Chapter 4
Granulomatous Inflammation
MARTHA FARBER
Main Menu   Table Of Contents

Search

POST-TRAUMATIC
NONTRAUMATIC INFECTIOUS
NONTRAUMATIC NONINFECTIOUS SYSTEMIC
REFERENCES

Chronic granulomatous inflammation is a proliferative inflammation characterized by macrophages usually surrounded by lymphocytes and on occasion by plasma cells, polymorphonuclear leukocytes, and eosinophils. Epithelioid cells are modified macrophages that are actively involved in phagocytizing foreign material. Multinucleated giant cells are formed by fusion of macrophages and have different names (Langhan's, foreign body giant cell, Touton giant cell) depending on the configuration of the nuclei within the giant cell.

The agents causing this type of inflammation are low-grade irritants including traumatically introduced foreign material or endogenous material such as keratin, lipid, blood, cholesterol, and lens protein, and infectious agents of low virulence such as viruses, fungi, protozoa, helminths, and bacteria that are obligate intracellular parasites. Infectious agents can often be identified histopathologically with the use of special stains such as acid-fast stains, silver stains, and periodic acid-Schiff (PAS) stain. Granuloma formation may be due to specific cyto-kines distributed in tissue that differ from the cyto-kines of acute inflammation or the cytokines associated with wound repair. There are also some granulomatous systemic inflammations for which the cause is still unknown, such as sarcoidosis and rheumatoid arthritis.

Back to Top
POST-TRAUMATIC
Injury to the globe with or without retention of foreign material may cause granulomatous inflammation.

SYMPATHETIC UVEITIS (SYMPATHETIC OPHTHALMIA)

Sympathetic uveitis is a T-cell-mediated, bilateral, diffuse granulomatous uveitis that occurs after penetrating ocular trauma or surgery.1–5 The injury of ten involves uveal incarceration or prolapse. Although the inflammation may start as early as 5 days or as late as 50 years after injury, more than 90% of cases occur 3 weeks to 3 months after injury.6,7 A review of cases submitted to the Armed Forces of Pathology before 1950 revealed phacoanaphylactic endophthalmitis, another presumed autosensitivity disease, in 25% of patients with sympathetic uveitis. Only 5% of the sympathetic uveitis cases submitted after 1950 had associated phacoanaphylactic endophthalmitis. The marked reduction in cases manifesting both diseases probably is attributable to advances in the management of penetrating wounds.

Usually, removal of the injured eye before sympathetic uveitis occurs completely protects the noninjured eye against inflammation. Rarely, sympathetic uveitis has been reported to develop in the sympathizing (noninjured) eye after the injured eye has been enucleated.8 Once the inflammation starts, however, removal of the exciting eye probably has little effect on the course of disease.9,10 Some evidence suggests that the prognosis for vision may be favorably affected by early enucleation of the exciting eye. Sympathetic uveitis in nontraumatized eyes has been reported in a few isolated cases. A diagnosis of sympathetic uveitis in the absence of an ocular injury, however, should be viewed with skepticism.11 Unless the whole eye is sectioned serially and examined carefully for evidence of perforation, one cannot rule out the presence of some long-since-forgotten penetrating ocular wound.

The acute onset of sympathetic uveitis generally is heralded by symptoms of blurred vision and photophobia in the sympathizing eye. Vision and photophobia worsen concurrently in the exciting eye, and a granulomatous uveitis develops. Biomicroscopy often reveals mutton-fat keratic precipitates in both eyes (Fig. 1). These precipitates consist of collections of epithelioid cells plus lymphocytes, macrophages, multinucleated giant cells, and pigment on the posterior surface of the cornea. Ocular hypertension may develop due to blockage of the angle by cellular debris or peripheral anterior synechiae. Occasionally, hypotonia occurs from decreased aqueous output by the inflamed ciliary body.

Fig. 1. Mutton-fat keratic precipitates in granulomatous uveitis.

The cause appears to a delayed type of hypersensitivity reaction of the uvea to antigens localized on the retinal pigment epithelium (RPE), uveal melanocytes, and photoreceptors.12 The lymphocytic infiltrate consists almost exclusively of T lymphocytes, mainly suppressor-cytotoxic T cells.13–15 Sympathetic uveitis also shares many histologic features with Vogt-Koyanagi-Harada disease. The relation between the two diseases remains uncertain.16–19

Sympathetic uveitis is a clinicopathologic diagnosis alone20 (Fig. 2). There are four characteristic histologic findings of both the sympathizing and the exciting eye:

Fig. 2. Sympathetic ophthalmia. A. Subretinal deposits in the midperipheral retina corresponding to Dalen-Fuchs nodules seen histopathologically. B. Fluorescein angiogram of multifocal areas of leakage at the level of the RPE. (A and B courtesy of William C. Frayer, MD.) C. Exudative retinal detachment and diffuse granulomatous inflammation in the choroid. D. The inflammation consists primarily of epithelioid cells and small lymphocytes. The choriocapillaris is spared.

  1. Diffuse uveal thickening is caused by a granulomatous inflammation composed predominately of epithelioid cells and lymphocytes. Sometimes eosinophils are plentiful, but plasma cells typically are few or moderate in number and neutrophils are rare or absent. Often the anterior segment is distorted by the trauma, and in these cases the posterior choroid is the best place to look for evidence of granulomatous inflammation.
  2. The choriocapillaris and the posterior retina are spared from the inflammatory process.17,21 Granulomatous inflammation may involve the ora serrata.
  3. Many of the epithelioid cells contain phagocytosed uveal pigment.22,23
  4. Collections of epithelioid cells lying between Bruch's membrane and the RPE are called Dalen-Fuchs nodules. These cells are derived primarily from circulating monocytes and macrophages.14 Some of the cells may be derived from RPE cells.24 Localized retinal detachments may be present, particularly overlying coalescing Dalen-Fuchs nodules.6

Granulomatous inflammation may extend into the uveal tissue that normally is present in the scleral canals and in the vicinity of the optic disc. Therefore, an evisceration that leaves behind the sclera and optic nerve does not protect a patient against sympathetic uveitis. If surgery is performed to prevent sympathetic uveitis, it must be an enucleation.25

PHACOANAPHYLACTIC (PHACOANTIGENIC) ENDOPHTHALMITIS

Phacoanaphylactic endophthalmitis is a unilateral (sometimes bilateral if the lens capsule is ruptured in each eye),17 zonal granulomatous inflammation centered around lens material. It depends on a ruptured lens capsule for its development.26–28 The disease is thought to be a result of a breakdown in tolerance to lens protein liberated through a rupture in the lens capsule.

Antibodies are formed against these lens proteins. The antibodies reach the lens remnants in the eye, and an antibody-antigen reaction called phacoanaphylactic endophthalmitis occurs. Lens protein is normally recognized by the immune system as self. The condition may be considered an autoimmune disease process that results from the breakdown or reversal of central tolerance to lens protein at the T-cell level.29 Small amounts of circulating lens protein normally maintain T-cell tolerance, but tolerance may be altered pathologically as a result of trauma, possibly through the adjuvant effects of wound contamination.16,30

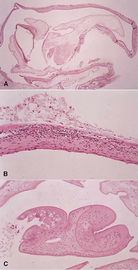
Histologically, in addition to the findings of trauma sufficient to rupture the lens capsule, a zonal granulomatous inflammation is found surrounding the injured lens. Neutrophils envelop and seem to dissolve the lens protein (Fig. 3). They are surrounded by epithelioid cells and occasional (sometimes abundant) multinucleated giant cells. Lymphocytes, plasma cells, fibroblasts, and blood vessels (granulation tissue) surround the epithelioid cells. Usually, if the lens is not dislocated posteriorly by the trauma, the iris also is encased in this inflammation and inseparable from it. The uveal tract generally shows a reactive, chronic nongranulomatous inflammatory reaction. On occasion, however, the same trauma that ruptures the lens capsule and produces the phacoanaphylactic endophthalmitis also sets off a sympathetic uveitis. As surgical techniques for repairing traumatized globes have improved, these two conditions do not accompany each other as frequently as they once did.

Fig. 3. Phacoanaphylactic endophthalmitis. A. Massive endophthalmitis associated with ruptured lens capsule. B. Zonal granulomatous inflammation surrounds the lens material. C. High magnification of the giant cells surrounding lens fibers.

