AccessLangeGeneral Ophthalmology
Vaughan, Asbury, Riordan-Eva :
AccessMedicine.com
HomeAboutAccount ServicesBuy BooksSite MapHelpLogoutAccessMedicine HomeAccessMedicine Publications
Full TOC

Related Sites
Forum

Chapter 14: Neuro-ophthalmology

THE OPTIC NERVE

A wide variety of diseases affect the optic nerve (Table 14-1). Clinical features particularly suggestive of optic nerve disease are an afferent pupillary defect, poor color vision, and optic disk changes. It is important to remember that the optic nerve may be normal in the early stages of disease affecting the retrobulbar optic nerve, particularly compression by an intracranial lesion, even when there has been severe loss of visual acuity and field. Axons can be dysfunctional long before they become atrophic.

Table 14-1: Etiologic classification of diseases of the optic nerve.
Inflammatory (optic neuritis)
Demyelinative
Idiopathic
Multiple sclerosis
Neuromyelitis optica (Devic's disease)
Immune-mediated
Postviral optic neuritis (measles, mumps, chickenpox, influenza, infectious mononucleosis)
Postimmunization optic neuritis
Acute disseminated encephalomyelitis
Acute idiopathic polyneuropathy (Guillain-Barré syndrome)
Systemic lupus erythematosus
Direct infections
Herpes zoster, syphilis, tuberculosis, cryptococcosis, cytomegalovirus
Granulomatous optic neuropathy
Sarcoidosis
Idiopathic
Contiguous inflammatory disease
Intraocular inflammation
Orbital disease
Sinus disease, including mucormycosis
Intracranial disease: meningitis, encephalitis
Vascular (ischemic optic neuropathy)
Nonarteritic anterior ischemic optic neuropathy
Giant cell arteritis (arteritic anterior ischemic optic neuropathy)
Systemic vasculitis: systemic lupus erythematosus, antiphospholipid antibody syndrome, polyarteritis nodosa, Churg-Strauss vasculitis, Sjögren's syndrome, Takayasu's disease
Migraine
Inherited coagulation defects: protein C deficiency, protein S deficiency, antithrombin III deficiency, activated protein C resistance (factor V Leiden mutation)
Diabetic papillopathy
Radiation optic neuropathy
Sudden massive blood loss (eg, bleeding peptic ulcer)
Raised intracranial pressure (papilledema)
Intracranial mass: cerebral tumor, abscess, subdural hematoma
Arteriovenous malformation
Subarachnoid hemorrhage
Meningitis or encephalitis
Acquired hydrocephalus
Pseudotumor cerebri
Cerebral venous sinus occlusion
Secondary pseudotumor cerebri: oral contraceptives, tetracyclines, steroid therapy, steroid withdrawal, hypervitaminosis A, uremia, hypoparathyroidism, respiratory failure
Idiopathic intracranial hypertension
Spinal tumor
Acute idiopathic polyneuropathy (Guillain-Barré syndrome)
Mucopolysaccharidosis
Craniosynostosis
Optic nerve compression
Intracranial disease: meningioma, pituitary adenoma, craniopharyngioma, supraclinoid internal carotid aneurysm, meningeal carcinomatosis, basal meningitis
Orbital disease: dysthyroid eye disease, idiopathic orbital inflammatory disease, orbital neoplasm, orbital abscess
Optic nerve sheath meningioma
Nutritional and toxic
Vitamin deficiencies: vitamin B12 deficiency, vitamin B1 (thiamin) deficiency, folate deficiency
Tobacco-alcohol amblyopia
Heavy metals: lead, thallium, arsenic
Drugs: ethambutol, isoniazid, rifampin, disulfiram, quinine, chloramphenicol, amiodarone, digitalis, carmustine, fluorouracil, vincristine, halogenated hydroxyquinolines (eg, iodochlorhydroxyquin, diiodohydroxyquin), hexachlorophene, penicillamine, barbiturates
Chemicals: methanol, ethylene glycol
Trauma
Direct optic nerve injury
Indirect optic nerve injury
Optic nerve avulsion
Hereditary optic atrophy
Leber's hereditary optic neuropathy (mitochondrial inheritance)
Autosomal hereditary optic atrophy
Autosomal dominant (juvenile) optic atrophy
Autosomal recessive (infantile) optic atrophy
Wolfram's syndrome (DIDMOAD: diabetes insipidus, diabetes mellitus, optic atrophy, deafness)
Inherited neurodegenerative diseases
Hereditary spinocerebellar ataxia (Friedreich's ataxia)
Hereditary motor and sensory neuropathy (Charcot-Marie-Tooth disease)
Lysosomal storage disorders
Neoplastic infiltration
Glioma, leukaemia, lymphoma, meningeal carcinomatosis, astrocytic hamartoma, melanocytoma, hemangioma
Optic nerve anomalies
Hypoplasia
Dysplasia, including 'morning glory syndrome,' coloboma, and optic nerve pit
Tilted disks, including situs inversus, and scleral crescents
Megalopapilla
Myelinated nerve fibers
Persistent hyaloid system
Prepapillary vascular loops
Optic nerve head drusen
Hyperopic pseudopapilledema
Glaucomatous optic neuropathy (see Chapter 11) Optic atrophy secondary to retinal disease

Optic disk swelling occurs predominantly in diseases directly affecting the anterior portion of the optic nerve but also occurs with raised intracranial pressure and compression of the intraorbital optic nerve. Optic disk swelling can be a crucial clinical sign, such as in the diagnosis of anterior ischemic optic neuropathy in which optic disk swelling must be present in the acute stage for the diagnosis to be made on clinical grounds. Central retinal vein occlusion, ocular hypotony and intraocular inflammation can produce optic disk swelling and hence the misleading impression of optic nerve disease.

