Chapter 7
SKIN AND LACRIMAL DRAINAGE SYSTEMS
CARI E. LYLE, MATTHEW W. WILSON and WILLIAM R. MORRIS
Main Menu   Table Of Contents

Search

SKIN: INTRODUCTION AND TERMINOLOGY
TERMINOLOGY
INFLAMMATORY DERMATOSES
CUTANEOUS INFECTIONS
VIRAL INFECTIONS
FUNGAL AND PARASITIC INFECTIONS
BULLOUS DISEASES
LID AND PERIORBITAL MANIFESTATIONS OF SYSTEMIC DISEASES
CONGENITAL ABNORMALITIES
AGING
CYSTS AND BENIGN, PREMALIGNANT, AND MALIGNANT TUMORS
LACRIMAL DRAINAGE SYSTEM
ACKNOWLEDGMENTS
BIBLIOGRAPHY

SKIN: INTRODUCTION AND TERMINOLOGY
The skin surrounding the eyes and the lids is important to ophthalmologists, dermatologists, and, when biopsied, pathologists. Dermatology and skin pathology (dermatopathology) have contributed to the significant advances in the understanding of immunologic and pathologic mechanisms of skin disease in the last 25 years. The histologic evaluation of biopsies from periorbital and lid skin has become more common for inflammatory conditions and for the rapidly increasing number of skin cancers, which are most commonly found on the central face.

Histologic findings in normal periorbital skin are similar to other areas of the body with a keratinizing epidermis and a prominence of sebaceous glands and blood vessels (Fig. 1, A and B). Lid skin is very thin, its epidermis is composed of only a few layers of keratinocytes (squamous cells), there is an absence of the typical rete ridge (digitated) pattern, and there is a sparse dermis composed of fine fibrillar collagen fibers. Virtually every inflammatory dermatosis and cutaneous neoplasm may, at times, affect the periorbital skin and lids, but some inflammatory processes and neoplasms are commonly seen in this area, and a few are quite specific to the area.

Fig. 1. A. Photomicrograph of normal periorbital skin. B. Schematic of normal periorbital skin.

Back to Top
TERMINOLOGY
The following histologic terms are essential to a basic understanding of dermatopathology and are seen in a variety of conditions.

Hyperkeratosis is increased thickness of the stratum corneum (the most superficial, cornified layer of the epidermis). Orthokeratosis is hyperkeratosis composed of cells with complete keratinization and no remnants of nuclei. Parakeratosis is a manifestation of incomplete keratinization in which nuclei are retained in the cells of the stratum corneum. Generally, a thick granular layer is found beneath orthokeratosis due to slow upward migration of keratinocytes, and a thin or absent granular layer is seen beneath extensive parakeratosis due to increased cell turnover and migration. The changes in the superficial portions of the epidermis are a clue to epidermal pathologic processes. Leukoplakia (white plaque) is strictly a clinical term. Any lesion of a mucous membrane (including conjunctiva) with hyperkeratosis will appear as leukoplakia. Hyperkeratosis may be induced by an underlying lesion, such as a pinguecula, pterygium, papilloma, or carcinoma in situ.

Hyperplasia is an increased number of cells in the epidermis, which results in overall architectural changes, including projection above the skin surface, elongation of the rete ridges, and widening of the rete ridges. Acanthosis is defined more specifically as an increased thickness of the stratum spinosum (spinous or middle layer) of the epidermis.

Acantholysis is a separation of epidermal cells (keratinocytes) from each other and is caused by a variety of pathologic processes that result in a degeneration of intercellular connections. This separation may lead to histologic clefts, tiny intraepidermal vesicles, or larger intraepidermal bullae. Acantholysis may occur secondary to spongiosis (intercellular edema), ballooning (intracellular edema), or a genetic or immunologic dissolution of anatomic attachments or intercellular ground substance.

Spongiosis is a histologic term that describes the fluid accumulation between epidermal cells that eventually leads to cleft or vesicle formation. It is most commonly seen in inflammatory conditions, especially the spectrum of dermatitis. Ballooning or intracellular edema is characteristic of virally infected cells. Eventually, the fluid causes cell rupture and formation of coalescent clefts or spaces.

It is important to make a distinction between atypical cells, dyskeratotic cells, and necrotic cells in the epidermis. An atypical cell is one in which the normal nuclear-to-cytoplasmic ratio is altered in favor of the nucleus (nuclear hyperplasia), the nucleus stains darker than normal (hyperchromasia), the nuclear configuration may be abnormal (multinucleated, indented, cerebriform, etc.), or a cell may contain an abnormal mitotic figure. When individual nuclei are sufficiently atypical or large numbers of atypical cells are present, the lesion is usually malignant or cancerous. Atypical cells, however, such as those seen in lymphomatoid papulosis (a benign inflammatory condition) should not be regarded as the only criterion necessary for a diagnosis of malignancy. Architectural histologic features and clinical factors must be taken into consideration. Dyskeratosis refers to increased keratinization of individual epidermal cells. These are characterized by abundant eosinophilic staining cytoplasms and small, normal-appearing nuclei. In contrast, necrotic keratinocytes have nuclear karyolysis and pyknosis with homogeneous pink cytoplasms.

Vesicles or bullae are distinguished by size and refer to separations within the epidermis (intraepidermal vesicle or bulla) or beneath the epidermis (subepidermal bulla). Subepidermal bullae may occur within the dermal–epidermal junction zone or beneath this zone.

Atrophy refers to a thinning of the epidermis, effacement of the rete ridges, disorder of epidermal architecture, diminution or loss of skin appendages, and alterations of the collagen and elastic fibers in the dermis. These changes are clinically seen as wrinkling and laxity of skin.

The study of dermatology and dermatopathology is made difficult by the large number of described conditions and diseases and is often hindered by obscure historic terminology. In 1978, Ackerman published a landmark textbook, Histologic Diagnosis of Inflammatory Skin Diseases, a Method by Pattern Analysis. He successfully presented a scheme to simplify the analysis of inflammatory skin diseases by describing nine basic histologic patterns with many subcategories (Fig. 2). This categorization has allowed skin pathologists to diagnose more precisely many inflammatory conditions and to provide the clinician with a more useful differential diagnosis when a specific diagnosis cannot be rendered.

Fig. 2. Basic histologic patterns of inflammatory skin diseases.

Back to Top
INFLAMMATORY DERMATOSES
Dermatitis is inflammation of the skin and is often used synonymously with eczema or combined as eczematous dermatitis. The term encompasses a wide variety of cutaneous disorders, some quite specific and others nonspecific. Dermatitis due to a variety of causes is undoubtedly the most common skin disease of periorbital and lid skin.

Clinical and histologic changes may be divided into acute, subacute, and chronic dermatitis, although lesions may appear or persist in any of the stages. The earliest clinical changes of acute dermatitis are erythema and edema, which may progress to vesiculation, oozing, and then crusting and scaling. There are often secondary changes due to scratching or infection. Chronic dermatitis is characterized by papules and plaques with indistinct borders, less intense erythema, increased skin markings (lichenification) with fine scale and firmness, or induration to palpation. Subacute dermatitis is vaguely intermediate between acute and chronic, with erythematous scaling papules, rare small vesicles, and slight clinical induration. An end-stage of chronic dermatitis often is referred to as lichen simplex chronicus, most commonly seen in atopic dermatitis.

A thorough clinical history and examination with emphasis on the distribution and characteristics of lesions often allow a more specific typing of dermatitis with a relationship to cause. The most common form of dermatitis around the eyes is irritant contact dermatitis, which is a nonimmunologically mediated reaction of the skin caused by exposure to an irritating substance. All individuals will react if the concentration of an irritant substance is sufficiently high or the duration of contact is long enough. Mild irritant dermatitis is usually caused by soaps and detergents; more acute and severe dermatitis may be related to more toxic acids, alkalies, and solvents. Allergic contact dermatitis is a type IV immunologic reaction requiring a primary exposure, sensitization, and re-exposure to an allergen with an immunologic delay before clinical expression of the dermatitis. A detailed history and subsequent patch testing may be necessary to identify a specific allergen. Atopic dermatitis is a chronic, severely pruritic dermatitis associated with a personal or family history of atopy (asthma, allergic rhinitis, atopic dermatitis). It is characterized by a typical morphology and distribution, a chronic relapse in course, and a variety of associated findings. Periorbital and lid skin involvement is common. Seborrheic dermatitis, dyshidrotic dermatitis of the hands and feet, stasis dermatitis of the lower extremities, and nonspecific neurodermatitis are other variants. Photodermatitis may be either irritant or allergic in etiology and requires a history of an association between the appearance of the dermatitis and sun exposure.

Blepharitis is simple, diffuse inflammation of the lids. Sebhorrheic blepharitis is a specific type of chronic blepharitis primarily involving the lid margins and is often associated with dandruff and greasy scaling of the scalp, eyebrows, central face, chest, and pubic areas. Hyperemic, inflamed lid margins and yellow, greasy scales on the lashes are characteristic identifiers.

All types of dermatitis are characterized histologically by spongiosis (accumulation of fluid between the keratinocytes of the epidermis) and a mild, superficial perivascular, predominantly lymphohistiocytic, mononuclear cell infiltrate in the superficial dermis. Confluent spongiosis leads to intraepidermal vesiculation in acute dermatitis (Fig. 3A), and milder or focal spongiosis without vesiculation is seen in subacute variants (see Fig. 3B). Chronic dermatitis is characterized by compact orthokeratosis (usually secondary to the patient rubbing), irregular epidermal hyperplasia, and scant to absent spongiosis. In the superficial dermis (papillary dermis), the collagen bundles are abnormally thickened and are oriented perpendicular to the plane of the epidermis (see Fig. 3C).

Fig. 3. A. Acute dermatitis with confluent intraepidermal spongiosis leading to vesicle formation. B. Subacute dermatitis with moderate intercellular edema (spongiosis). C. Chronic dermatitis with lichen simplex chronicus (compact orthokeratosis, irregular epidermal hyperplasia, and papillary dermal fibrosis).

Urticaria is the widespread appearance of pruritic hives or erythematous, slightly indurated, nonscaling dermal papules or plaques. These may occur at any body site and usually are transient, with individual lesions lasting less than 24 hours; new lesions, however, appear continuously or in bouts. When periorbital or lid skin is involved, there are coalescent erythematous papules without surface scale or change. Biopsy shows a normal epidermis with edema of the superficial dermis and a scant perivascular lymphohistiocytic infiltrate, occasionally with a few eosinophils in urticaria of short duration or a few neutrophils in more chronic conditions. Angioedema presents with deeper, more indurated swelling characterized by deep dermal and subcutaneous edema on biopsy. Urticaria and angioedema are often associated clinically and may be due to a multitude of etiologies. There is also a specific type of hereditary angioedema secondary to a low serum level of the inhibitor of the first component of complement.

Back to Top
CUTANEOUS INFECTIONS
Cellulitis is an infection involving the dermal and subcutaneous tissues around the eye, resulting in erythema, edema, tenderness, and warmth. Staphylococcal infections are usually responsible. Histologically, there is edema throughout the dermis with a sparse, widespread infiltration of neutrophils between collagen bundles. The epidermis appears normal.

An external hordeolum (stye) (Fig. 4) results from an acute purulent inflammation of the superficial sweat and sebaceous glands or hair follicles of the eyelids, while an internal hordeolum occurs in the meibomian glands within the tarsal plates of the lids. They are characterized histologically by dense inflammation containing neutrophils and foreign body multinucleated giant cells around intact or ruptured appendegeal structures. A chalazion is chronic inflammation of a meibomian gland (deep type) or zeisian sebaceous gland (superficial type) resulting in a clinically firm, painless nodule of the eyelid (Fig. 5A). Histologically, there is deep dermal or subcutaneous suppurative granulomatous inflammation containing neutrophils, plasma cells, lymphocytes, histiocytes, and giant cells in a zonal configuration around central lipid material (see Fig. 5B).

Fig. 4. Hordeolum—Clinical photograph of tender erythematous mass on the upper eyelid. (Photo courtesy of William Morris, M.D.)

Fig. 5. Chalazion—A. Typical clinical appearance of chalazion. B. Lipogranulomatous reaction with epithelioid cells, lymphocytes, and plasma cells surrounding a central nidus of Meibomian gland secretion. Clear area in center represents lipid material dissolved out during processing of tissue. Giant cells are sometimes seen (hematoxylin and eosin stain). (Photos courtesy of William Morris, M.D.)

Erysipelas is a specific type of acute cellulitis caused by group A hemolytic Streptococcus and characterized clinically by a sharply demarcated, warm, red, dermal, and subcutaneous plaque on the face.

Blepharoconjunctivitis is a specific type of chronic blepharitis that primarily involves the lid margins and, secondarily, the conjunctiva. Chronic sensitivity to staphylococcal infection is the proposed etiology. Histologic changes are those of a chronic dermatitis (epidermal hyperplasia, hyperkeratosis, and parakeratosis), along with dermal inflammation containing neutrophils similar to cellulitis.