Unlike the lens protein that escapes through a ruptured lens capsule, the lens material that leaks through an intact lens capsule in mature or hypermature cataracts presumably is denatured. This denatured protein incites a macrophagic response but apparently is incapable of acting as an antigen and eliciting an antibody response. The macrophages, swollen with their engulfed denatured lens material, may block the anterior drainage angle and cause an acute secondary open-angle glaucoma called phacolytic glaucoma.31

FOREIGN BODY GRANULOMAS

Foreign body granulomas may develop around exogenous foreign bodies that generally are introduced into the eye at the time of a penetrating wound (Fig. 4).32–34 They also may develop around endogenous products such as blood, cholesterol, keratin, or lipid. Blood in the vitreous, on rare occasions, incites a foreign body inflammatory response.35 When this occurs, the intravitreal hemorrhage almost invariably is traumatic in origin, rather than spontaneous. Histologically, a zonal type of granulomatous inflammatory reaction surrounds the foreign body.33,36

Fig. 4. Foreign body granuloma. A. Conjunctival granuloma from “teddy bear” hairs. B. Birefringent fibers during polarization microscopy within the granuloma. (A and B courtesy of Morton Smith, MD.) C. Intraocular granulomatous inflammation surrounding a human hair introduced during penetrating trauma to the globe.

Back to Top
NONTRAUMATIC INFECTIOUS
Many different organisms (fungi, bacteria, viruses, parasites) can produce a granulomatous inflammation within the eye and ocular adnexa. These infectious agents are sometimes difficult to distinguish clinically, and in immunodeficient patients concurrent infections with more than one organism may occur.37 Histologic examination with the use of special stains is helpful in determining the causative agents. Immunoperoxidase studies, in situ hybridization, and the polymerase chain reaction (PCR) are sometimes needed to identify the organisms.38,39

VIRAL

Cytomegalic Inclusion Disease (Salivary Gland Virus)

Cytomegalic inclusion disease is caused by the cytomegalovirus (CMV), a herpes virus with a double-stranded DNA core. Congenital and acquired forms of the disease exist. Cytomegalic inclusion disease is the most common viral infection of the neonate, with an incidence of 5 to 20 per 100 live births. The congenital infection is characterized by low birth weight, jaundice, retinochoroiditis, hepatosplenomegaly, and neurologic involvement. Clinically, the central retinochoroiditis is similar to congenital toxoplasmosis except for the lack of hemorrhage in toxoplasmosis. Laboratory testing reveals thrombocytopenia, anemia, and intracranial calcifications. Most infected infants are asymptomatic at birth.

The adult form is found mainly in patients who are immunosuppressed due to chemotherapy, cancer,40 or organ transplants41 or who are immunodeficient due to human immunodeficiency virus (HIV) infection.42–46 CMV retinitis is the most common ocular infection in patients with acquired immune deficiency disease (AIDS). The adult acquired CMV form starts with scattered, white retinal dots or granular patches that may become confluent.41,42 These may begin in the peripheral or central retina and are associated with sheathing of retinal vessels and retinal hemorrhages.47,48

Histologically, a primary, coagulative, necrotizing retinitis and a secondary, diffuse, granulomatous choroiditis are seen. This choroidal infiltrate is minimal in AIDS patients with CMV retinitis. The infected retinal cells show large eosinophilic intranuclear inclusions and small, multiple, basophilic intracytoplasmic inclusions, both of which are highly characteristic of CMV.49,50 The intracytoplasmic inclusions consist of numerous virions closely associated with dense masses of matter (PAS positive on light microscopy). The intranuclear inclusions are formed by the presence of virions within a mass of viral subunit material that forms a lacy, centrally located pattern in the nucleus.50 The nucleolus is marginated and free of virions. Clumping of peripheral chromatin is lacking (Fig. 5).

Fig. 5. CMV retinitis. A. The gross specimen showing granular white patch of CMV retinitis at the ora serrata in an immunosuppressed renal transplant patient. B. Optic nerve swelling with retinal inflammation and hemorrhage. C. Sectoral area of atrophy surrounded by active CMV retinitis and hemorrhage. D. The normal retina suddenly becomes necrotic in the area of viral infection. E. High magnification of the retina with characteristic “owl's eye” intranuclear inclusions.

Herpes Zoster Ophthalmicus

Ocular complications occur in more than 50% of cases of herpes zoster ophthalmicus.51 Corneal complications include dendritic ulcer (rare), ulceration, perforation, peripheral erosions, bullous keratopathy, pannus formation, stromal vascularization, hypertrophy of the corneal nerves, ring abscess, granulomatous reaction to Descemet's membrane, and endothelial degeneration. Peripheral anterior synechiae, exudate, and hyphema may be present in the anterior chamber. A chronic nongranulomatous anterior uveitis usually develops. A fibrovascular membrane of the anterior surface of the iris, posterior synechiae, and cataract formation can complicate the inflammation. A mild mononuclear infiltrate may be found in the vitreous. A perivasculitis and vasculitis may be present in the retina, optic nerve, and long posterior ciliary vessels. The varicella virus has also been detected in progressive outer retinal necrosis, an extremely rapid retinal infection found in AIDS patients.52 Chronic nongranulomatous inflammation is also seen in the choroid, long posterior nerves, and optic nerve meninges.53 Less commonly, a granulomatous inflammation may involve the choroid. Acute and chronic inflammation of the sclera and episclera also is a complication in herpes zoster ophthalmicus.

Histologically, the most characteristic findings are the lymphocytic (chronic nongranulomatous) infiltration involving the posterior ciliary nerves and vessels, frequently in a segmental distribution. This may result in a diffuse or patchy necrosis and atrophy of the iris and pars plicata (Fig. 6). Granulomatous inflammatory lesions surrounding areas of necrosis also may be seen, most commonly in the choroid or surrounding Descemet's membrane.54 Inclusion bodies have not been demonstrated in the chronic inflammatory lesions.55,56

Fig. 6. Varicella zoster virus. A. Ophthalmic branch of trigeminal nerve, including the tip of the nose. B. Iris pigment epithelium necrosis and ciliary body inflammation. C. Chronic inflammation sheaths the retinal vessels. D. Necrosis and inflammation within the optic nerve. E. Progressive outer retinal necrosis.

BACTERIAL

Mycobacteria

TUBERCULOSIS (Mycobacterium tuberculosis). The hematogenous spread of the tubercle bacilli from the lungs is the major route for intraocular infection. HIV-infected patients are at high risk for infection. The most common form of ocular involvement with tuberculosis is a uveitis (choroidal tubercles are most common) that may spread to involve the retina.57–59 The involvement may become massive to form a large tuberculoma involving all coats of the eye (panophthalmitis). Clinically, mutton-fat keratic precipitates are seen on the posterior surface of the cornea. Histologically, the classic pattern of caseation necrosis consists of a zonal type of granulomatous reaction around the areas of coagulative necrosis. A smooth, acid-fast bacillus can be demonstrated by special stains.60

LEPROSY (Mycobacterium leprae). There are two forms of leprosy, lepromatous leprosy and tuberculoid leprosy.

In lepromatous leprosy, the lepromin test (analogous to the tuberculin test) is negative, suggesting little or no immunity. The prognosis is poor. Lepromas of the skin result in leonine facies and neurologic changes. Most often, the anterior portion of the eye is involved with inflammation.61–63 Histologically, a diffuse type of granulomatous inflammation containing lepra cells, histiocytes with amorphous cytoplasm, and Virchow cells, histiocytes with vacuolated cytoplasm, is present, mostly in the anterior portion of the eye. This is thought to be due to the fact that the bacteria grow better in the cooler anterior portion than the warmer posterior portion of the eye, similar to the skin being more involved than deeper structures of the body.

In tuberculoid leprosy, the leproma test is positive, suggesting immunity. The prognosis is good. A neural involvement predominates, with hypopigmented (vitiliginous), hypoesthetic lesions and thickened nerves. The ulnar nerve is particularly vulnerable, leading to the characteristic claw hand. The ocular adnexa and orbital structures are involved, especially the ciliary nerves, but not the eyeballs. Histologically, a discrete (sarcoid, tuberculoid) type of granulomatous inflammatory reaction is seen, centered mainly around nerves. The individual nodules tend to be of much more varied sizes than those in sarcoidosis or miliary tuberculosis. Because there is good immunity, organisms are much harder to find and are generally located in an area of nerve degeneration.

NONTUBERCULOUS MYCOBACTERIA (Mycobacterium chelonei, M. fortuitum, M. avium-intracellulare).

These opportunistic organisms can cause periocular infection,64 keratitis,65 granulomatous uveitis, which may be asymptomatic if in the choroid, or a panophthalmitis. The infection is seen most often in immunocompromised patients. Histologically, discrete granulomatous inflammation within the uvea or inflammatory, necrotic masses may be present. Acid-fast bacilli are detected within the cytoplasm of macrophages as well as free within the necrotic tissue (Fig. 7).74

Fig. 7. Mycobacterial infections. A. Choroidal tuberculoma with overlying retinal involvement and uveitis in an AIDS patient. B. Choroidal granuloma in an AIDS patient with M. avium-intracellulare. C. Acid-fast stain reveals intracytoplasmic M. avium-intracellulare.

