
Subconjunctival corticosteroids may cause subconjunctival bleeding. Their routine use can be neither recommended nor discouraged because they have not been studied adequately. They appear unnecessary for routine cases. However, repository steroids are contraindicated because they may cause an intractable elevation of IOP, requiring surgical removal of the steroid. Some glaucoma surgeons have used systemic corticosteroids for many years. These agents have significant systemic risks, and their use in routine cases cannot be recommended on the basis of clinical studies. We use oral steroids in our surgical patients extremely rarely. 5-Fluorouracil The optimal schedule for using 5-FU has not been determined. Furthermore, although it is apparent that the agent works more effectively in some patients than in others, it is not known how to identify patients in whom 5-FU has its greatest effect. It is reasonable to assume that the patients with the greatest likelihood of surgical failure are those in whom the drug must be used most vigorously. Related factors are listed in Table 19. There are two major methods of application: intraoperative and postoperative. INTRAOPERATIVE USE. Major advantages of the intraoperative use of 5-FU include its ease of administration, the avoidance of postoperative injections,62,65,66,81 and a significant decrease in side effects, especially corneal side effects, that are associated with postoperative injections. The main disadvantage is the increased seriousness of a complication, such as a leaking conjunctiva. A limbus-based flap should be used when 5-FU is given intraoperatively, because it is difficult to close fornix-based flaps in a way that ensures that they will not leak. The incision in the conjunctiva should be made as high in the superior cul-de-sac as possible, over the insertion of the superior rectus muscle. Conjunctival incisions that are made preparatory to limbus-based flap procedures for any type of filtration procedure should be placed in this area. When an antimetabolite is not used, the surgeon has a greater margin of error because of the tendency of the eye to heal itself. The surgeon does not have this luxury when using an antimetabolite. All personnel who use 5-FU or mitomycin should wear disposable gloves and other appropriate equipment. A fluid-retaining sponge, such as a Weck-cell sponge, is fashioned to be approximately 3 × 3 mm in length and width, and about 0.5 mm in depth. The sponge is soaked in 0.1 to 0.2 ml of 5-FU that has been withdrawn directly from an undiluted vial of 5-FU. The 5-FU concentration should be 50 mg/ml. The sponge is placed on the sclera over the area of the scleral flap. The sponge is left in position for 5 minutes. The conjunctiva is pulled over the sponge so that the Tenon's capsule side of the conjunctiva is in contact with the sponge impregnated with the 5-FU. The sponge is removed with a forceps that can be passed off of the tray, and the sponge is discarded in a container designed for disposal of toxic material. Fluffs are placed around the eye to absorb the irrigating solution, and the eye is irrigated with 5 to 15 ml of balanced salt solution. The fluffs and other contaminated materials are discarded in the special container. The nurse dispensing the 5-FU and the assistant picking up the fluffs wear disposable gloves before irrigation is done. After the 5-FU has been irrigated and the eye cleaned completely, the disposable gloves are discarded, and the procedure continues. Some surgeons prefer to make the radial and posterior scleral grooves first, and to develop the scleral flap before applying the 5-FU. This approach has the advantage of delivering a more concentrated dose of 5-FU deep into the sclera. Its disadvantage is that the material cannot be used if the flap is made improperly so that the anterior chamber is entered. The scleral flap usually is fashioned so that it is at least one third of the thickness of the sclera. Thinner flaps tend to leak excessively, predisposing patients to unwanted flat anterior chambers. It is inadvisable to use 5-FU if there is a possibility that the agent can get into the anterior chamber. Releasable or laserable sutures, or both, can be employed. However, the time at which sutures are cut differs from the suture cutting time when an antimetabolite is not used. The effect of suture cutting in eyes that have been treated with 5-FU tends to be more dramatic than in cases in which the antimetabolite is not used. Furthermore, it is possible to cut the sutures as late as 1 month postoperatively and still have a significant effect. This situation never occurs in patients who have not been treated with antimetabolites and whose sutures must be cut within 10 days or, in some cases, as early as 5 days, if cutting the sutures is to have a significant effect. The amount of flow through the scleral flap is checked carefully, as it is in all patients who undergo guarded filtration procedures. However, here, it is doubly important. If the anterior chamber cannot be reformed easily when balanced salt solution is injected through a paracentesis track into the anterior chamber, additional sutures are placed until the goal can be achieved. At the end of the operation, as with all filtering procedures, balanced salt solution is injected through the paracentesis track. The injection is continued until the bleb becomes greatly elevated, approximately 180 degrees superiorly. After the bleb is elevated, sponges are used to test the incision and inspect the conjunctiva to ensure that there is no leakage. If the surgeon is not completely confident about the surgical technique or is relatively inexperienced in using 5-FU or performing guarded filtration procedures with antimetabolites, it is best to paint the conjunctiva and incision with fluorescein and examine the patient's eye under a blue light to determine whether there is any leak age. Leakage must be corrected (see discussion of complications). An additional technique, used now by some of us, is to raise a bleb inferotemporally about 3 to 5 mm posterior to the limbus with a highly cohesive viscoelastic material. The 5-FU is then placed by inserting the no. 30 needle on the syringe containing 0.3 ml 5-FU through the bleb of viscoelastic and advancing the needle cautiously towards the nasal aspect of the globe, injecting the 5-FU slowly. This develops an area of conjunctival elevation in front of the needle tip, helping avoid penetrating the conjunctiva. The remaining contents of the syringe are then injected, making a bleb inferonasally. POSTOPERATIVE USE. Initially 5-FU was used as an adjunct to glaucoma surgery by subconjunctival administration during the postoperative period.28,30–34,63,64,68,71–73 The initial dose increased the success rate significantly, but it was associated with significant side effects, most of which were related to the cornea. Attention to the method of administration can reduce the side effects dramatically. Using a 30-gauge needle and making sure that it is introduced for a distance of at least 1 cm is important; after the injection, the eye is irrigated copiously. In addition, in many cases, fewer injections are needed than were used in the initial study. Before administering 5-FU, disposable gloves are placed on both hands. The 5-FU is drawn directly from the vial of 5-FU as it comes from the pharmacy. The vial contains 10 ml of 5-FU 50 mg/ml. The conjunctiva is anesthetized by multiple instillations of topical anesthetic or, preferably, by the placement of a pledget of anesthetic that remains in the inferior cul-de-sac for 5 minutes. The 5-FU 0.1 ml is drawn directly from the vial into a tuberculin syringe. The needle is removed and replaced with a short, sharp, disposable 30-gauge needle. With the patient seated comfortably at the slit lamp, and the eye anesthetized, the needle is placed in the subconjunctival tissue, usually in the inferior cul-de-sac, and advanced so that the tip is at least 1 cm away from the point of entry. The further the needle can be introduced under the conjunctiva, the more likely it is that the 5-FU will not leak out from the needle puncture site. This leakage from the needle puncture site is the major cause for corneal complications that are related to the use of 5-FU when it is given by injection. The frequency of injection of 5-FU varies with the need to suppress postoperative inflammatory response. The patient is examined carefully after the surgery to verify that there is no buttonhole, tear in the conjunctiva, or other contraindication to the use of the 5-FU. If there is no contraindication, then the injections may be given on the first postoperative day and then for a total of 5 to 10 injections. One satisfactory routine is to give the injections every other day for 2 weeks, although some prefer to give them daily for 1 week. It is not known which routine works best. If corneal decompensation occurs, the injections usually are stopped until the cornea has cleared, although the corneal changes are not an absolute contraindication to the continuing use of the 5-FU. Mitomycin Mitomycin is given intraoperatively in the same manner as 5-FU.34,75,76,82–84 The major differences involve dose and time of administration. Because they are the group most likely to have hypotonus maculopathy, mitomycin is used with particular caution in young myopes. However, when the surgeon is convinced that a filtration procedure is the optimal approach, and a good limbus-based conjunctival flap can be developed, mitomycin may be appropriate. However, its ability to cause serious ocular damage and its uncertain intraocular effects must be kept in mind.77–80 We perform a limbus-based flap when using mitomycin. All personnel using mitomycin should double glove. Concentrations of 0.2 to 0.5 mg/ml have been used. When a concentration of 0.3 mg/ml is used, we usually leave the sponge on the sclera for 2 to 4 minutes. When a concentration of 0.2 ml is used, some surgeons leave the sponge in place for a longer period (4 to 5 minutes). The sponge is placed over the area where the scleral flap for the guarded filtration procedure is to be prepared, although some surgeons prefer to develop the flap before applying the mitomycin. The conjunctiva is pulled back over the sponge so that the surface adjacent to the globe is in contact with the mitomycin. The tissue is held so that the cut edge of the conjunctiva-Tenon's flap does not come in contact with the mitomycin. The sponge is held in place for 1 to 4 minutes. After the desired time, the sponge is removed and discarded in a special container for toxic waste. The eye is irrigated with 15 to 30 ml of balanced salt solution. Some surgeons prefer to use larger volumes. The irrigation fluid is collected carefully on fluffs, and these are discarded in the toxic waste container. The drapes are drained of all residual fluid as well. Postoperative Care After a guarded filtration procedure, the pupil should be kept adequately dilated, inflammation minimized, and the eye protected from direct internal or external pressure. One regimen is atropine 1% four times daily and a potent corticosteroid, such as prednisolone acetate 1%, four times daily. A typical postoperative schedule is shown in Table 22. The goal is to minimize inflammation, check for infection and other complications, and maintain the state of the eye, including IOP, in a condition that is expected to ensure long-term success. If the scleral flap has been difficult to close or if there is concern about excessive filtration or leakage from the conjunctiva at the end of the procedure, a light patch may be left in place for approximately 24 hours before the first dressing is applied. At the first postoperative evaluation, the surgeon asks the patient about pain and its nature. The eye may ache slightly, but severe pain usually is an indication of a complication. The sudden, immediate onset of excruciating pain, sometimes after coughing, sneezing, or straining at stool, almost always is pathognomonic of an expulsive, suprachoroidal hemorrhage. More gradual development of severe, deep pain may signal an endophthalmitis. Rapidly rising IOP also can cause pain of varying degree and severity. Also included in the postoperative evaluation should be an estimate of acuity, IOP, nature of the bleb, character of the anterior chamber (depth and reaction), shape of the iris, size of the pupil, and funduscopy. Some postoperative complications have specific findings, such as the sudden onset of excruciating pain that characterizes a suprachoroidal expulsive hemorrhage or the pooling of aqueous humor behind the lens or vitreous face in malignant glaucoma (aqueous misdirection syndrome). However, in most cases, the combination of the level of IOP, the appearance of the bleb, and the depth of the anterior chamber gives the most valuable information. If IOP is high, the bleb is flat, and the chamber is deep, it is clear that adequate filtration is not occurring, and the CTM should be applied.58 If the CTM chamber is excessively shallow, the eye is soft, and the bleb is extremely high, excessive filtration probably is occurring. The surgeon can apply cycloplegic agents in the maximum tolerated dosage, including repeat instillations of atropine and phenylephrine. The four major factors that we watch postoperatively are the height of the bleb, the level of IOP, the depth of the anterior chamber, and the size of the pupil. These factors usually make it possible to determine whether there is pupillary block, aqueous misdirection, excessive filtration, or inadequate filtration and to allow the surgeon to take the appropriate steps (Table 23).