Back to Top
VIRAL INFECTIONS

Umbilicated vesicles on an erythematous base progressing to pustules and crusted papules are characteristic of generalized vaccinia (small pox), with new cases recently reported secondary to the small pox vaccine. These vesicles are also characteristic of varicella (chickenpox), herpes zoster (shingles), and primary and recurrent herpes simplex infections (Fig. 6A). Herpesviruses are DNA-containing viruses that infect host cell nuclei resulting in similar, characteristic histologic changes. There is marked intraepidermal vesiculation and necrosis with massive ballooning and rupture of keratinocytes, spongiosis, acantholysis, and a dense superficial dermal perivascular lymphohistiocytic infiltrate with neutrophils, which also are seen commonly infiltrating the epidermis. Multinucleated epithelial giant cells with nuclei, which are steel gray and demonstrate peripheral margination of clumped chromatin material, are characteristic of early and well-developed vesicles (see Fig. 6B). Progression to near total epidermal necrosis makes these characteristic cells more difficult to identify. Occasionally, eosinophilic staining and small intranuclear inclusions may be visible. A Tzanck smear may be obtained by unroofing a vesicle, scraping the base, and staining the base with Giemsa stain. This rapid diagnostic method enables identification of multinucleated epithelial giant cells and single keratinocytes with characteristic nuclear changes.

Fig. 6. A. Recurrent herpes simplex infection with umbilicated pustulovesicles on an erythematous base. B. Herpes simplex infection with intraepidermal vesicle containing characteristic multinucleated epithelial giant cells.

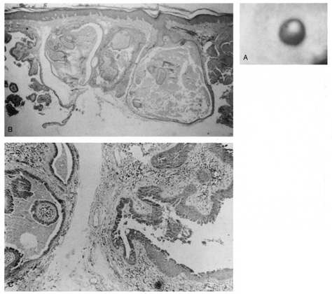
Lesions of molluscum contagiosum often affect the periorbital and lid skin as 1- to 3-mm domeshaped papules with a small central dell. This large pox virus multiplies in the cytoplasm, and, histologically, homogeneous purple intracytoplasmic inclusion bodies (molluscum bodies) are seen in an acanthotic epidermis (see Fig. 7).

Fig. 7. Molluscum Contagiosum—A. Umbilicated lesions typical of molluscum contagiosum on the upper lid of a child. Infection near the edge of the lid may cause a toxic follicular conjunctivitis. B. Low-power photomicrograph demonstrating crater shape of excised lesion (hematoxylin and eosin stain). C. High-power photomicrograph illustrating the large clumps of eosinophilic viral inclusions in the epithelial cells (“molluscum bodies“) (hematoxylin and eosin stain). (Photos courtesy of William Morris, M.D.)

Verruca vulgaris (warts) are caused by a variety of papilloma viruses and may present as small papules with a digitated surface or elongated filiform warts around the eyes. Histologically, they demonstrate varying degrees of massive papillomatosis, hyperkeratosis, and acanthosis with parakeratosis and collections of serum in the stratum corneum at the tips of the digitations (Fig. 8). In early warts, the keratinocytes in the granular layer and just beneath the granular layer are vacuolated with condensation and clumping of dark-staining keratohyaline granules and occasional eosinophilic inclusion bodies in the nuclei.

Fig. 8. Verruca Vulgaris—A. Low-power photomicrograph illustrating papillomatous growth with a fibrovascular core, hyperkeratosis, and acanthosis (hematoxylin and eosin stain). B. High-power photomicrograph demonstrating intranuclear viral inclusion (black arrow) (hematoxylin and eosin stain). (Photos courtesy of William Morris, M.D.)

Back to Top
FUNGAL AND PARASITIC INFECTIONS
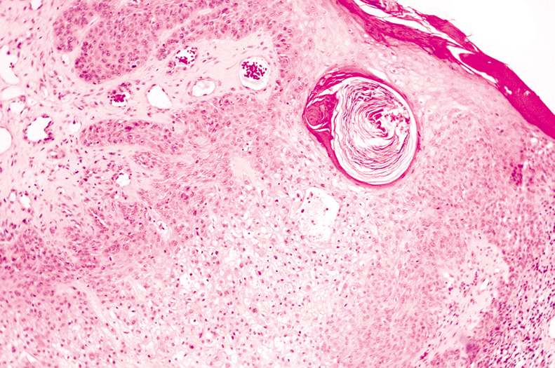
Dermatophytosis may affect periorbital and lid skin as typical circinate, scaling, and erythematous plaques (ring worm) or primarily infect the eyelashes, which results in loss of or breaking off of fragile hairs. Biopsy demonstrates a minimal superficial perivascular lymphohistiocytic infiltrate with overlying orthokeratosis and focal parakeratosis. On high power examination and with histochemical stains, such as periodic acid-Schiff stain (PAS) and Gomori's methenamine silver (GMS), hyaline-segmented hyphae may be seen in the orthokeratotic areas of the stratum corneum. In candidiasis, pustules on an erythematous base are often present, and, in the stratum corneum, there are septate pseudohyphae and small oval spores.

Pityrosporum orbiculare, in its yeast phase, is part of the normal flora of the central face, and small spores (3 μm) are often visible in the stratum corneum, especially in the superficial portions of hair follicles. Tinea versicolor is a more specific disease and presents as hyperpigmented or hypo-pigmented, scaling patches on the face. Scrapings examined in potassium hydroxide (KOH) solution or a biopsy stained with PAS will demonstrate small hyphae and spores in clusters in the stratum corneum (often termed spaghetti and meatballs).

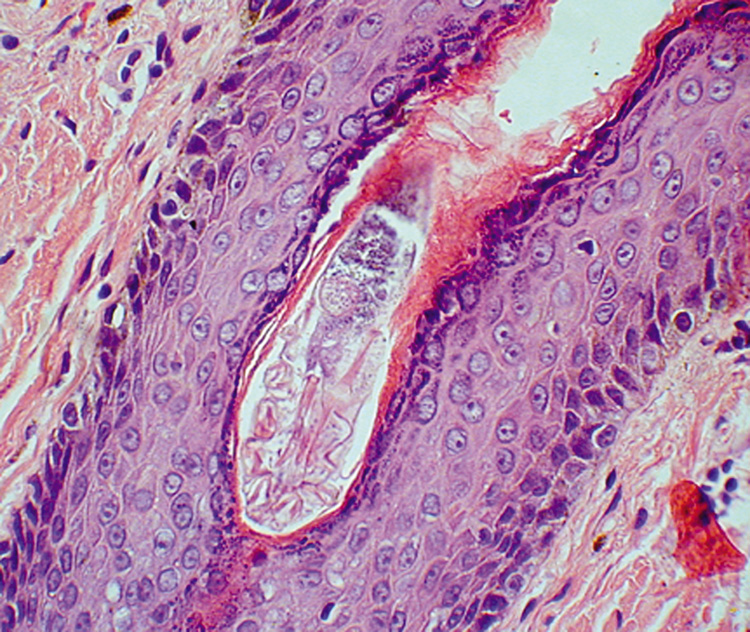
The parasitic mite Demodex folliculorum lives in hair follicles with large sebaceous glands, especially around the nose and eyes. Histologically, the mite frequently is seen as an incidental finding in a facial hair follicle with a minimal surrounding inflammatory infiltrate (Fig. 9). Many dermatologists believe that some cases of acne rosacea and folliculitis are caused by large numbers of Demodex, especially in immunosuppressed patients. In these instances, there is dense follicular and perifollicular inflammation.

Fig. 9. Demodicosis—Demodex folliculorum residing in hair follicle (hematoxylin and eosin stain). (Photo courtesy of William Morris, M.D.)

Back to Top
BULLOUS DISEASES
Vesicles (small) and bullae (large) may occur within the epidermis at various levels of cleavage (intraepidermal vesicles) and beneath the epidermis (subepidermal vesicles), with a separation plane beneath the electron microscopic basement membrane or, due to dissolution of various components, within the basement membrane itself. Lesions of pemphigus (intraepidermal), cicatricial pemphigoid (subepidermal), and the erythema multiforme-Stevens-Johnson complex (combined intraepidermal and subepidermal) may occur near the eyes, on the lids, and on the conjunctiva.

Pemphigus represents a group of diseases that has circulating antibodies directed against intercellular substances or keratinocyte surface antigens. A cleavage plane in the granular layer is characteristic of superficial pemphigus; a suprabasalar or midepidermal plane is characteristic of the most severe form, pemphigus vulgaris. Clinically, superficial, flaccid blisters rapidly erode and spread easily when compressed. Histologically, the keratinocytes separate immediately above the basal layer, extending to the midepidermis (pemphigus vulgaris) without spongiosis. Individual keratinocytes appear rounded with prominent nuclei. No intercellular bridges are visualized, and there is no significant inflammation in an early lesion (Fig. 10). A direct immunofluorescent study (skin biopsy) and an indirect immunofluorescent study (serum) show intracellular deposition of immunoglobulin G (IgG) and complement proteins throughout the epidermis. Pemphigus vulgaris, often fatal before the advent of steroid and immunosuppressant treatment, still is a very severe disease

Fig. 10. Pemphigus vulgaris showing acantholytic keratinocytes in a suprabasalar vesicle.

Bullous pemphigoid occurs mainly in older patients and is characterized by large, tense, firm bullae. Histologically, there is a discrete subepidermal separation with a prominence of eosinophils in the inflammatory infiltrate. Almost all patients have circulating IgG antibodies that deposit at the dermoepidermal junction in a linear fashion. Bullous pemphigoid rarely leaves significant scars. Cicatricial pemphigoid is a related subepidermal bullous disorder that mainly affects the mucosal surfaces, is predominantly conjunctival and oral lesions, and characteristically resolves with scarring, which may lead to blindness. Histologically, it is similar to bullous pemphigoid, but, quite often, there are more neutrophils in the infiltrate and more extensive spongiosis in the epidermis. Again, IgG antibodies are directed against protein components of the basement membrane.

Erythema multiforme is a common pathway cutaneous reaction to drugs, viral or bacterial infections, or unknown causes. Characteristic “target“ lesions are seen as round-to-oval erythematous plaques with central darkening and marginal erythema. In its most severe form, Stevens-Johnson syndrome, the mucocutaneous surfaces (including the conjunctiva) are predominantly affected in association with a systemic syndrome, which may lead to death. Histologically, erythema multiforme and Stevens-Johnson syndrome are characterized by a dense lymphohistiocytic infiltrate that obscures the dermoepidermal junction associated with progressive necrosis of keratinocytes from the basilar to the uppermost portions of the epidermis. The intraepidermal and subepidermal vesiculation may lead to severe scarring of mucosal surfaces.

Back to Top
LID AND PERIORBITAL MANIFESTATIONS OF SYSTEMIC DISEASES
All of the connective tissue or collagen vascular diseases may affect the skin near the eyes. Lupus erythematosus (LE) is an extremely heterogeneous disease that includes a broad spectrum of clinical forms in which cutaneous disease may occur with or without systemic involvement. Scaling, erythematous papules, and plaques with follicular plugs, hypopigmentation and hyperpigmentation, and discrete margins are characteristic of chronic cutaneous LE (discoid LE). Histologically, there is hyperkeratosis, follicular plugging, thinning of the epidermis, vacuolar alteration at the dermoepidermal junction (tiny, oval, clear spaces), a thickened light microscopic basement membrane, and a superficial and deep perivascular and periadnexal mononuclear inflammatory infiltrate in the dermis. Increased mucin often can be seen between collagen bundles in any of the collagen vascular diseases.

A common cutaneous manifestation of dermatomyositis is a violaceous heliotrope around the eyes, on the lids, and on the cheeks. Histologically, there is orthokeratosis, thinning of the epidermis, loss of the rete ridge pattern, and vacuolar alteration at the dermoepidermal junction with a mild lymphohistiocytic infiltrate in the dermis.

Scleroderma may occur in a generalized systemic form and several localized cutaneous forms. The characteristic clinical lesion is a sclerotic plaque with an ivory center, which appears bound down when palpated. Histologically, the epidermis is atrophic and there is thickening of the entire reticular dermis extending into the subcutaneous fat with an associated loss of adnexal structures. Individual collagen bundles are broad, eosinophilic, and oriented horizontally. In the early stages, there may be an inflammatory infiltrate at the dermoepidermal junction, but, in later lesions, only sclerosis and a lack of adnexal structures are seen.

A wide variety of systemic metabolic disorders may lead to deposition of material in the skin, often around the eyes or on the lids. Small, yellowish, dome-shaped papules are seen in primary systemic amyloidosis or cutaneous amyloidosis. Histologically, small homogeneous globules may be detected in the dermis, especially around blood vessels. Lipoid proteinosis often demonstrates a characteristic string of small dermal papules with a yellowish hue along the lid margins. Again, glycoprotein material is seen as homogeneous bundles or fibers around blood vessels in the superficial dermis (Fig. 11).

Fig. 11. Amyloidosis—A. Erythematous appearance of amyloidosis involving the lid. This was incorrectly diagnosed as a chalazion. B. Amorphous eosinophilic material (amyloid) present within the excised tissue (hematoxylin and eosin stain). C. Positive staining of amyloid material with Congo Red. (Congo Red stain). D. When viewed with polarized light, apple-green birefringence of the Congo Red-stained amyloid deposits is visible (Congo Red stain/polarized light). (Photos courtesy of William Morris, M.D.)

Xanthelasma commonly occurs in older individuals with normal serum cholesterol. However, in younger patients, it should alert the physician to look for hypercholesterolemia. Soft, yellowish papules and plaques are most prominent on the lower lids and cheek but may be seen on the upper lids. Histologically, dense clusters of foam cells are found in the superficial dermis. Intracellular lipid gives a vacuolated appearance (Fig. 12).

