AccessLangeGeneral Ophthalmology
Vaughan, Asbury, Riordan-Eva :
AccessMedicine.com
HomeAboutAccount ServicesBuy BooksSite MapHelpLogoutAccessMedicine HomeAccessMedicine Publications
Full TOC

Related Sites
Forum

Chapter 14: Neuro-ophthalmology

PHAKOMATOSES

The phakomatoses (Gr phakos "birthmark" + -oma "swelling") are a group of diseases characterized by multiple hamartomas occurring in various organ systems and at variable times.

NEUROFIBROMATOSIS

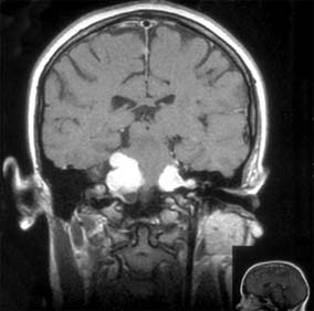
Neurofibromatosis is a generalized hereditary disease characterized by multiple tumors of the skin, central nervous system, peripheral nerves, and nerve sheaths. Other developmental anomalies, particularly of the bones, may be associated. There are two distinct dominant conditions. Neurofibromatosis 1 (peripheral) (Recklinghausen's disease) consists of multiple café au lait spots (99%), peripheral neurofibromas, and Lisch nodules (iris hamartomas) (93%), and its gene lies on the pericentromeric region of chromosome 17. The frequency is 1:3000 live births, with 100% penetrance. In neurofibromatosis 2 (central), there may be few or no café au lait spots or peripheral neurofibromas, but bilateral acoustic neuromas (vestibular schwannomas) are present (Figure 14-34) and its gene lies on chromosome 22. The frequency is 1:35,000. Neurofibromatosis 1 is associated with tumors primarily of astrocytes and neurons, whereas neurofibromatosis 2 is associated with tumors of the meninges and Schwann cells. There is no racial predominance. Signs may be present at birth but are activated during pregnancy, during puberty, and at menopause.


Figure 14-34

Figure 14-34: Coronal MRI of bilateral acoustic neuromas in neurofibromatosis 2.

Clinical Findings

Tumors may occur anywhere in the body, including the eye. Café au lait spots (small pigmented areas of skin) tend to enlarge and darken with age. A few may occur in 5-10% of the normal population, but in neurofibromatosis 1 there are five or six such spots greater than 1.5-2 cm in diameter; axillary freckles are especially significant. Cutaneous neurofibromatosis occurs especially on the trunk and spares the palms and soles. Tumors of the lids can be isolated cutaneous neurofibromas or plexiform (rubbery "bag of worms") neurofibromas. The latter may be associated with glaucoma.

Tumors of the optic nerve, meninges (meningioma), and glial cells (astrocytomas) also occur. Bilaterally thickened optic nerves are pathognomonic of neurofibromatosis 1, and many are asymptomatic (30-80%). A subgroup with nerves having a thickened nerve core and a low-density perineural proliferation are often symptomatic, with proptosis and decreased visual acuity. This latter group may represent a low-grade astrocytoma or optic nerve glioma. About 70% of optic nerve gliomas present before the age of 7 years. MRI shows lengthening and kinking of the optic nerve, and bright spots in brain parenchyma can be seen on T2-weighted images. Optic nerve glioma can cause disk swelling or optic atrophy. There may be Lisch nodules and enlarged corneal nerves. About 75% of patients with neurofibromatosis 2 have early posterior subcapsular lens opacities. Pigment epithelial and retinal hamartomas also occur with increased frequency in neurofibromatosis 2.

Treatment & Prognosis

Visual function in optic nerve gliomas does not change much after diagnosis. Chiasmal gliomas are less aggressive in neurofibromatosis than when they occur in its absence. The risk is greatest during the early follow-up period, and survival relates to the surrounding brain involvement.

When lesions are confined to the skin, the prognosis is good. Intracranial and intraspinal lesions are usually multiple and have a poor prognosis. The disease tends to be fairly stationary, with only slow progression over long periods of time. Neurofibromas of the peripheral nerves occur also and may undergo sarcomatous degeneration (5%).

RETINOCEREBELLAR ANGIOMATOSIS (Von Hippel-Lindau Disease)

This rare disease occurs most commonly in men in the third decade but can appear at any time up to age 60. Its incidence is 1:10,000, and there is neither gender nor racial predilection. About 25% of patients show autosomal dominant inheritance. The earliest signs are dilation and tortuosity of the retinal vessels, which later develop into an angiomatous formation with hemorrhages and exudates (retinal capillary angioblastomas) (new window  Figure 10-30). A stage of massive exudation, retinal detachment, and secondary glaucoma occurs later and will cause blindness if untreated. The disease is unilateral in 65% of cases. Patients must be followed expectantly with periodic, presymptomatic screening because in up to 25% of cases the retinal angiomatosis is associated with a similar generalized process, most often affecting the cerebellum (hemangioblastoma) and less commonly the pancreas, kidney (renal cell carcinoma), adrenal gland, and other organs. The evidence at present suggests that this is all one genetically determined disease showing autosomal dominant inheritance with variable expression.