Table 23. Diagnosis of Postoperative Complications of Glaucoma Filtering
Surgery
Once the anterior chamber is maintaining a well-formed condition, long-acting cycloplegic agents, such as atropine, can be discontinued. As soon as the intraocular inflammation begins to resolve, the topical steroids can be tapered, and, in most cases, they should be discontinued within 3 weeks of surgery. Longer usage predisposes patients to cataract and steroid-induced glaucoma. Systemic steroids are used by some surgeons, and they may increase the success rate arid tend to produce an eye with a thin, polycystic bleb and a low final IOP. The complications of systemic steroids, however, are significant, and must be taken into account. One of the most helpful maneuvers after a guarded filtration procedure is the CTM,58 which is shown in Figure 16. This technique of applying pressure in a localized fashion directly over the radial edge of the scleral flap is appropriate for guarded filtration procedures that are performed so that the scleral flap overlies a small edge of underlying cornea and sclera. Localized pressure at the radial edge of the flap deforms the edge, disrupting the union between the overlying scleral flap and the underlying corneosclera. Thus, gentle pressure will encourage aqueous to flow through the radial edge of the scleral flap unlike the technique that has been used for generations to encourage aqueous to flow out of a sclerostomy.54 This technique involves pressing oh the globe, which increases the IOP and causes the underlying sclera and cornea to be pushed up against the overlying scleral flap, making the apposition between these two tissues even tighter. Thus, this technique does not work well in patients who have had a guarded filtration procedure and may be more likely to force iris into the internal ostomy opening. The CTM is performed by anesthetizing the eye well with several instillations of proparacaine 0.5%.58 A sterile, cotton-tipped applicator is soaked with the anesthetic agent. With the patient observed at the slit lamp, the upper lid is lifted, the patient is asked to look down, and gentle pressure is applied with the tip of the applicator directly over one of the radial grooves of the scleral flap. This maneuver should be associated with immediate shallowing of the anterior chamber, development of a high bleb, and fall of IOP. If these changes do not occur immediately, the applicator is placed over the other radial incision, and pressure applied. It may be necessary to try several locations until the spot is found where pressure will cause deformation of the incision arid result in encouraging filtration. The CTM should be done gently. In our hands, it has not been associated with complications. It may be repeated three or four times daily for the first 3 or 4 days to encourage the development of a patent fistula. After 2 weeks or so, it probably will not have a permanent effect on the outcome of surgery. We often use the CTM in the early postoperative period. However, we do not believe in long-term continued use of massage or pressure of any kind. In our opinion, this pressure is traumatizing to the eye and rarely results in an improvement in the long-term result. When CTM does not re-establish satisfactory filtration or when the IOP remains higher than the surgeon has hoped and filtration is inadequate, it often is helpful to release one of the 10-0 nylon sutures in the scleral flap by burning the suture transconjunctivally with an argon laser. A small lens is used to flatten the conjunctiva. We use the lens designed by Hoskins.54 The edge of the Zeiss four-mirror lens also may be used. The Hoskins lens compresses the conjunctiva, making a suture in the sclera easily visible. The suture can be burned with a spot size of 50 μm, an exposure time of 0.1 second, and a power of 300 to 700 mW, using the blue or green light of the argon laser. Depending on the laser and the surgeon's technique, more or less power may be necessary. In most cases, one or two applications with a laser will burn through the suture, allowing it to retract and releasing traction on the incision. In many instances, a bleb develops immediately, and IOP falls. Several sutures may need to be released to obtain adequate filtration. As mentioned earlier, when the surgeon plans to release sutures with a laser, a 10-0 nylon suture can be placed in the middle of the posterior edge of the flap so that there is no excessive filtration when sutures are released. In the presence of subconjunctival blood, there is a significant risk of conjunctival burns or holes. Use of the red krypton laser reduces absorption by blood and increases the success of suture lysis in the presence of subconjunctival blood. The management of complications is covered in the third section of this chapter. TRABECULOTOMY Trabeculotomy is useful for managing congenital glaucoma where Schlemm's canal can be identified. Although goniotomy is the procedure of choice in infants or children with congenital glaucoma in whom the cornea is sufficiently clear to allow the surgeon to see into the anterior chamber angle, trabeculotomy is a satisfactory second choice, and it is the preferred procedure where the cornea is hazy. It is of value in the secondary glaucomas as well, especially the open-angle inflammatory glaucomas, such as those seen in association with Still's disease. The procedure demands high magnification; it is best done with an operating microscope. The initial portion of the operation is virtually identical to a guarded filtration procedure (Fig. 17; see also Fig. 15). A fornix-based or limbus-based conjunctival flap is developed at the 12 o'clock position. A scleral flap approximately 4 × 4 mm is fashioned, hinged at the limbus (see Fig. 13A). This flap, however, differs from a guarded filtration procedure flap in that it should be thicker; whereas a trabeculotomy flap ordinarily is one third to one fourth the thickness of the sclera, when performing a trabeculotomy, the scleral flap should be two thirds the thickness of the sclera. This difference in approach facilitates the identification of Schlemm's canal. Because leakage of aqueous through the sclera is not the mechanism by which trabeculotomy works, a thicker flap does not predispose the patient to failure of the procedure. A paracentesis track should be placed before performing the trabeculotomy (see Fig. 5). This maneuver permits the flushing of excess blood from the chamber, either at the time of initial surgery or later. A paracentesis also provides a useful method of testing the tightness of the closure of the scleral flap. Once the flap has been developed, the microscope magnification is increased, and the region straddling the transition between sclera and cornea is inspected carefully. In many cases, a thin gray line just at the transition between white sclera and clear cornea can be visualized; this line indicates the area of Schlemm's canal. A radial cut, placed in the center of the bed and extending about 1 mm into clear cornea and 1 mm into opaque sclera, is placed, using a blade such as a no. 67 disposable Beaver knife (see Fig. 17B). This incision is made very delicately and superficially. After each partial incision, the tissue is pushed to the side by the blade, and the depth of the incision is inspected carefully as the surgeon searches for Schlemm's canal. When the canal is opened, there usually is seepage of aqueous humor out of the cut wall. Once the canal has been identified, a firm dark suture such as 5-0 nylon is threaded carefully into the canal for 5 to 10 mm (see Fig. 17C). The visible portion of the suture extending out from the canal is pulled posteriorly away from the limbus and released. If the suture is within Schlemm's canal, when it is released, it will spring back into its original position, parallel with Schlemm's canal. If the suture has penetrated Schlemm's canal and is in the anterior chamber, it will not spring back when released. Once the canal has been identified, a Harm's or McPherson's trabeculotome is threaded into the canal for at least 5 mm and, if possible, for the complete length of the trabeculotome blade (see Fig. 17D and E). There should be minimal resistance as the trabeculotome is advanced. If the surgeon must press forcibly, it is virtually certain that the probe is not in the canal. After the probe has been introduced as far as possible into Schlemm's canal, the handle of the probe is twisted between the fingers so that the blade rotates into the anterior chamber (see Fig. 17F and G). As it does, it tears an opening through the trabecular meshwork. The blade should be rotated so that it does not scrape along the corneal endothelium or tear Descemet's membrane. The surgeon feels the resistance of the internal wall of the trabecular meshwork. If the resistance is great, making forward advance of the probe difficult, the blade probably is intrascleral and not in Schlemm's canal. Tearing open the canal almost always is accompanied by mild bleeding. Once the trabeculotomy has been performed in one direction, the blade is withdrawn, and its fellow probe is inserted in the opposite direction, in the other side of the cut edge of Schlemm's canal. A similar trabeculotomy is performed. No iridectomy is necessary. An alternative method of performing trabeculotomy is to use a 5-0 proline suture threaded into Schlemm's canal. The initial stages of the procedure are performed as described. A 5-0 proline suture, approximately 3 in. long, is prepared by lightly heating one end with a cautery, causing the end to develop a rounded, umbrella shape. The opening of Schlemm's canal is identified with certainty, as described earlier. The rounded end of the proline suture is then threaded into the cut end of Schlemm's canal and gradually, cautiously advanced. In most cases it is possible to advance 360 degrees, at which point the rounded end will exit from the other cut end of Schlemm's canal. At that point the right end is pulled towards the left, and the left end pulled towards the right, so that the thread is pulled taut, tearing open Schlemm's canal 360 degrees. In some cases the thread cannot be advanced the full circumference. In such a case a similar scleral flap can be developed 180 degrees from the first scleral flap, and the cut end of the suture retrieved at that point. This can then be pulled taut in a similar fashion, performing a 180-degree trabeculotomy, or a second suture can be introduced at the superior cut edge of Schlemm's canal and run through Schlemm's canal down to the new opening, permitting a 360-degree trabeculotomy. This method of performing a trabeculotomy is our preference. The anterior chamber is irrigated through the previously placed paracentesis with balanced salt solution to remove any excess blood. The scleral flap is closed with two 10-0 nylon sutures at each posterior corner of the flap. The chamber is filled with balanced salt solution through the paracentesis track, raising the pressure in the eye to 25 to 40 mm Hg. The high IOP pressure serves several purposes: (1) it tests the adequacy of closure of the scleral flap; (2) it helps to prevent choroidal effusion or hemorrhage; and (3) it prevents retrograde bleeding from the episcleral veins into Schlemm's canal, and thence into the anterior chamber. Postoperatively, anti-inflammatory agents are appropriate; prednisolone acetate 1% four times daily for 1 to 3 weeks usually is adequate. Atropine is not employed. Some authors advocate weak pilocarpine for a few weeks. CYCLODIALYSIS In the past, cyclodialysis was a widely used glaucoma procedure. However, it has fallen out of favor. Nevertheless, it has a relatively satisfactory risk/benefit ratio, and ophthalmologists performing surgery on patients with glaucoma should know how to perform the procedure so that they can employ it when indicated. The major disadvantage of cyclodialysis is its low success rate. Even in the most favorable cases, cyclodialysis results in a permanent cleft and in success in fewer than 50% of patients. When it works, it tends to be very long lasting in its effect and to result in a low IOP, often 8 to 15 mm Hg. An additional problem that has limited its use is its tendency to produce cataract in phakic patients. We believe that this complication may have been exaggerated; with careful microsurgical technique, such a complication is rare. Because of the concern regarding the development of cataract, most surgeons have limited cyclodialysis to aphakic patients, especially those who have had intracapsular cataract extraction. Unfortunately, these patients are not the best candidates for cyclodialysis, because traction by the zonules on the ciliary body may be of some help in maintaining an open cleft. Indications The classic indication for cyclodialysis is noninflammatory open-angle glaucoma in an aphakic