Fig. 12. Xanthelasma—A. Clinical photograph of xanthelasma showing typical distribution of the xanthomatous nodules on the eyelids. B. High-power photomicrograph of many multinucleated foamy xanthoma cells (hematoxylin and eosin stain). (Photos courtesy of William Morris, M.D.)

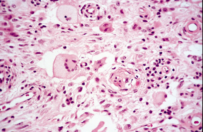
Xanthogranulomas are often a manifestation of an underlying systemic condition. Erdheim-Chester disease presents with xanthelasma, and xanthogranulomas (Fig. 13). Juvenile xanthogranuloma may be single or multiple, orange-hued, firm papulonodules on the face. They may be present at birth, but most often arise in infancy. There is a dense diffuse dermal inflammatory infiltrate characterized by large Touton multinucleated giant cells with an amphophilic center surrounded by a ring of nuclei surrounded by an external ring of foamy cytoplasm. Most lesions involute spontaneously. Xanthogranulomas may appear on the iris and produce hemorrhage and glaucoma.

Fig. 13. Erdheim–Chester Disease—This xanthogranulomatous disease is characterized by dermal infiltrate of fibrohistiocytes and Touton giant cells. The histiocytic cells are S-100 negative. (Photos courtesy of William Morris, M.D.)

Histologically, early lesions show a dense collection of histiocytes, some of which have pale, vacuolated cytoplasm. There also is an inflammatory infiltrate of lymphocytes and eosinophils. Mature lesions show the characteristic foam cells and Touton giant cells. Touton giant cells have a central wreath of nuclei surrounded by foamy cytoplasm (Fig. 14). In late lesions, the infiltrate is replaced by fibrosis.

Fig. 14. Xanthogranuloma—This Touton giant cell is characterized by a homogeneous eosinophilic center surrounded by a circle of multiple nuclei that is, in turn, surrounded by a large foamy ring (hematoxylin and eosin stain). (Photos courtesy of William Morris, M.D.)

Cutaneous histiocytic proliferations (Langerhans cell granulomatoses) represent a spectrum ranging from Letterer-Siwe disease to eosinophilic granuloma. There may be dense, diffuse nodular infiltrates in Letterer-Siwe disease, with atypical histiocytes demonstrating large, hyperchromatic, kidney bean-shaped nuclei, some of which may infiltrate the epidermis.

Back to Top
CONGENITAL ABNORMALITIES

Congenital abnormalities are most often diagnosed on clinical morphologic findings; histologic changes are rarely definitive. Phakomatous choristoma is a congenital tumor of the lenticular anlage, which usually involves the inner aspect of the lower lid. Histologically, cells resembling lens epithelial cells and lens “bladder“ cells, along with patches of a thick, irregular, PAS-positive basement membrane that closely simulates the lens capsule, grow irregularly within a dense fibrous tissue matrix (Fig. 15).

Fig. 15. Phakomatous choristoma (Zimmerman's tumor)—A. Typical location of a phakomatous choristoma in the nasal portion of the lower lid of an infant. B. Low-power photomicrograph showing collagenous tissue that has cords and nests of epithelial cells with a prominent basement membrane. Dystrophic calcification is also present (hematoxylin and eosin stain). C. Higher-power view illustrates cells similar to “bladder cells“ seen in cataractous lenses (hematoxylin and eosin stain). (Photos courtesy of William Morris, M.D.)

The ichthyoses are a group of inherited disorders of keratinization characterized by dryness and excessive scaling of the skin. Ichthyosis vulgaris (autosomal dominant) often demonstrates fine scaling of the lids, lashes, and surrounding skin; X-linked ichthyosis, additionally, may show large, darker, polygonal scales. One of the two rare autosomal recessive types, lamellar ichthyosis, demonstrates large, thick scales often with ectropion of the lids and conjunctival changes. In ichthyosis vulgaris, there is compact orthokeratosis overlying a markedly diminished or absent granular layer without significant inflammation in the dermis (Fig. 16). X-linked and autosomal recessive ichthyoses also show compact orthokeratosis, but the changes in the granular layer are not distinctive. In autosomal dominantly inherited epidermolytic hyperkeratosis, a distinct histologic change is characterized by intracellular edema, vacuolization of keratinocytes, and the appearance of large, clumped keratohyalin granules, especially in the superficial portions of the epidermis.

Epidermolysis bullosa is a group of related inherited conditions characterized by skin fragility and blistering in a variety of distributions. Histologically, the subcategories are characterized by varied levels of separation in the skin. Scarring subepidermal bullae, which lead to scars, may occur around the eyes in one of the most severe forms, autosomal recessive dystrophic epidermolysis bullosa.

Fig. 16. A. Ichthyosis vulgaris showing compact orthokeratosis with a markedly diminished granular layer. B. Epidermolysis bullosa, recessive dystrophic type, with a noninflammatory subepidermal bulla.

Back to Top
AGING

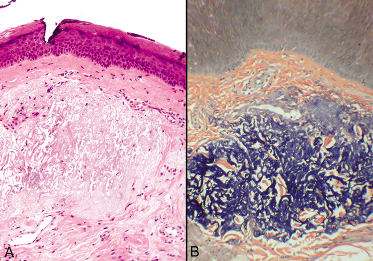
Although no one really dies from old skin, the psychological impact of dry, rough, wrinkled, lax, unevenly pigmented skin around the eyes with a variety of protruding tumors is immense. Skin aging is intrinsic (age related, occurring on non–sun-exposed skin) and extrinsic (predominantly sun induced). The epidermis is usually thin with a disorderly maturation of keratinocytes. The most characteristic histologic finding is a tremendous increase in elastic tissue visualized as basophilic-to-gray staining, amorphous masses in the superficial dermis, often termed basophilic degeneration or solar elastosis (Fig. 17). Accentuating age-related changes may result in an ectropion (turning out) or an entropion (turning in) of the lower lid. Histologically, both show chronic nongranulomatous dense inflammation and scar formation of the skin and conjunctiva. An ectropion shows increased orbicular and Riolan's muscle ischemia, fragmentation of elastic and collagenous tissues in the orbital septum and tarsus, and hypertrophy of the tarsus. An entropion shows increased atrophy of the orbital septum and tarsus. Dermatochalasis is an age-related change manifested by lax, redundant skin of the lids. These folds may even cover the palpebral fissure, thereby impairing vision.

Fig. 17. Actinic (Solar) Elastosis—A. With standard hematoxylin-eosin staining, the areas of sun-damaged collagen stain present a somewhat vermiform appearance and stain more basophilic than the undamaged dermal collagen (hematoxylin and eosin stain). B. The Verhoff-VonGiesen elastic stain stains the damaged collagen like elastic tissue (Verhoff-VonGiesen stain). (Photos courtesy of William Morris, M.D.)

Most of the severe effects of the sun and other environmental factors can be avoided by using sunscreens and avoiding excessive sun exposure. Skin cancers and precancers are discussed later in this chapter.

Back to Top
CYSTS AND BENIGN, PREMALIGNANT, AND MALIGNANT TUMORS

CYSTS

Epidermal Inclusion Cysts and Milia

Epidermal inclusion cysts are follicular cysts of the hair follicle infundibulum, which most often occur on the outer upper portion of the eyelid as firm, round, slow growing lesions. Cystic dilatation of the follicle occurs from occlusion of the orifice, which may be precipitated by trauma. Milia are identical to epidermal cysts but are smaller. Multiple epidermal cysts, especially of the face and scalp, may occur in Gardner's syndrome.

Histologically, epidermal cysts have a wall composed of epidermis with a granular cell layer that is essentially identical to the surface epidermis. Within the cyst there is loose, laminated keratin, much of which may be lost during processing (Fig. 18). Occasionally, the cyst will rupture and produce a foreign body reaction with multinucleated giant cells in the adjacent tissue.

Fig. 18. Epidermal Inclusion Cyst—A. Clinically this cystic lesion usually has a smooth dome-shape and is light yellow to white. B. Histopathologically, this cystic lesion is lined with stratified squamous epithelium that includes the granular cell layer. The lumen is filled with keratin produced by the epithelium (hematoxylin and eosin stain). (Photos courtesy of William Morris, M.D.)

Hidrocystomas

Cysts resulting from occlusion of the eccrine or apocrine duct are referred to as hidrocystomas. Apocrine hidrocystomas are usually solitary and translucent and are often found near the eye. Eccrine hidrocystomas may be solitary or multiple and are indistinguishable from apocrine hidrocystomas clinically.

Histologically, apocrine hidrocystomas are irregularly shaped cysts and are lined by a double layer of epithelium: the outer layer is myoepithelium, and the luminal layer demonstrates decapitation secretion (Fig. 19). Eccrine hidrocystomas are more rounded and show a flattened wall with one or two layers of cuboidal cells (Fig. 20).

Fig. 19. Apocrine Hidrocystoma—Apocrine cells line the hidrocystoma wall. Notice the “decapitation snouts“ at the apex of the cells, indicating that the cytoplasm has been pinched off to form the glandular secretion (hematoxylin and eosin stain). (Photo courtesy of William Morris, M.D.)

Fig. 20. Eccrine Hidrocystoma—A. Clinically, this appears as a softly cystic lesion that transilluminates brightly. B. Photomicrograph showing collapsed cyst lined by a double row of cuboidal cells. The lumen appears empty (hematoxylin and eosin stain). (Photos courtesy of William Morris, M.D.)

Pilar (Trichilemmal) Cysts

Pilar, or trichilemmal, cysts were previously referred to as sebaceous cysts. They are less common than epidermal cysts and may arise from hair follicles on the lid surface or the brow. These often occur in an autosomal dominant pattern of inheritance. In contrast to epidermal cysts, these cysts are easily enucleated and appear as firm, smooth, white cysts. The name, trichilemmal cyst, came about because these cysts are derived from the isthmus portion of the hair follicle from which keratinization analogous to the outer root sheath of the hair, or trichilemma, occurs.

Histologically, pilar cysts possess an epithelial wall without clearly visible intercellular bridges. There is palisading of the peripheral cell layer, and the cells closest to the cyst cavity appear swollen and have a pale cytoplasm (Fig. 21). Within the cyst cavity, there is homogeneous compact eosinophilic material which also may show focal calcification. Cyst rupture is accompanied by a foreign-body granulomatous response.

Fig. 21. Pilar cyst—A. Scanning magnification shows a cyst containing compact keratin. B. Higher magnification shows absent granular layer of the cyst wall and compact keratin in the lumen.

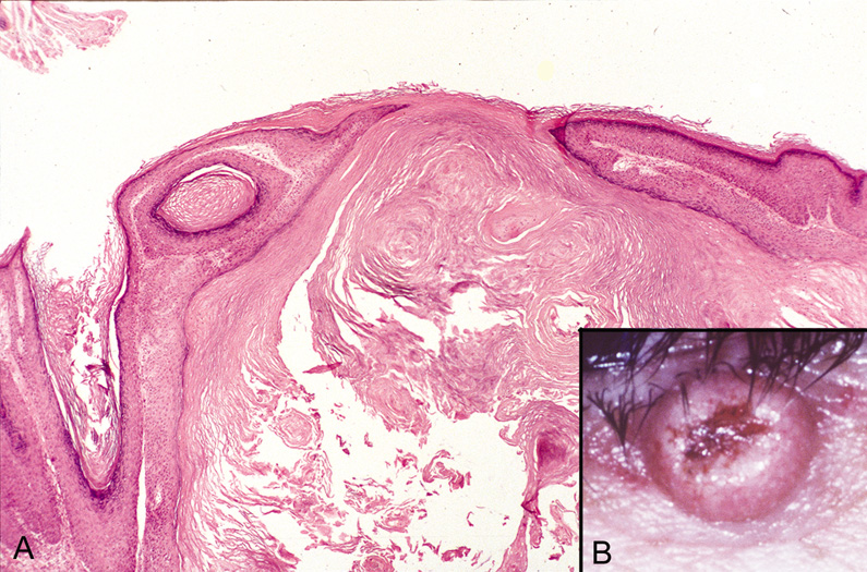
Dermoid Cysts

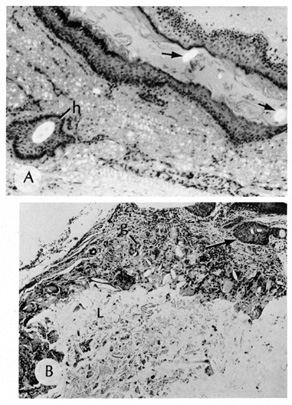
Dermoid cysts are usually present at birth and commonly occur around the eyes. They may be adherent to the periosteum. Dermoid cysts are believed to result from sequestration of skin and its appendages along embryonic lines of closure and, thus, are commonly found at the frontozygomatic suture.

Histologically, dermoid cysts are lined by epidermis possessing various mature appendageal structures (Fig. 22). These include hair follicles with terminal hairs, sebaceous glands, eccrine glands, and, occasionally, apocrine glands.

Fig. 22. A. Dermoid cyst shows hair follicle (h) and hair shaft (arrows) in cyst lumen. B. Dermoid cyst has skin appendages in cyst wall (arrow), is lined by stratified squamous epithelium, and contains desquamated keratin in its lumen (L). There is a granulomatous inflammatory infiltrate (g) due to rupture of cyst. (From Yanoff M, Fine BS: Ocular Pathology, 3rd ed. Philadelphia, JB Lippincott, 1989, 186.)