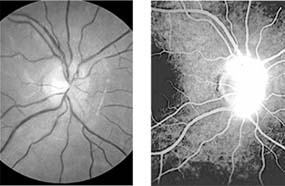
Optic atrophy (new window  Figure 14-6) is a nonspecific response to optic nerve damage from any cause. Since the optic nerve consists of retinal ganglion cell axons, optic atrophy may be the consequence of primary retinal disease, such as retinitis pigmentosa or central retinal artery occlusion. Excavation of the optic nerve head (optic disk cupping) is generally a sign of glaucomatous optic neuropathy, but may occur with any cause of optic atrophy. Segmental pallor and attenuated retinal blood vessels are often the consequence of anterior ischemic optic neuropathy. Hereditary optic neuropathies usually produce bilateral temporal segmental disk pallor with preferential loss of papillomacular axons. Peripapillary exudates occur with optic disk swelling, due to papillitis, ischemic optic neuropathy, or papilledema, and may take longer to resolve. (The term "neuroretinitis" for the combination of optic disk swelling and retinal exudates, including a macular star, is a misnomer in that there is no inflammation of the retina, the exudates being a response to the anterior optic nerve disease. This may occur in demyelinative and other types of optic neuritis, anterior ischemic optic neuropathy, and papilledema. The term "neuroretinitis" is more reasonably applied if there is true inflammation of the retina and optic nerve [Figure 14-7].) Other helpful signs of prior disk edema are peripapillary gliosis and atrophy, chorioretinal folds, and internal limiting membrane wrinkling.


Figure 14-7

Figure 14-7: Arcuate neuroretinitis due to acute retinal necrosis syndrome. (Reproduced, with permission, from Margolis T et al: Acute retinal necrosis syndrome presenting with papillitis and arcuate neuroretinitis. Ophthalmology 1988;95:937.)

In general there is a correlation between degree of optic disk pallor, and loss of acuity, visual field, color vision and pupillary reactions, but the relationship varies according to the underlying etiology. The major exception to this rule is compressive optic neuropathy in which optic disk pallor is generally a late manifestation.

OPTIC NEURITIS

Optic neuritis may be due to a variety of causes (Table 14-1) but the most common is demyelination. Retrobulbar neuritis is an optic neuritis that occurs far enough behind the optic disk that the disk remains normal during the acute episode. Papillitis is disk swelling caused by inflammation at the nerve head (intraocular optic nerve) (Figure 14-8). Loss of vision is the cardinal symptom of optic neuritis and is particularly useful in differentiating papillitis from papilledema, which it may resemble on ophthalmoscopic examination.


Figure 14-8

Figure 14-8: Mild disk swelling in demyelinative papillitis, with disk leakage on fluorescein angiography.

1. DEMYELINATIVE OPTIC NEURITIS

In adults, demyelinative optic neuritis occurs chiefly in women (about 3:1) and in whites. Onset is usually in the third or fourth decade of life. The disorder is associated with multiple sclerosis in 13-85% of patients in different population groups in the world. The percentage of progression to multiple sclerosis after an episode of optic neuritis tends to be higher with increased length of patient follow-up.

Clinical Features

Visual loss is generally subacute, developing over 2-7 days. Approximately one-third of patients have vision better than 20/40 during their first attack, and slightly more than one-third have vision worse than 20/200. Color vision and contrast sensitivity are correspondingly impaired. In over 90% of cases there is pain in the region of the eye, and about 50% of patients report that the pain is exacerbated by eye movement.

Almost any field defect is possible, but with manual perimetry a central scotoma is most commonly found. It is usually circular, varying widely in size and density, and may break out to an altitudinal defect. A central scotoma that has broken out to the periphery, however, should make the clinician suspect a compressive lesion. Central visual field testing by automated perimetry most commonly shows diffuse loss. The pupillary light reflex is sluggish, and if the optic nerves are asymmetrically involved a relative afferent pupillary defect will be present.

Papillitis occurs in 35% of cases, with hyperemia of the optic disk and distention of large veins being early signs on ophthalmoscopic examination. Blurring of the disk margins and filling of the physiologic cup are common, and there may be marked edema of the nerve head, but elevations of more than 3 D (1 mm) are unusual. Retinal exudates and edema in the papillomacular bundle may rarely occur and are associated with a lower rate of progression to multiple sclerosis. Flame-shaped hemorrhages in the nerve fiber layer near the optic disk occur in less than 10% of cases. Vitreous cells can be identified in the prepapillary area in less than 5% of cases.

Investigation & Differential Diagnosis

In typical cases, clinical diagnosis is adequate and no other investigation is required. If there are atypical features-particularly failure of vision to begin to recover by 6 weeks after onset-other diagnoses must be considered especially compressive optic neuropathy, for which magnetic resonance imaging (MRI) or computed tomography (CT) scanning should be performed. Other entities to be considered are anterior ischemic optic neuropathy, autoimmune optic neuropathy such as that due to systemic lupus erythematosus, toxic amblyopia, Leber's hereditary optic neuropathy, and vitamin B12 deficiency.

Papillitis needs to be differentiated from pap-illedema (Figure 14-9). In papilledema there is often greater elevation of the optic nerve head, nearly normal visual acuity, normal pupillary response to light, associated intracranial pressure, and an intact visual field except for an enlarged blind spot. If there has been acute papilledema with vascular decompensation (ie, hemorrhages and cotton-wool spots) or chronic papilledema with secondary ischemia of the optic nerve, visual field defects can include nasal nerve fiber bundle defects and nasal quadrantanopias. Papilledema is usually bilateral, whereas papillitis is usually unilateral. Despite these obvious differences, differential diagnosis can be difficult because of the similarity of the ophthalmoscopic findings and because papilledema can be quite asymmetric and papillitis bilateral in some postviral events (eg, Devic's disease, or neuromyelitis optica; see below).


Figure 14-9

Figure 14-9: Mild papilledema. The disk margins are blurred superiorly and inferiorly by the thickened layer of nerve fibers entering the disk.

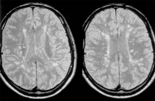
During an acute episode of optic neuritis, MRI shows gadolinium enhancement, increased signal on short tau inversion recovery (STIR) sequences, and sometimes swelling of the affected nerve. Brain MRI will show lesions consistent with demyelination in as many as 25% of patients with isolated optic neuritis (Figure 14-10). This does not establish a diagnosis of multiple sclerosis, though it does indicate a significantly increased risk of subsequent development of clinically definite multiple sclerosis. The value of steroid treatment in delaying the development of multiple sclerosis is greater in patients with abnormal brain MRI at presentation. Thus, brain MRI may be indicated in isolated optic neuritis if more precise information is wanted about the risk of multiple sclerosis and the value of systemic steroid treatment.


Figure 14-10

Figure 14-10: Cerebral hemisphere white matter lesions on MRI associated with acute demyelinative optic neuritis.