or pseudophakic patient. However, the procedure also may be used with caution in phakic patients. Cyclodialysis is not likely to succeed in any of the secondary glaucomas, including secondary angle-closure glaucoma. Furthermore, there seems to be a tendency for it to work better in the deep-chambered rather than the shallow-chambered eye. No special preoperative care is required. The surgeon must be especially careful to ask the patient about the use of medications that predispose to bleeding (such as aspirin and dipyridamole) or any other systemic conditions that may make bleeding more likely. If possible, such proclivities to bleeding should be corrected before surgery. The patient should undergo gonioscopy preoperatively. The surgeon should avoid vascularized areas and, if possible, peripheral anterior synechiae. Operative Technique A facial nerve block arid a retrobulbar block with a short-acting agent, such as mepivacaine, provide adequate anesthesia. The site where the cyclodialysis is to be performed should be determined preoperatively at the time of gonioscopy. If there is no contraindication, the most propitious position is supertemporally; the superior position is favored because blood is less likely to occlude clefts developed superiorly, and the temporal approach is preferred because it is easier. The conjunctiva is incised approximately 5 mm posterior to the limbus. The incision should be long enough to permit cleaning an area of sclera approximately 4 × 4 mm, with its center 4 to 5 mm posterior to the limbus (Fig. 18). The episclera is cleaned from the sclera. Cautery is applied to the sclera to make an oval ring approximately 5 mm long in a circumferential direction and 2 mm radially (see Fig. 18). The sclera is incised deeply but not penetrated. The incision should be approximately 4 mm long and should stay within the cauterized area. If more bleeding occurs, cautery is applied meticulously to ensure that there is no bleeding whatsoever. A paracentesis track is developed, using a short, sharp 25-gauge disposable needle (see Figs. 1 and 18). There is some advantage in placing this track directly opposite the area where the cyclodialysis will be performed. Thus, if the cleft is to be developed at the 11 o'clock position, the paracentesis should be performed at the 5 o'clock position. This placement permits easier flushing of blood out of the cyclodialysis cleft and may allow the surgeon to open the cleft directly at the end of the procedure or later. The patency of the paracentesis track is tested with a blunt 30-gauge needle attached to a 2-ml syringe filled with air. The incision through the sclera is completed with a curved, dull instrument, such as a Beaver no. 67 blade. It is important to ensure that the incision is made completely through the sclera; when thinned markedly, the sclera is transparent, and the inexperienced surgeon may be misled by the black color, concluding incorrectly that the incision is deep enough. It is helpful to extract both edges of the incision, allowing the textured choroid to prolapse slightly up into the incision. The anterior edge of the incision is grasped with a forceps that will allow excellent fixation, such as a 0.12 Castroviejo or a Bonn forceps. A Barraquer's sweep or a cyclodialysis spatula is introduced carefully into the incision, with the surgeon taking care that the tip does not penetrate or engage the choroid (see Fig. 18). If a cyclodialysis spatula is used, the tip should be inspected to ensure that it is not sharp and that it is without a burr. As soon as the tip of the spatula has been introduced between the choroid and the sclera, the handle is rotated; the heel of the spatula does not move, but the tip is lifted firmly against the sclera (see Fig. 18). This maneuver should be done with sufficient vigor so that the sclera is deformed slightly because the tip of the spatula pushes it up, away from the choroid. The entire spatula is lifted up toward the microscope so that the major vector of force is up toward the microscope, against the internal wall of the sclera. With the surgeon holding the anterior lip of the sclera firmly with the fixation forceps, the spatula is moved anteriorly toward the limbus and the upward force against the sclera is maintained. There should be no resistance to this forward movement. If there is resistance, then the spatula must be in the sclera and not between the choroid and sclera. Although occasional vessels from the choroid penetrate the sclera, the only position in which the uvea actually is adherent to the sclera is at the scleral spur. In most cases, when the tip of the spatula reaches this junction, the surgeon can feel the resistance to anterior movement. It is especially important at that point to continue to lift the spatula as it is advanced anteriorly so that the tip will hug the sclera as closely as possible and not penetrate into the underlying ciliary body. After the spatula has advanced past the ciliary body, it suddenly meets no resistance (see Fig. 18). It is advanced slowly arid cautiously until it is just visible at the extreme periphery of the cornea. At that point, it must not be advanced further without release of the upward force, or Descemet's membrane will be torn off of the posterior surface of the cornea. The spatula is retracted slightly, perhaps 0.5 mm, and the tip is rotated away from the sclera. Upward force against the sclera, however, is maintained. This force is now exerted by the force of the spatula just anterior to the heel not by the tip. After the tip of the spatula has been advanced anterior to the scleral spur and has been rotated inferiorly, away from the posterior surface of the endothelium, the cyclodialysis is performed by twisting the handle of the spatula between the fingers so that the axis of the handle does not move and the tip moves laterally and then posteriorly (see Fig. 18E). The spatula should continue to be lifted against the sclera during this maneuver so that as the tip moves posteriorly, it hugs the inner wall of the sclera, separating the uvea from the sclera exactly where the two tissues join. After the handle is rotated in one direction so that the tip has passed posterior to the scleral spur (reaching a point where a straight line would lie on the sclera if it were extended circumferentially from the cyclodialysis incision in the sclera), the handle is rotated in the other direction so that the tip returns to its former position, passes that position, and disinserts the ciliary body from the sclera on the opposite side. The initial incision in the sclera should be placed so that these rotations can be made without the spatula damaging the blood vessels that penetrate the sclera at the 12, 3, 6, and 9 o'clock positions. Avoidance of these vessels is vital to the success of the procedure. The spatula is removed, and the anterior chamber is filled rapidly with air through the previously placed paracentesis (see Fig. 18). A finger should monitor the IOP as the anterior chamber is filled, to permit development of proper IOP. This pressure should be firm, between 30 and 50 mm Hg, high enough to tamponade any bleeding. If the IOP is raised too high, the choroid can be prolapsed through the scleral incision. The scleral incision is closed with a relatively heavy suture, such as 7-0 polyglactin, with care taken not to allow the tip of the needle to damage the underlying choroid. A 30-gauge blunt needle is connected to a small (approximately 50 ml) compressible bottle of irrigating solution such as balanced salt solution. Approximately 1 to 2 ml of the solution is squeezed from the bottle, and, as the squeezing is continued, the tip of the blunt needle is introduced into the anterior chamber. Pressure on the bottle is then released, allowing material to be sucked back into the irrigating bottle. The tip of the blunt needle is placed in the air bubble, and the air is evacuated from the eye with ease and safety. If the bottle is held vertically, the air will rise to the top of the bottle. Further pressure on the bottle will introduce saline rather than air back into the anterior chamber. In this way, most of the air is removed, and the chamber is filled with saline. If there has been extensive bleeding, the blood in the anterior chamber is removed as completely as possible by this maneuver. A fairly vigorous stream can be directed into the cyclodialysis cleft. At the end of the procedure, the eye should have moderately firm pressure (15 to 30 mm Hg), a deep chamber, a small pupil to prevent any air from moving into the posterior chamber, and little or no blood in the anterior chamber. When it is possible to achieve this outcome, the incidence of success is high. Postoperatively, the patient is maintained on strong miotics, such as echothiophate (0.125% twice daily in blue-eyed patients and 0.25% twice daily in brown-eyed patients). It is not unusual for the pressure to be elevated on the first or second postoperative day. Presumably this elevation is related to blood or fibrin plugging the cleft; as this material clears, the pressure spontaneously falls to a low level. If the procedure has been performed in an inferior quadrant, it is helpful to position the patient postoperatively so that blood will not settle into the cleft. If the IOP has not fallen within 3 days, the operation probably will fail. If a successful cleft is achieved, approximately 1 month after surgery, the echothiophate can be reduced to a less concentrated and less frequent dose. In most cases, 0.125% once daily is adequate to maintain patency of the cleft. Topical corticosteroids help suppress the inevitable inflammation associated with surgery. The anterior chamber of the treated eye temporarily becomes shallower immediately after surgery. In some cases, this change may be a factor of papillary block induced by the strong miotic, especially if there is significant inflammation. In most cases, however, it probably is caused by a rotation of the iris root anteriorly resulting from a ciliary body detachment. Failure of the cleft to develop is the major problem with cyclodialysis. Factors predisposing patients to failure of the cleft to develop include bleeding in the area of the cleft, air in the posterior chamber, papillary block, marked inflammation, and the use of cycloplegics. Bleeding is the major complication. Bleeding may occur in the form of an expulsive hemorrhage at the time of surgery. If this type of hemorrhage occurs, the scleral incision should be closed immediately, and hypotensive agents, such as intravenous acetazolamide and mannitol, administered. The suprachoroidal hemorrhage should not be drained at the time of the initial surgery. Slight amounts of blood in the anterior chamber almost invariably are absorbed. However, blood in the anterior chamber predisposes patients to failure of the cleft; if this failure occurs before the blood is absorbed and the pressure rises markedly, blood staining of the cornea may develop. Months or even years after a successful cyclodialysis, the cleft may close suddenly; as a consequence, the IOP rises precipitously. This condition typically is associated with severe pain resembling that of an acute angle-closure glaucoma. If the condition has been recognized promptly, use of strong miotics (such as echothiophate 0.25%) usually can reopen the cleft. Consequently, patients should be informed about the occurrence of cleft closure and told that they should seek ophthalmologic care immediately if they have suggestive symptoms. Various methods have been used to try to maintain patency of the cleft, including the use of sodium hyaluronate at the time of surgery. In our opinion, none has proven useful. For reasons that are not clear, sodium hyaluronate injected into the anterior chamber tends to cause the procedure to fail. CYCLODESTRUCTIVE PROCEDURES The goal of cyclodestructive procedures is similar to that for most glaucoma procedures, specifically, lowering IOP. The mechanism by which cyclodestructive procedures work, however, differs. Rather than improve aqueous outflow, these operations reduce aqueous inflow. Exactly how they decrease aqueous outflow is not certain; they appear to damage or kill secretory epithelial cells of the ciliary body. They damage the ciliary body and cause immediate uveitis; this inflammation tends to be long lasting and may be permanent. Indications Although these procedures are grouped for discussion, they differ significantly in their degree of safety and effectiveness, and possibly in their mechanism of action as well (Table 24). Furthermore, there are undoubtedly reasons for preferring one procedure over another in a particular case. Because the surgical techniques are not uniform and because few comparative studies have been performed, there is little consensus as to which procedure is preferred in a particular case.