Steatocystoma

Steatocystoma may occur as solitary cysts (simplex) or multiple cysts (multiplex). The latter is often inherited as an autosomal dominant trait. These cysts are small and firm and, when punctured, exude an oily or creamy fluid. Steatocystoma is derived from cystic dilatation of the sebaceous duct, which empties into the hair follicle.

Histologically, the cyst wall is folded and shows several layers of epithelial cells with a palisading of the peripheral cell layer. The cells lining the cystic cavity are covered by a thick, eosinophilic cuticle. Characteristically, flattened sebaceous lobules are present either within or close to the cyst wall.

Pilomatrixoma

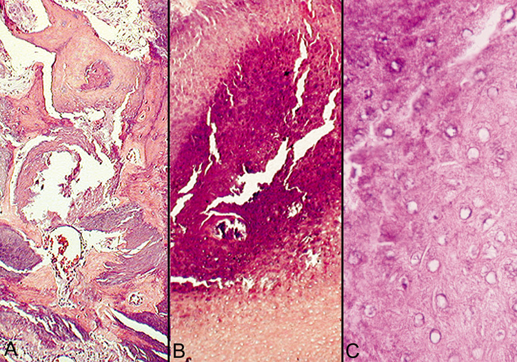
Pilomatrixoma, also referred to as Malherbe's calcifying epithelioma, is a cyst derived from the hair matrix that forms the hair. It is often a solitary lesion and most commonly occurs on the face. Most pilomatrixomas occur in the first two decades of life and, if superficially located, produce a blue-red skin discoloration. Excision is curative.

Histologically, pilomatrixomas show two types of cells in variable proportions: a basophilic cell with a dark basophilic nucleus and scanty cytoplasm and a “shadow cell,“ which has an unstained central nucleus and faintly eosinophilic cytoplasm (Fig. 23). There may be an abrupt or gradual transition between the two cells, and few or no basophilic cells may be seen in “old“ lesions. Calcification of pilomatrixoma is frequent and may occur within the shadow cells or in the stroma. The stroma usually is fibrotic and contains a foreign body reaction. Ossification also can occur occasionally.

Fig. 23. Pilomatrixoma—A. Low-power photomicrograph demonstrating immature bone formation and proliferation of epithelial cells (hematoxylin and eosin stain). B. Higher-power view showing an area of calcification within the tumor (ematoxylin and eosin stain). C. High-power photomicrograph showing the transition from basophilic epithelial cells (upper left) to “shadow cells“ in the lower right (hematoxylin and eosin stain). (Photos courtesy of William Morris, M.D.)

“Hybrid“ Cysts

Follicular cysts with differentiation toward two or more of the previously mentioned cysts are referred to as hybrid cysts. Although originally described as a cyst of infundibular and trichilemmal keratinization, hybrid cysts may show any permutation of follicular keratinization.

BENIGN TUMORS

Epithelial Derivation

FIBROEPITHELIAL PAPILLOMA (ACROCHORDON)

The fibroepithelial papilloma, also known as a squamous papilloma, acrochordon or skin tag, is a polyp of skin that occurs commonly on or around the eyelids. Histologically, fingerlike projections of papillary dermis are covered by epidermis, which is of normal thickness and shows elongation of the rete ridges and hyperkeratosis. Dilated capillaries are seen in the dermis with a variable chronic inflammatory infiltrate (Fig. 24). If traumatized, there may be necrosis of the epidermis and dermis with ulceration and crust.

Fig. 24. Achrocordon (skin tag)—A. Clinical photograph of typical achrocordon. B. Normal skin epithelium covers a stalk of loose connective tissue and blood vessels (hematoxylin and eosin stain). (Courtesy of William Morris, M.D.)

SEBORRHEIC KERATOSIS.

Seborrheic keratoses are the most common benign skin lesions in the geriatric population. They typically increase in size and number with age. Clinically, the lesions are well-demarcated, tan-to-brown papules or plaques with a rough, almost warty, “stuck on“ appearance. Due to their pigmentation, distinguishing the lesions from malignant melanoma is sometimes difficult. In some cases, seborrheic keratoses may be polypoid, resembling papillomas, or shiny and glistening, resembling basal cell carcinomas. Although clinically confused with both melanoma and basal cell carcinoma, they are not thought to be a precursor to malignancy.

Histologically, seborrheic keratoses are composed of a proliferation of basaloid cells resembling the basal cell layer of the epidermis (Fig. 25). Six subtypes are recognized: acanthotic, hyperkeratotic, reticulated, clonal, irritated, and melanoacanthoma. All types show acanthosis, hyperkeratosis, and papillomatosis. Because the acanthosis produces an upward extension, the lower border of seborrheic keratoses is even, and a straight line can be drawn from one end of the tumor to the other. A characteristic feature of seborrheic keratoses are the horn pseudocysts, which are horny invaginations cut on cross section.

Fig. 25. Seborrheic Keratosis—A. Clinical photograph of seborrheic keratosis illustrating its “stuck on“ appearance. B. Low-power photomicrograph showing the proliferating cords of basal cells, the vascular islands, and the “horn cysts“ within the thickened epithelium (hematoxylin and eosin stain). (Photos courtesy of William Morris, M.D.)

Dermatosis papulosa nigra is a small, pigmented, polypoid seborrheic keratosis seen around the eyes and on the cheeks of Black people. The sudden appearance of numerous seborrheic keratoses, called the Leser-Trélat sign, may herald an internal malignancy.

EPIDERMAL NEVUS.

Epidermal nevi (nevus verrucosus) are linear verrucous plaques usually present at birth. The lesions may be localized or, rarely, generalized. The latter type may be associated with skeletal or central nervous system abnormalities (epidermal nevus syndrome). There are two major classifications of epidermal nevi: nonorganoid (keratinocytic) and organoid (sebaceous, follicular, and sweat gland). The type of epidermal nevus is determined by its predominant components, keratinocytes, or epidermal appendages.

Histologically, there is considerable hyperkeratosis, papillomatosis, and acanthosis with fusion of the rete ridges. Epidermolytic hyperkeratosis may be seen in the localized or, more frequently, the generalized type.

INVERTED FOLLICULAR KERATOSIS.

Inverted follicular keratosis is a benign epithelial lesion occurring exclusively on hair-bearing surfaces and, most frequently, the face. Middle-aged or older individuals are usually affected. Clinically, the lesion presents as an asymptomatic, pink or flesh-colored papule or plaque. Rapidly growing lesions may be confused with keratoacanthomas.

Histologically, inverted follicular keratoses are exoendophytic and symmetric. There is a bulbous proliferation of keratinocytes showing abundant eosinophilic cytoplasms into the dermis. Often, the stratum corneum is parakeratotic and contains neutrophils, serum, and red blood cells. A characteristic feature, which is also shared with irritated seborrheic keratoses, is the presence of squamous eddies, which are whorls of eosinophilic keratinocytes arranged in an onion-peel fashion (Fig. 26). Some authors believe that inverted follicular keratoses are really irritated seborrheic keratoses or verrucae with squamous eddies.

Fig. 26. Inverted follicular keratosis. A. Clinical appearance. B. Inset shows hyperkeratotic papillomatous lesion shown under high magnification, (arrow main figure). Note: acantholytic squamous cells surrounding squamous eddies (arrows). (Modified from Sassani JW, Yanoff M: Inverted follicular keratosis. Am J Ophthalmol 87:810, 1979; and Scheie HG, Yanoff M, Sassani JW: Inverted follicular keratosis mimicking malignant melanoma. Ann Ophthalmol 9:949, 1977.)

WARTY DYSKERATOMA

Warty dyskeratoma presents as an umbilicated keratotic papule resembling a keratoacanthoma, but can also be confused with a squamous cell carcinoma. It occurs primarily on the scalp, face, or neck.

The characteristic histologic features are a cupshaped invagination filled with keratinous material and acantholytic, dyskeratotic cells. Villi of dermal papillae project into the base of the crater and are lined by a single layer of basal cells. Corps ronds, which are dyskeratotic cells containing a pyknotic nucleus surrounded by a clear halo, are seen in the granular layer at the entrance of the invagination (Fig. 27). The presence of acantholytic dyskeratosis with corps ronds is reminiscent of Darier's disease, but warty dyskeratoma is believed to represent a distinct cutaneous tumor with histologic resemblance to Darier's disease.

Fig. 27. Warty dyskeratoma. A. Scanning magnification shows a bulbous endophytic proliferation with acantholysis. B. High magnification shows dyskeratotic keratinocytes with a pyknotic nucleus (corp ronds).

Melanocytic Derivation

MELANOCYTIC NEVUS.

Nevi can be classified as ordinary nevi, spindle-cell nevi (Spitz), blue nevi, cellular blue nevi, plexiform spindle-cell nevi, or a combination of any of the above based on cell type and location (Fig. 28). Melanocytic nevi first appear as small, tan, flat macules around 6–12 months of age; they enlarge radially with body growth, and regress in later life. Clinically, they are distinguished from melanoma by their characteristic homogenous pigmentation, symmetric and well-defined borders, and smaller diameter (<5 mm). Pertaining to the periocular region, kissing nevi are congenital nevi that appear symmetrically on adjacent aspects of the upper and lower eyelids and are formed secondary to melanocytic migration to this aspect of the lids prior to separation of the embryonic eyelids. Histologically, nevi are composed of benign melanocytes with little pleomorphism or cellular atypia. The overall distribution of melanocytes is symmetrical and they tend to form nests. Melanocytes become smaller with less cytoplasm as they descend deeper into the dermis. Acquired melanocytic nevi can be classified histologically as junctional nevi (cells at dermoepidermal junction), intradermal nevi (cells found only in dermis, not at junction), and compound nevi (combined features of junctional and intradermal nevi) (Fig. 29). Increased risk of malignant transformation occurs as nests of nevus cells migrate from the epidermal to dermal region; thus, junctional and compound nevi more commonly have malignant transformation.

Fig. 28. Blue Nevus—Proliferation of elongated dermal melanocytes are noted within the dermis of skin. The epithelium is normal (hematoxylin and eosin stain). (Photo courtesy of William Morris, M.D.)

Fig. 29. Dermal (Intradermal) Nevus—A, C. Clinical photographs of two different dermal nevi. A. Smooth, dome-shaped appearance. C. Papillary appearance. B. Proliferation of nests of nevus cells in dermis of skin with the larger more heavily pigmented cells more superficial than the smaller less pigmented nevus cells. No nevus cells are present within the overlying epithelium (hematoxylin and eosin stain). (Photos courtesy of William Morris, M.D.)

SPITZ NEVUS.

As mentioned previously, the Spitz nevus or spindle-cell nevus is a benign, acquired melanocytic proliferation often involving the head and neck that shares many features with melanoma; thus the two are often confused. They are typically smaller, more symmetric, and more circumscribed than their malignant counterpart, ending with junctional nests at the periphery. Generally, appearance is uniform, with a wedge-shaped pattern in the dermis, and, as with ordinary nevi, nuclear and cellular sizes diminish with depth. There are few mitoses in the dermal component and none in the deep dermis. There is no consensus regarding histologic criteria for the Spitz nevus; it appears to be more of a continuum from a benign spitz tumor to malignant melanoma. Those lesions with a greater degree of atypical characteristics are considered malignant melanoma.

DYSPLASTIC NEVUS.

Much debate surrounds the terminology for this melanocytic lesion, with dysplastic nevus, atypical melanocytic nevus or Clark's nevus, falling out of favor to the increasingly popular nevus with architectural disorder and cytologic atypia (ARDCA). As with the name, there is also considerable controversy surrounding the histologic criteria distinguishing these lesions from ordinary nevi and melanoma. Clinically, these nevi are larger (5–6 mm), have more asymmetric borders that are less well circumscribed, and have more heterogeneous pigmentation than ordinary nevi.

Histologically, there is variable cytologic atypia, retraction of cytoplasm with high nuclear-to-cytoplasm ratios, variable nuclear enlargement, with nuclei approximately the size of nearby keratinocytic nuclei, nuclear pleomorphism and hyperchromatism, and nucleoli with moderate-to-severe atypia.

Appendageal (Adnexal) Derivation

SEBACEOUS.

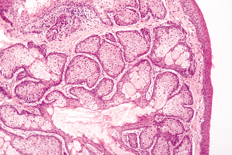
Nevus Sebaceus.

Nevus sebaceus is a congenital lesion most often located on the scalp or face. Being a sebaceous neoplasm, the lesion appears yellowish at birth but, during childhood, loses its distinctive color and appears as a hairless patch. During puberty, the sebaceous derivation of the lesion again becomes apparent, and the lesion appears verrucous and nodular. A number of benign and malignant tumors (see syringocystadenoma papilliferum; basal cell carcinoma) may arise within the nevus sebaceus during adulthood.

Histologically, the features depend on the stage of the lesion. The most distinctive changes are present in the verrucous stage and consist of mature sebaceous glands in the dermis with overlying papillomatosis and acanthosis of the epidermis (Fig. 30). Often, mature ectopic apocrine glands are seen in the deep dermis.