Spirochetes

LYME DISEASE. There are three overlapping chronologic stages of Lyme disease, caused by the spirochete Borrelia burgdorferi.67 The bacteria are transmitted by the Ixodes dammini tick. Within 4 to 20 days of a tick bite, the first stage is heralded by a red rash, erythema migrans, at the site of the bite. Flulike symptoms, including fever, swollen lymph nodes, and malaise, are often present at this stage. ocular findings at this stage may include a follicular conjunctivitis. The second state of the disease occurs weeks to months later and has systemic findings, including skin lesions, cardiac and central nervous system symptoms, and arthritis. At this stage ocular signs may include blepharoconjunctivitis, bilateral granulomatous uveitis, neuroretinitis, cranial nerve palsies, and pupil abnormalities. Stage three can occur months to years after a disease-free period and is characterized by Lyme arthritis, which occurs in more than 50% of untreated patients. Central nervous system disease and keratitis, scleritis, and extraocular muscle inflammation may occur. Enzyme-linked immunosorbent assays, Western blot analysis, or PCR can detect antibody against the Borrelia antigens.68

SYPHILIS (Treponema pallidum). Both the congenital and acquired forms of syphilis may produce a nongranulomatous interstitial keratitis or anterior uveitis.69,70 The common form of posterior uveitis is a smoldering, indolent, chronic, nongranulomatous inflammation. It is characterized by disseminated, large, atrophic scars surrounded by hyperplastic RPE. A more virulent type of uveitis may occur with a granulomatous inflammation.71 Both the nongranulomatous and the granulomatous forms of uveitis often involve the overlying retina72 and can also involve the anterior uvea.73 When anterior chamber involvement occurs, spirochetes may be obtained by aspiration of aqueous from the anterior chamber. The uveitis often occurs during the secondary and tertiary phases of the infection, when skin lesions and central nervous system findings are present (Fig. 8). Histologic findings in the nongranulomatous disseminated form of posterior choroiditis include atrophy and scarring of outer retinal layers, RPE, and inner choroidal layers. Scattered lymphocytes and plasma cells may be present. Dehiscences in Bruch's membrane may occur, through which retinal elements may invade the choroid. Bruch's membrane may be folded into the atrophic, sclerosed choroid. The treponema spirochetes can be demonstrated in the ocular tissue with special stains, often in areas devoid of inflammatory cells. In the granulomatous form of posterior chorioretinitis, the inflammatory process generally involves the choroid and overlying retina and is quite vascular. Epithelioid cells, lymphocytes, and plasma cells are seen. Treponemas can be demonstrated in the inflammatory tissue with the Warthin-Starry stain.

Fig. 8. Syphilis. A. Patient with skin lesions of secondary phase of syphilis. B. Granulomatous inflammation within the biopsy of the skin lesion. (A and B courtesy of Richard Smith, MD)

Streptothrix

Actinomyces and Nocardia organisms are responsible for Streptothrix infection of the lacrimal sac and a chronic form of conjunctivitis. The organisms are gram-positive and weakly acid-fast bacteria.75 Histologically, the organisms are seen as delicate, branching, intertwined filaments surrounded by necrotic tissue (Fig. 9). Occasionally, giant cells are seen, but usually there is little inflammatory component. The colonies can be seen macroscopically as gray or yellow “sulfur” granules.

Fig. 9. Actinomyces. A. Woman with acute dacryocystitis. B. Gram stain shows gram-positive fine filamentous bacteria. C. Actinomyces also stain positively with the GMS stain. A “sulfur” granule is present at the bottom of the photo.

Cat-Scratch Disease

Bartonella henselae (formerly Rochalimaea henselae)76 can cause Parinaud's ocular glandular fever, neuroretinitis, and orbital infiltrates. Cat-scratch disease is a subacute regional lymphadenopathy and can have systemic manifestations, including an antecedent flulike illness, splenomegaly, mediastinal masses, and encephalopathy. B. henselae, a pleomorphic gram-negative rod, is also thought to be the causative agent of bacillary angiomatosis and trench fever. In immunodeficient patients, it can cause a retinitis that is indistinguishable from CMV retinitis.77 A scratch from a cat or kitten or a bite from the cat flea can cause the disease. Cat-scratch disease antigen skin tests, indirect fluorescent antibody tests, blood tests, and PCR may be helpful in diagnosing the disease.78–80 Histologically, a discrete granulomatous inflammation can be seen within lymph nodes with organisms detected by the Warthin-Starry stain.81

TULAREMIA (Francisella tularensis). The granulomatous conjunctivitis and regional (preauricular) lymphadenopathy caused by tularemia is called Parinaud's oculoglandular syndrome. The organism is very difficult to culture, and thus diagnosis is made by serologic testing. Organisms are transmitted to humans through insect bites.82

WHIPPLE DISEASE (Tropheryma whippelii). Whipple disease may cause a chronic bilateral granulomatous uveitis, vitreous hemorrhage, or optic nerve swelling. The organisms are PAS-positive, diastase-resistant bacilli. The organism has been identified histopathologically in a vitrectomy specimen. PCR may also be helpful in confirming the diagnosis.83

FUNGAL

Phycomycosis (Mucormycosis, Zygomycosis)

The human infection phycomycosis is caused by the genera Mucor and Rhizopus in the class of fungi Phycomycetes. The infection is most commonly found in patients with severe acidosis, most often due to diabetes but also to diarrhea, burns, or immunosuppression. The fungi have a predilection for blood vessels and can infect the eyelids, eyeball, and orbit.84

Histologically, the broad, nonseptate hyphae are readily seen on hematoxylin-and-eosin staining within thrombosed blood vessels.85 Nongranulomatous and granulomatous as well as acute suppurative inflammation may be present (Fig. 10).

Fig. 10. Mucormycosis. A. Young diabetic man with mucormycosis. Sutures are from biopsy. There is necrosis of the globe and orbit due to thrombosis of blood vessels. B. Full-thickness lid tissue with multiple granulomas in mucormycosis. C. Many giant cells within the granuloma. D. PAS-positive Mucor organisms, several in cross-section and one showing the broad, branching nonseptate hyphae. E. A posterior ciliary artery with many hyphae within the wall and lumen of blood vessel.

Candidiasis

Candida albicans may cause a keratitis or a chorioretinitis that may extend to become an endophthalmitis if systemic antifungal therapy is delayed.86,87 The endophthalmitis is most likely to occur in patients with an underlying disease that has rendered them immunologically deficient.88,89 The increased incidence of disseminated candidiasis in recent years correlates with the use of modern chemotherapy and with the emergence of AIDS. Histologically, budding yeasts and pseudohyphal forms usually are seen surrounded by a chronic nongranulomatous reaction, but sometimes they are seen surrounded by a granulomatous reaction.86

Blastomycosis, cryptococcus, coccidioidomycosis, aspergillosis, and histoplasmosis are all systemic fungal infections that can spread to the eye. Most often the primary infection is pulmonary.88,90,91 Often the patients are immunosuppressed or immunodeficient.92 There may be eyelid,93 corneal, uveal,94,95 or orbital96 involvement or a panophthalmitis. Organisms have been identified within a diffuse, zonal granulomatous infection in the uvea (Fig. 11).

Fig. 11. Coccidioidomycosis. An anterior chamber biopsy specimen showing coccidioidomycosis spherules containing many spores in a patient with a granulomatous iritis. (Courtesy of Morton Smith, MD)

The main ocular manifestation of rhinosporidiosis (Rhinosporidium seeberi) is a lid or conjunctival infection.98,99 Large sacs or spherules are filled with spores. A nongranulomatous or, less likely, granulomatous inflammation may surround the organisms.

Ocular involvement in sporotrichosis (Sporothrix schenkii) is usually the result of direct extension from primary cutaneous lesions of the lid and conjunctiva eroding into the eye and orbit. Less frequently, the ocular and adnexal lesions result from hematogenous dissemination of the fungus.100 The organisms are found surrounded by a granulomatous inflammation.

PARASITIC

Toxoplasmosis

The definitive host of the intracellular protozoan Toxoplasma gondii is the cat, but many intermediate hosts (e.g., humans, rodents, and fowl) are known. The parasite primarily invades retinal cells directly. Both congenital and acquired forms of toxoplasmosis are recognized.101 The congenital form is associated with encephalomyelitis, visceral infestation (hepatosplenomegaly), and retinochoroiditis. If a woman has dye-test antibodies when pregnancy is established, she will not transmit the disease to the fetus.102 If she is dye-negative at the beginning of pregnancy, there is some risk of her transmitting toxoplasmosis to the fetus if she acquires the disease during pregnancy. There is a 14% chance that the child will show severe manifestations of the disease. If toxoplasmosis is acquired during the first trimester of pregnancy, it may cause activation of ocular disease in the mother.

