AccessLange: General Ophthalmology / Printed from AccessLange (accesslange.accessmedicine.com).
 
Copyright ©2002-2003 The McGraw-Hill Companies. All rights reserved.
 

Page 1 of 15 NEXT Printable VersionPrint this Page
Print this Chapter ( K)
 
Chapter 14: Neuro-ophthalmology
Authors: Paul Riordan-Eva, William F. Hoyt

Neuro-ophthalmology


The eyes are intimately related to the brain and frequently give important diagnostic clues to central nervous system disorders. Indeed, the optic nerve is a part of the central nervous system. Intracranial disease frequently causes visual disturbances because of destruction of or pressure upon some portion of the optic pathways. Cranial nerves III, IV, and VI, which control ocular movements, may be involved, and nerves V and VII are also intimately associated with ocular function.

THE SENSORY VISUAL PATHWAY

Topographic Overview (new window  Figures 14-1 and 14-2)

Cranial nerve II subserves the special sense of vision. Light is detected by the rods and cones of the retina, which may be considered the special sensory end organ for vision. The cell bodies of these receptors extend processes that synapse with the bipolar cell, the second neuron in the visual pathway. The bipolar cells synapse, in turn, with the retinal ganglion cells. Ganglion cell axons comprise the nerve fiber layer of the retina and converge to form the optic nerve. The nerve emerges from the back of the globe and travels posteriorly within the muscle cone to enter the cranial cavity via the optic canal.


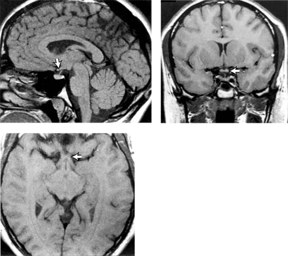
Figure 14-1

Figure 14-1: Magnetic resonance imaging (MRI) of normal brain in sagittal section (upper left), coronal section (upper right), and axial section (lower left). The white arrows indicate the chiasm.


Figure 14-2

Figure 14-2: The optic pathway. The dotted lines represent nerve fibers that carry visual and pupillary afferent impulses from the left half of the visual field.

Intracranially, the two optic nerves join to form the optic chiasm (Figure 14-1). At the chiasm, more than half of the fibers (those from the nasal half of the retina) decussate and join the uncrossed temporal fibers of the opposite nerve to form the optic tracts. Each optic tract sweeps around the cerebral peduncle toward the lateral geniculate nucleus, where it will synapse. All of the fibers receiving impulses from the right hemifields of each eye thus make up the left optic tract and project to the left cerebral hemisphere. Similarly, the left hemifields project to the right cerebral hemisphere. Twenty percent of the fibers in the tract subserve pupillary function. These fibers leave the tract just anterior to the nucleus and pass via the brachium of the superior colliculus to the midbrain pretectal nucleus. The remaining fibers synapse in the lateral geniculate nucleus. The cell bodies of this structure give rise to the geniculocalcarine tract. This tract passes through the posterior limb of the internal capsule and then fans into the optic radiations that traverse parts of the temporal and parietal lobes en route to the occipital cortex (calcarine, striate, or primary visual cortex).

Analysis of Visual Fields in Localizing Lesions in the Visual Pathways

In clinical practice, lesions in the visual pathways are localized by means of central and peripheral visual field examination. The technique (perimetry) is discussed in Chapter 2.

Figure 14-3 shows the types of field defects caused by lesions in various locations of the pathway. Lesions anterior to the chiasm (of the retina or optic nerve) cause unilateral field defects; lesions anywhere in the visual pathway posterior to the chiasm cause contralateral homonymous defects. Chiasmal lesions usually cause bitemporal defects.


Figure 14-3

Figure 14-3: Visual field defects due to various lesions of the optic pathways.

Multiple isopters (test objects of different sizes) should be used in order to evaluate the defects thoroughly. A field defect shows evidence of edema or compression when there are areas of "relative scotoma" (ie, a larger field defect for a smaller test object). Such visual field defects are said to be "sloping." This is in contrast to ischemic or vascular lesions with steep borders (ie, the defect is the same size no matter what size test object is used). Such visual field defects are said to be "absolute."

Another important generalization is that the more congruous the homonymous field defects (ie, the more similar the two hemifields in size, shape, and location), the farther posterior the lesion is in the visual pathway. A lesion in the occipital region causes identical defects in each field, whereas optic tract lesions cause incongruous (dissimilar) homonymous field defects. A complete homonymous hemianopia should still have intact visual acuity in the spared visual field since macular function is also spared in the retained visual field. In lesions of the occipital cortex there is a close correlation between the visual field defect and the location of the cortical lesion, the central field being represented posteriorly and the upper field inferiorly (Figure 14-4). Owing to the dual vascular supply to the occipital lobe-from the middle and posterior cerebral circulation-occipital infarcts may spare or damage the occipital pole. This leads to sparing or loss of the central field on the side of the hemianopia, the former being referred to as macular sparing (Figure 14-5). Occipital lesions may also produce the phenomenon of residual sight, in which responses to movement, for example, may be demonstrable in the hemianopic field in the absence of form vision.


Figure 14-4

Figure 14-4: Occipital lobe abscess. Top: Automated perimetry and tangent screen examination showing homonymous, congruous, paracentral scotoma in right upper visual fields. Bottom: Parasagittal MRI showing lesion involving left inferior calcarine cortex. (Reproduced, with permission, from Horton JC, Hoyt WF: The representation of the visual field in human striate cortex. A revision of the classic Holmes map. Arch Ophthalmol 1991;109:816.)


Figure 14-5

Figure 14-5: Bilateral occipital infarcts with bilateral macular sparing. Top: Tangent screen and superimposed Goldmann visual fields of both eyes showing bilateral homonymous hemianopia with macular sparing, greater in the right hemifield. Bottom: Axial MRI showing sparing of occipital poles. (Reproduced, with permission, from Horton JC, Hoyt WF: The representation of the visual field in human striate cortex. A revision of the classic Holmes map. Arch Ophthalmol 1991;109:816.)

 
Page 1 of 15 NEXT  
 
 

10.1036/1535-8860.ch14

Copyright ©2002-2003 The McGraw-Hill Companies. All rights reserved.
Any use is subject to the Terms of Use and Notice. Additional credits and copyright information. For further information about this site contact tech_support@accessmedicine.com.
Last modified: October 17, 2002 .
McGraw-HillEducation
The McGraw-Hill Companies
AccessLange: General Ophthalmology / Printed from AccessLange (accesslange.accessmedicine.com).
 
Copyright ©2002-2003 The McGraw-Hill Companies. All rights reserved.