Fig. 30. Nevus sebaceous. Papillomatosis, acanthosis, and basalar hyperpigmentation overlying mature sebaceous lobules in the dermis. Note ectopic apocrine glands in the mid-dermis.

Sebaceous Hyperplasia.

Sebaceous hyperplasia occurs on the face of middle-aged people. Lesions are often multiple and appear as small, yellowish, slightly umbilicated papules with telangiectasia. Clinically, these can be confused with basal cell carcinoma or sebaceous cell carcinoma. Histologically, multiple mature sebaceous lobules are oriented around a central sebaceous duct (Fig. 31).

Fig. 31. Sebaceous Hyperplasia—Low-power photomicrograph showing an enlarged sebaceous gland with many lobules and a dilated central duct (hematoxylin and eosin stain). (Photo courtesy of William Morris, M.D.)

Sebaceous Adenoma.

Sebaceous adenoma is a rare tumor appearing as a circumscribed yellow nodule. The appearance of a solitary sebaceous adenoma may herald an underlying gastrointestinal malignancy (Muir-Torre syndrome).

Histologically, lobules vary in size and shape and are composed of an approximately equal ratio of mature and immature sebocytes (Fig. 32).

Fig. 32. Sebaceous Adenoma—A. Low-power photomicrograph showing sebaceous nodule containing undifferentiated sebaceous cells in the periphery and mature sebaceous cells in the center (hematoxylin and eosin stain). B. High-power view of the central mature sebaceous cells (hematoxylin and eosin stain). (Photos courtesy of William Morris, M.D.)

FOLLICULAR TUMORS

Trichoepithelioma

Trichoepitheliomas may be solitary or multiple and occur most commonly on the face. Multiple lesions are inherited in an autosomal-dominant fashion. Clinically, the lesions are glistening, flesh-colored papules or nodules. They can be confused with basal-cell carcinoma. Trichoepitheliomas and cylindromas have coexisted in the same patient.

Histologically, numerous horn cysts surrounded by layers of flattened squamous epithelium are the featured characteristics. There are also islands of basaloid cells in variable numbers (Fig. 33). Often, a foreign-body, giant-cell reaction in the stroma occurs due to the rupture of horn cysts. Desmoplastic trichoepithelioma, a variant of trichoepithelioma, appears as an indurated plaque with a raised annular border. Histologically, the lesion contains narrow strands of tumor cells in a densely collagenous and acellular stroma.

Fig. 33. Trichoepithelioma—Nodules of tumor demonstrating peripheral palisading around central immature hair follicles (hematoxylin and eosin stain). (Photo courtesy of William Morris, M.D.)

Trichilemmoma

Trichilemmomas are fairly common solitary tumors appearing as smooth or keratotic papules on the head or neck, which should alert the clinician to systemic malignancies such as breast, thyroid, and gastrointestinal carcinomas. Multiple trichilemmomas are seen in Cowde's syndrome (multiple hamartoma syndrome).

Histologically, one or several lobules of pale-staining cells extend into the dermis. The cells stain pale due to their content of glycogen, which can be demonstrated with PAS staining. The peripheral cells composing the lobules palisade and are surrounded by a thickened basement membrane (Fig. 34).

Fig. 34. Trichilemmoma—Low-power photomicrograph of tumor showing proliferation of large clear cells in dermis (hematoxylin and eosin stain). (Photo courtesy of William Morris, M.D.)

Trichofolliculoma

Trichofolliculomas are unique tumors clinically and histologically. They often show a central pore that contains a tuft of wool-like white hairs that are characteristic of this tumor.

Histologically, a central cystic space represents an enlarged hair follicle. Surrounding the central follicle, numerous small follicular structures differentiate toward germinative pilar epithelium. The stroma of these “secondary“ hair follicles contains numerous fibroblasts and is oriented in parallel bundles.

ECCRINE TUMORS

Syringoma

Syringomas are common, benign eccrine tumors most often occurring on the lower eyelids of young women. They appear as small, flesh-colored or yellowish papules. A large number of syringomas that develop in crops on the trunk and extremities has been referred to as eruptive syringomas.

Histologically, numerous small ducts are lined by two rows of flattened epithelial cells. Some ducts possess commalike extensions of the epithelial cells, giving the appearance of tadpoles. The lumina of the ducts contains an amorphous material, and the stroma is fibrous (Fig. 35). A variant of syringoma is the chondroid syringoma (mixed tumor of the skin). These tumors are solitary, firm dermal or subcutaneous nodules most often appearing on the head or neck. Histologically, chondroid syringomas show tubular lumina that vary in size and shape and may be cystically dilated and branching. A distinctive feature is the stroma, which is faintly basophilic and contains fibroblasts with surrounding halos reminiscent of normal cartilage.

Fig. 35. Syringoma—Low-power photomicrograph showing proliferation of multiple various-shaped ducts within a fibrous stroma. Some of the ducts contain nonformed debris (hematoxylin and eosin stain). (Photo courtesy of William Morris, M.D.)

Eccrine Spiradenoma

These tumors are characteristically painful dermal nodules that are solitary and, occasionally, multiple. They arise in adulthood and have no characteristic location.

Histologically, one or more large basophilic islands are present in the dermis. The islands are composed of two cell types: small, dark cells and large, pale cells. The latter cell may cluster into rosettes. There is often hyaline material in the stroma surrounding the cells.

Clear Cell Hidradenoma

This tumor is known by several synonyms, including eccrine acrospiroma, nodular hidradenoma, and solid cystic hidradenoma. It presents as an intradermal nodule that may ulcerate or enlarge rapidly from internal hemorrhage.

Histologically, there is a well-circumscribed nodular or cystic epithelial proliferation in the dermis. Within the tumor nodules, tubular lumina lined by cuboidal or columnar secretory cells are found. Two cell types of varying proportions are seen. One cell type is polyhedral to fusiform and shows slightly basophilic cytoplasm. The other cell type is round and contains a clear cytoplasm composed primarily of glycogen (Fig. 36). Focally, there may be squamous differentiation with horn pearl formation.

Fig. 36. Clear-cell hidradenoma. A. Solid islands and cystic spaces with duct formation in the dermis. B. High magnification shows clear cells.

Eccrine Poroma

Eccrine poromas occur primarily on the sole of the foot but have been observed on other areas of the skin (Fig. 37). They are firm, dome-shaped, slightly pedunculated tumors that may appear pinkish-red.

Fig. 37. Eccrine Poroma—A. Low-power and (B) high-power photomicrographs showing broad bands of epithelial cells extending deep into the dermis. (Photos courtesy of William Morris, M.D.)

Because eccrine poromas arise from the eccrine duct coursing through the epidermis, the tumor shows a downward proliferation of broad anastomosing cell masses into the dermis. The tumor cells are readily distinguished from the surrounding keratinocytes because they are small and cuboidal and possess a round basophilic nucleus. Glycogen is found in their cytoplasm and can be readily demonstrated with PAS stain. In most cases, narrow ductal lumina lined by an eosinophilic cuticle are seen.

APOCRINE TUMORS

Cylindroma

This tumor typically occurs on the scalp and appears in early adulthood. Multiple cylindromas are dominantly inherited and are frequently associated with trichoepitheliomas. Lesions on the scalp may occur in such large numbers that they cover the whole scalp like a turban, hence the synonym “turban tumor.“

Histologically, numerous islands of epithelial cells vary in size and shape and are surrounded by a hyaline sheath. Distinctively, the islands of cells fit together like the pieces of a jigsaw puzzle (Fig. 38). There are two cell types: cells with small, dark nuclei and scant cytoplasm that are found at the periphery of the islands and cells with large pale nuclei that are present in the center of the islands. Usually, tubular lumina are found, and may be lined by cells demonstrating decapitation secretion similar to the secretory cells seen in normal apocrine glands.

Fig. 38. Cylindroma. A. Basaloid islands fill the dermis. B. Islands are surrounded by a hyaline sheath and fit together in a jigsaw puzzle arrangement.

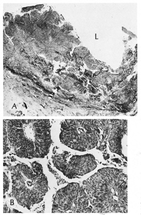
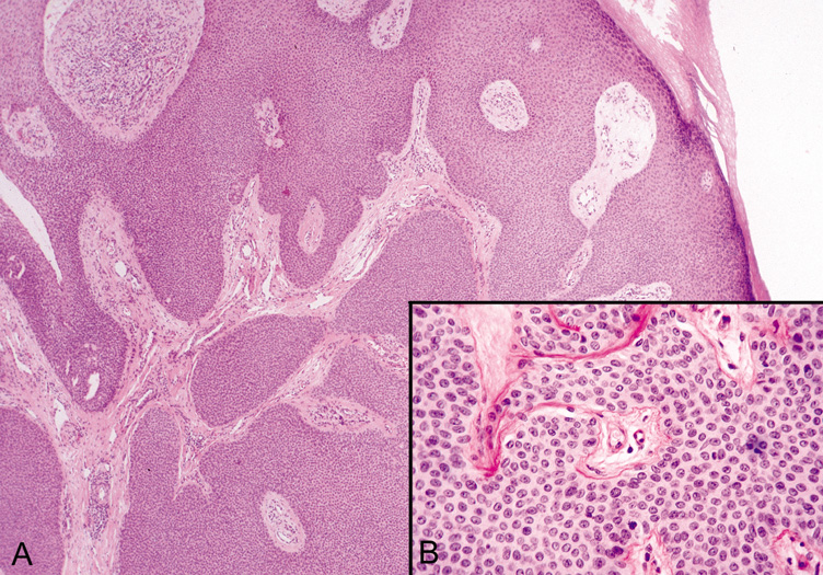
Syringocystadenoma Papilliferum

This tumor occurs primarily on the scalp or face and usually is noted at birth or early childhood. Clinically, the lesion consists of a papule or plaque that increases in size and becomes verrucous at puberty. Most syringocystadenomas develop within a preexisting nevus sebaceus.

Histologically, the epidermis shows papillomatosis and cystic invaginations into the dermis. Papillary projections lined by two rows of glandular epithelium extend into the lower portion of the cystic spaces (Fig. 39). The luminal row of cells are columnar and may show decapitation secretion, whereas the inner row of cells are small and cuboidal. A characteristic feature of this tumor is a dense plasmacytic infiltrate in the stroma, especially the papillary projections.

Fig. 39. Syringocystadenoma papilliferum. A. Clinical appearance of lesion. B. Numerous cystic spaces in the dermis contain papillary projections. C. Apical (decapitation) secretion from the papillary projection with a dense plasmacytic infiltrate in the stroma.

OTHER TUMORS

Neurofibroma

Neurofibromas are common benign tumors of the skin, which may be solitary or multiple. Multiple neurofibromas are associated with café au lait macules in the skin and, in von Recklinghausen's disease, Lisch nodules in the iris. Clinically, the lesions are soft, flesh colored, and pedunculated. Plexiform neurofibromas are typically found on the upper lids and are clinically described as having a “bag of worms“ consistency (Fig. 40).

Fig. 40. Plexiform neurofibroma—A. Clinical photograph of patient with plexiform neurofibroma involving the upper lid. B. Low-power photomicrograph showing enlarged abnormal nerves composed of endoneural fibroblasts, Schwann cells, and axons (hematoxylin and eosin stain). (Photos courtesy of William Morris, M.D.)

Histologically, the tumors are well circumscribed but not encapsulated and may extend into the subcutaneous fat. The nuclei are elongated and wavy and show tapering at their ends. They are embedded in loose, delicate collagen fibers. The stroma is pale and may show significant mucoid degeneration. Mast cells are present in considerable numbers.

Dermatofibroma (Histiocytoma)

Dermatofibromas are common fibrous tumors that most commonly occur on the extremities. They are firm, red-brown papules or nodules that are dome shaped or centrally depressed.

Histologically, the lesions are divided into two types, although they tend to overlap in many instances. The fibrous type is composed of cells resembling fibroblasts embedded in intertwining and anastomosing bands of collagen that blend imperceptibly into the surrounding dermis. The cellular type consists predominantly of cells with round-to-oval nuclei and abundant cytoplasm resembling histiocytes. In both types, scattered small capillaries are present but may be numerous and associated with hemorrhage and hemosiderin deposition.

Vascular Tumors

Several vascular tumors may occur on the skin around the eye, including benign lesions, such as hemangiomas (Fig. 41), pyogenic granulomas, spider nevi, venous lakes, and port wine stains, as well as malignant lesions, such as Kaposi's sarcoma and angiosarcoma.

Fig. 41. Capillary Hemangioma—A. Clinical photograph of child with large capillary hemangioma involving the face and upper eyelid. B. The capillary hemangioma is composed of multiple small endothelial-lined, blood-containing capillaries (hematoxylin and eosin stain). (Photos courtesy of William Morris, M.D.)

PREMALIGNANT TUMORS

Actinic Keratosis

Actinic keratoses occur on areas of chronically sun-exposed skin and are more likely to develop in individuals with a fair complexion. They are the most common premalignant skin lesion in adults. The risk of malignant transformation is thought to be 0.25% per lesion per year. Clinically, lesions are minimally elevated, slightly scaly, and flesh colored to pink. A cutaneous horn may overlie an actinic keratosis but also may overlie other lesions, such as verrucae and seborrheic keratoses.

Histologically, the characteristic findings are focal-to-confluent parakeratosis overlying an epidermis of variable thickness. There is atypia and mitoses of the lower epidermal layers, with the formation of buds extending into the superficial dermis. The dermis shows solar elastosis and a patchy inflammatory infiltrate (Fig. 42).