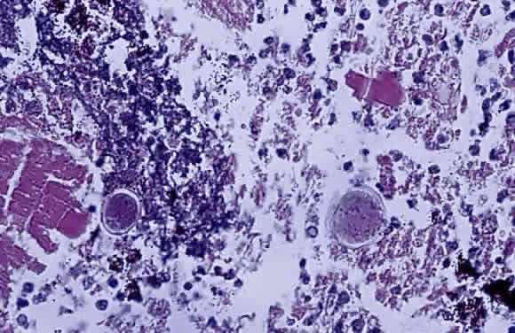
The acquired form of toxoplasmosis usually presents as a posterior uveitis.103,104 The acquired form may occur in persons who have immunologic abnormalities of many types.105 Histologically, the protozoa are found in three forms: free, in pseudocysts, or in true cysts.106 They usually are seen in an area of coagulative necrosis of the retina.107 The underlying choroid (and sometimes sclera) contains a secondary diffuse granulomatous inflammatory infiltrate.108,109

In rare instances, the protozoa may be found free within the retina. Commonly, a protozoan enters a retinal cell and multiplies within the confines of the cell membrane. All that is seen histologically, therefore, is a group of protozoa surrounded by the retinal cell membrane, the whole formation being called a pseudocyst. An intracellular protozoan may surround itself by a self-made membrane, multiply, and then form a true cyst that extrudes from the cell and lies free in the tissue. True cysts are found in the late stage of the disease, at the time of remission (Fig. 12).

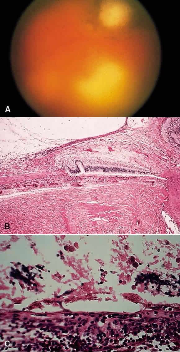
Fig. 12. Toxoplasmosis. A. Clinical photo of toxoplasmosis causing an acute retinochoroiditis. B. Acute retinochoroiditis in a patient with toxoplasmosis. Note the abrupt transition from normal to necrotic retina. C. Necrotic retina with Toxoplasma cysts.

Nematode

TOXOCARIASIS. Ocular toxocariasis is a manifestation of visceral larva migrans, the larva of the nematode Toxocara canis. Toxocariasis generally involves one eye and usually occurs in children 6 to 11 years of age. Often, the child's history shows that the family owns a puppy rather than an adult dog. Nematodiasis is not a correct term for the condition because nematodes other than Toxocara, such as Onchocerca, also can infest the eye. Three ocular forms of the condition may exist: leukocoria with multiple retinal folds radiating out toward the peripheral retina, where the necrotic worm is present; a discrete lesion, usually in the posterior pole and seen through clear media; and a painless endophthalmitis. In all three forms, the eye is not inflamed externally; the only complaint is loss of vision. Although the condition presumably follows widespread migration of larvae, only one eye is involved and only one worm can be found. No inflammatory reaction occurs until the worm dies. The eosinophil appears to be the major killer of T. canis.110 Toxocaral fluorescent antibody tests may be helpful in diagnosing toxocariasis.111,112 Histologically, a zonal granulomatous inflammatory infiltrate is present. An abscess containing eosinophils, neutrophils, and necrotic debris surrounds the necrotic worm.113 Granulomatous inflammatory tissue surrounds the abscess (Fig. 13).111

Fig. 13. Toxocara canis. A. Clinical retinal photo showing a discrete retinal lesion with vitreous bands extending into the peripheral retina. B. A whole mount globe with toxocariasis. There is a total retinal detachment and an abscess extending from the posterior surface of the lens into the vitreous cavity. C. Higher power of the granuloma posterior to the lens capsule.

TRICHINOSIS. The nematode Trichinella spiralis is acquired by eating undercooked meat, usually pork that contains the trichina cysts. Clinically, the lids and extraocular muscles may be involved as the larvae migrate systemically.114 Histologically, the larvae encapsulate or encyst in striated muscle and cause little or no inflammatory reaction. If the larvae die before they encapsulate, however, a zonal granulomatous reaction results around the worm.

LOA LOA. The adult Loa loa filarial worm wanders in the subcutaneous tissues. It may wander into the periorbital and lid tissues, and often into the subconjunctival tissue, where its size and long, slender shape make it easily visible.115 Little inflammatory reaction occurs while the worm is alive.

OTHER NEMATODES. Diffuse unilateral subacute neuroretinitis116 (DUSN; unilateral wipeout syndrome) may be caused by a motile subretinal roundworm, most likely a nematode but probably not T. canis. The raccoon roundworm larva, Baylisascaris procyonis,117 and the larval form of certain flies, most commonly Cuterebra,118 are possible causes of DUSN and of visceral larva migrans. The early stage of the disease is characterized by unilateral vision loss, vitritis, mild optic disc edema, and successive crops of multiple, evanescent, gray-white, deep retinal lesions. Over a period of many months, widespread, diffuse, and focal depigmentation of the RPE develops, accompanied by retinal artery narrowing, optic atrophy, severe vision loss, and an abnormal electroretinogram. Focal laser photocoagulation of the worm can be performed with little increase in inflammation if it can be identified.119,120 Worms seen in the fundi of patients from the southern United States seem about half the size of those seen in patients from the northern United States.121,122

Tapeworm

CYTICERCOSIS.Cyticercus cellulosae is the larval stage of the pork tapeworm Taenia solium. The larvae, or bladderworms, hatch in the intestine, and the resultant systemic infestation is called cysticercosis. The bladderworm has a predilection for the central nervous system and eyes. It is the most common ocular tapeworm infection. It induces no inflammatory response when alive.123 The prognosis in untreated cases is uniformly poor. Histologically, the necrotic bladderworm is surrounded by a zonal granulomatous inflammatory reaction that generally contains many eosinophils. Early surgical removal provides the best chance for cure, although destruction of the parasite in situ by diathermy, light coagulation, or cryoapplication also may prove successful.123–125

HYDATID CYST. The oncospheres of the dog tapeworm Echinococcus granulosus may enter humans and form a cyst called a hydatid cyst that contains the larval form of the tapeworm.126 In this form, the tapeworms appear as multiple scoleces with hooklets. Each scolex is the future head of an adult tapeworm. In humans, the tapeworm has a predilection for the orbit. On histologic examination, multiple scoleces are seen adjacent to a thick, acellular, amorphous membrane that represents the wall of the cyst (Fig. 14).

Fig. 14. Echinococcus. A. Low-power photo of a hydatid cyst removed from an orbit of an 8-year-old child. B. Higher power of the wall of the cyst reveals inflammation with abundant eosinophils. C. The scolex and hooklets of the larval form within the cyst lumen.

COENURUS. Coenurus is a large, single bladderworm (larval cyst stage) of Multiceps multiceps, 5 cm or more in diameter. It contains several hundred scoleces. The bladderworm may involve the subconjunctival or orbital regions or occur within the eye.127 The definitive host of the adult tapeworm is the domestic dog, although it may be found in other animals. The larval stage usually is found in sheep, but primates can be accidental intermediate hosts. Histologically, multiple inverted scoleces are seen lining up against an outer cuticular wall.

Schistosomiasis

The trematode Schistosoma (S. haematobium, S. mansoni, and S. japonicum), which is endemic in some areas of the world, can cause a chronic conjunctivitis or blepharitis. The eggs of schistosomes hatch in water into miracidia that penetrate snails, undergo metamorphosis, and form cercariae. The cercariae emerge from the snails and enter the skin of humans as metacercariae or adolescariae. The eggs and necrotic adult worms incite a marked zonal granulomatous inflammatory response.128

Back to Top
NONTRAUMATIC NONINFECTIOUS SYSTEMIC

SARCOIDOSIS

Sarcoidosis is a systemic disease that primarily affects black people, with equal sex incidence. Systemic findings include bilateral hilar adenopathy, lung parenchymal changes, peripheral lymphadenopathy, skin lesions varying from extensive erythematous infiltrates to nondescript plaques and papules, hepatosplenomegaly, occasional enlargement of lacrimal and salivary glands,129 osteolytic lesions of distal phalanges, and central nervous system findings such as seventh-nerve palsy, encephalitis, arachnoiditis, and basilar meningitis.

Ocular involvement occurs with a prevalence of 25% to 50%. The most common ocular manifestation of sarcoidosis is an anterior uveitis that occurs in about 20% of people with sarcoidosis. Mutton-fat keratic precipitates characteristically accompany the anterior uveitis. Other anterior ocular findings include millet-shaped eyelid nodules, nodular infiltrates in the bulbar conjunctiva, episcleral nodules, interstitial keratitis with a predilection for the lower half of the cornea, band keratopathy (especially with hypercalcemia), and secondary closed-angle glaucoma.