The visual evoked response from the affected eye may show reduced amplitude or increased latency during the acute episode of optic neuritis. This in itself is not particularly helpful in diagnosis except in distinguishing retrobulbar optic neuritis from subclinical maculopathy, in which the visual evoked response will be relatively preserved in comparison with the pattern and cone-derived electroretinogram (ERG). Following recovery of vision after an episode of optic neuritis, the visual evoked response will continue to show an increased latency in about one-third of cases, and this finding can be useful in the identification of past episodes of demyelinative optic neuritis in patients undergoing investigation for possible multiple sclerosis.

Treatment

Steroid therapy, either intravenous, oral, or by retrobulbar injection, accelerates recovery of vision but does not influence the ultimate visual outcome. Oral steroids may increase the risk of recurrent optic neuritis. Intravenous methylprednisolone (1 g/d for 3 days) followed by oral prednisolone (1 mg/kg/d for 11 days) has been shown to produce a greater than 50% reduction (compared with placebo treatment) in the development of clinically definite multiple sclerosis, but only for a period of 2 years. This effect was most apparent in patients with multiple brain lesions on MRI at presentation.

Prognosis

Without treatment, vision characteristically begins to improve 2-3 weeks after onset and sometimes returns to normal within a few days. Improvement may continue slowly over many months, with recovery to 20/40 or better occurring in over 90% of cases at 1 year from onset. Poorer vision during the acute episode is correlated with poorer visual outcome, but even loss of all perception of light can be followed by complete return of vision. A poor visual outcome is also associated with longer lesions in the optic nerve, especially if there is involvement of the nerve within the optic canal. In general there is close correlation between recovery of visual acuity, contrast sensitivity, and color vision. If the disease process is sufficiently destructive, retrograde optic atrophy results, nerve fiber bundle defects appear in the retinal nerve fiber layer (Figure 14-11), and the disk loses its normal pink color and becomes pale. In very severe or recurrent cases, a chalky white disk with sharp outlines results, though disk pallor does not necessarily correlate with poor visual acuity.


Figure 14-11

Figure 14-11: Retinal nerve fiber layer in demyelinating optic neuropathy of multiple sclerosis. The upper temporal nerve fiber bundles show multiple slit-like areas of thinning (arrows) representing retrograde axonal atrophy from subclinical disease in the optic nerve. Vision in the eye was 20/20.

Factors that correlate with subsequent development of multiple sclerosis include female sex, HLA-DR2 and -DR3, associated retinal perivenous sheathing, brain MRI abnormalities, and cerebrospinal fluid oligoclonal bands. Optic neuritis in children more commonly affects both eyes simultaneously and produces papillitis than in adults, but the risk of progression to multiple sclerosis is lower.

2. MULTIPLE SCLEROSIS

Multiple sclerosis is typically a chronic relapsing and remitting demyelinating disorder of the central nervous system. The cause is unknown. Some patients develop a chronically progressive form of the disease, either following a period of relapses and remissions or, less commonly, from the outset. Characteristically, the lesions occur at different times and in noncontiguous locations in the nervous system-ie, "lesions are disseminated in time and space." Onset is usually in young adult life; this disease rarely begins before 15 years or after 55 years of age. There is a tendency to involve the optic nerves and chiasm, brainstem, cerebellar peduncles, and spinal cord, though no part of the central nervous system is protected. The peripheral nervous system is seldom involved.

Clinical Findings

A. Symptoms and Signs:

Clinically, there are a variety of symptoms and signs that may vary in number and character from time to time. In addition to ocular disturbances, there may be motor weakness with pyramidal signs, ataxia, urinary disturbances, paresthesias, dysarthria, and intention tremors. Sensory hyperesthesias and urinary incontinence are common early signs. Other problems can evolve over months to years.

Optic neuritis may be the first manifestation. Because of the transient nature of the visual defect and the relative absence of physical findings, the complaint is sometimes diagnosed as hysteria. There may be recurrent episodes, and the other eye usually becomes involved. The overall incidence of optic neuritis in multiple sclerosis is 90%, and the identification of symptomatic or subclinical optic nerve involvement is an important diagnostic clue.

Diplopia is a common early symptom, due most frequently to internuclear ophthalmoplegia. This condition, caused by a lesion of the medial longitudinal fasciculus, is characterized by paresis of the ipsilateral medial rectus muscle on conjugate lateral gaze to the opposite side, most obvious on saccadic movements, and nystagmus in the opposite (abducting) eye; thus, diplopia can occur on lateral gaze. In multiple sclerosis, the medial longitudinal fasciculus lesions are commonly bilateral (new window  Figure 14-12). Medial rectus function can be normal for convergence if its nucleus is not involved by the demyelinating lesion. Less common causes of diplopia are lesions of the sixth or third cranial nerve within the brainstem.

Nystagmus is a common early sign, and-unlike most manifestations of the disease (which tend toward remission)-it is often permanent (70%).

Intraocular inflammation is associated with multiple sclerosis, particularly subclinical peripheral retinal venous sheathing, which can be highlighted by fluorescein angiography.

B. Laboratory Findings:

The cerebrospinal fluid gamma globulin concentration is frequently high, and oligoclonal bands can be elevated, representing local production of immunoglobulins. CD8 levels in the cerebrospinal fluid may also be abnormal. Some patients with multiple sclerosis have no spinal fluid abnormalities, especially if their disease process is in a less acute or milder phase.

Pathologically, multiple areas of demyelination are present in the white matter. Early, there is degeneration of myelin sheaths and relative sparing of the axons. Glial tissue overgrowth and complete nerve fiber destruction with some round cell infiltration are seen later.

C. Special Examinations:

Retinal nerve fiber layer defects consistent with a subclinical optic neuritis can be detected in 68% of multiple sclerosis patients. The visual evoked response (VER) may help confirm involvement of the visual pathway. The VER has been reported to be abnormal in 80% of definite, 43% of probable, and 22% of suspected cases of multiple sclerosis. A normal VER in cases with suspected multiple sclerosis makes the diagnosis questionable, but with positive oligoclonal bands or abnormal contrast sensitivity the diagnosis can be made with more certainty. CT scan and especially MRI can detect subclinical white matter demyelinating lesions even in the optic nerve and can confirm that there are disseminated lesions compatible with the diagnosis of multiple sclerosis.