Fig. 42. Actinic (Solar) Keratosis—The epithelium is thickened and the epithelial cells are dysplastic. No invasion of the dermis is present. A mitotic figure is located just to the right of center in this photomicrograph (hematoxylin and eosin stain). (Courtesy of William Morris, M.D.)

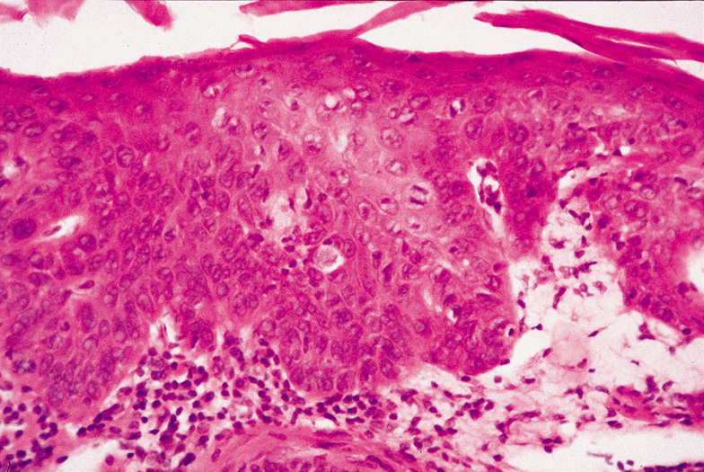
Squamous Cell Carcinoma In Situ

When epidermal atypia becomes full thickness, the clinical lesion is more indurated than actinic keratosis and becomes a plaque. Squamous cell carcinoma in situ may arise on sun-exposed skin from an actinic keratosis or de novo on sun-protected skin. The latter lesion is referred to as Bowen's disease. Squamous cell carcinoma in situ may enlarge slowly for many years or may invade the dermis.

Histologically, the epidermis is replaced by an atypical proliferation of keratinocytes showing nuclear hyperchromatism and pleomorphism. There are many dyskeratotic cells and mitotic figures, some of which may be atypical (Fig. 43). The overlying stratum corneum is parakeratotic. If occurring on sun-exposed skin, there will be solar elastosis.

Fig. 43. Carcinoma In Situ—A. Low-power photomicrograph demonstrating parakeratosis, hyperkeratosis, and epithelial dysplasia confined to the epithelium. No invasion is present. B. High-power photomicrograph revealing pleomorphic cells and active mitosis (hematoxylin and eosin stain). (Photos courtesy of William Morris, M.D.)

MALIGNANT TUMORS

Epithelial Tumors

BASAL CELL CARCINOMA.

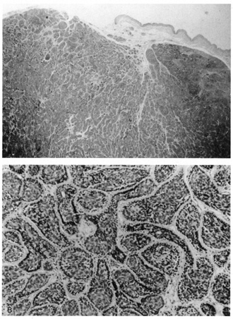
There are over a million new cases of nonmelanoma skin cancer diagnosed each year, of which more than 75% are basal cell carcinomas. Basal cell carcinoma is the most common malignant tumor of the eyelids (85–95% of all malignant eyelid tumors), occurring most frequently on the inner portion of the lower eyelid, followed by the medial canthus, upper eyelid, and lateral canthus. There is an equal sex distribution; most tumors occur in the elderly White patient population. The clinical appearance varies, but the most common clinical presentation is a shiny, waxy papule with a rolled border and telangiectasia. Ulceration and pigmentation may or may not occur. Basal cell carcinomas are slow growing, locally invasive, and, rarely, metastasize (Fig. 44).

Fig. 44. Basal Cell Carcinoma—A, B, C. Clinical photographs of various appearances of basal cell carcinomas, the typical “rodent ulcer.” Notice the loss of lashes at the tumor site and in adjacent areas. D. Low-power photomicrograph of nodular variant of basal cell carcinoma (hematoxylin and eosin stain). (Photos courtesy of William Morris, M.D.)

Histologically, tumors can be classified into one of three types: nodular, superficial, and morpheaform. Nodular basal cell carcinoma is the most common type and consists of small, medium, or large cell islands that resemble the basal cell of the epidermis. The tumor cells are characterized by large, oval, or elongated nuclei and contain little cytoplasm. The nuclei, as a rule, have a rather uniform appearance, do not show a pronounced variation in size or staining intensity, and do not demonstrate atypical mitoses (Fig. 45A-C). A helpful diagnostic feature is that nuclei of the peripheral cell layer of the tumor masses have a palisading arrangement. The stroma surrounding the tumor islands is mucinous, and spaces or lucunae form between the tumor and its stroma. In some cases, central necrosis may develop within the tumor islands forming cystic spaces. Other variants of nodular basal cell carcinoma include keratotic, adenoidal, and pigmented tumors.

Fig. 45. Basal Cell Carcinoma—A, B. Photomicrographs of nodular basal cell carcinomas. C. Typical palisading of tumor cells along the periphery of the tumor nodule. D. The morpheaform variant shows longs strands or clumps of tumor cells invading a dense fibrous stroma (hematoxylin and eosin stain). (Photos courtesy of William Morris, M.D.)

Superficial basal cell carcinoma shows irregular buds of basaloid cells arising from multiple foci of the undersurface of the epidermis. The peripheral cell layer of the tumor islands shows palisading, and, often, there are retraction spaces from the stroma. Due to this tumor's superficial location, these are the most readily curable types of basal cell carcinoma.

In contrast, the morpheaform basal cell carcinoma is more likely to recur after routine surgical excision because this tumor shows numerous small groups of closely packed tumor cells arranged in elongated strands. The tumor is embedded in a dense fibrous stroma reminiscent of the fibrosis seen in scleroderma or morphea (hence the name morpheaform). Most of the tumor strands will show retraction spaces from the stroma. The tumor may extend deep into the dermis and, therefore, is more clinically aggressive and more difficult to cure surgically (Fig. 45D).

Squamous Cell Carcinoma

Squamous cell carcinoma is the second most common malignancy of the skin, but only rarely involves the eyelid (approximately 5% of malignant eyelid tumors). The opposite is true of the conjunctiva, in which squamous cell carcinoma is the most common epithelial malignancy; basal cell carcinoma almost never occurs. Clinically, the lesions commonly show a central ulceration surrounded by a raised, indurated border (Fig. 46). The histology of squamous cell carcinoma has been discussed in previous chapters.

Fig. 46. Squamous cell carcinoma—A. Clinical photograph of large squamous cell carcinoma on the upper eyelid. B. Low-power photomicrograph of tumor demonstrating eosinophilic squamous cells that have invaded the dermis and subcutaneous tissue. (hematoxylin and eosin stain). C. Higher-power photomicrograph showing lobules of invading tumor cells (hematoxylin and eosin stain). D. High-power photomicrograph illustrating dyskeratotic and atypical cells within tumor (hematoxylin and eosin stain). (Photos courtesy of William Morris, M.D.)

Squamous cell carcinomas should be differentiated from pseudocarcinomatous or pseudoepitheliomatous hyperplasia, which represents a reactive downward proliferation of the epidermis that occurs with chronic proliferative inflammatory processes, at the edge of chronic ulcers, or overlying some tumors. Pseudoepitheliomatous hyperplasia resembles well-differentiated squamous cell carcinoma histologically and shows irregular invasion of the dermis by uneven, jagged, sharply pointed epidermal masses and strands with horn pearl formation and often numerous mitoses. Differentiation from squamous cell carcinoma cannot always be made histologically, but the minimal or absent individual cell keratinization and nuclear atypia in the appropriate clinical setting would favor a diagnosis of pseudoepitheliomatous hyperplasia.

Keratoacanthoma

Keratoacanthomas are rapidly growing lesions that are most often solitary but may be multiple. Solitary keratoacanthomas occur in middle-aged or elderly people and appear as dome-shaped nodules with horn-filled central craters. They are found primarily on sun-exposed cutaneous surfaces and may be confused clinically and histologically for squamous cell carcinoma. Although once thought to be a benign entity, most now classify them as well-differentiated squamous cell carcinomas that are capable of spontaneous regression. Keratoacanthomas attain their full size within 6 to 8 weeks and slowly involute, leaving depressed scars. Multiple keratoacanthomas may begin in childhood and affect any surface of the skin, including the palms and soles. Muir-Torre syndrome is a condition characterized by the association of multiple keratoacanthomas and sebaceous adenomas, as well as internal malignancies.

The architectural appearance is the most distinctive feature of the lesion for the histologic diagnosis of keratoacanthoma, which is made on low power or scanning magnification. There is a cup-shaped invagination of the epidermis filled with horny material. At the base of the crater, there is a bulbous proliferation of squamous epithelium showing abundant eosinophilic, glassy cytoplasm with little nuclear atypia. A few dyskeratotic cells may be seen, and mitotic figures may be present. There is often an inflammatory infiltrate containing lymphoid cells and eosinophils surrounding the epithelial proliferation (Fig. 47).

Fig. 47. Keratoacanthoma—A. Crater-shaped skin lesion filled with keratin. Parakeratosis and inflammation near the base of the lesion are common. These tumors may grow rapidly and may be confused microscopically with squamous cell carcinoma (hematoxylin and eosin stain). B. Clinical photograph of keratoacanthoma. (Photos courtesy of William Morris, M.D.)

MELANOCYTIC TUMORS

Melanoma

Cutaneous malignant melanoma is the most rapidly increasing form of cancer in the United States. Cutaneous melanoma of the periocular skin, however, is relatively rare and accounts for less than 1% of all malignant eyelid lesions. Clinically, malignant lesions are usually raised, dark-yet-variably pigmented lesions greater than 10 mm, with asymmetric and irregular borders.

Malignant melanoma, although rare in the periocular region, has the highest mortality rate of all malignant eyelid tumors. Local, regional, and distant metastasis appears to be related to both original tumor's depth of invasion as well as the thickness of the margins of excision.

Histologically, melanoma can be classified based on the location in the skin (epidermal, dermal, subcutaneous), disposition and frequency (pagetoid, lentiginous, nested, single-cell infiltrating, nodular), morphologic features, and cell type (epithelioid, spindle, dendritic, nevuslike, small cell, balloon cell, clear cell, anaplastic giant cell, rhabdoid, signet ring). The most common type is intraepidermal pagetoid (also known as superficial spreading) with epithelioid or polygonal cell types; however, more than one cell type is often present. Principle histologic features distinguishing melanoma from dysplastic nevi and Spitz tumors include loss of rete ridges, uniform cytologic atypia, diminished or absent maturation of the dermal component of cells, patchy or bandlike mononuclear cell infiltrates that can be absent in thick melanomas, and increasing numbers of mitotic figures in the deeper dermis. Often, variable cytoplasm is present depending on cytologic type, and cells are highly pleomorphic, with high nuclear-to-cytoplasm ratios, hyperchromatism, prominent variable nucleoli, and thickened nuclear membranes.

APPENDAGEAL (ADNEXAL) TUMORS

Sebaceous Carcinoma

Sebaceous carcinoma is also rare, comprising less than 1% of all skin malignancies, and up to 5% of malignant epithelial eyelid tumors, but is second in mortality only to malignant melanoma. This is due, in part, to its frequent clinical misdiagnosis, with number one being chalazion, followed by chronic blepharoconjuncitivitis. Incidence in Whites is low (1.13–3.2% of malignant eyelid lesions), but is as high as 32% in Asians. Sebaceous carcinomas usually originate from the meibomian glands, or less commonly zeisian glands, and are more commonly found on the upper eyelid. There is often orbital invasion. Sebaceous carcinomas of the eyelids quite frequently cause regional metastases, and death may occur.

Histologically, irregular lobular masses of cells focally show abundant foamy cytoplasm, signifying sebaceous differentiation. Many undifferentiated cells show nuclear atypia with variability in size, shape, and staining characteristics. The undifferentiated cells show eosinophilic cytoplasm, but fat stains will demonstrate lipid deposits within these cells (Fig. 48). Sebaceous carcinoma of the eyelids has a tendency for pagetoid spread of malignant cells into the conjunctiva or overlying epidermis of the eyelid, which is a rare finding in extraocular sebaceous carcinomas.

Fig. 48. Sebaceous Carcinoma—A. Clinical photograph of patient with sebaceous carcinoma. B. Photomicrograph showing pagetoid spread of tumor cells within the epithelium (hematoxylin and eosin stain). C. High-power photomicrograph demonstrating foamy cytoplasm typical of this tumor (hematoxylin and eosin stain). D. Oil Red O stain identifies the lipid material produced by the tumor cells (Oil Red O stain). (Photos courtesy of William Morris, M.D.)

FOLLICULAR CARCINOMAS

Pilomatrix Carcinoma

Pilomatrix carcinoma may develop from malignant transformation of a benign pilomatricoma or may arise de novo. Clinically, carcinomas cannot be differentiated from benign lesions.

Histologically, the tumor shows proliferations of large anaplastic basophilic cells with numerous mitoses. Focally, eosinophilic shadow cells characteristic of matrical differentiation are present. Often, these tumors show necrosis.

Trichilemmal Carcinoma

Trichilemmal carcinomas are rare tumors that occur largely on the face or ears. The tumor is histologically invasive and is composed of atypical clear cells reminiscent of the outer root sheath of a hair follicle. The atypical cells are hyperchromatic and pleomorphic and contain abundant amounts of glycogen in their cytoplasm.