Posterior ocular findings may include retinochoroid granulomas, peripheral retinal neovascularization (sea-fan),130 neovascularization of the optic nerve, optic disc edema, optic neuritis, retinal periphlebitis, “candle wax drippings” on or near retinal vessels, retinal hemorrhage, and whitish masses in the dependent portion of the vitreous. The retinal form of sarcoidosis is rare, and it carries a grave prognosis for life because it often is associated with central nervous system sarcoidosis.131,132 Proptosis,133 orbital granulomas,134 and extraocular muscle palsies135 are also seen.

The Kveim test appears to be based on an immunologic reaction associated with persistent lymphadenopathy of diverse causes and is not specific to sarcoidosis. Elevated serum or tear angiotensin-converting enzyme levels136 and, to a lesser extent, serum collagenase levels may be helpful in assessing the activity of sarcoidosis.137,138 Hahzaki-Wesenberg bodies may be found in macrophages or free in peripheral portions of lymph nodes in patients with sarcoidosis, isolated lymphoid tumors, or hyperplastic lymph nodes associated with carcinoma of the head and neck. The bodies are a form of ceroid and not, as thought previously, bacteria or other infectious agents. They are not, therefore, pathognomonic for sarcoidosis. Small granulomas may be present histologically in the submucosa of the conjunctiva even without visible clinical lesions. The yield of positive lesions is higher, however, if a nodule is seen clinically. A biopsy of conjunctiva from the lower cul-de-sac may help to establish the diagnosis of sarcoidosis even when there are no clinically visible lesions. A conjunctival biopsy is a safe and simple method for diagnosing sarcoidosis in a high percentage of suspected patients. It is important that the pathologist take sections from at least three levels and a ribbon of tissue (about six to eight sections) on each slide from the three levels. From the resultant 18 to 24 sections, granulomas may be found in only 1 or 2 sections.139–141

Histologically, a noncaseating, granulomatous, inflammatory infiltrate of the discrete (sarcoid, tuberculoid) type, frequently with foreign body giant cells, is found.142,143 Most of the granulomatous nodules are approximately the same size. Slight central necrosis may be seen, but caseation is rare. Star-shaped, acidophilic bodies (asteroids) and spherical or ovoid, basophilic, calcific, frequently laminated bodies (Schaumann's bodies) may be found in epithelioid or giant cells. They may also be seen in conditions other than sarcoidosis (Fig. 15).

Fig. 15. Sarcoidosis. A. Proptosis in a man with sarcoidosis involving the lacrimal gland. B. Optic nerve swelling in a woman with sarcoidosis. C. Clinical photo of granulomas within the conjunctival cul-se-sac. D. Noncaseating granulomatous inflammation within the conjunctiva. Note the mantle of small lymphocytes surrounding the epithelioid cells.

GRANULOMATOUS SCLERITIS

Granulomatous scleritis is associated with rheumatoid arthritis144–146 or other systemic immune-mediated diseases147 in about 15% of patients, but about 45% of patients with scleritis have a known systemic condition.148 Histologically, a zonal type of granulomatous inflammatory infiltrate surrounds a nidus of necrotic scleral collagen. Typically, the inflammation is in the sclera between the limbus and the equator. The lesions, which may be focal or diffuse, closely resemble subcutaneous rheumatoid nodules but have more plasma cells around the periphery. The sclera may become thickened or markedly thinned. An intense nongranulomatous anterior uveitis may accompany the scleritis. Pseudorheumatoid nodule (granuloma annulare) is a necrobiotic granuloma that usually occurs in the episclera and orbit (Fig. 16).149

Fig. 16. A zonal, caseating granulomatous necrosis in the sclera of a patient with rheumatoid arthritis.

GRANULOMATOUS REACTION TO DESCEMET'S MEMBRANE

In about 10% of eyes with corneal ulcer or keratitis examined histologically, a granulomatous reaction to Descemet's membrane is found. Most frequently, the corneas have a disciform keratitis with or without a history of herpes simplex or zoster keratitis.150–152 The peculiar reaction to Descemet's membrane may be the result of altered antigenicity of the membrane and subsequent development of an autosensitivity reaction (Fig. 17).

Fig. 17. Granulomatous reaction to Descemet's membrane in a herpes simplex corneal ulcer.

VOGT-KOYANAGI-HARADA SYNDROME (UVEOMENINGOENCEPHALITIC SYNDROME)

Vogt-Koyanagi-Harada syndrome is a multisystem disorder that reflects the integration of Vogt-Koyanagi syndrome with Harada's disease.153,154 Vogt-Koyanagi syndrome consists of a severe, acute, often bilateral anterior uveitis associated with vitiligo (leukoderma), poliosis (whitened hair or canities), alopecia, and dysacusis. Harada's disease consists primarily of a posterior granulomatous uveitis, usually bilateral, which is associated with bilateral serous retinal detachments.155 These ocular signs are accompanied by fluctuating meningeal symptoms, both central and peripheral. The cerebrospinal fluid shows increased protein levels and pleocytosis. Sugiura's sign, perilimbal vitiligo, may be present.156 The disease is more common in women and has a predilection for darkly pigmented races.157

Autoaggressive cell-bound responses to uveal pigment and genetic influences158 may play a role in the histogenesis of Vogt-Koyanagi-Harada syndrome. Also, T lymphocytes are decreased in the peripheral blood.159,160 Histologically, there is a chronic, diffuse, granulomatous uveitis that closely resembles sympathetic uveitis.14,18,154,161 The uveal infiltrates are composed of T lymphocytes. Melanocytes are thought to be the autoimmune target of this inflammation. Multiple histologic sections, however, usually show one or more areas in the posterior segment where the inflammatory reaction does not spare the choriocapillaris and involves the overlying retina. An accompanying disciform degeneration of the macula is common.162

FAMILIAL CHRONIC GRANULOMATOUS DISEASE OF CHILDHOOD

Familial chronic granulomatous disease of childhood is characterized by chronic suppurative lymphadenitis, eczematoid dermatitis, osteomyelitis, hepatosplenomegaly, pulmonary infiltrates, and abscesses of soft tissue caused by saprophytic organisms. Chorioretinitis may be a common finding.163 The disease has an uncertain inheritance pattern.164 Pigmented lipid histiocytes and hypergammaglobu-linemia are features.165 Humoral immunity, cell-mediated immunity, and inflammatory responses are normal. The polymorphonuclear leukocytes in these patients ingest bacteria but do not kill them because of a deficiency in leukocyte hydrogen peroxide production. Further, lysosomal hydrolytic enzymes (acid phosphatase and β-glucuronidase) are released in decreased amounts by neutrophils during phagocytosis, resulting in abnormal (lessened) degranulation of the neutrophils.

Histologically, suppurative and granulomatous inflammatory lesions characteristically coexist. The suppurative component may be secondary to infection, whereas the granulomatous component is in response to living or inert intracellular organisms or debris.

Back to Top
REFERENCES

1. Chan C-C, Roberge FG, Whitcup SM et al: 32 cases of sympathetic ophthalmia. A retrospective study at the National Eye Institute, Bethesda, Md. Arch Ophthalmol 113:597, 1995

2. Fries PD, Char DH, Crawford JB et al: Sympathetic ophthalmia complicating helium ion irradiation of a choroidal melanoma. Arch Ophthalmol 105:1561, 1987

3. Gass JDM: Sympathetic ophthalmia following vitrectomy. Am J Ophthalmol 93:552, 1982

4. Kinyoun JL, Bensinger RE, Chuang EL: Thirty-year history of sympathetic ophthalmia. Ophthalmology 90:59, 1983

5. Sharp DC, Bell RA, Patterson E et al: Sympathetic ophthalmia. Histopathologic and fluorescein angiographic correlation. Arch Ophthalmol 102:232, 1984

6. Lubin JR, Albert DM: Early enucleation in sympathetic ophthalmia. Ocul Inflam Ther 1:47, 1983

7. Stafford WR: Sympathetic ophthalmia. Report of a case occurring ten and one-half days after injury. Arch Ophthalmol 74:521, 1965

8. Kay ML, Yanoff M, Katowitz JA: Sympathetic uveitis development in spite of corticosteroid therapy. Am J Ophthalmol 78:90, 1974

9. Lubin JR, Albert DM, Weinstein M: Sixty-five years of sympathetic ophthalmia. A clinicopathologic review of 105 cases (1913-1978). Ophthalmology 87:109, 1980

10. Reynard M, Riffenburgh RS, Maes EF: Effect of corticosteroid treatment and enucleation on the visual prognosis of sympathetic ophthalmia. Am J Ophthalmol 96:290, 1983

11. Rao NA, Robin J, Hartmann D et al: The role of the penetrating wound in the development of sympathetic ophthalmia. Experimental observations. Arch Ophthalmol 101:102, 1983

12. Albert DM, Diaz-Rohena R: A historical review of sympathetic ophthalmia and its epidemiology. Surv Ophthalmol 34:1, 1989