Course, Treatment, & Prognosis

The course of this disease is unpredictable. Remissions and relapses are characteristic. Elevation of body temperature may cause temporary exacerbations (Uhthoff's phenomenon). Pregnancy or the number of pregnancies has no effect on disability, but there is an increased risk of relapse just after delivery. Onset during pregnancy has a more favorable outcome than onset unrelated to pregnancy.

Steroid treatment, particularly intravenous methylprednisolone, is useful in hastening recovery from acute relapses in multiple sclerosis but does not influence the final disability or the rate of further relapses. Systemic interferon beta reduces the rate of relapses by one-third but has no effect on long-term disability. There is no treatment that definitely influences the course of chronic progressive disease.

3. NEUROMYELITIS OPTICA (Devic's Disease)

This rare demyelinating disease of the central nervous system-considered by many to be a severe and acute form of multiple sclerosis-is characterized by bilateral optic neuritis and transverse myelitis. It presents with a subacute onset of loss of vision in one eye, followed soon by involvement of the other eye and paraplegia. Approximately 50% of patients progress to death within the first decade due to the paraplegia, but the remainder may have a prolonged remission and, ultimately, a better prognosis than patients with chronic demyelinating disease or multiple sclerosis.

Treatment may begin with a loading dose of intravenous methylprednisolone followed by a 2-month tapering course of oral steroids. With early institution of this treatment, visual recovery can be excellent. Systemic vasculitis and sarcoidosis should always be excluded.

4. OTHER TYPES OF OPTIC NEURITIS

Particularly in children, 1-2 weeks following a viral infection or immunization there may be an episode of optic neuritis, often with simultaneous bilateral involvement. The clinical course mirrors that of idiopathic demyelinative optic neuritis, suggesting a similar pathogenesis, but there is no association with subsequent development of multiple sclerosis. In some cases the acute disease causes more extensive neurologic involvement manifesting as an encephalomyelitis, which overlaps with acute disseminated encephalomyelitis. Optic nerve involvement may also occur in acute idiopathic polyneuropathy (Guillain-Barré syndrome). In systemic lupus erythematosus the optic nerve involvement may be immune-mediated or due to small blood vessel occlusion.

Herpes zoster-particularly herpes zoster ophthalmicus-may be complicated by optic neuropathy. This is probably due to vasculitis as well as direct neural invasion, and the prognosis is poor even with antiviral and steroid therapy. Other types of primary infection of the optic nerve, such as by syphilis, tuberculosis, cryptococcosis, and cytomegalovirus, are becoming more common with the increasing numbers of severely immunocompromised individuals such as those with autoimmume deficiency syndrome (AIDS). Lyme disease and cat-scratch disease are important causes of optic neuritis associated with macular star formation. Optic nerve involvement, often requiring long-term steroid therapy, is a recognized manifestation of sarcoidosis. A similar entity, idiopathic granulomatous optic neuropathy, also appears to occur in individuals in whom no evidence of sarcoidosis or other systemic disease can be identified.

Intraocular inflammation may lead to direct invasion of the anterior optic nerve with visual loss or to optic disk swelling without apparent reduction in optic nerve function. Optic nerve involvement is an important cause of permanent visual loss in cellulitis or vasculitis of the orbit. The association between sinusitis and optic neuritis is less strong than once thought, but the occurrence of visual loss in the presence of sphenoid or posterior ethmoid sinus disease may indicate a causal relationship, particularly if there is a sinus mucocele. In diabetic or immunocompromised patients, mucormycosis is an important cause of rapidly progressive sinus disease with optic and other cranial nerve involvement.

ANTERIOR ISCHEMIC OPTIC NEUROPATHY

Anterior ischemic optic neuropathy is characterized by pallid disk swelling associated with acute loss of vision: often there are one or two peripapillary splinter hemorrhages (new window  Figure 14-13). The disorder is due to infarction of the retrolaminar optic nerve (the region just posterior to the lamina cribrosa) from occlusion or decreased perfusion of the short posterior ciliary arteries. Fluorescein angiography in the acute stage shows decreased perfusion of the optic disk, often segmental in the nonarteritic form but usually diffuse in the arteritic form, and disk leakage in the late phase. There may be associated perfusion defects in the peripapillary choroid.

Nonarteritic ischemic optic neuropathy occurs generally in the sixth or seventh decade and is associated with arteriosclerosis, diabetes, hypertension, and hyperlipidemia, but any thrombotic condition capable of producing intracranial stroke can affect the posterior ciliary arteries as well. Systemic hypotension during the early morning may be an important etiologic factor. In younger patients, vasculitis (eg, systemic lupus erythematosus, antiphospholipid antibody syndrome, and polyarteritis nodosa), migraine, and inherited prothrombotic states (deficiencies of protein C, protein S, or antithrombin III and activated protein C resistance) should be explored and appropriately treated. A significantly reduced cup:disk ratio with crowding of axons in a relatively small scleral canal, optic nerve head drusen, and increased intraocular pressure may be predisposing factors. The visual loss in nonarteritic anterior ischemic optic neuropathy is generally abrupt, but it may be progressive over 1-2 weeks. Impairment of visual acuity varies from slight to no light perception; visual field defects are commonly altitudinal (inferior defects more common than superior ones). In over 40% of cases, there is spontaneous improvement in visual acuity. No treatment has been shown to provide long-term benefit. The previously advocated optic nerve sheath fenestration procedure has been shown to be potentially harmful. Low-dose aspirin therapy may reduce the risk of involvement of the fellow eye, which occurs in up to 40% of individuals. Recurrences in the same eye are rare, presumably related to decompression of the scleral canal due to infarction of axons. As the acute process resolves, a pale disk with or without "glaucomatous" cupping results.

It is particularly important to identify the arteritic anterior ischemic optic neuropathy, due to giant cell arteritis. This causes severe visual loss with the risk of complete blindness if treatment is delayed. It occurs in elderly people and is associated with a high sedimentation rate, painful and tender temporal arteries, pain on mastication, general malaise, and muscular aches and pains (polymyalgia rheumatica). It may represent an autoimmune response to internal elastic lamina that is bared to the systemic circulation by ulcerated arteriosclerotic plaques. The diagnosis is usually based upon an anterior ischemic optic neuropathy and a high electroretinogram (ESR) in an elderly patient, with or without associated systemic features. Other ocular manifestations of giant cell arteritis are central retinal artery occlusion, cilioretinal artery occlusion, retinal cotton-wool spots, ophthalmic artery occlusion, and diffuse ocular ischemia. Diagnosis is established by temporal artery biopsy, looking particularly for inflammatory cell infiltration, often but not always including giant cells, and prominent disruption of the internal elastic lamina.