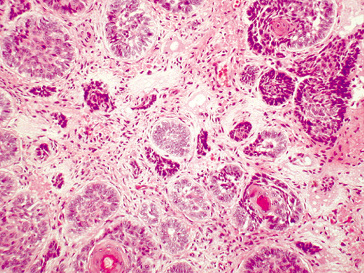
Eccrine Carcinoma

Malignant sweat gland tumors are rare and, therefore, are difficult to diagnose clinically and histologically. The rarity of these lesions also poses a problem with classification.

The most common form of eccrine carcinoma is ductal eccrine carcinoma. These tumors usually occur as nodules in the skin of the head and neck in middle-aged or elderly patients. Clinically, a diagnosis of nonmelanoma skin cancer or cyst may be made. The lesions are centered in the dermis and have a firm consistency.

Histologically, the tumor is composed of anastomosing nests and cords of epithelial cells showing round or oval nuclei and demonstrating variably developed lumen formation (Fig. 49). Mitotic activity is virtually always present, and the tumor nests are separated by a fibrous stroma.

Fig. 49. Eccrine carcinoma. A. Clinical appearance of a large, focal ulcerated nodule. B. Atypical islands with focal duct formation in the deep dermis. C. High magnification shows cellular atypia and duct formation.

Eccrine porocarcinoma is the second most common type of eccrine carcinoma and tends to occur on the lower extremities of young adults. Histologically, it is similar to benign eccrine poroma, except that there is nuclear atypia and numerous mitoses.

Other types of eccrine carcinoma are mucinous eccrine carcinoma, adenoid cystic eccrine carcinoma, and the malignant counterparts of chondroid syringoma, eccrine spiradenoma, and clear-cell hidradenoma.

Apocrine Carcinoma

Apocrine carcinomas may occur in one of two clinical forms. The first is characterized by tumor masses that are located exclusively in the dermis. The second type occurs as an intraepidermal proliferation (extramammary Paget's disease) with only rare invasion of the underlying dermis.

Ductopapillary apocrine carcinoma occurs on the eyelids as slowly growing, reddish-pink firm nodules that are fixed to the underlying tissue. Histologically, there are solid cellular nests and cords with focal lumina that infiltrate into the dermis and subcutis. In areas of glandular differentiation, “decapitation“ secretion is apparent. The tumor cells have oval vesicular nuclei with prominent nucleoli, and mitoses are readily apparent. Papillary differentiation characterized by frondlike projections of tumor cells into cystic spaces may be found. In most tumors, a mixture of ductal structures and papillary projections is present.

Extramammary Paget's disease may involve the eyelids and typically presents as an erythematous eczematous plaque with crusting and itching. The lesion occurs in middle-aged or elderly patients and shows insidious growth. Histologically, individual or clusters of tumor cells are seen in a buckshot pattern within the epidermis (Fig. 50). The tumor cells have central oval vesicular nuclei and vacuolated amphophilic cytoplasm. Mucin stains, such as mucicarmine, will demonstrate positive staining within the tumor cells. In contrast to Bowen's disease, the tumor cells do not show intercellular bridges, and the retention of the basal layer within the epidermis helps differentiate extramammary Paget's disease from malignant melanoma.

Fig. 50. Extramammary Paget's disease showing a buckshot pattern of atypical cells in the epidermis with focal duct formation.

OTHER MALIGNANT TUMORS

Merkel Cell Carcinoma

The merkel cell is a distinctive, nondendritic epithelial clear cell believed to migrate from the neural crest to the epidermis. Merkel cell carcinoma typically arises on the head and neck of sun-exposed skin in elderly patients. The most common clinical appearance is that of a nonulcerated reddish-purple nodule that may persist for a few weeks to several years.

Histologically, the tumor is purely dermal in location and is composed of sheets or trabeculae of monotonous small, round tumor cells (Fig. 51). The tumor cells show oval nuclei with inconspicuous nucleoli and abundant mitotic activity. Differentiation from lymphoma, oat cell carcinoma of the lung, and other metastatic undifferentiated tumors may be difficult. Immunohistochemistry and electron microscopy may be needed for a definitive diagnosis.

Fig. 51. Merkel Cell Tumor—A. Clinical photograph of Merkel cell tumor. B. Photomicrograph of tumor showing monotonous appearance of the tumor cells with granular nuclear chromatin (hematoxylin and eosin stain). (Photos courtesy of William Morris, M.D.)

Atypical Fibroxanthoma

Atypical fibroxanthoma is regarded as a low-grade malignancy and is considered the superficial counterpart of malignant fibrous histiocytoma, which it resembles histologically. It has a more favorable prognosis than malignant fibrous histiocytoma, probably due to its small size and superficial location. Clinically, the lesions are nodules that may or may not ulcerate and occur on sun-exposed areas of the head and neck in elderly patients.

Histologically, a dense infiltrate throughout the dermis may extend to the subcutaneous fat. The infiltrate is composed of cells with pleomorphic hyperchromatic nuclei in an irregular arrangement. Some cells are spindle shaped, whereas others appear polygonal with ample foamy vacuolated cytoplasm. The characteristic feature is the presence of large, bizarre, multinucleated giant cells showing marked nuclear atypia (Fig. 52). Numerous mitoses are present, many of which are atypical in appearance.

Fig. 52. Atypical fibroxanthoma. Foamy histiocytes and giant cells with atypical nuclei and mitoses.

Angiosarcoma

Cutaneous angiosarcoma most commonly arises on the face and scalp of the elderly. It may be misdiagnosed as a cellulitis or ecchymosis because of its asymptomatic benign appearance at presentation. Angiosarcoma of the face and scalp often invades locally and metastasizes diffusely.

Histopathologically, there are atypical pleomorphic endothelial cells forming irregular vascular channels in the dermis. Mitotic figures are present, and the overall pattern of the tumor can range from well-differentiated epithelioid to a poorly differentiated spindle cell appearance. Immunohistochemistry using factor VIII-related antigen or Ulex europaeus 1 (UEA-1) will confirm its endothelial origin.

Metastatic Carcinoma

Skin metastases are uncommon and usually are seen as a late event in advanced cancer. Usually, by the time skin metastases are noticed, the tumor is widely disseminated. Most metastases to the skin occur in patients between 50 and 70 years of age. In women, the most common skin metastases are from carcinoma of the breast; in men, cutaneous metastases from carcinoma of the lung and large intestine are most frequent. In one large series of 7518 patients, four of 13 patients with ocular malignancy had skin metastases.

The histopathology of cutaneous metastasis simulates the primary tumor, especially in breast, renal, and colon carcinoma. In some cases, the tumor can be diagnosed only as a malignant squamous or adenoid proliferation, and clinical diagnosis must be deferred pending review of the histology of the primary tumor with or without immunohistochemistry or electron microscopy.

Back to Top
LACRIMAL DRAINAGE SYSTEM

CONGENITAL ABNORMALITIES

Atresia of the Nasolacrimal Duct

The nasolacrimal duct generally becomes completely canalized and opens into the nose by the eighth month of fetal life. The duct may fail to canalize (usually at its lower end), or epithelial debris may clog it. Most ducts not open at birth will open spontaneously during the first 6 postpartum months.

Atresia of the Punctum

Atresia of the punctum may occur alone or may be associated with atresia of the nasolacrimal duct. An acquired form may result secondarily to scarring from any cause. The punctum may be absent or multiple, both as congenital anomalies.

Congenital Fistula of the Lacrimal Sac (Minimal Facial Fissure)

An opening of the lacrimal sac directly into the nose (internal fistula) or out onto the cheek (external fistula and more common) is not an uncommon finding. The opening, which may be unilateral or bilateral, is quite fine and may be overlooked.

INFLAMMATION AND DACRYOCYSTITIS

Blockage of Tear Flow into the Nose

Most inflammations and infections of the lacrimal sac are secondary to a blockage of tear flow at the level of the sac opening into the nasolacrimal duct or distal to that point (Fig. 53). A cast of the lacrimal sac may be formed by Streptothrix (Actinomyces), which can also cause secondary conjunctivitis.

Fig. 53. Dacryocystitis. Clinical appearance. (Photo courtesy of William Morris, M.D.)

TUMORS

Epithelial Tumors

The epithelial lining of the lacrimal sac is the same as the rest of the upper respiratory tract (i.e., pseudostratified columnar epithelium). Therefore, tumors are similar to those found elsewhere in the upper respiratory tract, namely papillomas, squamous cell carcinomas, transitional cell carcinomas, and adenocarcinomas. Tumors of the lacrimal sac, however, are relatively rare. They generally cause early symptoms of epiphora, and, upon irrigation, blood may reflux from the punctum. Overlying skin ulceration or telangiectasias may also be associated with lacrimal sac tumors.

Papillomas may be squamous, transitional, or adenomatous (Fig. 54). Rarely, a lacrimal sac papilloma may undergo oncocytic metaplasia (i.e., an eosinophilic cystadenoma or oncocytoma).

The histology of squamous cell carcinomas is identical to that of those found elsewhere, and these carcinomas are the most common (Fig. 55). Transitional cell carcinomas are composed of transitional cell epithelium showing greater or lesser degrees of differentiation (Fig. 56). Adenocarcinomas are composed of malignant glandular elements.

Fig. 54. Papillomas. A. Squamous cell papilloma of lacrimal sac shows epidermal papillomatosis and acanthosis. B. Transitional cell papilloma showing glandlike structures containing goblet cells within proliferated, thickened epithelium. (From Ryan SJ, Font RL: Primary epithelial neoplasms of the lacrimal sac. Am J Ophthalmol 76:73, 1973.)

Fig. 55. Papillary squamous cell carcinoma of lacrimal sac. A. Patient has squamous cell carcinoma of the right lacrimal sac. B. Another patient shows frank invasion present at base. C. High magnification shows nests of squamous cell carcinoma invading subepithelial tissue. (A, courtesy of Dr. A. B. Spaulding and presented at the 1982 Verhoeff Society meeting; B and C, from Ryan SJ, Font RL: Primary epithelial neoplasms of the lacrimal sac. Am J Ophthalmol 76:73, 1973.)

Fig. 56. Papillary transitional cell carcinoma of lacrimal sac. A. Papillary carcinoma protrudes into lumen (L) of lacrimal sac. B. High magnification shows papillary transitional cell carcinoma similar to type seen in urinary bladder. Note fibrovascular core in center of each papilla. (From Ryan SJ, Font RL: Primary epithelial neoplasms of the lacrimal sac. Am J Ophthalmol 76:73, 1973.)

Melanocytic

Melanocytic tumors arising from the lacrimal sac are quite rare and are identical histologically to those found in the lid.

Mesenchymal

The same mesenchymal tumors that involve the lids and orbit may involve the lacrimal sac.

Back to Top
Acknowledgments
The present authors and editors wish to acknowledge the contributions of the previous authors Gary R. Kantor, Richard L. Spielvogel and Myron Yanoff. Some of the material in the previous chapter has been incorporated into this revision.
Back to Top
BIBLIOGRAPHY

1. Abidi U, Maheshwar V, Tyagi N, et al: Soft tissue tumours of eyelid. Ind J Pathol Microbiol 40(4):515–519,1997

2. Ackerman AB: Diagnosis by histologic patterns. In: Ackerman AB (ed). Histologic Diagnosis of Inflammatory Skin Diseases. Philadelphia: Lea and Febiger, 1978:157

3. Barnhill RL: Malignant melanoma, dysplastic melanocytic nevi, and Spitz tumors. Histologic classification and characteristics. Clin Plast Surg 27(3):331–360,2000

4. Blum A, Soyer HP, Garbe C, et al: The dermoscopic classification of atypical melanocytic naevi (Clark naevi) is useful to discriminate benign from malignant melanocytic lesions. Br J Dermatol 149(6):1159–1164,2003

5. Brownstein MH, Fernanco S, Shapiro L: Clear cell adenoma: Clinicopathologic analysis of 37 new cases. Am J Clin Pathol 59:306, 1973

6. Burgdorf W, Pitha J, Falmy A: Muir-Torre Syndrome—histologic spectrum of sebaceous proliferations. Am J Dermatopathol 8:202, 1986

7. Burkhart CG: Dysplastic nevus declassified: even the NIH recommends elimination of confusing terminology. Skinmed 2(1):12–13,2003

8. Cahill KV, Burns JA: Benign eyelid lesions. J Dermatol Surg Oncol 18(12):1051–1055,1992

9. Condon GP, Brownstein S, Codere F: Sebaceous carcinoma of the eyelid masquerading as superior limbic keratoconjunctivitis. Arch Ophthalmol 103:1525, 198

10. De Azevedo ML, Milani JAA, de Souza EC, et al: Pilomatrixoma. An unusual case with secondary corneal ulcer. Arch Ophthalmol 103:553, 198

11. Deshabhoina SV, Umbaugh SE, Stoecker WV, et al: Melanoma and seborrheic keratosis differentiation using texture features. Skin Res Technol 9(4):348–356,2003

12. Diven DG, Solomon AR, McNeely MC, et al: Nevus sebaceus associated with major ophthalmologic abnormalities. Arch Dermatol 123:383, 1987