Table 24. Differences Between Cyclodestructive Procedures
The general indication for a cyclodestructive procedure is the generic need for most glaucomatous procedures, specifically, the need to lower IOP surgically. Such procedures may be especially suited to cases in which there is a major advantage in not having to perform intraocular surgery, especially in eyes that are predisposed to suprachoroidal hemorrhage (Table 25). In addition, certain types of cyclodestructive procedures are remarkably convenient to the patient, requiring no hospitalization and little special equipment and allowing the patient to obtain care quickly and relatively inexpensively. The cyclodestructive procedures are especially useful in patients in whom visual prognosis is poor and who, for whatever reason, are not considered appropriate for hospitalization (see Table 25). For example, the older patient who has mild Alzheimer's disease and a painful eye related to pseudophakic secondary glaucoma is not a good candidate for hospitalization or intraocular surgery; nevertheless, a cyclophotocoagulation could be done with minimal disruption of the patient's life and with fair anticipation of benefit. Similarly, a patient who has advanced primary open-angle glaucoma and has lost central vision from macular degeneration would be a suitable candidate for cyclophotocoagulation because one of the major concerns of this procedure, specifically, loss of central visual acuity, would no longer be a problem.
Table 25. Indications for Cyclodestructive Procedures* Need to lower intraocular pressure and one or more of the following conditions: Poor macular function in the eye under consideration
CYCLOCRYOTHERAPY Cyclocryotherapy has the major advantage of being readily available and inexpensive. Because of its significant disadvantages, however, it is not used widely by all ophthalmologists. Problems associated with it are listed in Table 26, roughly in their order of frequency.
Table 26. Complications of Cyclocryotherapy Inflammation
The most common indication for cyclocryotherapy is an aphakic glaucoma that is unresponsive to medical therapy, especially when the eye has an associated problem such as inflammation or neovascular changes. It rarely is used in phakic patients because it is highly cataractogenic. Cyclocryotherapy has been advocated as appropriate treatment for patients with blind, painful eyes and elevated IOP. In our opinion this treatment rarely is justified. It is unusual for an eye to be persistently painful on the basis of elevated IOP itself. A sudden rise of IOP usually causes pain, but when the pressure remains elevated for months, the pressure itself rarely is responsible for discomfort. Hence, treatment primarily designed to lower chronically elevated IOP is not entirely rational. In addition, most of these patients obtain pain relief from measures directed at limiting inflammation, such as topical atropine and corticosteroids, whereas cyclocryotherapy increases inflammation. Operative Technique The cyclocryotherapy procedure itself is painful and requires effective anesthesia. A retrobulbar injection of bupivacaine 0.75% containing hyaluronidase almost always is adequate. Because the position of the ciliary body relative to the limbus varies from eye to eye, an effort should be made to locate the ciliary body before the procedure is done. This position can be approximated in most cases simply by inspection; transillumination is helpful when landmarks are less clear. Applications should be centered over the ciliary body; if this site is close to the limbus, it is better to place the applications slightly more posteriorly to ensure that the iceball does not extend into the cornea, where it could damage the corneal endothelial cells (Fig. 19). The intensity of treatment should vary with the condition of the patient. Associated factors are shown in Table 27. In most cases, we use six to eight applications spread over the inferior two quadrants, avoiding the 3 and 9 o'clock positions. If IOP does not fall adequately within 1 week, the procedure is repeated, treating the two quadrants between the 12 and 6 o'clock positions and avoiding the 3 o'clock position. If pressure is still not lowered adequately, a third treatment is placed in the superior two quadrants.
Table 27. Factors that Influence the Intensity of Treatment with Cyclocryotherapy
It is important to recognize that cyclocryotherapy often is followed by a prompt rise in IOP.85–88 This increase is rapid, occurring within the first hour, and is clinically significant. This rise in IOP is important. Many of the eyes chosen for cyclocryotherapy have far advanced glaucomatous nerve damage; a sudden rise in pressure may cause these eyes to lose the small amount of visual function present before the cryotherapy. Unless there is a specific contraindication, a carbonic anhydrase inhibitor and an osmotic agent should be given in full doses when cryotherapy is performed. One acceptable regimen is to give a 500-mg sequel of acetazolamide and a full dose of an osmotic agent such as mannitol 20%, 7 ml/kg body weight. The IOP should be monitored carefully, especially for the first 4 hours. In some cases, a paracentesis may be indicated. Postoperative care is directed toward limiting the inflammation and controlling the pressure. Inflammation is severe and prolonged. In almost all cases, atropine 1% four times daily is appropriate. This dosage can be tapered as the eye quiets and becomes more comfortable. It may be helpful to continue the administration of atropine once daily for several months. Corticosteroids should be given subconjunctivally at the time of the operation. One suitable dose is betamethasone, 3 mg. We do not employ depot steroids because they may cause a persistent elevation of IOP and actually may have to be removed at a later date. Topical corticosteroids should be employed vigorously and for a prolonged duration. A four-times-a-day dose usually is adequate in the initial period, with a potent agent such as prednisolone acetate. After 2 to 3 weeks, it may be appropriate to start tapering the frequency of administration. Often, continuing steroids for many months on an every other-day dose is helpful. IOP must be monitored carefully in the immediate postoperative period. The pressure usually starts to fall by about 24 hours and seems to reach its lowest point several days after cyclocryotherapy has been performed. Because the response of IOP to treatment is so unpredictable, pressure must be measured frequently, and glaucoma therapy adjusted appropriately. Obviously, pilocarpine or other miotics should be discontinued at the time of the surgery and not resumed until inflammation is minimal and certainly not until the atropine has been discontinued. The most effective agents to control IOP in most of the secondary glaucomas usually are carbonic anhydrase inhibitors and β-blockers. These two classes of drugs usually are chosen to control IOP after cyclocryotherapy. When cyclocryotherapy is effective, however, these agents should not be employed, because they may produce marked hypotony and choroidal detachment. In most cases, all glaucoma medications are discontinued at the time of cyclocryotherapy. CYCLOPHOTOCOAGULATION The application of light energy to the area of the ciliary body for the purpose of lowering IOP can be accomplished by applying light directly to the ciliary processes, either through the pupil or endoscopically or with a transscleral approach. Transpupillary photocoagulation of the ciliary processes can be employed only in cases in which visualization of the ciliary processes through the pupil is possible; the technique is of such limited application that it will not be discussed further here. Further, the success rate has not been high. Endoscopic photocoagulation has the advantage of allowing direct, well-controlled application of light to all of the ciliary processes. Shields and associates89 reported preliminary good results. The operation clearly is a major one that demands sophisticated equipment and a prolonged hospital stay. To perform cyclophotocoagulation endoscopically, however, is to lose the major advantages of cyclophotocoagulation: convenience and the ability to provide treatment in an outpatient setting, without the need to open the globe. Endoscopic photocoagulation should be limited to cases in which other surgery, such as vitrectomy, is being performed. Transscleral photocoagulation has been practiced for more than 10 years.90–97 Originally, a ruby laser was employed, whereas now, the usual technique involves the use of an Nd:YAG laser or preferably a diode laser. Indications for cyclophotocoagulation are essentially the same as for cyclocryotherapy. Because cyclophotocoagulation appears to have less effect on central visual acuity, to have fewer side effects, to be more controllable, and to be less likely to cause phthisis bulbi, it is strongly preferred over cyclocryotherapy. Complications are essentially the same as for cyclocryotherapy (see Table 26). Cyclophotocoagulation may cause sympathetic ophthalmia, but this relationship has not been well established. The eye must be deeply anesthetized. A short-acting agent, such as lidocaine, is appropriate in most cases; if the surgeon is concerned that the patient will not tolerate postoperative discomfort well, then bupivacaine can be employed; 3 to 5 ml is adequate. One method of performing cyclophotocoagulation is as follows: the Nd:YAG laser is used in a free-running, not a Q-switched, mode. Thirty-two applications are placed over the ciliary body, avoiding the 12, 3, 6, and 9 o'clock positions. Therefore, eight applications are placed supertemporally, inferotemporally, inferonasally, and superonasally. The exposure time is 20 msec, and the size of the spot at the point of focus is 70 μm. The focus is retrofocused 8 or 9 mm posteriorly, which should result in maximum energy approximately at the levels of the ciliary processes. The aiming beam is focused on the external scleral surface, and the laser beam is activated. The patient will experience pain unless the retrobulbar block has achieved adequate anesthesia. The power setting should be between 4 and 8 J. Higher powers will have a greater effect on IOP, as well as a higher complication rate. The use of a diode laser appears to be associated with a lower rate of complication. The procedure is performed essentially in the same manner as with a Nd:YAG laser. Postoperative treatment is similar to that for cyclocryotherapy. IOP should be monitored carefully immediately after the treatment. Pressure spikes are not rare, especially with higher powers. The management of IOP is similar to that employed with cyclocryotherapy. Postoperatively, anti-inflammatory treatment with topical corticosteroids is used. If IOP is reduced sufficiently, miotics may be discontinued and atrophic administered (in patients who are not predisposed to primary angle closure). The previously employed medical therapy is continued until the effect of the cyclophotocoagulation becomes apparent. Therapy can be tapered or continued as appropriate. If the decrease in IOP is inadequate after 1 week, the Nd:YAG cyclophotocoagulation can be repeated. In unusual circumstances, it can be repeated sooner. The number of times that the treatment can safely be repeated has not been determined. However, patients appear to tolerate the procedure well, and we have treated some patients with five or more sessions without apparent complications. It is not rare for the effect of cyclophotocoagulation to diminish with time. When this decrease occurs and there appears to be a continuing need to control IOP, a repeat cyclophotocoagulation may be the treatment of choice. When the procedure does not appear to have been effective initially, however, we usually perform only one repeat procedure. If IOP has not been lowered satisfactorily after two cyclophotocoagulation procedures, it usually is preferable to consider another procedure. NONPENETRATING FILTRATION SURGERY The appeal of successful bleb-less glaucoma surgery remains overwhelming. Nonpenetrating filtration surgery (NPFS) is another step in the evolution of safer filtration surgery. Even thirty years ago, Hans Goldmann98 said: “Success in establishing aqueous drainage without the formation of an avascular bleb is an important advance in glaucoma surgery.” At that time, Goldmann and others, thought Cairns'new trabeculectomy procedure would enhance flow into Schlemm's canal, limiting bleb formation. Their assumption was erroneous, for it became obvious that bleb formation was necessary for long-term pressure reduction.99 However, trabeculectomy rapidly became popular as a new form of guarded filtration surgery,100 a major improvement over full-thickness procedures. Over a 30-year period, most nonfistulous filtration procedures for adult glaucomas remain only in textbooks101–103 and have not gained widespread acceptance. At the beginning of the new millennium, Goldmann's dream continues as the surgical manipulation of Schlemm's canal has evolved into something new, NPFS. NPFS is an attempt to establish long-lasting filtration without entering the anterior chamber at the subscleral surgical site. The two emerging forms of NPFS include deep sclerectomy with collagen implant (DSCI) and deep sclerectomy with viscocanalostomy (DSVC). With the advent of these new procedures, filtration nomenclature requires refinement as proposed in Table 28. It is important to remember that these procedures are in evolution and refinements are necessary. The most significant obstacle for viscocanalostomy is the need for a device to prevent closure of the ostia of Schlemm's canal.