Treatment with high-dose systemic steroids should be started as soon as a clinical diagnosis of arteritic anterior ischemic optic neuropathy has been made without waiting for the result of temporal artery biopsy, which should be performed within 1 week after starting treatment. Oral prednisolone, 80-100 mg/d, is usually adequate as a starting dose, but intravenous methylprednisolone should be considered in patients with bilateral disease-including those with transient episodes of visual loss in the second eye-and in patients whose visual loss progresses or whose systemic manifestations and high ESR do not respond despite oral therapy. Steroid dosage can usually be reduced to about 40 mg prednisolone per day over two weeks but then should be more gradually tapered and discontinued after about 6 months overall as long as there has been no recurrence of disease activity. Thirty percent of patients require long-term steroid therapy.

Diabetics occasionally develop mild, chronic, usually bilateral disk swelling with little change in visual function, so-called diabetic papillopathy. This is thought to represent microvascular disease affecting the optic disk circulation. It is sometimes confused with optic disk neovascularization because of the leakage of dye from the disk on fluorescein angiography. Radiation damage, usually from radiotherapy treatment for skull base or sinus tumors 12-18 months previously, and massive blood loss, such as from a bleeding peptic ulcer, are two causes of ischemic optic neuropathy in which there may be no optic disk swelling during the acute stage of the disease. This is sometimes referred to as posterior ischemic optic neuropathy. Other causes are giant cell arteritis and mucormycosis. In general the diagnosis of posterior ischemic optic neuropathy should not be considered until other causes, particularly a compressive lesion, have been excluded. Radiation optic neuropathy produces characteristic changes of tissue swelling and focal gadolinium enhancement on MRI and may be helped by hyperbaric oxygen therapy.

PAPILLEDEMA (Figures 14-9, 14-14, new window  14-15 and new window  14-16)

Papilledema (choked disk) is by definition a noninflammatory congestion of the optic disk due to raised intracranial pressure, of which the most common causes are cerebral tumors, abscesses, subdural hematoma, arteriovenous malformations, subarachnoid hemorrhage, acquired hydrocephalus, meningitis, and encephalitis.


Figure 14-14

Figure 14-14: Acute papilledema with cotton-wool spots and hemorrhages.

In an ophthalmology practice where patients come in and are usually healthy except for visual complaints, papilledema is often due to idiopathic intracranial hypertension. This is characterized by papilledema, no neurologic abnormality except for perhaps sixth or more rarely seventh cranial nerve palsy, normal neuroimaging studies, including brain MRI, and normal cerebrospinal fluid studies apart from increased intracranial pressure. It is, however, a diagnosis of exclusion, and a number of other causes of this syndrome of pseudotumor cerebri must be excluded, such as cerebral venous sinus occlusion, oral contraceptive use, steroid or tetracycline therapy, uremia, and respiratory failure.

Less common causes of papilledema are spinal tumors, acute idiopathic polyneuropathy (Guillain-Barré syndrome), mucopolysaccharidoses, and craniosynostoses, in which various factors, including decreased cerebrospinal fluid absorption, abnormalities of spinal fluid flow, and reduced cranial volume, contribute to the raised intracranial pressure.

For papilledema to occur, the subarachnoid spaces around the optic nerve must be patent and connect the retrolaminar optic nerve through the bony optic canal to the intracranial subarachnoid space, thus allowing increased intracranial pressure to be transmitted to the retrolaminar optic nerve. There slow and fast axonal transport is blocked, and axonal distention, particularly noticeable at the superior and inferior poles of the optic disk, occurs as the first sign of papilledema. Hyperemia of the disk, dilated surface capillary telangiectases, blurring of the peripapillary disk margin, and loss of spontaneous venous pulsations are the signs of mild papilledema. Edema around the disk can cause a decreased sensitivity to small isopters on visual field testing, but circumferential retinal folds with changes in the internal limiting membrane reflexes (Paton's lines) will eventually become evident as the retina is pushed away from the choked disk; when the retina is pushed away, the blind spot will be enlarged to large isopters on visual field testing as well. In acute papilledema, probably as a consequence either of markedly elevated or rapidly increasing intracranial pressure, there are hemorrhages and cotton-wool spots, indicating vascular and axonal decompensation with the attendant risk of acute optic nerve damage and visual field defects (Figure 14-14). There may also be peripapillary edema (which can extend to the macula) and choroidal folds. In chronic papilledema (new window  Figure 14-15), which is likely to be the consequence of prolonged moderately raised intracranial pressure, a process of compensation appears to limit the optic disk changes such that there are few if any hemorrhages or cotton-wool spots. With persistent raised intracranial pressure, the hyperemic elevated disk gradually becomes gray-white as a result of astrocytic gliosis and neural atrophy with secondary constriction of retinal blood vessels, thus leading to the stage of atrophic papilledema (Figure 14-16). There may also be retinochoroidal collaterals (previously known as opticociliary shunts) linking the central retinal vein and the peripapillary choroidal veins, which develop when the retinal venous circulation is obstructed in the prelaminar region of the optic nerve. (Other causes of retinochoroidal collaterals are central retinal vein occlusion, optic nerve sheath meningioma, optic nerve glioma, and optic nerve head drusen.) Vintage papilledema is characterized by the presence of drusen-like deposits within the swollen optic nerve head.


Figure 14-16

Figure 14-16: Atrophic papilledema in a child with a cerebellar medulloblastoma. The disk is pale and slightly elevated and has blurred margins. The white areas surrounding the macula are reflected light from the vitreoretinal interface. The inferior temporal nerve fiber bundles are partially atrophic (arrows).

It takes 24-48 hours for early papilledema to occur and 1 week to develop fully. It takes 6-8 weeks for fully developed papilledema to resolve during adequate treatment. Acute papilledema may reduce visual acuity by causing hyperopia and occasionally is associated with optic nerve infarction, but in most cases vision is normal apart from blind spot enlargement. Chronic atrophic and vintage papilledema are associated with gradual constriction of the peripheral visual field, particularly inferonasal loss, and transient visual obscurations. Sudden reduction of intracranial pressure or systolic perfusion pressure may precipitate severe visual loss in any stage of papilledema.