13. Domarus H, Stevens PJ: Metastatic basal cell carcinoma. J Am Acad Dermatol 10:1043, 1984

14. Doxanas MT, Green WR, Arentsen JJ, et al: Lid lesions of childhood. Histopathologic survey at Wilmer Institute (1923–1974). J Pediatr Ophthalmol 13:7, 1976

15. Doxanas MT, Green WR, Iliff CE: Factors in the successful surgical management of basal cell carcinoma of the eyelids. Am J Ophthalmol 91:726, 1981

16. Doxanas MT, Iliff WJ, Iliff NT, et al: Squamous cell carcinoma of the eyelids. Ophthalmology 94:538, 1987

17. Einaugler RB, Henkind P: Basal cell epithelioma of the eyelid: apparent incomplete removal. Am J Ophthalmol 67:413, 1969

18. Esmaeli B, Youssef A, Naderi A, et al: Margins of excision for cutaneous melanoma of the eyelid skin: the Collaborative Eyelid Skin Melanoma Group Report. Ophthal Plast Reconstr Surg 19(2):96-101, 2003

19. Feman SS, Apt L, Roth AM: The basal cell nevus syndrome. Am J Ophthalmol 78:222, 1974

20. Font RL, Stone MS, Schanzer MC, et al: Apocrine hidrocystomas of the lids, hypodontia, palmar-plantar hyperkeratosis, and onychodystrophy. A new variant of ectodermal dysplasia. Arch Ophthalmol 104:1811, 1986

21. Gardner TW, O'Grady RB: Mucinous adenocarcinoma of the eyelid. A case report. Arch Ophthalmol 102:912, 1984

22. Glatt HJ, Proia AD, Tsoy EA, et al: Malignant syringoma of the eyelid. Ophthalmology 91:987, 1984

23. Gunlap J, Gunduz K: Secondary orbital tumors. Ophthal Plast Reconstr Surg 13(1):31–35,1997

24. Hidyat A, Font RL: Trichilemmoma of eyelid and eyebrow. A clinicopathologic study of 31 cases. Arch Ophthalmol 98:844, 1980

25. Hillson TR, Harvey JT, Hurwitz JJ, et al: Sensitivity and specificity of the diagnosis of periocular lesions by oculoplastic surgeons. Can J Ophthalmol 33(7):377–383,1998

26. Holck DE, Ng JD: Facial skin rejuvenation. Curr Opin Ophthalmol 14(5):246–252,2003

27. Hood CI, Font RL, Zimmerman LE: Metastatic mammary carcinoma in the eyelid with histiocytoid appearance. Cancer 31:793, 1973

28. Inoue Y: Ocular infections in patients with atopic dermatitis. Int Ophthalmol Clin 42(1):55–69,200

29. Jakobiec FA: Sebaceous adenoma of the eyelid and visceral malignancy. Am J Ophthalmol 78:952, 1974

30. Jakobiec FA, Austin P, Owamoto T, et al: Primary infiltrating signet ring carcinoma of the eyelids. Ophthalmology 90:291, 1983

31. Jakobiec FA, Streeten BW, Iwamoto T, et al: Syringocystadenoma papilliferum of the eyelid. Ophthalmology 88:1175, 1981

32. Ka VS, Clark-Loeser L, Marghoob AA: Vascular pattern in seborrheic keratoses and melanoma. Dermatol Surg 30(1):75–77,2004

33. Katz B, Wiley CA, Lee VW: Optic nerve hypoplasia and the nevus sebaceus of Jadassohn. A new association. Ophthalmology 94:1570, 1987

34. Kersten R, Ewing-Chow D, Kulwin D, et al: Accuracy of clinical diagnosis of cutaneous eyelid lesions. Ophthalmology 104(3):479–484,1997.

35. Khalil M, Brownstein S, Codere F, et al: Eccrine sweat gland carcinoma of the eyelid with orbital involvement. Arch Ophthalmol 98:2210, 1980

36. Lai T, Huilgol SC, Selva D, et al: Eyelid sebaceous carcinoma masquerading as in situ squamous cell carcinoma. Dermatol Surg 30(2):222–225,2004

37. Lee V, Ragge NK, Collin JR: Orbitotemporal neurofibromatosis. Clinical features and surgical management. Ophthalmology 111(2):382–388,2004.

38. Lever WF, Schaumburg-Lever G: Metabolic diseases: amyloidosis. In: Lever WF, Schaumburg-Lever G (ed). Histopathology of the Skin. Philadelphia: JB Lippincott, 1990:452–457

39. Lund HZ: The nosologic position of inverted follicular keratosis is still unsettled. Am J Dermatopathol 5:443, 1983

40. Mansour AM, Hidyat AA: Metastatic eyelid disease. Ophthalmology 94:667, 1987

41. Margo C, Zuber M: Malignant tumors of the eyelid: a population-based study of non-basal cell and non-squamous cell malignant neoplasms. Arch Ophthalmol 116(2):195–198,1998

42. Naeyaert JM, Brochez L: Dysplastic nevi. N Engl J Med 349(23):2233–2240,2004

43. Nerad JA, Folberg R: Multiple cylindromas. The “turban tumor.“ Arch Ophthalmol 105:1137, 1987

44. Nerad J, Whitaker D: Periocular basal cell carcinoma in adults 35 years of age and younger. Am J Ophthalmol 106(6):723–729,1998.

45. Ni C, Guo BK: Pathologic classification of meibomian gland carcinomas of eyelids: Clinical and pathologic study of 156 cases. Chin Med J 92:671, 1979

46. Orlando RG, Rogers GL, Bremer DL: Pilomatricoma in a pediatric hospital. Arch Ophthalmol 101:1209, 1983

47. Pe'er J, Hidayat A, Ilsar M, et al: Glandular tumors of the lacrimal sac. Ophthalmology 103(10):1601–1605,1996

48. Pepose JS, Margolis TP, LaRussa P, et al: Ocular complications of smallpox vaccination. Am J Ophthalmol 136(2):343–352,2003

49. Perlman GS, Hornblass A: Basal cell carcinoma of the eyelids: A review of patients treated by surgical excision. Ophthalmic Surg 7:23, 1976

50. Piest KL: Malignant lesions of the eyelids. J Dermatol Surg Oncol 18(12):1056–1059,1992

51. Rao NA, Hidyat AA, McLean IW, et al: Sebaceous carcinomas of the ocular adnexa. A clinicopathologic study of 104 cases, with five-year follow-up data. Hum Pathol 13:113, 1982

52. Reichert CA, Flynn KJ: Malignant melanoma simulation a seborrheic keratosis: a case report. Dermatol Online J 3(1):5.

53. Reifler DM, Gallitch HA II, Kessler DL, et al: Tricholemmoma of the eyelid. Ophthalmology 94:1272, 1987

54. Reifler DM, Hornblass A: Squamous cell carcinoma of the eyelid (review). Surv Ophthalmol 30:349, 1986

55. Requena L, Sanchez Yus E: Follicular hybrid cysts—an expanded spectrum. Am J Dermatopathol 13:228, 1991

56. Rodrigues MM, Font RL, Shannon GM: Metastatic mucussecreting mammary carcinoma of the eyelid. Report of two cases. Br J Ophthalmol 58:877, 1974

57. Russell WG, Page DL, Hough AJ, et al: Sebaceous carcinoma of meibomian gland origin. The diagnostic importance of pagetoid spread of neoplastic cells. Am J Clin Pathol 73:504, 1980

58. Sacks E, Jakobiec FA, McMillan R, et al: Multiple bilateral apocrine cystadenomas of the lower eyelids. Light and electron microscopic studies. Ophthalmology 94:65, 1987

59. Salem OS, Steck WD: Cowden's disease (multiple hamartoma and neoplasia syndrome)—A case report and review of the English literature. J Am Acad Dermatol 8:686, 1983

60. Salomon J, Bieniek A, Baran E, et al: Basal cell carcinoma on the eyelids: own experience. Dermatol Surg 30(2):257, 2004

61. Sanchez YE, Simon P, Rquena L, et al: Solitary keratoacanthoma: a self-healing proliferation that frequently becomes malignant. Am J Dermatopathol 22(4):305–310,2000

62. Sassani JW, Yanoff M: Inverted follicular keratosis. Am J Ophthalmol 87:810, 1979

63. Scheie HG, Yanoff M, Frayer WC: Carcinoma of sebaceous glands of the eyelid. Arch Ophthalmol 72:800, 1964

64. Scheie HG, Yanoff M, Sassani JW: Inverted follicular keratosis clinically mimicking malignant melanoma. Ann Ophthalmol 9:949, 1977

65. Schwartz R :, Keratoacanthoma: a clinico-pathologic enigma. Dermatol Surg 30(2 Pt 2):326–333,2004

66. Schweitzer JG, Yanoff M: Inverted follicular keratosis. A report of two recurrent cases. Ophthalmology 94:1465, 1987

67. Searl SS, Boynton JR, Markowitch W, et al: Malignant Merkel cell neoplasm of the eyelid. Arch Ophthalmol 102:907, 1984

68. Sharara N, Holden J, Wojno T, et al: Ocular adnexal lymphoid proliferations: clinical, histologic, flow cytometric, and molecular analysis of forty-three cases. Ophthalmol 110(6):1245–1254,2003

69. Shields JA, Shields CL, Epstein JA, et al: Review: primary epithelial malignancies of the lacrimal gland: the 2003 Ramon L. Font lecture. Ophthal Plast Reconstr Surg 20(1):10–21,2004.

70. Singh K, Mersol VF, Mastny VJ, et al: Adenoacanthoma of lacrimal sac. Ann Ophthalmol 9:1027, 1977

71. Spencer PS, Helm TN: Skin metastases in cancer patients. Cutis 39:119, 1987

72. Spielvogel RL, Austin C, Ackerman AB: Inverted follicular keratosis is not a specific keratosis but a verruca vulgaris (or seborrheic keratosis) with squamous eddies. Am J Dermatopathol 5427, 1983

73. Tillawi I, Katz R, Pellettiere EV: Solitary tumors of meibomian gland origin and Torre's syndrome. Am J Ophthalmol 104:179, 1987

74. Vangveeravong S, Katz S, Rootman J, et al: Tumors arising in the palpebral lobe of the lacrimal gland. Ophthalmology 103(10):1606–1612,1996

75. Wesley RE, Collins JW: Basal cell carcinoma of the eyelid as an indicator of multifocal malignancy. Am J Ophthalmol 94:591, 1982

76. Wick MR, Swanson PE: Cutaneous Adnexal Tumors—A Guide to Pathologic Diagnosis. Chicago: ASCP Press, 1991

77. Wilkes SR, Campbell RJ, Waller RR: Ocular malformation in association with ipsilateral facial nevus of Jadassohn. Am J Ophthalmol 92:344, 1981

78. Wolfe JT, Yeatts RP, Wick MR, et al: Sebaceous carcinoma of the eyelid. Errors in clinical and pathologic diagnosis. Am J Surg Pathol 8:597, 1984

79. Yanoff M :, Most inverted follicular keratoses are probably verrucale vulgares. Am J Dermatopathol 5:475, 1983

80. Zurcher M, Hintschich CR, Garner A, et al: Sebaceous carcinoma of the eyelid: a clinicopathological study. Br J Ophthalmol 82(9):1049–1055,1998.

81. Duke-Elder S: System of Ophthalmology, Vol III, Normal and Abnormal Development, Part 2, Congenital Deformities. St. Louis: CV Mosby, 1963:911

82. Grossman T, Putz R: Anatomy, consequences and treatment of congenital stenosis of lacrimal passage in newborn infants. Klin Monatsbl Augenheilkd 160:563, 1972

83. Hornblass A, Gross ND: Lacrimal sac cyst. Ophthalmology 94:706, 1987

84. Sacks E, Jakobiec FA, Dodick J: Canaliculops. Ophthalmology 94:78, 1987

85. Smith S, Rootman J: Lacrimal ductal cysts. Presentation and management (review). Surv Ophthalmol 30:245, 1986

86. Aurora AL: Oncocytic metaplasia in a lacrimal sac papilloma. Am J Ophthalmol 75:466, 1973

87. Bambirra EA, Miranda D, Rayes A: Mucoepidermoid tumor of the lacrimal sac. Arch Ophthalmol 99:2149, 1981

88. Bonder D, Fischer MJ, Levine MR: Squamous cell carcinoma of the lacrimal sac. Ophthalmology 90:1133, 1983

89. Gurney N, Chalkley T, O'Grady R: Lacrimal sac hemangiopericytoma. Am J Ophthalmol 71:757, 1971

90. Hornblass A, Jakobiec FA, Bosniak S, et al: The diagnosis and management of epithelial tumors of the lacrimal sac. Ophthalmology 87:476, 1980

91. Marback RL, Kincaid MC, Green WR, et al: Fibrous histiocytoma of the lacrimal sac. Am J Ophthalmol 93:511, 1982

92. Peretz WL, Ettinghausen SE, Gray GF: Oncocytic adenocarcinoma of the lacrimal sac. Arch Ophthalmol 96:303, 1978

93. Ryan SJ, Font RL: Primary epithelial neoplasms of the lacrimal sac. Am J Ophthalmol 76:73, 1973

94. Scott IU, Tanenbaum M, Rubin D, et al: Solitary fibrous tumor of the lacrimal gland fossa. Ophthalmology 103(10):1613–1617,1996

Back to Top