Table 28. Penetrating and Nonpenetrating Outflow Procedures
PEF, penetrating with external filtration. NPEF, nonpenetrating with external filtration. PIF, penetrating with internal filtration. NPIF, nonpenetrating with internal filtration. The surgical reduction of IOP is accomplished by either the external (extraocular) or internal (intraocular) enhancement of outflow. External filtration is achieved by either penetrating (PEF) or nonpenetrating (NPEF) means, similarly, internal filtration may be penetrating (PIF) or nonpenetrating (NPIF). By definition, penetrating procedures such as trabeculectomy enter the anterior chamber at the subscleral incision site. External filtration leads to bleb formation. The newer nonpenetrating procedures do not violate the anterior chamber, leaving natural barrier tissue resistance to outflow. These procedures are still in evolution. The older term of ab externo is no longer completely sufficient because it does not specify anterior chamber entry.
Both nonpenetrating procedures are designed to decrease outflow resistance not eliminate it, as may uncontrollably occur with standard filtration surgery. In generic terms, NPFS consists of fashioning dual scleral flaps (Fig. 20) with removal of the deep flap (deep sclerectomy) leaving an internal limiting membrane and an intrascleral aqueous reservoir. More specifically, the intrascleral space and ostia of Schlemm's canal are filled with viscoelastic in viscocanalostomy or a collagen wick placed in the intrascleral space as in DSCI.104 Prospective studies comparing DSVC to standard filtration surgery reveal greater pressure reduction with trabeculectomy.105 Thus, patients with severe glaucomatous damage, especially exposed to long-term topical therapy, are more likely to benefit from standard filtration techniques. Another study comparing deep sclerectomy with and without collagen implant to trabeculectomy found comparable results between the procedures.106 How does NPFS fit into our incisional options? At this time, it is difficult to sort out the best candidates for NPFS. Each new case adds a piece to the puzzle of how these procedures truly work and who will most likely benefit. Results from a black African population are encouraging107 but have not been reproduced in other patient populations. Can we directly extrapolate the same technique to different populations with dissimilar types of glaucoma, years of topical therapy, and variable outflow pathology? A recent study reveals NPFS in patients with primary open-angle glaucoma was more effective in patients without prior medical therapy than in patients on years of topical medical therapy.108 Glaucoma medications may cause changes in the conjunctiva and episcleral that lead to failure in any type of filtration procedure,109 possibly more detrimental for nonpenetrating procedures. The learning curve for NPFS procedures is very steep, much like trabeculotomy in an infant eye. A review of outflow anatomy is crucial before nonpenetrating procedures (Fig. 21). DSCI and DSVC are headed down two competing pathways, one with internal filtration and the other with external filtration. External filtration as seen in DSCI still produces a bleb. Bleb formation with viscocanalostomy is minimal although microcysts may form above the 300-micron scleral flap. The proposed mechanisms of IOP reduction for NPFS are seen in Figure 22. Direct intraoperative evidence for enhancement of outflow facility can be seen during DSVC. Observation of this phenomenon has caused a renaissance in outflow surgery (Fig. 23). Patient selection for NPFS is more complicated than for standard trabeculectomy. Patients with significant complications from prior trabeculectomy or at high risk for failure may be candidates for NPFS. The problems with nonpenetrating procedures are unique and require a completely different set of preoperative, intraoperative, and postoperative thought processes and skills compared with trabeculectomy or trabeculotomy. Preoperative Considerations
Patients at high risk for suprachoroidal hemorrhage are still at risk with NPFS because of the need for substantial intraoperative anterior chamber decompression. The postoperative risk of delayed suprachoroidal hemorrhage is minimized by the double guarded technique. DEEP SCLERECTOMY WITH VISCOCANALOSTOMY DSVC is a systematic layer-by-layer dismantling of a defective outflow system. At the heart of DSVC is the precise fashioning of an intact subscleral cavern that ultimately functions as a relay station for the passage of aqueous. Aqueous bypasses the blocked trabecular meshwork by entering the cavern through an adjacent gossamer quality Descemet's window111 and exiting the cavern through Schlemm's canal, by uveoscleral channels, or by transscleral flow. Bleb formation is avoided because aqueous accumulates inside the sclera instead of underneath the conjunctiva, a long-term advantage from a dysesthesia and infectious viewpoint. The surgical technique is unforgiving and the learning curve steep. Surgeons with prior trabeculotomy skills112 will find this procedure easier but still demanding. I would not recommend topical anesthesia for one's first case. Informed consent should reflect the investigational nature of these procedures and a 20-point preoperative checklist113 is helpful in planning filtration surgery. Familiar instruments should be used for scleral flap dissection, and a special cannula is necessary to intubate Schlemm's canal.
Postoperative Care Postoperative care is similar to trabeculectomy, but gonioscopy is even more critical to visualize the cavern. It is not unusual to see conjunctival microcysts for the first 3 weeks, but if flap closure is tight, bleb formation is unusual. Postoperative IOP is usually in the 10 to 20 mm Hg range during the first week and may increase over a 3-week period. Occasionally, goniopuncture of the TDM is necessary if IOP becomes unmanageable (Fig. 39). Iris incarceration may require iridoplasty, and Descemet's detachment has been reported (Fig. 40). It is unusual to see choroidal effusion or shallow anterior chamber. If optic nerve damage appears imminent, goniopuncture of the TDM along with suture lysis will usually encourage filtration during the first two postoperative weeks. Complications include rupture of Descemet's window, choroidal penetration, hyphema, IOP spike, choroidal detachment, and cataract formation. DEEP SCLERECTOMY WITH COLLAGEN IMPLANT The technique for DSCI (Figs. 41, 42, 43, 44, and 45) is similar to DSVC. Steps 1 through 12 are the same; except step 9 is eliminated and viscoelastic is not inserted underneath the scleral flap. DSCI procedures typically produce a bleb. Bleb formation even occurs without insertion of the collagen implant. One study found raised blebs in 24% of eyes, diffuse shallow blebs in 34%, and no noticeable bleb in 42% of eyes.108 Pressure reduction in eyes without noticeable blebs may be related to flow through Schlemm's canal or uveoscleral outflow. Complete resorption of the collagen implant typically occurs between 6 and 9 months.117 The success rates for deep sclerectomy are variable depending on technique and use of antimetabolite. Mermoud and coworkers104 found comparable pressure reduction between trabeculectomy (53.2%) and DSCI (48.2%). However, goniopuncture with the Nd:YAG laser was necessary in 23% of patients with a mean time of 9 months after surgery. Goniopuncture dropped the IOP from a mean of 21 mm Hg to 12 mm Hg. Another study found the need for goniopuncture at 41%.118 Welsh and colleagues119 found that approximately 10% of patients required repeat surgery for uncontrolled IOP, and Dahan and Drusedau108 found that repeat surgery was necessary in 85% of eyes with prior medical therapy. Complications with a greater than 5% chance of occurrence after DSCI include: bleb encapsulation, choroidal detachment, wound leak, bleb fibrosis, hyphema, and cataract progression.120 As long as complications continue to arise related to bleb-forming glaucoma surgery, efforts to create the perfect bleb-less or minimal-bleb glaucoma procedure will persist. Only time and controlled clinical and laboratory studies will reveal the role of NPFS in the long-term care of the glaucoma patient. Nonpenetrating procedures have created a renaissance in the anatomy and surgery of the outflow pathways. TUBE SHUNTS FOR GLAUCOMA Introduction When a guarded filtration procedure is unlikely to be successful, tube shunt surgery may be helpful in improving aqueous outflow.121–123 A tube shunt exits the anterior chamber at the limbus or the vitreous cavity at the pars plana. It extends posteriorly to a reservoir anchored behind the insertion of the recti muscles. In this system, the filtration bleb is displaced from the typical limbal region as seen with a trabeculectomy to a more posterior location. In this area the blebs are thick-walled and vascular unlike many limbal blebs that are thin and avascular. A number of clinical situations with uncontrolled glaucoma seem to be best served by tube shunt placement (Table 29).
Table 29. Candidates for a Tube Shunt Active neovascular glaucoma
Current Shunts Shunt devices are either nonvalved (Molteno, Baerveldt) or valved (Ahmed, Krupin) (Fig. 46). The Molteno shunt was the first successful, widely used, commercially available device.124 They are either a single plate or double plate (Table 30). The latter connects to the first reservoir that the intraocular tube enters via a connecting tube. A double-plate Molteno requires dissection and placement of a reservoir in two different quadrants. A comparative study demonstrated superior IOP control with two plates instead of only one plate.125 The Baerveldt shunts have an even larger surface area then a double-plated Molteno shunt.126 However, the largest size 500-mm2 Baerveldt did not yield a more successful outcome then the 350-mm2 version and had a higher complication rate.127 There is a special Baerveldt modification in which a 90-degree angulation helps to place the tube through the pars plana.128
To help regulate outflow, the Molteno shunt was modified with V-shaped ridge in the first reservoir, the dual-chamber version.129 In theory, when the IOP becomes elevated, the conjunctiva and Tenon's layer are elevated by aqueous off of the reservoir allowing for fluid to spill over the ridge into the second compartment of the first reservoir. In clinical practice this V-shaped ridge is often insufficient to prevent hypotony. There are valved shunts that have been designed to have opening and closing pressures. This is achieved by slits in the tube (Krupin shunt)130 or by two apposing membranes (Ahmed shunt).131 Surgical Technique PREOPERATIVE ASSESSMENT. The eye must be examined to decide on the best location for the reservoir placement (usually supertemporally) and tube entry site (e.g., avoid high peripheral synechiae). Anticoagulants are discontinued whenever possible to lower the risk of intraocular bleeding. Intravenous mannitol may reduce the risk of suprachoroidal hemorrhage and uveal effusion. SHUNT PREPARATION. For the nonvalved shunts, an intraluminal suture (4-0 nylon) and an external ligature (6-0 Vicryl) are placed to restrict outflow and prevent postoperative hypotony (Fig. 47).132 The Ahmed shunt valve must be primed by injecting fluid through the tube tip, which separates the two valve leaflets. This is necessary to “open” the valve and allow it to become functional (Fig. 48).