Papilledema is often asymmetric. It may even appear to be unilateral, though fluorescein angiography in such cases usually shows leakage from both disks. Papilledema occurs late in glaucoma, but it will not occur at all if there is optic atrophy or if the optic nerve sheath on that side is not patent. Foster Kennedy's syndrome is papilledema on one side with optic atrophy on the other (optic nerve and sheath compressed by neoplasm). This is commonly due to meningiomas of the sphenoid wing and classically to meningiomas of the olfactory groove. However, this clinical presentation can be mimicked (pseudo-Foster Kennedy syndrome) by ischemic optic neuropathy when an old ischemic optic neuropathy with atrophy is associated with a new hyperemic ischemic optic neuropathy (new window  Figure 14-13).

Papilledema can be mimicked by buried drusen of the optic nerve, small hyperopic disks, and myelinated nerve fibers (Figure 14-17). The treatment of papilledema must be directed to the underlying cause. In idiopathic intracranial hypertension, weight loss and oral acetazolamide (250 mg one to four times daily) are usually effective, but lumboperitoneal shunting or optic nerve sheath fenestration may become necessary if there is severe or progressive visual loss.


Figure 14-17

Figure 14-17: Large patch of myelinated nerve fibers originating from superior edge of disk. Another smaller patch is present near the inferior nasal border of the disk. (Right eye.)

OPTIC NERVE COMPRESSION

Optic nerve compression is often amenable to treatment, and early recognition is vital to optimal outcome. The possibility of optic nerve compression should be considered in any patient with signs of optic neuropathy or visual loss not explained by an intraocular lesion. Optic disk swelling may occur with intraorbital optic nerve compression but in many cases, particularly when the optic nerve compression is intracranial, the optic disk shows no abnormality until optic atrophy develops or there is papilledema from associated raised intracranial pressure. (Examination for signs of optic nerve disease, particularly a relative afferent pupillary defect, is thus crucial in assessment of the patient with unexplained visual loss.) Investigation of possible optic nerve compression requires early imaging by MRI or CT. If no structural lesion is identified and meningeal disease is suspected, it may be necessary to proceed to cerebrospinal fluid examination.

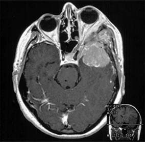
Intracranial meningiomas that may compress the optic nerve include those arising from the sphenoid wing, the tuberculum sellae (suprasellar meningioma), and the olfactory groove. Sphenoid wing meningiomas also produce proptosis, ocular motility disturbance, and trigeminal sensory loss (Figure 14-18). Surgical excision is generally effective in debulking intracranial meningiomas, but complete excision is often very difficult to achieve and recurrence rates are relatively high. Radiotherapy may be indicated as adjuvant or primary treatment. Pituitary adenoma and craniopharyngioma are discussed in the section on chiasmal disease (see below). The management of orbital causes of optic nerve compression is discussed in Chapter 13.


Figure 14-18

Figure 14-18: Axial MRI of sphenoid wing meningioma causing proptosis.

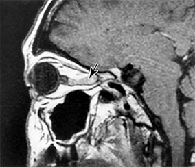
Primary optic nerve sheath meningioma is a rare tumor most commonly presenting, like other types of meningioma, in middle-aged women (Figure 14-19). Five percent of cases are bilateral. Visual loss is slowly progressive. The classic clinical features are a pale, slightly swollen optic disk with retinochoroidal collaterals, but in most cases the collateral vessels are not present (new window  Figure 14-6). Surgical excision invariably leads to complete loss of vision and is generally reserved for blind eyes to prevent intracranial spread of tumor. Focal radiotherapy is becoming more popular.


Figure 14-19

Figure 14-19: MRI of tubular optic nerve sheath meningioma.

NUTRITIONAL & TOXIC OPTIC NEUROPATHIES

The usual clinical features of nutritional or toxic optic neuropathy are subacute, progressive, symmetrical visual loss, with central field defects (Figure 14-20), poor color vision, and the development of temporal disk pallor (new window  Figure 14-6).


Figure 14-20

Figure 14-20: Nutritional amblyopia showing centrocecal scotoma. VA = 20/200.

1. VITAMIN DEFICIENCY

Optic nerve involvement is relatively uncommon in vitamin B12 deficiency, but it may be the first manifestation of pernicious anemia. Thiamin (vitamin B1) deficiency is generally a feature of severe malnutrition, and, as discussed below, there is an overlap with tobacco-alcohol amblyopia. Whether folate deficiency alone can produce an optic neuropathy is not entirely clear.

2. TOBACCO-ALCOHOL AMBLYOPIA

Nutritional amblyopia is another term for this entity. It occurs more commonly in males with poor dietary habits, particularly if the diet is deficient in thiamine.

Heavy drinking with or without heavy smoking is most often associated with a poor nutritional state. Bilateral loss of central vision is present in over 50% of patients, reducing visual acuity to less than 20/200, but can be asymmetric. Central visual fields reveal scotomas that nearly always include both fixation and the blind spot (centrocecal scotoma) (Figure 14-20). Centrocecal scotomas are usually of constant density, but when density of the scotoma varies, the most dense portion usually lies between fixation and the blind spot in the papillomacular bundle.

Much consideration has been given in the literature to other toxic causes such as cyanide from tobacco, producing low vitamin stores and low levels of sulfur-containing amino acids, but experimental studies with cyanide in primates have not confirmed this theory. Leber's hereditary optic neuropathy, pernicious anemia, methanol poisoning, retrobulbar neuritis, or macular degeneration may cause diagnostic confusion.

Adequate diet plus thiamine, folic acid, and vitamin B12 is nearly always effective in completely curing the disease if it is recognized early. Withdrawal of tobacco and alcohol is advisable and may hasten the cure, but innumerable cases are known in which adequate nutrition or vitamin B12 supplements effected the cure despite continued excessive intake of alcohol or tobacco. Improvement usually begins within 1-2 months, though in occasional cases significant improvement may not occur for a year. Visual function can but may not return to normal; permanent optic atrophy or at least temporal disk pallor can occur depending upon the stage of disease at the time treatment was started (new window  Figure 14-6). Loss of the ganglion cells of the macula and destruction of myelinated fibers of the optic nerve-and sometimes of the chiasm as well-are the main histologic changes.