Treatment & Prognosis

Early treatment of retinal lesions with photocoagulation, diathermy, or cryotherapy has been effective in some cases. Cerebral and cerebellar tumors have been successfully removed, but recurrences are common. MRI scanning revolutionizes follow-up of these patients, since it can be done without radiation hazard and detects presymptomatic lesions.

STURGE-WEBER SYNDROME

This uncommon nonfamilial disease with unknown inheritance is recognizable at birth by a characteristic nevus flammeus (port wine stain, or venous angioma) on one side of the face following the distribution of one or more branches of the fifth cranial nerve. There is corresponding angiomatous involvement (leptomeningeal angiodysplasia) of the meninges and brain, which causes jacksonian seizures (85%), mental retardation (60%), and cerebrocortical atrophy. Since these cortical lesions calcify, they can be seen on plain skull x-rays after infancy. Unilateral infantile glaucoma on the affected side frequently develops if there is extensive involvement of the conjunctiva with hemangioma of the episclera and anterior chamber anomalies. Lid or conjunctival involvement nearly always implies ultimate intraocular involvement and glaucoma. Forty percent of patients with a port wine stain on the face develop choroidal hemangioma on the same side. There is at least one cytogenic study reporting trisomy 22.

Treatment & Prognosis

There is no effective treatment for Sturge-Weber syndrome, though the glaucoma can be controlled in rare cases by surgery.

WYBURN-MASON SYNDROME

Wyburn-Mason syndrome is a rare disorder of multiple arteriovenous malformations, variably involving the retina, other portions of the anterior visual pathway, the midbrain, the maxilla, and the mandible, all on the same side of the head.

Headaches and seizures are common central nervous system presenting signs. Large, tortuous, dilated vessels covering extensive areas of the retina are an important diagnostic clue and can cause cystic retinal degeneration with decreased vision. Optic atrophy without retinal lesions can also occur.

ATAXIA-TELANGIECTASIA

Ataxia-telangiectasia is an autosomal recessive disorder characterized by skin and conjunctival telan-giectases, cerebellar ataxia, and recurrent sinopulmonary infections. All signs and symptoms are progressive with time, but the ataxia appears first as the child begins to walk, and the telangiectases appear between 4 and 7 years of age. Mental retardation also occurs. The recurrent infections relate to thymic deficiencies and corresponding T cell abnormalities as well as to decreased or absent immunoglobulins. Saccadic and eventual pursuit abnormalities produce a supranuclear ophthalmoplegia.

TUBEROUS SCLEROSIS (Bourneville's Disease)

Tuberous sclerosis is characterized by the triad of adenoma sebaceum, epilepsy, and mental retardation, though 30-50% of affected individuals have normal intelligence. Adenoma sebaceum (angiofibromas) occur in 90% of patients over the age of 4 years, and the number of lesions increases with puberty. These flesh-colored papules are 1-2 mm in diameter and have a butterfly distribution on the nose and malar area; they can also occur in the subungual and periungual areas. Ashleaf-shaped hypopigmented ovals can be present on the skin even of neonates but are best seen under Wood's (ultraviolet) light.

Retinal hamartomas appear as oval or circular white areas in the peripheral fundus and, like optic nerve hematomas, characteristically have a mulberry-like appearance (new window  Figure 10-31). Renal hamartomas occur in 80% of patients. Subependymal nodules in the periventricular areas of the brain can calcify and appear as candle wax gutterings or drippings on radiologic studies (25-30% of skull x-rays and 90% of CT scans) in patients with clinical tuberous sclerosis. MRI can show actively growing subependymal nodules. These can become astrocytomas. Seizures occur in 90% of patients, usually within the first 3 years of life.

The disease is inherited sporadically (80%) or as an autosomal dominant with low penetrance. The prevalence may be 1:9400 if patients with the incomplete form of the disease are included. Vision is generally normal, and progression of retinal hamartomas is rare. The prognosis for life relates to the degree of central nervous system involvement. In severe cases, death can occur in the second or third decade; if there is minimal central nervous system involvement, life expectancy should be normal.

 
PREVIOUS | NEXT
 
 
Page: 1 | 2 | 3 | 4 | 5 | 6 | 7 | 8 | 9 | 10 | 11 | 12 | 13 | 14 | 15
 
 

10.1036/1535-8860.ch14

Copyright ©2002-2003 The McGraw-Hill Companies. All rights reserved.
Any use is subject to the Terms of Use and Notice. Additional credits and copyright information. For further information about this site contact tech_support@accessmedicine.com.
Last modified: October 17, 2002 .
McGraw-HillEducation
The McGraw-Hill Companies
Top