13. Chan C-C, BenEzra D, Hsu S-M et al: Granulomas in sympathetic ophthalmia and sarcoidosis. Immunohistochemical study. Arch Ophthalmol 103:198, 1985

14. Jakobiec PA, Marboe CC, Knowles DM et al: Human sympathetic ophthalmia. An analysis of the inflammatory infiltrate by hybridoma-monoclonal antibodies, immunochemistry, and correlative electron microscopy. Ophthalmology 90:76, 1983

15. Muller-Hermelink HK, Kraus-Mackiw E, Daus W: Early stage of human sympathetic ophthalmia. Histologic and immunopathologic findings. Arch Ophthalmol 102:1353, 1984

16. Chan C-C: Relationship between sympathetic ophthalmia, phacoanaphylactic endophthalmitis, and Vogt-Koyanagi-Harada disease. Ophthalmology 95:619, 1988

17. Easom HA, Zimmerman LE: Sympathetic ophthalmia and bilateral phacoanaphylaxis. A clinicopathologic correlation of the sympathogenic and sympathizing eyes. Arch Ophthalmol 72:9, 1964

18. Fine BS, Gilligan JH: The Vogt-Koyanagi syndrome. A variant of sympathetic ophthalmia: report of two cases. Am J Ophthalmol 43:433, 1957

19. Marak GE Jr: Recent advances in sympathetic ophthalmia. Surv Ophthalmol 24:141, 1979

20. Yanoff M: Pseudo-sympathetic uveitis. Trans Pa Acad Ophthalmol Otolaryngol 30:118, 1977

21. Marak GE Jr, Font RL, Zimmerman LE: Histological variations related to race in sympathetic ophthalmia. Am J Ophthalmol 78:935, 1974

22. Inomata H: Necrotic changes of choroidal melanocytes in sympathetic ophthalmia. Arch Ophthalmol 106:239, 1988

23. Rao NA, Xu 5, Font RL: Sympathetic ophthalmia. An immunohistochemical study of epithelioid and giant cells. Ophthalmology 92:1660, 1985

24. Font RL, Fine BS, Messmer E et al: Light and electron microscopic study of Dalen-Fuchs nodules in sympathetic ophthalmia. Ophthalmology 90:66, 1982

25. Green WR, Maumenee AE, Saunders TE et al: Sympathetic uveitis following evisceration. Trans Am Acad Ophthalmol Otolaryngol 76:625, 1972

26. Apple DJ, Mamalis N, Steinmetz RL et al: Phacoanaphylactic endophthalmitis associated with extracapsular cataract extraction and posterior chamber intraocular lens. Arch Ophthalmol 102:1528, 1984

27. Chishti M, Henkind P: Spontaneous rupture of anterior lens capsule (phacoanaphylactic endophthalmitis). Am J Ophthalmol 69:264, 1970

28. Caudill JW, Streeten BW, Tso MOM: Phacoanaphylactoid reaction in persistent hyperplastic primary vitreous. Ophthalmology 92:1153, 1985

29. Marak GE Jr: Phacoanaphylactic endophthalmitis. Surv Ophthalmol 36:325, 1992

30. Marak GE, Font RL, Alepa FP: Immunopathogenicity of lens crystallins in the production of experimental lens-induced granulomatous endophthalmitis. Ophthalmic Res 10:33, 1978

31. Yanoff M, Scheie HG: Cytology of human lens aspirate. Its relationship to phacolytic glaucoma and phacoanaphylactic endophthalmitis. Arch Ophthalmol 80:166, 1968

32. Ferry AB, Barnert AH: Granulomatous keratitis resulting from the use of cyanoacrylate adhesions for closure of perforated corneal ulcers. Am J Ophthalmol 72:538, 1971

33. Naumann G, Ortbauer R: Histopathology after successful implantation of anterior chamber acrylic lens. Surv Ophthalmol 15:18, 1970

34. Riddle PJ, Font RL, Johnson FB et al: Silica granuloma of eyelid and ocular adnexa. Arch Ophthalmol 99:683, 1981

35. Naumann GOH, Vulcker HE: Endophthalmitis haemogranulomatosa (Eine spezielle Reaktionsform auf intraokulare Blutungen). Km Monatsbl Augenheilkd 171:352, 1977

36. Ferry AP: Synthetic fiber granuloma. “Teddy bear” granuloma of the conjunctiva. Arch Ophthalmol 112:1339, 1994

37. Anand R, Font RL, Fish RH et al: Pathology of cytomegalovirus retinitis treated with sustained release intravitreal ganciclovir. Ophthalmology 100:1032, 1993

38. Yoser SL, Forster DJ, Rao NA: Systemic viral infections and their retinal and choroidal manifestations. Surv Ophthalmol 37:313, 1993

39. Rummelt V, Rummelt C, Jahn G et al: Triple retinal infection with human immunodeficiency virus type 1, cytomegalovirus, and herpes simplex virus type 1. Light and electron microscopy, immunohistochemistry, and in situ hybridization. Ophthalmology 101:270, 1994

40. Smith ME: Retinal involvement in adult cytomegalic inclusion disease. Arch Ophthalmol 72:44, 1964.

41. deVenecia G, Rhein GMZ, Pratt M et al: Cytomegalic inclusion retinitis in an adult. A clinical, histopathologic and ultrastructural study. Arch Ophthalmol 86:44, 1971

42. Friedman AH: The retinal lesions of the acquired immune deficiency syndrome. Trans Am Ophthalmol Soc 82:447, 1984

43. Grossniklaus HE, Frank KE, Tomsak RL: Cytomegalovirus retinitis and optic neuritis in acquired immune deficiency syndrome. Report of a case. Ophthalmology 94:1601, 1987

44. Guarda LA, Luna MA, Smith JL et al: Acquired immune deficiency syndrome: postmortem findings. Am J Clin Pathol 81:549, 1984

45. Kestelyn P, Van de Perre P, Rouvroy D et al: A prospective study of the ophthalmologic findings in the acquired immune deficiency syndrome in Africa. Am J Ophthalmol 100:230, 1985

46. Schuman JS, Orellana J, Friedman AH et al: Acquired immunodeficiency syndrome (AIDS). Surv Ophthalmol 31:384, 1987

47. Rabb MF, Jampol LM, Fish RH et al: Retinal periphlebitis in patients with acquired immunodeficiency syndrome and cytomegalovirus retinitis mimics acute frosted retinal periphlebitis. Arch Ophthalmol 110:1257, 1992

48. Glasgow BJ, Weisberger AK: A quantitative and cartographic study of retinal microvasculopathy in acquired immunodeficiency syndrome. Am J Ophthalmol 118:46, 1994

49. Pepose JS, Newman C, Bach MC et al: Pathologic features of cytomegalovirus retinopathy after treatment with the antiviral agent acyclovir. Ophthalmology 94:414, 1987

50. Hennis HL, Scott AA, Apple DJ Jr: Cytomegalovirus (clinicopathologic review). Surv Ophthalmol 34:193, 1989

51. Karbassi M, Raizman MB, Schuman JS: Herpes zoster ophthalmicus. Surv Ophthalmol 36:395, 1992

52. Kupperman BD, Quiceno JI, Wiley C et al: Clinical and histopathological study of varicella zoster virus in patients with the acquired immunodeficiency syndrome. Am J Ophthalmol 118:589, 1994

53. Kattah JC, Kennerdell JS: Orbital apex syndrome secondary to herpes zoster ophthalmicus. Am J Ophthalmol 85:378, 1978

54. Wenkel H, Rummelt V, Fleckenstein B et al: Detection of varicella zoster virus DNA and viral antigen in human eyes after herpes zoster ophthalmicus. Ophthalmology 105: 1323, 1998

55. Naumann G, Gass JDM, Font RL: Histopathology of herpes zoster ophthalmicus. Am J Ophthalmol 65:533, 1968

56. Hedges TR III, Albert DM: The progression of the ocular abnormalities of herpes zoster. Histopathologic observations of nine cases. Ophthalmology 89:165, 1982

57. Helm CJ, Holland GN: Ocular tuberculosis. Surv Ophthalmol 38:229, 1993

58. Berinstein DM, Gentile RC, McCormick SA et al: Primary ocular tuberculoma. Arch Ophthalmol 115:430, 1997

59. Sarvanathan N, Wiselka M, Bibby K: Intraocular tuberculosis without detectable systemic infection. Arch Ophthalmol 116:1386, 1998

60. Bloomfield SE, Mondino B, Gray GF: Scleral tuberculosis. Arch Ophthalmol 94:954, 1976

61. Spaide R, Nattis R, Lipka A et al: Ocular findings in leprosy in the United States. Am J Ophthalmol 100:411, 1985

62. Dana M-R, Hochman MA, Viana MAG et al: Ocular manifestations of leprosy in a noninstitutionalized community in the United States. Arch Ophthalmol 112:626, 1994