3. HEAVY METAL POISONING

Chronic lead exposure, thallium (present in depilatory cream), or arsenic poisoning can produce a toxic effect on the optic nerve.

4. DRUG-INDUCED OPTIC NEUROPATHY

Ethambutol, isoniazid (INH), rifampin, and disulfiram can all produce retrobulbar neuritis or papillitis, which will improve with prompt cessation of the drug with or without nutritional supplements. Serial color vision screening is the most sensitive clinical test and must be done prophylactically.

Quinine is toxic to ganglion cells and will cause optic neuropathy with severely narrowed retinal arteries. Chloramphenicol in high doses causes optic neuropathy. Amiodarone toxicity can produce bilateral disk edema, but it characteristically also induces a verticillate keratopathy as well as other central nervous system signs.

5. CHEMICAL-INDUCED OPTIC NEUROPATHY: METHANOL POISONING

Methanol is used widely in the chemical industry as antifreeze, solvent varnish, or paint remover; it is also present in fumes of some industrial solvents such as those used in old photocopier machines. Significant systemic absorption can occur from fumes inhaled in a room with inadequate ventilation and (rarely) can be absorbed through the skin.

Clinical Findings

Visual impairment can be the first sign and begins with mild blurring of vision that progresses to contraction of visual fields and sometimes to complete blindness. The field defects are quite extensive and nearly always include the centrocecal area.

Hyperemia of the disk is the first ophthalmoscopic finding. Within the first 2 days, a whitish, striated edema of the disk margins and nearby retina appears (Figure 14-21). Disk edema can last up to 2 months and is followed by optic atrophy of mild to severe degree.


Figure 14-21

Figure 14-21: Methanol poisoning. Note edema of the retina and optic disk.

Decreased pupillary response to light occurs in proportion to the amount of visual loss. In severe cases, the pupils become dilated and fixed. Extraocular muscle palsies and ptosis may also occur.

Treatment

Treatment consists of correction of the acidosis with intravenous sodium bicarbonate and oral or intravenous administration of ethanol to compete with and thus prevent the slower metabolism of methanol into its by-products. Hemodialysis is indicated for blood methanol levels over 50 mg/dL.

OPTIC NERVE TRAUMA

Direct optic nerve injury occurs in penetrating orbital trauma, including local anesthetic injections for ocular surgery, and in fractures involving the optic canal. Visual loss due to indirect optic nerve trauma, which refers to optic nerve damage secondary to distant skull injury, occurs in approximately 1% of all head injuries. The site of injury is usually the forehead, often without skull fracture, and the probable mechanism of optic nerve injury is transmission of shock waves through the orbital walls to the orbital apex. Optic nerve avulsion usually results from an abrupt rotational injury to the globe, such as from being poked in the eye with a finger.

High-dose systemic steroids may be beneficial in both direct and indirect optic nerve injuries. Surgery may be indicated to relieve orbital, subperiosteal, or optic nerve sheath hemorrhage or to treat orbital fractures. Decompression of the bony optic canal has also been advocated for indirect optic nerve trauma but its value is uncertain. There is no effective treatment for optic nerve avulsion.

HEREDITARY OPTIC ATROPHY

1. LEBER'S HEREDITARY OPTIC NEUROPATHY

Leber's hereditary optic neuropathy is a rare disease characterized by sequential subacute optic neuropathy in males aged 11-30 years. The underlying genetic abnormality is a point mutation in mitochondrial deoxyribonucleic acid (DNA) mitochondrial DNA (mtDNA), over 90% of affected families harboring a mutation at position 11778, 14484, or 3460. mtDNA is exclusively derived from the mother and thus, in accordance with the general pattern of mitochondrial (maternal) inheritance (see Chapter 18), the mutation is transmitted through the female line-but for unexplained reasons the disease rarely manifests in carrier females. Once an individual is known to have the disorder, it is possible without further genetic testing to predict which other family members are at risk, matrilineal nephews, ie, sons of the affected individual's sisters, being particularly at risk.

Blurred vision and a central scotoma appear first in one eye and later-within days, weeks, or months-in the other eye. During the acute episode, there may be swelling of the optic disk and peripapillary retina with dilated telangiectatic small blood vessels on their surface, but characteristically there is no leak from the optic disk during fluorescein angiography. Both optic nerves eventually become atrophic, and vision is usually between 20/200 and counting fingers. The 14484 mutation is associated with recovery of vision but not until many months after the initial onset of visual loss. Total loss of vision or recurrences of visual loss usually do not occur. Leber's neuropathy may be associated with a multiple sclerosis-like illness (particularly in affected females), cardiac conduction defects, and dystonia.

Diagnosis is by identification of one of the three mtDNA point mutations. There is no known treatment. Because high tobacco and alcohol consumption may precipitate visual loss in susceptible individuals, carriers of a pathogenic point mutation, particularly males, should be advised not to smoke and to avoid high alcohol consumption.

Optic atrophy also occurs in other mitochondrial disorders, either as a manifestation of primary optic neuropathy-eg, myoclonic epilepsy and ragged red fibers (MERRF) and mitochondrial myopathy, lactic acidosis and stroke-like episodes (MELAS)-or secondary to retinal degeneration, eg, Kearns-Sayre syndrome. Wolfram's syndrome (see below) is also probably the result of a mitochondrial disorder.

2. AUTOSOMAL HEREDITARY OPTIC ATROPHY

Autosomal dominant (juvenile) optic atrophy generally has an insidious onset in childhood, with slow progression of visual loss throughout life. It is often detected as mild reduction in visual acuity by childhood vision screening programs. There is characteristically a centrocecal scotoma with impaired color vision. Temporal optic disk pallor is usually present, though often mild, and mild disk cupping is occasionally seen. Diagnosis is by identification of other affected family members. The genetic defect has been mapped to the long arm of chromosome 3, and for that reason there may soon be a specific genetic test. Rarely, the disease is associated with congenital or progressive deafness or ataxia.

Autosomal recessive (infantile) optic atrophy manifests as severe visual loss, present at birth or within 2 years and accompanied by nystagmus. It can be associated with progressive hearing loss, spastic quadriplegia, and dementia, though an inborn error of metabolism must first be considered. Wolfram's syndrome consists of juvenile diabetes insipidus, diabetes mellitus, optic atrophy, and deafness (DIDMOAD). Although there is a recessive pattern of inheritance, with the gene defect localized to chromosome 4, the underlying metabolic abnormality is probably a defect in cellular energy production, as in the mitochondrial diseases.