RESERVOIR PLACEMENT. The scleral bed is exposed with either a limbal-based or fornix-based conjunctival flap. Only a single quadrant is prepared except for the double-plate Molteno that requires exposure of two quadrants. The reservoirs are secured to the sclera by sutures through the positioning holes on the reservoir edge (Fig. 49). The sutures are placed with intrascleral passes 8 mm or farther from the limbus. All the shunts except the Baerveldt have the reservoir sitting between the recti muscles. The design of the Baerveldt shunt requires placement of the reservoir wings underneath the recti muscles. Although some have advocated the use of antimetabolites like an intraoperative mitomycin C soak in the reservoir site, there has been no study confirmation of any benefit.133
TUBE ENTRY. The tube is trimmed so that there is a bevel facing anteriorly and 2 to 3 mm will appear within the anterior chamber. After scrutiny for the ideal tube entry site, a 23-gauge needle is passed through the limbus to create a tight entry site. The tube tip should not be touching either the cornea or lens. Alternatively, a pars plana entry could be considered if a pars plana vitrectomy has been performed.134 After reforming the anterior chamber with balanced salt solution, the valved shunts should allow for fluid runoff. If the unvalved tube has been tied tightly so that there is no flow, 1- to 2-mm venting slits are made with a microblade within the tube proximal to the external ligature. This will allow for some outflow through the tube in the early postoperative period. RIPCORD SUTURE PLACEMENT. For the nonvalved shunts, the 4-0 nylon intraluminal suture is passed into the subconjunctival space of an adjacent quadrant (usually inferotemporally). This allows for easy removal postoperatively to fully open the tube for aqueous outflow. WOUND CLOSURE. A donor patch graft is placed over the tube to reduce the risk of tube erosion through the conjunctiva135 (Fig. 50). Potential donor materials include: sclera, fascia lata, and pericardium. The conjunctiva is repositioned to carefully cover the tube and overlying patch graft. For a limbal-based conjunctival flap, a two-layered closure of Tenon's layer and then conjunctiva is recommended.
Complications EARLY POSTOPERATIVE PERIOD. Elevated IOP could be due to variety of reasons: valve malfunction, totally occluded tube by the external ligature, tube tip occlusion, aqueous misdirection, suprachoroidal hemorrhage, and tube retraction. If there is an immediate eye pressure elevation with a valved shunt that will require either repriming the valve by forcible irrigation through the tube tip or replacing the shunt in an eye with a tight ligature around the tube without venting slits, medical therapy is initiated to temporize until removal of the ripcord suture. When the tip of the tube is occluded with blood, fibrin, or iris it may spontaneously improve. Otherwise, laser application or sweeping the tissue from the tube may re-establish patency. Whenever there is a shallow chamber and significant ocular pain with a high IOP either aqueous misdirection or a suprachoroidal hemorrhage should be suspected136 (Fig. 51). For aqueous misdirection, medical therapy, cycloplegia, mannitol, and aqueous suppressants may suffice. If not, then laser disruption of the anterior hyaloid face or pars plana vitrectomy may be necessary. For a suprachoroidal hemorrhage, medical management could be attempted before drainage of the hemorrhage. When the tube tip has retracted and is no longer visible in the anterior chamber, the tip may be repositioned if there is extra length available, if not, then an extension piece of larger caliber tubing can be placed over the tube tip to allow re-entry. It is also possible to re-enter with the shortened tube through the pars plana if combined with a pars plana vitrectomy.
Hypotony may be due to a high outflow state and/or choroidal effusion with hyposecretion. If there is a profound wound leak, it may need to be repaired. If the anterior chamber has shallowed with a risk of cornea to lens touch, then reformation of the anterior chamber with a viscoelastic and possible choroidal effusion drainage may be required. Temporarily tying off the tube completely in nonvalved shunts may be necessary in certain cases to help resolve persistent hypotony. LATE POSTOPERATIVE PERIOD. After several weeks if there is an elevation of eye pressure there are several possible etiologies: bleb encapsulation, steroid response, excessive subconjunctival fibrosis, or occlusion of the tube tip (Fig. 52). At about 1 month after surgery, there is often an IOP rise despite a large, thick bleb overlying the reservoir indicating an encapsulation phase (Fig. 53). This often resolves with conservative management with glaucoma medication. However, needling of the bleb or surgical revision with partial excision of the bleb wall may be required in resistant cases.137 Eye pressure elevation secondary to steroid responsiveness138 may be handled by switching to a less potent steroid, tapering off the topical steroid, or switching to a topical nonsteroidal agent to suppress inflammation. Failure of the tube shunt because of conjunctival scarring may require another surgical intervention such as a second tube shunt in another site or cyclophotocoagulation.139 If the tube tip is enveloped by a fibrous sheet or iris synechiae, it may be re-opened by YAG laser application.140 Often the tube tip must be repositioned to another entry site. With direct cornea or lens apposition with the tube, corneal decompensation or cataract development will ensue. Repositioning of the tube should be promptly performed at the earliest sign of localized corneal edema. Eyes with corneal grafts are of greatest concern because of potential danger to the graft.141 The large posterior blebs seen with shunts may mechanically limit globe movement and result in diplopia.142 If present in the primary position, prisms may resolve the problem, but some patients may require strabismus surgery or even removal of the shunt. Despite use of a patch graft, the tube may erode through the graft and conjunctiva143 (Fig. 54). Repair must be undertaken because there is a serious risk of intraocular infection. Insertion of another patch graft and reapproximation of the overlying conjunctival defect is usually successful. Extrusion of the reservoir is a more serious and difficult problem to solve satisfactorily (Fig. 55). Closure of the conjunctival defect is hard to maintain, and typically removal of the shunt is necessary. Placement of another shunt at another site should be considered.
Summary Difficult glaucomas are often controlled with tube shunt surgery when other measures are unsatisfactory. The design of nonvalved and valved shunts and the techniques for inserting these devices have been modified to improve the success rate, simplify the operation, and lower the risk of complications. However, one must still be aware of the potential complications and appropriately manage them. Many of these postoperative problems not only threaten to negate the potential eye-pressure lowering benefit but also may lead to irreversible visual loss. Postoperative Care Topical antibiotics and cycloplegics are routinely used for the first week. Topical steroids are administered for 2 months or longer. When there is hypotony and a flat anterior chamber, with imminent lens-cornea touch, reformation of the anterior chamber with a viscoelastic should be considered. Increased IOP within the first 3 to 4 weeks should be managed medically. After that period, there should be a reasonable amount of fibrosis around the reservoir, which should provide resistance to outflow and allow for removal of the ripcord intraluminal suture. A conjunctival incision over the distal end of the 4-0 nylon provides access to the suture so that it can be pulled out. The timing of the suture removal will determine the magnitude of the immediate IOP reduction. A longer waiting period before removal will have a less profound effect on eye pressure reduction and, correspondingly, less risk of profound hypotony and its associated complications. | ||||||||||||||||||||||||||||||||||||||||||||||||||||||||||||||||||||||||||||||||||||||||||||||||||||||||||||||||||||||||||||||||||||||||||||||||||||||||||||||||||||||||||||||||||||||||||||||||||||||||||||||||||||||||||||||||||||||||||||||||||||||||||||||||||||||||||||||||||||||||||||||||||||||||||||||||||||||||||||||||||||||||||||||||||||||||||
| POSTOPERATIVE CARE AND COMPLICATIONS |
| As mentioned earlier, glaucoma surgery would be the treatment of choice
for patients with glaucoma (because surgery is more effective than medicinal
therapy) were it not for the complications associated with surgical
procedures. The frequency and type of these complications varies
with the patient, the procedure, and the surgeon's skill. The surgeon
is balancing a sword of Damocles, trying to get the IOP low enough, so
that further damage will not occur. In most people with glaucoma
the reason why progressive deterioration occurs is because the IOP is
too high for the eye to tolerate. It is better to use the clinical course
as a guide for therapy than to use isolated measurements of IOP. The
surgeon, then, from one point of view wants to get the IOP as low
as possible. However, on the other hand, the lower the pressure, the
more serious the complications. Problems associated with low IOP are shown
in Table 31.
Table 31. Problems Associated with Low Intraocular Pressure and with “Excessive” Blebs Poor vision
To avoid an excessively low IOP, surgery is designed so that the IOP is, hopefully, around 15 to 25 mm Hg in the immediate postoperative period; methods of achieving this are detailed in each of the sections on surgical technique. However, just as excessively low IOP is to be avoided, the surgeon must also be sure that the IOP is not so high that it will cause rapidly continuing damage postoperatively. Thus, checking the IOP soon after surgery is highly recommended. Ideally the IOP should be checked around 2 to 3 hours postoperatively to ensure that the eye is not hypotonous or that the IOP is not too high. If the eye is too soft, the patient must be cautioned regarding activity. If the eye is too hard, then appropriate steps must be taken at that point. A CTM may be all that is needed, or in some cases other steps may be necessary. Gonioscopy is essential to ensure that the sclerostomy is patent. The indications for and the timing of suture release or suture cutting is a vitally important part of postoperative care. Cutting the sutures too soon leads to complications, too late leads to failure. Several methods for tying releasable sutures have been proposed. The one that we have found most satisfactory is illustrated in Figure 7. The principle is the same for incisions of all directions. The suture is placed over the incision to be closed, and then the needle is passed under the area in which the conjunctiva will become adherent to the cornea. The needle is then exteriorized on the corneal side of the conjunctiva and buried in the conjunctiva so that it will not cause symptoms. The suture is released by grasping the loop on the cornea and by pulling slowly and continuously towards the chin. Despite selection of a proper procedure and use of a proper technique, complications still occur. Recognizing the complication and correctly diagnosing the cause is the first step towards handling the complication appropriately. Guidelines are shown in Table 23. SPECIFIC COMPLICATIONS Flat Anterior Chamber The risks versus the benefits of glaucoma surgery have been discussed (see Table 1). The more common complications are listed in Table 32. One of the most troublesome complications is flatness of the anterior chamber after surgery. The flat anterior chamber may result from many different physiologic mechanisms, as indicated in Table 23.