63. Nemeth GG, Fish RH, Itani KM, Yates BE: Hansen's disease. Arch Ophthalmol 110:1482, 1992

64. Chang WJ, Tse DT, Rosa RH et al: Periocular atypical mycobacterial infections. Ophthalmology 106:86, 1999

65. Bullington RH Jr, Lanier JD, Font RL: Nontuberculous mycobacterial keratitis. A report of two cases and review of the literature. Arch Ophthalmol 110:519, 1992

66. Rosenbaum PS, Mbekeani JN, Kress Y: Atypical mycobacterial panophthalmitis seen with iris nodules. Arch Ophthalmol 116:1524, 1998

67. Winterkorn JMS: Lyme disease: neurologic and ophthalmic manifestations. Surv Ophthalmol 35:191, 1990

68. Karma A, Seppala I, Mikkila H et al: Diagnosis and clinical characteristics of ocular Lyme borreliosis. Am J Ophthalmol 119:127, 1995

69. McCarron MJ, Albert DM: Iridocyclitis and an iris mass associated with secondary syphilis. Ophthalmology 91:1264, 1984

70. Scattergood KD, Green WR, Hirst LW: Scrolls of Descemet's membrane in healed syphilitic interstitial keratitis. Ophthalmology 90:1518, 1983

71. Spektor FE, Eagle RC, Nichols CW: Granulomatous conjunctivitis secondary to treponema pallidum. Ophthalmology 88:863, 1981

72. Arruga J, Valentines J, Mauri F et al: Neuroretinitis in acquired syphilis. Ophthalmology 92:262, 1985

73. Scully RE, Mark EJ, McNeely BU: Mass in the iris and a skin rash in a young man. N Engl J Med 310:972, 1984

74. Margo CE, Hamed LM: Ocular syphilis. Surv Ophthalmol 37:203, 1992

75. Rogers SJ, Johnson BL: Endogenous Nocardia endophthalmitis: report of a case in a patient treated for lymphocytic lymphoma. Ann Ophthalmol 9:1123, 1977

76. Golnik KC, Marotto ME, Fanous MM et al: Ophthalmic manifestations of Rochalimaea species. Am J Ophthalmol 118:145, 1994

77. Warren K, Goldstein E, Hung VS et al: Use of retinal biopsy to diagnose Bartonella (formerly Rochalimaea) henselae retinitis in an HIV-infected patient. Arch Ophthalmol 116:937, 1998

78. Dondey JC, Sullivan TJ, Robson JMB et al: Application of polymerase chain reaction assay in the diagnosis of orbital granuloma complicating atypical oculoglandular cat scratch disease. Ophthalmology 104:1174, 1997

79. Cunningham ET, McDonald HR, Schatz H et al: Inflammatory mass of the optic nerve head associated with systemic Bartonella henselae infection. Arch Ophthalmol 115:1596, 1997

80. Reed JB, Scales DK, Wong MT et al: Bartonella henselae Neuroretinitis in cat scratch disease. Ophthalmology 105:459, 1998

81. Ulrich GG, Waecker NJ, Meister SJ et al: Cat scratch disease associated with neuroretinitis in a 6-year old girl. Ophthalmology 99:246, 1992

82. Steinemann TL, Sheikholeslami MR, Brown HH et al: Oculoglandular tularemia. Arch Ophthalmol 117:132, 1999

83. Williams JG, Edward DP, Tessler HH et al: Ocular manifestations of Whipple disease, an atypical presentation. Arch Ophthalmol 116:1232, 1998

84. Sponsler TA, Sassani JW, Johnson LN et al: Ocular invasion in mucormycosis. Surv Ophthalmol 36:345, 1992

85. Yohai RA, Bullock JD, Aziz AA et al: Survival factors in rhino-orbital-cerebral mucormycosis. Surv Ophthalmol 39:3, 1994

86. Griffin IR, Pettit TH, Fishman LS et al: Bloodborne Candida endophthalmitis. A clinical and pathologic study of 21 cases. Arch Ophthalmol 89:450, 1973

87. Donahue SP, Greven CM, Zuravleff JJ et al: Intraocular candidiasis in patients with candidemia. Ophthalmology 101:1302, 1994

88. Fine BS: Intraocular mycotic infections. Lab Invest 11:1161, 1962

89. McDonnell PJ, McDonnell JM, Brown RH et al: Ocular involvement in patients with fungal infections. Ophthalmology 92:706, 1985

90. Cunningham ET, Seiff SR, Berger TG et al: Intraocular coccidioidomycosis diagnosed by skin biopsy. Arch Ophthalmol 116:674, 1998

91. Hiss PW, Shields JA, Augsburger JJ: Solitary retinovitreal abscess as the initial manifestation of cryptococcosis. Ophthalmology 95:162, 1988

92. Charles NC, Boxrud CA, Small EA: Cryptococcosis of the anterior segment in acquired immune deficiency syndrome. Ophthalmology 99:813, 1992

93. Barr CC, Gamel JW: Blastomycosis of the eyelid. Arch Ophthalmol 104:96, 1986

94. Callanan D, Fish GE, Anand R: Reactivation of inflammatory lesions in ocular histoplasmosis. Arch Ophthalmol 116:470, 1998

95. Moorthy RS, Rao NA, Sidkaro Y et al: Coccidioidomycosis iridocyclitis. Ophthalmology 101:1923, 1994

96. Dortzbach RK, Segrest DR: Orbital aspergillosis. Ophthalmic Surg 14:240, 1983

97. Glasgow BJ, Brown HH, Foos RY: Miliary retinitis in coccidioidomycosis. Am J Ophthalmol 104:24, 1987

98. Reidy JJ, Sudesh S, Klafter AB et al: Infection of the conjunctiva by Rhinosporidium seeberi. Surv Ophthalmol 41:409, 1997

99. Savino DF, Margo CE: Conjunctival rhinosporidiosis. Light and electron microscopic study. Ophthalmology 90:1482, 1983

100. Font RL, Jakobiec FA: Granulomatous necrotizing retinochoroiditis caused by Sporotrichum schenkii. Report of a case including immunofluorescence and electron microscopical studies. Arch Ophthalmol 94:1513, 1976

101. Lou P, Kazdan J, Basu PK: Ocular toxoplasmosis in three consecutive siblings. Arch Ophthalmol 96:613, 1978

102. Fung JC, Clogston A, Swenson P et al: Serologic diagnosis of toxoplasmosis with emphasis on the detection of toxoplasma-specific immunoglobulin M antibodies. Am J Clin Pathol 83:196, 1985

103. Doft BH, Gass JDM: Punctate outer retinal toxoplasmosis. Arch Ophthalmol 103:1332, 1985

104. Michelson JB. Shields JA, McDonald PR et al: Retinitis secondary to acquired systemic toxoplasmosis with isolation of the parasite. Am J Ophthalmol 86:548, 1978

105. Grossniklaus HE, Specht CS, Allaire G et al: Toxoplasma gondii retinochoroiditis and optic neuritis in acquired immune deficiency syndrome. Report of a case. Ophthalmology 97:1342, 1990

106. Andres TL, Dorman SA, Winn WC Jr et al:Immunohistochemical demonstration of Toxoplasma gondii. Am J Clin Pathol 75:431, 1981

107. Wilder HC: Toxoplasma chorioretinitis in adults. Arch Ophthalmol 48:127, 1952

108. O'Connor GR: The roles of parasite invasion and of hypersensitivity in the pathogenesis of toxoplasmic retinochoroiditis. Ocul Inflam Ther 1:37, 1983

109. Rao NA, Font RL: Toxoplasmic retinochoroiditis. Electron-microscopic and immunofluorescence studies of formalin-fixed tissue. Arch Ophthalmol 95:273, 1977

110. Rockey IH, Donnelly II, Stromberg BE et al: Immunopathology of Toxocara canis and ascaris SUUM infections of the eye: the role of the eosinophil. Invest Ophthalmol Vis Sci 18:1172, 1979

111. Berrocal J: Prevalence of Toxocara canis in babies and in adults as determined by the ELISA test. Trans Am Ophthalmol Soc 78:376, 1980

112. Watzke RC, Oaks JA, Folk JC: Toxocara canis infection of the eye. Correlation of clinical observations with developing pathology in the primate model. Arch Ophthalmol 102:282, 1984

113. Wilder HC: Nematode endophthalmitis. Trans Am Acad Ophthalmol Otolaryngol 54:99, 1950

114. Spaeth GL, Adams RE, Soffe AM: Treatment of trichinosis. Case report. Arch Ophthalmol 71:359, 1964

115. Gendelman D, Blumberg R, Sadun A: Ocular Loa loa with cryoprobe extraction of subconjunctival worm. Ophthalmology 91:300, 1984