3. OPTIC ATROPHY WITH INHERITED NEURODEGENERATIVE DISEASES

Various neurodegenerative diseases with onset in the years from childhood to early adult life are manifested by steadily progressive neurologic and visual signs. Examples are hereditary spinocerebellar ataxias (Friedreich's ataxia), hereditary motor and sensory neuropathy (Charcot-Marie-Tooth disease), and the lysosomal storage disorders. Most of the sphingolipidoses late in their course are associated with optic atrophy. The leukodystrophies (Krabbe's, metachromatic leukodystrophy, adrenoleukodystrophy, globoid dystrophy, Pelizaeus-Merzbacher disease, Schilder's disease) are associated with optic atrophy earlier. Canavan's spongy degeneration and glioneuronal dystrophy (Alper's disease) are associated with optic atrophy as well. Peroxisome disorders (Zellweger's disease, Refsum's disease, etc) can have optic atrophy with cataract, glaucoma, and a pigmentary retinopathy. Optic atrophy can occur in the mucopolysaccharidoses due to hydrocephalus from mucopolysaccharides in the meninges or due to mucopolysaccharides in glial cells of the optic nerve.

Optic atrophy secondary to retinal ganglion cell atrophy can also occur in Alzheimer's disease. Large retinal ganglion cells project to the superior colliculus, and eye movement abnormalities occur as well.

NEOPLASTIC OPTIC NERVE INFILTRATION

Optic nerve glioma is discussed below, together with chiasmal glioma. In leukemia (usually acute leukemia), non-Hodgkin's lymphoma, and disseminated carcinoma, optic nerve infiltration with marked visual loss and optic disk swelling may develop. Primary neoplasms of the optic nerve include the astrocytic hamartoma of tuberous sclerosis, melanocytoma, and hemangioma, all rarely causing any visual disturbance.

OPTIC NERVE ANOMALIES

There are a large number of congenital optic nerve anomalies. They may be associated with other anomalies of the head since closure of the fetal fissure, ocular melanogenesis, and disk development occur at the same time as development of the skull and face.

Optic nerve hypoplasia, dysplasia, and coloboma have all been associated with basal encephaloceles as well and with varying intracranial anomalies, from Duane's retraction syndrome to agenesis of the corpus callosum (de Morsier's syndrome) and pituitary-hypothalamic dysfunction (especially growth hormone deficiency). Hypoplastic optic nerves are small, with normal-sized retinal blood vessels (Figure 14-22). They are associated with a wide range of visual acuities, astigmatism, a peripapillary halo that may have a pigmented rim also (double-ring sign), and various visual field defects. Dysplastic optic disks usually are associated with poor vision and show abnormal vasculature, retinal pigment epithelium, and glial tissue. They are often surrounded by a chorioretinal pigmentary disturbance. Dysplastic disks have been reported with trisomy 4q. The papillorenal syndrome has been reported with dysplastic disks and colobomas. Colobomas of the optic nerve have been called "pseudoglaucoma" because of their resemblance to glaucomatous cupping (Figure 14-23). Disk colobomas or hypoplasia when associated with chorioretinal lacunae, absence of the corpus callosum, and focal seizures constitute Aicardi's syndrome. This can also include retrobulbar cysts. Optic disk pits are usually not associated with any visual symptoms but they can be mistaken for glaucomatous cupping, particularly if there is an associated field defect. Occasionally, optic disk pits present later in life as a consequence of serous detachment of the macula.


Figure 14-22

Figure 14-22: Optic nerve hypoplasia.


Figure 14-23

Figure 14-23: Optic disk coloboma.

Tilted disks, which occur in 3% of normals, may also be seen with hypertelorism or the craniofacial dysostoses (Crouzon's disease, Apert's disease). They are oval disks with usually an inferior scleral crescent and an associated area of fundus hypopigmentation (Figure 14-24). They may be mistaken for papilledema. They may also produce predominantly upper temporal field defects, which may be mistaken for bitemporal loss due to chiasmal dysfunction. Scleral crescents are particularly common in myopic eyes.


Figure 14-24

Figure 14-24: Bilateral tilted optic disks.

Megalopapilla may be mistaken for optic atrophy due to the prominence of the lamina cribrosa. Myelinated nerve fibers usually extend into the retina from the disk, but occasionally are just seen in the retinal periphery (Figure 14-17). They always follow the course of the retinal nerve fiber layer. Remnants of the embryonic hyaloid system range from tissue fragments on the optic disk (Bergmeister's papilla) to strands extending to the posterior lens capsule. Prepapillary vascular loops are distinct from the hyaloid system and occasionally become obstructed, leading to branch retinal artery occlusion.

Optic nerve head drusen are clinically apparent in about 0.3% of the population but are found on ultrasound or histopathologic studies in 1% or more. In children, they are usually buried within the disk substance and thus are not visible on clinical examination but cause elevation of the disk surface and mimic papilledema. The optic disk is characteristically small, with no physiologic cup and an anomalous pattern of exit of the retinal vessels. With increasing age and loss of overlying axons, optic nerve head drusen become exposed, being apparent as "lumpy-bumpy" yellow crystalline excrescences, highlighted by retroillumination of the disk substance (new window  Figure 14-6). On fluorescein angiography, exposed drusen are autofluorescent and result in accumulation of dye within the disk substance (new window  Figure 14-25). Buried drusen are best diagnosed by orbital ultrasound or thin slice CT scanning, which detect their associated calcification. Optic nerve head drusen are usually bilateral. They can rarely cause visual loss, either by optic neuropathy, choroidal neovascularization, or vitreous hemorrhage. Hyperopic eyes may also have small elevated disks, resembling buried optic nerve head drusen and similarly mimicking papilledema.

 
PREVIOUS | NEXT
 
 
Page: 1 | 2 | 3 | 4 | 5 | 6 | 7 | 8 | 9 | 10 | 11 | 12 | 13 | 14 | 15
 
 

10.1036/1535-8860.ch14

Copyright ©2002-2003 The McGraw-Hill Companies. All rights reserved.
Any use is subject to the Terms of Use and Notice. Additional credits and copyright information. For further information about this site contact tech_support@accessmedicine.com.
Last modified: October 17, 2002 .
McGraw-HillEducation
The McGraw-Hill Companies
Top