Table 32. Complications of Glaucoma Surgery Flat anterior chamber
To treat a flat anterior chamber successfully, the cause must be determined first. The nature of the bleb, the level of IOP, and the natural history of the condition in the patient usually give adequate clues to permit an accurate diagnosis (see Table 23). It is helpful to distinguish between various types of flat anterior chamber. Our classification is shown in Figure 56. In type 1 flat anterior chamber, the peripheral iris contacts the corneal endothelium. In type 2 flat anterior chamber, almost all of the iris, both in the periphery and more centrally, is in contact with the corneal endothelium. In type 3 flat anterior chamber, there is no remaining chamber; the lens or in the aphakic patient, the vitreous face, or in the pseudophakic patient, the intraocular lens, is in contact with the corneal endothelium. Type 1 flat anterior chambers occur commonly, especially in association with excess filtration. When excess filtration is the cause, it usually clears spontaneously, and the only required treatment is vigorous use of cycloplegics and mydriatics. In some cases, a type 1 flat anterior chamber becomes a type 2 flat anterior chamber, which is a poor prognostic sign, especially if the pressure is falling and the bleb flattening. Type 2 flat anterior chambers can recover spontaneously or may progress to type 3 flat anterior chambers. Depending on a variety of factors, the surgeon may choose different forms of management: (1) observing the patient without performing further surgery; (2) reforming the anterior chamber with air, viscoelastic material, or saline; or (3) draining the choroidal detachment and reforming the anterior chamber. One study144 showed that in most cases, the preferable method of management is prompt reformation of the anterior chamber with the viscoelastic material. When this reformation is done, the IOP tends to be lower than when the eye is observed without further surgery. The method of draining the choroidal detachment and reforming the anterior chamber also results in lower IOP than when eyes with grade II flat anterior chambers are merely observed; however, the complication rate with this more extensive procedure is greater, and a more significant loss of visual acuity occurs. Consequently, although this method of treatment is effective in reforming the anterior chamber and obtaining a good IOP, it produces a less satisfactory visual acuity than reformation of the anterior chamber with viscoelastic material without draining the choroidal detachment. Furthermore, reformation of the anterior chamber can be done easily as an outpatient procedure, whereas drainage of the suprachoroidal effusion requires an inpatient surgical procedure in the operating room. Treatment must be individualized. However, whenever the pressure is consistently falling, the bleb flattening, and the chamber shallowing, despite reformation of the anterior chamber with viscoelastic material, the course is clear. Drainage of the associated choroidal detachment and reformation of the chamber are recommended. Eyes should not be left with flattening blebs and low pressures because the lack of fluid flow through the sclerostomy will ensure failure of the filtering procedure. Type 3 flat anterior chambers are surgical emergencies. If they are not corrected promptly, the corneal endothelium will be damaged permanently. CORRECTING FLAT ANTERIOR CHAMBERS Injection of Viscoelastic Material. The eye is examined meticulously to find the paracentesis track that should have been made at the time of surgery. It is helpful to note the location of this paracentesis track at the time of surgery so that it can be found more easily postoperatively. If the paracentesis track can be identified easily, a 30-gauge blunt cannula is placed on the syringe of viscoelastic material. If the paracentesis track cannot be found, a sharp 30-gauge disposable needle is placed on the syringe containing the viscoelastic material. We prefer to use a 30-gauge needle. A variety of viscoelastic substances can be used. Sodium hyaluronate is less viscous but more easily injected and is a suitable substance in most eyes. If the surgeon wishes to employ a substance with higher viscosity, the injection will be more difficult, but the duration of formation of the anterior chamber will be longer, which has advantages in certain situations. It is important not to fill the needle with the viscoelastic material. Air should be left in the needle. With the patient seated at the slit lamp, the eye is anesthetized thoroughly with multiple instillations of a topical anesthetic agent, such as proparacaine. The eye is flushed well with an irrigating solution. A topical antibiotic is instilled. After the eye has been prepared, the patient is positioned at the slip lamp in a comfortable position. An assistant elevates the upper lid with an applicator. Excellent fixation of gaze is requested and obtained. With the patient seated comfortably, the cannula or needle is inserted into the paracentesis track. Once the needle is well into the anterior chamber, the injection is started. If a sharp needle is used, it is essential to follow the major guideline of any paracentesis track (see Fig. 5). Specifically, the needle must never point toward the iris or lens but must be in a plane parallel to the iris or lens. If the syringe is rolled in the fingers as the needle is advanced, the needle tends to cut through the cornea more easily, facilitating entry into the anterior chamber. Once the needle is thought to be in the anterior chamber, the plunger of the syringe is pressed, forcing the air out of the needle. If the tip of the needle is not all the way in the anterior chamber, the air will not form a bubble that rises spontaneously. The surgeon, by noting the air, determines that the needle is in the chamber. The viscoelastic material is injected slowly so that it does not push the iris in front of it, which may cause the pupil to be deformed and the iris to extrude into the area of filtration. The chamber should be deepened gradually until it has entirely resumed normal depth; in some cases, the surgeon may choose to make the anterior chamber slightly deeper than normal. The pressure within the globe should be monitored carefully to ensure that it is not raised excessively (see Fig. 15M). This technique of injection of viscoelastic material appears to be the preferable treatment for most grade II flat anterior chambers. This technique also can be performed under an operating microscope. Drainage of the Choroidal Detachment and Reformation of the Anterior Chamber. Probably the most definitive treatment of flat anterior chamber associated with hypotony and choroidal detachment is drainage of the fluid in the suprachoroidal space and reformation of the anterior chamber with saline. This technique, however, is more expensive and less convenient and carries greater risk to the patient than reformation of the anterior chamber alone with a viscoelastic substance. We believe that drainage of the choroidal detachment and reformation of the anterior chamber should be performed in the operating room under general anesthesia. A retrobulbar hemorrhage in an eye with excess filtration and a choroidal detachment can be a serious complication; consequently, retrobulbar injection is hazardous. Topical anesthesia usually is inadequate. The conjunctiva is excised over the area of the choroidal detachment or, if the detachment is extensive (as is usually the case), in the most convenient area, usually inferotemporally. The episclera is cleaned, and cautery is applied to the sclera approximately 4 to 7 mm posterior to the limbus. Balanced salt solution is injected into the anterior chamber through the previously placed paracentesis, raising the IOP. The anterior chamber should deepen as this maneuver is done. If, as the anterior chamber is filled with saline solution, the pressure rises and the chamber becomes flatter, the patient has either a malignant glaucoma with aqueous misdirection or a cyclodialysis cleft. Once the pressure has been increased, the incision through the sclera is completed and as much suprachoroidal fluid is allowed to drain as is feasible. The fluid drains slowly, and it may take 15 minutes or longer for most of it to exit from the incision. Periodically, the anterior chamber is filled with balanced salt solution. It should now deepen easily and rapidly and remain deep. After the surgeon concludes that enough suprachoroidal fluid has been drained, the overlying conjunctiva is closed carefully in two layers. The anterior chamber is filled through the previously placed paracentesis track. Atropine should be instilled throughout the procedure to ensure that the patient's cycloplegia is as complete as possible. Phenylephrine also is helpful. At the end of the procedure, atropine ointment is instilled, and antibiotic ointment is applied on top of that, followed by the eye patch. The patch usually is left in place for approximately 24 hours before the first dressing is applied. Suprachoroidal Hemorrhage Suprachoroidal hemorrhage is one of the most dreaded of all ocular complications. However, it usually should not take the surgeon by surprise, because the occurrence of a suprachoroidal expulsive hemorrhage is only likely to occur under certain circumstances. Risk factors for this complication are shown in Table 33. The occurrence of suprachoroidal hemorrhage intraoperatively is recognized by a sudden shallowing of the anterior chamber or firming of the globe. It is essential to recognize this immediately so that appropriate steps can be taken to prevent the otherwise catastrophic complications. Most simply, the initial step must be to prevent the exodus of any material from the globe. Thus, the globe must immediately be closed. When this can be accomplished before extrusion of any of the uvea, the long-term outcome is surprisingly only minimally affected by the occurrence of the suprachoroidal hemorrhage. The serious consequences of suprachoroidal hemorrhage are the extrusion of the uvea and retina, the late retinal detachment that may occur, or the damage caused by the surgeon managing the complication intraoperatively or postoperatively. The moral of the story is clear. The surgeon who is prepared for suprachoroidal expulsive hemorrhage can usually handle it well, and the patient will usually do well. Thus, patients who have the risk factors for suprachoroidal hemorrhage (Table 32) should have their technique modified to ensure that it is possible to close the eye immediately at any time. This necessitates placing sutures of sufficient strength that any incision can be immediately closed.
Table 33. Suprachoroidal Hemorrhage: Risk Factors Occurrence at time of surgery
In the postoperative period, a diagnosis of suprachoroidal expulsive hemorrhage can be made simply on the basis of the history provided by the patient. The typical history is the sudden onset of excruciating pain, often following coughing, sneezing, straining at stool, or some other activity that increases the venous pressure. Postoperatively the eyes that are most predisposed are those that have had a significant elevation of IOP for a long period and then become hypotonous. Bleeding into the suprachoroidal space at the time of surgery, or later, characteristically produces a partially or totally flat anterior chamber and usually severe pain. The IOP will vary depending on the amount of residual aqueous filtration and the extent of the hemorrhage; it can range from low (5 mm Hg) to high (50 mm Hg). Suprachoroidal hemorrhage can occur at the time of surgery or spontaneously after surgery. At the time of surgery, it is recognized by the sudden development of positive pressure with extrusion of intraocular contents, the appearance of a dark swelling in the fundus of the eye, and a rapidly enlarging choroidal detachment. The immediate management of suprachoroidal hemorrhage involves first closing the eye. Intravenous acetazolamide and/or mannitol are given to try to lower the IOP. Additional sutures are placed in the incision to make a watertight closure. Attention is then directed towards returning the eye to as healthy a condition as possible. This will take time and is assisted by the IOP-lowering effect of the acetazolamide and the mannitol. A viscoelastic is injected into the anterior chamber, the iris is reposited, and vitreous is meticulously removed from the incision. It is best not to attempt a large vitrectomy, and it is best not to drain the suprachoroidal hemorrhage. The goal is to ensure the closure of the eye and meticulous closure of the incision. Postoperatively, the patient is managed with cycloplegics, steroids, and antihypertensive agents to maintain the IOP in a satisfactory range. The IOP will usually fall spontaneously within several days. It is best to avoid draining the suprachoroidal fluid if possible. However, if pain is excruciating and unremitting or the suprachoroidal hemorrhage so extensive that the retinal surfaces are touching (“kissing choroidals”), then drainage of the hemorrhage is appropriate. If possible, it is preferable to wait until the fourth postoperative day, by which time the clot will have lysed and draining the hemorrhage is facilitated. The technique of drainage is essentially as the same as for a choroidal detachment, although the incision into the sclera may need to be larger. It is important to resist the temptation to try to grasp the clot and pull it out. It is not possible to distinguish between the clot and the choroid. If bleeding has occurred into the vitreous, meticulous vitrectomy with removal of the vitreous and the intravitreal blood is nearly always required to prevent a later retinal detachment. Bleeding Into the Anterior Chamber Bleeding into the anterior chamber is common, especially when the IOP is lower than the pressure in the episcleral veins. Thus, until the IOP rises to approximately 12 mm Hg, it is not unusual to see a hyphema. Only rarely