116. Gass JDM, Gilbert WR Jr, Guerry RK et al: Diffuse unilateral subacute neuroretinitis. Ophthalmology 85:521, 1978

117. Kazacos KR, Raymond LA, Kazacos EA et al: The raccoon ascarid. A probable cause of human ocular larva migrans. Ophthalmology 92:1735, 1985

118. Phelan MJ, Johnson MW: Acute posterior ophthalmomyiasis interna treated with photocoagulation. Am J Ophthalmol 119:106, 1995

119. Gass JD: Subretinal migration of a nematode in a patient with diffuse unilateral subacute neuroretinitis. Arch Ophthalmol 114:1526, 1996

120. Custis PH, Pakalnis VA, Klintworth GK et al: Posterior internal ophthalmomyiasis. Identification of a surgically removed Cuterebra larva by scanning electron microscopy. Ophthalmology 90:1583, 1983

121. Goodart RA, Riekhof FT, Beaver PC: Subretinal nematode. An unusual etiology for uveitis and retinal detachment. Retina 5:87, 1985

122. Sorr EM: Meandering ocular toxocariasis. Retina 4:90, 1984

123. Zinn KM, Guillory SL, Friedman AH: Removal of intravitreous cysticerci from the surface of the optic nerve head. A pars plana approach. Arch Ophthalmol 98:714, 1980

124. Kruger-Leite E, Jalkh AE, Quiroz H et al: Intraocular cysticercosis. Am J Ophthalmol 99:252, 1985

125. Beri S, Vajpayee RB, Dhingra N et al: Managing anterior chamber cysticercosis by viscoexpression: a new surgical technique. Arch Ophthalmol 111:1278, 1994

126. Morales AG, Croxatto JS, Crovetto L et al: Hydatid cyst of the orbit. A review of 35 cases. Ophthalmology 95:1027, 1988

127. Manschot WA: Coenurus infestation of eye and orbit. Arch Ophthalmol 94:961, 1976

128. Jakobiec FA, Gess L, Zimmerman LE: Granulomatous dacryoadenitis caused by Schistosoma haematobium. Arch Ophthalmol 95:278, 1977

129. Collison JMT, Miller NR, Green WR: Involvement of orbital tissues by sarcoid. Am J Ophthalmol 102:302, 1986

130. Asdourian GK, Goldberg MF, Busse BJ: Peripheral retinal neovascularization in sarcoidosis. Arch Ophthalmol 93:787, 1975

131. Gass JDM, Olson CL: Sarcoidosis with optic nerve and retinal involvement. Arch Ophthalmol 94:945, 1976

132. Westlake WW, Heath JD, Spalton DJ: Sarcoidosis involving the optic nerve and hypothalamus. Arch Ophthalmol 113:669, 1995

133. Nichols CW, Mishkin M, Yanoff M: Presumed orbital sarcoidosis: report of a case followed by computerized axial tomography and conjunctival biopsy. Trans Am Ophthalmol Soc 76:67, 1978

134. Peterson EA, Hymas DC, Pratt DV et al: Sarcoidosis with orbital tumor outside the lacrimal gland. Initial manifestations in 2 elderly white women. Arch Ophthalmol 116:804, 1998

135. Hoover DL, Khan JA, Giangiacomo J: Pediatric ocular sarcoidosis (review). Surv Ophthalmol 30:215, 1986

136. Pertschuk LP, Silverstein E, Friedland J: Immunohistologic diagnosis of sarcoidosis. Am J Clin Pathol 75:350, 1981

137. Baarsma GS, La Hey E, Glasius E et al: The predictive value of serum angiotensin converting enzyme and lysozyme levels in the diagnosis of ocular sarcoidosis. Am J Ophthalmol 104:211, 1987

138. Weinreb RN: Diagnosing sarcoidosis by transconjunctival biopsy of the lacrimal gland. Am J Ophthalmol 97:573, 1984

139. Karcioglu ZA, Brear R: Conjunctival biopsy in sarcoidosis. Am J Ophthalmol 99:68, 1985

140. Nichols CW, Eagle RC Jr, Yanoff M et al: Conjunctival biopsy as an aid in the evaluation of the patient with suspected sarcoidosis. Ophthalmology 87:287, 1980

141. Saer IB, Karcioglu GL, Karcioglu ZA: Incidence of granulomatous lesions in postmortem conjunctival biopsy specimens. Am J Ophthalmol 104:605, 1987

142. Weinreb RN, Kimura SJ: Uveitis associated with sarcoidosis and angiotensin converting enzyme. Am J Ophthalmol 89:180, 1980

143. Chan C-C, Wetzig RP, Palestine AG et al: Immunohistopathology of ocular sarcoidosis. Report of a case and discussion of immunopathogenesis. Arch Ophthalmol 105:1398, 1987

144. Foster CS, Forstot SL, Wilson LA: Mortality rate in rheumatoid arthritis patients developing necrotizing scleritis or peripheral ulcerative keratitis. Effects of systemic immunosuppression. Ophthalmology 91:1253, 1984

145. Kleiner RC, Raber IM, Passero FC: Scleritis, pericarditis, and aortic insufficiency in a patient with rheumatoid arthritis. Ophthalmology 91:941, 1984

146. McGavin DDM, Williamson J, Forrester JV et al: Episcleritis and scleritis: a study of their clinical manifestations and association with rheumatoid arthritis. Br J Ophthalmol 60:192, 1976

147. de la Maza MS, Foster S, Jabbur NS: Scleritis associated with rheumatoid arthritis and with other systemic immune-mediated diseases. Ophthalmology 101:1281, 1994

148. Watson PG, Hayreb SS: Scleritis and episcleritis. Br J Ophthalmol 60:163, 1976

149. Ross MI, Cohen KL, Peiffer RL et al: Episcleral and orbital pseudorheumatoid nodules. Arch Ophthalmol 101:418, 1983

150. Green WR, Zimmerman LE: Granulomatous reaction to Descemet's membrane. Am J Ophthalmol 64:555, 1967

151. Wolter JR, Johnson FD, Meyer RF et al: Acquired autosensitivity to degenerating Descemet's membrane in a case with anterior uveitis in the other eye. Am J Ophthalmol 72:782, 1971

152. Holbach LM, Font RL, Naumann GOH: Herpes simplex stromal and endothelial keratitis. Granulomatous cell reactions at the level of Descemet's membrane, the stroma, and Bowman's layer. Ophthalmology 97:722, 1990

153. Lubin JR. Loewenstein JI, Frederick AR: Vogt-Koyanagi-Harada syndrome with focal neurologic signs. Am J Ophthalmol 91:332, 1981

154. Perry HD, Font RL: Clinical and histopathologic observations in severe Vogt-Koyanagi-Harada syndrome. Am J Ophthalmol 83:242, 1977

155. Kimura R, Sakai M, Okabe H: Transient shallow anterior chamber as initial symptom in Harada's syndrome. Arch Ophthalmol 99:1604, 1981

156. Friedman AH, Deutsch-Sokol RH: Sugiura's sign. Perilimbal vitiligo in the Vogt-Koyanagi-Harada syndrome. Ophthalmology 88:1159, 1981

157. Moorthy RS, Inomata H, Rao NA: Vogt-Koyanagi-Harada syndrome. Surv Ophthalmol 39:265, 1995

158. Rutzen AR, Ortega-Larrocea G, Schwab IR et al: Simultaneous onset of Vogt-Koyanagi-Harada syndrome in monozygotic twins. Am J Ophthalmol 119:239, 1995

159. Chan C-C, Palestine AG, Kuwabara T et al: Immunopathologic study of Vogt-Koyanagi-Harada syndrome. Am J Ophthalmol 105:607, 1988

160. Yokoyama MM, Matsui Y, Yamashiroya HM et al: Humoral and cellular immunity studies in patients with Vogt-Koyanagi-Harada syndrome and pars planitis. Invest Ophthalmol Vis Sci 20:364, 1981

161. Chan C-C, Palestine AG, Nussenblatt RB et al: Anti-retinal auto-antibodies in Vogt-Koyanagi-Harada syndrome, Behçet's disease, and sympathetic ophthalmia. Ophthalmology 92:1025, 1985

162. Moorthy RS, Chong LP, Smith RE et al: Subretinal neovascular membrane in Vogt-Koyanagi-Harada syndrome. Am J Ophthalmol 116:164, 1993

163. Rodrigues MM, Palestine AG, Macher AM et al: Histopathology of ocular changes in chronic granulomatous disease. Am J Ophthalmol 96:810, 1983

164. Corberand J, DeLarrard B, Vergnes H et al: Chronic granulomatous disease with leukocytic glucose-6-phosphate dehydrogenase deficiency in a 28-month-old girl. Am J Clin Pathol 70:296, 1978

165. Appen RE, Weber SW, deVenecia G et al: Ocular and cerebral involvement in familial lymphohistiocytosis. Am J Ophthalmol 82:758, 1976

Back to Top