does this hyphema require drainage. If more than 50% of the chamber is filled with blood, it usually is necessary to wash it out. It is important to keep the blood from the area of filtration so that it does not predispose the patient to loss of a functioning fistula. Thus, the patient should be instructed to maintain a posture that will keep the blood out of the fistula. If the pressure rises and remains in the anterior chamber, the situation becomes more serious. Blood staining can result. Drainage of the blood and revision of the guarded filtration procedure may be needed in these cases. Bleb Infection Approximately 1% of thin, polycystic blebs become infected. The bacteria can pass into the anterior chamber and cause endophthalmitis. This type of infection usually responds well to treatment. However, in some cases, especially where there is a connection between the bleb and the vitreous, the rate of progression of the infection can be fulminating, and the eye can be lost rapidly. The general principles of treating endophthalmitis largely apply, with the important exception that if the infection is limited to the bleb (with a clear vitreous), a vitreous tap and placement of intravitreous antibiotics are not necessary and are not recommended. If it is clear that the infection is limited to the bleb itself, with a minimal anterior chamber reaction, no hypopyon, and no involvement of the vitreous, treatment with topical antibiotics is usually adequate. Agents must be chosen that will cover the full range of organisms. Fortified gentamicin and a cephalosporin make a good combination, alternating the drops every hour. The patient must be meticulously monitored, and if there is increasing pain, decreasing vision, or other signs of increasing infection, then the patient must be treated as if he or she has a full-fledged endophthalmitis. One of the complications of a blebitis is a failure of the bleb. Consequently, as soon as it is clear that the infection is responding to the antibiotics, institution of topical corticosteroids is usually appropriate. Prednisolone 1% four times daily is a satisfactory choice. The IOP must be followed carefully because the bleb may fail and the pressure may rise suddenly and destructively. Infections of the bleb and endophthalmitis are increasingly important concerns since the addition of the adjunctive use of antimetabolites at the time of filtration surgery. When filtration procedures are performed inferiorly, the incidence of endophthalmitis has been reported to be 8%.35,41,42 When procedures are performed superiorly with antimetabolites, the type of blebs that develop typically are predisposed to developing endophthalmitis. Tears in the Conjunctival Flap The most common cause of flat anterior chamber is excess filtration. One of the most frequent causes of excess filtration is a tear in the conjunctival flap or leakage from the cut edge of a fornix-based conjunctival flap. Whenever there is a flat anterior chamber, the ophthalmologist must search diligently for the presence of such a tear in the conjunctiva. Such a search cannot be considered complete unless a positive-pressure Seidel test with fluorescein has been performed. The importance of searching for such tears cannot be overemphasized. Procedures that otherwise could have been salvaged result in failures because the surgeon has overlooked such tears. As excess filtration continues, the globe softens; the bleb flattens; the ciliary body stops secreting aqueous; the sclerostomy closes; peripheral anterior synechiae develop; and when the ciliary body again starts secreting, the pressure rises rapidly—the filtration procedure has failed. In contrast, when such tears are recognized and treated appropriately, most procedures can be salvaged. If the leak is back at the conjunctival incision, it may close spontaneously, but it is relatively easy to resuture such leaks. The surgeon should plan to resuture such leaks in most cases. If the tear is superficial and is located away from the superior incision of the limbus, it may be necessary to close the tear with a fine suture such as 10-0 nylon with a vascular needle. A purse-string suture is placed around the tear, with care taken not to penetrate through the conjunctiva; the surgeon attempts to keep the needle in the potential space between the conjunctiva and Tenon's capsule. The suture is pulled tightly, atropine ointment and an antibiotic ointment are instilled, corticosteroids are discontinued, and the eye is patched for 24 to 48 hours. If the conjunctival tear is directly at the limbus, it may be covered with a contact lens or with glue (cyanoacrylate) over which a bandage contact lens is placed. If glue is not available or does not work, the tear may require resuturing, which can be done by using a horizontal mattress suture of 10-0 nylon, picking up the conjunctiva about 1 mm posterior to the tear and suturing it into the cornea 1 to 2 mm anterior to the limbus. Excessively Leaking Blebs Excessively leaking blebs are an increasingly common problem. This is related to the frequent use of antimetabolites at the time of surgery. In addition, blebs can become excessively leaking even in the absence of the use of an antimetabolite. Blebs can cause problems by being too high, too extensive (spreading circumferentially nasally or temporally), or too thin or because they develop full-thickness holes that leak. The excessively high bleb is associated with discomfort resulting from drying of the cornea adjacent to the bleb and may be frankly cosmetically disfiguring. These blebs can often be reduced by treating them with laser energy, cyclocryotherapy, or trichloracetic acid. The bleb that is dissecting circumferentially also can cause symptoms of photophobia, foreign body sensation, and discomfort. Cyclocryotherapy can sometimes be helpful. Initial treatment is the use of an ointment and artificial tears. These eyes are often troublesome to the patient but not to the point of being intolerably uncomfortable. Delimiting sutures can be placed adjacent to the area of the sclerostomy and are sometimes of benefit. A 6-0 Vicryl suture is placed in the cornea immediately temporal to the area of the desired bleb. This suture is then sutured into the sclera approximately 6 mm posterior to the limbus and secured tightly to the loose end of the cornea. This results in a mattress type of suture, which is pulled tightly onto the sclera, compressing the conjunctiva against the sclera. A similar suture is placed just nasal to the desired area of the bleb. Thus, the bleb is enclosed between the two delimiting mattress sutures. These are left in place until they dissolve spontaneously. By that time they have usually caused sufficiently intense inflammation so that the excessive filtration circumferentially is gone or at any rate lessened. Blebs that are too thin can occasionally be handled successfully by injecting blood directly into the bleb. Blood is drawn from the antecubital vein, and the needle on the syringe is changed to a 20-gauge needle. The conjunctiva is punctured with a needle approximately 4 mm away from the area of the bleb, and the needle introduced into the area of the bleb. Blood is injected directly into the bleb, as well as into the surrounding areas around the bleb. This injection may result in total loss of the bleb or may cause the blood to pass through the sclerostomy into the anterior chamber with a consequent hyphema and reduced acuity. This type of bleb injection is worth trying because of its relatively low morbidity, but it has only an approximately 50% chance of succeeding. When there is a frank hole in the filtering bleb, the seriousness of the bleb complication increases markedly. Such blebs are prone to injection, leading to blebitis and/or endophthalmitis. In addition, they are often associated with IOPs that are sufficiently low so that the patient has a marked diminishment of vision. Thus, blebs with full-thickness holes usually need surgical repair. It is important, then, to search for such holes with a meticulously performed Seidel test in every instance in which there is a bleb problem. This is especially the case when the IOP is low. However, full-thickness holes can be present even in association with IOPs in the range of 8 mm Hg or higher. Repair of these blebs is a difficult task, and the patient and the surgeon must be prepared for complete failure of the filtration procedure. The general principle is the removal of the area of defective tissue (usually ischemic) and coverage of the area of the sclerostomy with fresh Tenon's and conjunctiva. This always requires extensive mobilization of the tissues and is time consuming and technically difficult. If the tissues are pulled too tightly over the area of the filtration site, they will often retract, leaving an area of an open sclerostomy or excessively thin tissue. In addition, such an approach may cause ptosis or limitation of upward gaze, with disturbing double vision. A sliding or free conjunctival graft may be necessary in such cases. Overhanging Blebs Some blebs gradually extend down over the cornea until they reach the visual axis, causing interference with vision. These blebs can also cause foreign body sensations. When the bleb is fairly healthy and multiloculated it is usually possible merely to elevate the bleb off the cornea with a blunt instrument such as a Barraquer spatula and then amputate the overhanging portion directly at the limbus. There will be momentary leakage through the cut edge of the bleb, but in most instances this abates rapidly and without complication. Excessive Bleb Resulting From Excessive Filtration Through the Sclera In some cases the IOP is too low and filtration is excessive because of excessive leakage through the sclera. This rarely can be corrected by handling the conjunctiva and Tenon's capsule alone. Rather, attention must be directed towards the excessive leakage through the sclera. In some instances this can be closed with sutures directly. However, the surgeon must be careful not to put the tissues under too great tension to avoid the production of disturbing astigmatism. When this is a frank gape it is necessary to plug the hole and then to cover it well. One way to accomplish this is to cut out a small piece of autologous sclera or donor material such as Tutoplast. Once the integrity of the globe has been restored so that it is possible to raise the IOP when saline is introduced into the anterior chamber, then the area of the repair is meticulously covered with Tenon's capsule and conjunctiva. Bleb Failure Blebs can fail in the immediate or late postoperative period. Excessive bleb function is discussed earlier. Bleb failure means inadequate leakage through the bleb. This usually occurs because of adhesion of the conjunctiva to the sclera around the area of the sclerostomy, preventing circumferential flow of aqueous and loculating it in the area of an encapsulated bleb or a scarring of the conjunctiva to the sclera itself, which eventually plugs the area of the sclerostomy. In every instance it is essential to examine the patient with the gonioscope to determine that there is no intraocular cause for the bleb failure such as iris incarceration. Most encapsulated blebs will be associated with a rise in pressure, usually into the 30s mm Hg, but with time, in around three quarters of the eyes, IOP will return to a lower level. The final IOP is rarely below 20 mm Hg, and consequently postoperative medications are often necessary. Nevertheless, such eyes can often do well. In the immediate postoperative period, one should manage these eyes with topical steroids in tapering doses and aqueous suppressants such as a topical beta-blocker or carbonic anhydrase inhibitor. The use of subconjunctival 5-FU has been suggested and may possibly be beneficial. When the IOP does not fall to the desired level or in those eyes in which an IOP of around 15 mm Hg or below is believed essential, then needling the bleb may be helpful. This results in an immediate fall in IOP, and both the surgeon and the patient feel gratified. However, long-term results of needling are disappointing, and we do not use the procedure widely. The technique of needling is to anesthetize the eye well with a topical anesthetic. A 25-gauge needle on a syringe is bent to make its introduction into the conjunctiva and across the surface of the globe more easily accomplished. The conjunctiva is penetrated approximately 5 mm from the outer edge of the encapsulated bleb or the failure bleb, and the tip of the needle carefully advanced in the subconjunctival space, trying to avoid the episcleral vessels and carefully avoiding re-penetration of the conjunctiva. The needle is advanced until it reaches the area where the bleb has become adherent to the sclera. It is advanced through that adhesion, withdrawn, angled slightly, and advanced through the adhesion multiple times. An effort is then made to connect the perforations so that the entire area of adhesion has been severed from the underlying sclera. As this happens the bleb will become higher in most instances. This permits passing the needle past the sclerostomy to the adhesion on the opposite side, where a similar needling and cutting technique is employed. If the bleb does not become immediately higher, then it is clear that there is blockage in the sclera itself. In such a case the needle can be directed into the sclera, trying to open the scarred scleral flap, and a similar technique is used so that the sclerostomy is reopened or a new sclerostomy formed. Following the needling, 5-FU is introduced away from the bleb in a method described elsewhere, using a cohesive viscoelastic as a “stopper.” The needling without the use of an antimetabolite such as 5-FU is rarely of any long-term benefit and is not recommended. Specific complications that are related to specific procedures, such as failure of a cyclodialysis cleft, are dealt with in the sections describing the surgical technique of those specific procedures. |